Las imágenes de niveles por interfase líquido-líquido o líquido-sólido pueden verse con cierta frecuencia en el sistema ventricular de pacientes afectados de diversas patologías de SNC. Estos aparecen cuando el líquido cefalorraquídeo entra en contacto con otro elemento anómalo que, además de tener una diferente densidad física, tiene una diferente densidad radiológica o un diferente comportamiento en técnicas de imagen por RM.
Estos niveles se forman como consecuencia de la precipitación del elemento de mayor densidad hacia las zonas ventriculares más declives. Debido a la posición en decúbito supino en que suelen adquirirse las imágenes de SNC, este fenómeno se observa con mayor frecuencia en las astas occipitales de los ventrículos laterales.
Las hemorragias intracraneales son los procesos en los que con mayor frecuencia pueden observarse estas imágenes. En las hemorragias ventriculares puras, hemorragias intracerebrales con apertura ventricular o en la hemorragia subaracnoidea, la sangre accede al interior del sistema ventricular. Esta sangre en suspensión tiende a formar agregados celulares o pequeños coágulos que se depositan por su mayor densidad en las zonas más inferiores del sistema ventricular1.
Con menor frecuencia, estos niveles de interfase ventricular son vistos en procesos infecciosos del SNC2. Así, en procesos meningíticos o en cuadros de ventriculitis se forman agregados de material piógeno que pueden depositarse en cantidad suficiente para ser visualizados por técnicas de imagen convencional.
Presentamos el caso de una paciente con imágenes de interfase líquido-sólido ventricular de lento crecimiento secundario al depósito de agregados de células neoplásicas de origen epitelial.
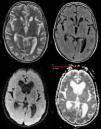
Mujer de 68 años que ingresa con cuadro progresivo de cefalea holocraneal, deterioro cognitivo de rápida evolución y síndrome constitucional. Una tomografía computarizada torácica (fig. 1) evidenció una masa en zona parahiliar del pulmón derecho. Como parte del estudio se realiza una RM cerebral que mostró niveles rectos de interfase líquido-sólido en las astas occipitales (fig. 2), con restricción del movimiento del agua libre en secuencia ADC y moderadamente brillante en secuencias de difusión altamente indicativo de corresponder a depósitos celulares.
El estudio de LCR mostraba 70mg/dl de proteínas y 7mg/dl de glucosa, así como una gran cantidad de agregados de células grandes anormales con cromatina inmadura y citoplasma basófilo de características neoplásicas indicativos de tener un origen epitelial (fig. 3). Tanto el estudio microbiológico directo como el cultivo de LCR fueron negativos.
Una RM posterior evidenció un discreto aumento de los depósitos ventriculares.
En nuestra opinión, el cuadro clínico compatible con infiltración leptomeníngea, la demostración de la existencia de una masa pulmonar, el comportamiento en la RM y la confirmación patológica de infiltración neoplásica licuoral junto con la ausencia de cualquier otro factor causal demostrarían que los niveles de interfase líquido-sólido observados en el sistema ventricular de nuestra paciente corresponden al depósito de agregados celulares neoplásicos.
En nuestro conocimiento, ésta es la primera descripción del origen celular neoplásico de unos niveles ventriculares3–6.






