Notas preliminares
Las avulsiones de espina tibial son raras en niños1-3. De todos modos es la lesión intracapsular de rodilla más frecuente en niños12 y se puede contemplar como el equivalente de la lesión de ligamentos cruzado anterior de rodilla en adultos. Aparecen con frecuencia tras caída en bicicleta o en esquí2,10. Las secuelas son hemartros, dolores, y limitaciones de movilidad2.
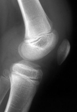
Estas lesiones se clasificaron por Meyers & McKeever en tres tipos (fig. 1): el tipo 1 que se caracteriza por un mínimo desplazamiento, el tipo 2 se caracterizaría por un desplazamiento de un tercio o una mitad en el plano sagital. Se denominan lesiones tipo 3 aquellas con desprendimiento total y desplazamiento del fragmento. Zaricznyj15 ha dividido más el tipo 3 en 3A sin luxación y 3B con luxación a dorsal. Radiológicamente la clasificación se realiza con la proyección lateral (fig. 2).
Las lesiones tipo 1 se tratan conservadoramente mediante evacuación del hemartros y ortesis de extensión de la rodilla durante 4 semanas. Tras retirar la inmovilización los niños alcanzan la movilidad completa a las 3-4 semanas.
Para el tratamiento del tipo 2 una mayoría de los autores prefieren el tratamiento conservador9-11,13,14 a excepción de cirujanos artroscopistas4,5,7.
En las lesiones de tipo 3 hay un acuerdo sobre la necesidad de una reducción abierta y fijación seguida de una inmovilización con yeso1,2,4,5,7,9-11,13,14. Desde el punto de vista técnico existen varias opciones como las de Kirschner, los tornillos y el cerclaje de alambre.
El método expuesto aquí se publicó por primera vez en 1982. Aquellos pacientes ya no se han podido recuperar para el seguimiento.
Figuras 1a-f. Clasificación de las lesiones de espina tibial según Meyers & McKeever9 (a) con ejemplos radiológicos [tipo 1 (b), tipo 2 (c), tipo 3 (d)], imágenes de TAC [tipo 3 (e)] y de RMN [tipo 3 (f)].
Figura 2. Proyección lateral de una rodilla con una lesión tipo 2.
Principios quirúrgicos y objetivos
Reducción anatómica y fijación interna de la espina tibial mediante dos agujas de Kirschner retrogradas para la reconstrucción de la estabilidad y función de la rodilla. Retirada de las agujas de Kirschner tras confirmar la consolidación de la lesión y sin necesidad de nueva artrotomía.
Ventajas
* Reducción anatómica y fijación del fragmento.
* Se pueden eliminar las interposiciones de partes blandas (p. ej., el ligamento transverso de la rodilla, el cuerno anterior del menisco); se pueden reconocer las lesiones asociadas y tratarlas.
* Evacuación completa del hemartros.
* Fijación estable del fragmento.
* Retirada de las agujas de Kirschner sin necesidad de nueva artrotomía. Son muy difíciles las lesiones de la fisis.
Inconvenientes
* En caso de doblar las agujas de Kirschner, según como se haga puede conllevar irritación subcutánea o intraarticular.
Indicaciones
* Avulsiones de espina tibial de los tipos 2 y 3 de Meyers y McKeever9.
Contraindicaciones
* Fracturas de espina tibial del tipo 1 de Meyers y McKeever9.
* Contraindicaciones de tipo general como las malas condiciones del campo quirúrgico o el mal estado general.
Información para el paciente y los padres
* Riesgos quirúrgicos generales.
* Inestabilidad o irritación intraarticular en caso de consolidación viciosa del fragmento.
* Limitación de movilidad de la rodilla.
* Necesidad de la retirada del material de osteosíntesis.
* Irritación cutánea y riesgo de infección según sea la colocación de las agujas de Kirschner y/o como se doblen por encima de la piel.
Preparación preoperatoria
* Documentación habitual de la exploración clínica.
* Descartar u objetivar lesiones asociadas.
* Radiología frente y perfil de la rodilla afectada y ocasionalmente de la rodilla contralateral para comparación.
* Evacuación del hemartros en caso de diferir la cirugía.
Instrumental e implantes
* Caja de artrotomía.
* Punzón romo o de bola, separador largo tipo gancho o erina.
* Motor con agujas de Kirschner de 1,0-1,2 mm de grosor.
