In December 2019, an outbreak of a novel coronavirus pneumonia occurred in Wuhan, Hubei, which quickly spread across China and to a new focal point in Europe. It is caused by the pathogen known as SARS-CoV-2, initially 2019-nCoV.1 After the outbreak, with more or less success, countries such as Italy, Spain, France and the USA initiated a primary response. Finally, the global outbreak was declared a pandemic by the World Health Organization in March 2020.2
The classic symptoms of patients with COVID-19 that have guided the diagnosis during this exceptional situation are dry cough and fever. While current protocols use these symptoms as criteria for clinical suspicion of the disease, some patients have other extrapulmonary symptoms.3 We present a case that was initially treated by our Emergency Surgery Team in March 2020 that may be of interest as an example of the scope that COVID-19 could have.
We present the case of a 53-year-old patient with a history of epilepsy under pharmacological treatment and no history of previous surgery. He came to the emergency department for abdominal discomfort, distension and a fever of 38°C that had worsened in the previous 48h. In addition, he described a change in bowel rhythm, with few liquid stools in the last week. During the anamnesis, the patient reported a mild cough without mucus over the previous week, but no associated arthromyalgia, rhinorrhea, dyspnea or respiratory symptoms. He also reported no recent trips or contact with family members who had respiratory symptoms.
On examination, the patient had a low fever of 37.5°C after taking paracetamol; he was hemodynamically stable (blood pressure 125/69mmHg, 75bpm), with 98% oxygen saturation breathing room air. The patient presented moderate abdominal distension that was more exacerbated in the upper hemiabdomen, with diffuse abdominal discomfort but no focus or peritoneal guarding.
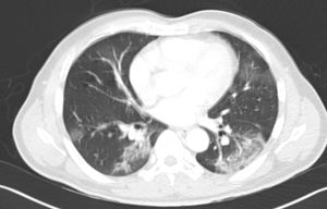
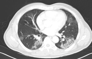
Lab work demonstrated lymphopenia of 11.3% (normal values [NV] 20%–50%) and PCR of 18.6 (NV 0.03–0.05). Chest and abdominal radiographs showed large distention of the colonic loops (Fig. 1) and a slight increase in bibasilar condensation but no infiltrates with compression due to dilated loops of the upper hemithorax. Finally, a computed tomography (CT) scan of the abdomen was requested with expansion to the lung bases (Fig. 2A and B). Emergency CT scan ruled out abdominal disease requiring urgent surgery and revealed notable distension of the dolichosigma with air content; ground glass infiltrates were observed in the left lower pulmonary lobe, which, given the current epidemiological situation, is compatible with COVID infection. Finally, a SARS-CoV-2 PCR was requested, which came back positive.
This case is an example of the non-respiratory manifestations caused by COVID-19. Currently, cough (98%) and fever (76%) are the most frequent symptoms.4 However, other symptoms, including gastrointestinal symptoms, may also be present.5 Diarrhea has been reported in 3%–14% of patients, vomiting in 5%, abdominal pain in 3% and anorexia in 55%.1,6 The presentation of gastrointestinal symptoms can vary according to the population, presenting as mild symptoms and prior to respiratory symptoms in some cases. Analytically, it is common to find lymphopenia, which has been described in more than 60%. Likewise, elevated aminotransferases can be found in cases with mild or moderate liver damage, or due to liver involvement derived from the pharmacological treatment received.4–6 Other forms of presentation of COVID-19 include myocarditis.7
The immunopathogenesis by which COVID-19 produces gastrointestinal symptoms has not yet been demonstrated. Previous studies have shown that it could be related to the ACE2 receptor expressed in different proportions in AT2 lung cells, cells of the upper esophageal tract and stratified epithelial cells and enterocytes of the ileum and colon.8
This case report shows the current importance of reviewing the possible existence of respiratory symptoms during the anamnesis of patients initially referred for surgical evaluation. This screening is important to avoid infection from not only asymptomatic patients but also infected patients with atypical symptoms. Any and all measures that could lessen the exposure to the disease of health professionals is necessary at the present time. Another aspect to highlight is the abdominal involvement, which is not very frequent in patients with COVID-19. Although this type of involvement has been described, until now complications derived from gastrointestinal involvement, such as perforation, ischemia or gastrointestinal bleeding, have not been reported. Another known datum is that patients affected with COVID-19 could transmit the disease through feces, which may be suggested as a possible diagnostic method.5,9 Thus, at this time we should be vigilant in patients who present with cough and high fever at the time of anal exploration.
Please cite this article as: Blanco-Colino R, Vilallonga R, Martín R, Petrola C, Armengol M. Sospecha de abdomen agudo como manifestación extrapulmonar de infección por Covid-19. Cir Esp. 2020;98:295–296.