* Alicates para doblar y manipular las agujas de Kirschner.
* Intensificador de imagen.
* En caso de procedimiento artroscópico:
Unidad de artroscopia con cámara, monitor, bomba de prefusión y sistema de afeitado.
Motor de afeitado (diámetro 2,7 mm).
Gancho y erinas (rectos y angulado 15º) en caso lesiones asociadas.
Sistema de guía para reparación de ligamento cruzado anterior.
Portaagujas grueso para doblar las agujas de Kirschner
Cortafríos.
Anestesia y posición
* Anestesia general.
* Decúbito supino sobre una mesa transparente con partes modulares; interesa una leve flexión de rodilla.
* Isquemia con manguito neumático en muslo (300 mmHg).
* Antisepsia cutánea.
* Entallado estéril.
Técnica quirúrgica
Figuras 3 a 9
Figura 3. Incisión de unos 2-3 cm de largo desde el tercio distal de la rótula hasta la interlínea articular. Exposición y sección de la cápsula
y de la membrana sinovial.
Figuras 4a y b. Colocación de pequeños separadores de garfios. Evacuación del hemartros, limpieza de la articulación. Exposición de la región intercondílea y de la zona de fractura (a). Exposición cuidadosa de los fragmentos, retirada de los coágulos en el foco de fractura e irrigación (b).
Figura 5. Reducción y mantenimiento de la misma con un gancho de tracción fino en posición anatómica. En ese momento la rodilla se pasa a extensión de forma incompleta.
Figura 6. El fragmento se fija con el llamado punzón romo. Desde la meseta tibial medial se introduce una aguja de Kirschner delgada (diámetro 1,0 o 1,2 mm) oblicua buscando el fragmento. Se perfora el fragmento de tal manera que la aguja de Kirschner sobresalga aproximadamente 1 cm.
Figura 7. Se coloca una segunda aguja de Kirschner fina desde la tibia lateral perforando el fragmento y sobrepasándolo aproximadamente 1 cm. Los extremos de las agujas se doblarán en dirección mutua y hacia el ligamento cruzado anterior.
Figuras 8a y b. Reducción anatómica y mantenimiento del fragmento a través de tracción de las agujas de Kirschner hacia distal (a) y doblando los extremos de las mismas en la metáfisis tibial hacia lateral (b).
Figura 9a
Figura 9a
Figura 9b
Figura 9b
Figura 9c
Figura 9c
Figuras 9a-c
Avulsión de la espina tibial de tipo 2 tras caída en bicicleta en niño de 11 años (a). Reducción postoperatoria (b) y resultado de curación a los 7 meses tras la intervención (c).
Consideraciones especiales
Reducción y fijación del fragmento avulsionado en condiciones artroscópicas (figs. 10 a 14).
Figuras 10a y b
Portales anterolateral y anteromedial (a). Introducción del instrumental irrigación de la articulación. Inspección del foco
de fractura: aquí se aprecia una lesión tipo 3 con arrancamiento completo del fragmento del lecho fracturario (b).
Figuras 11a y b
Con un gancho de palpación se valora la extensión de la lesión (a). El lecho fracturario se desbrida con el motor (b).
Figuras 12a y b
Se utiliza la guía de túnel tibial para reparación del ligamento cruzado anterior introduciéndola por el portal anteromedial (a), y se reduce el fragmento a 20º de flexión con la ayuda de la guía. A través de una pequeña incisión se introduce la guía para contactar directamente con el hueso.
Se introducirá una aguja de Kirschner fina (diámetro 1,0 o 1,2 mm) de forma oblicua hacia proximal buscando el fragmento y atravesándolo (b).
Figuras 13a y b
Se introduce ahora la óptica desde medial y la guía desde lateral. Se colocará una segunda aguja de Kirschner, igualmente fina, desde lateral en la tibia proximal hasta alcanzar el fragmento (a). Se ha de sobrepasar el fragmento con la aguja aproximadamente 1 cm (b).
Figuras 14a y b
Doblamiento intraarticular de las agujas de Kirschner con un portaagujas fuerte (a) y continuación de la reducción por tracción de las agujas a distal (b). El resto
de procedimiento corresponde al procedimiento abierto.
Tratamiento postoperatorio
* Tutor de yeso durante 6 semanas en 20º de flexión con cambios a las 2 y 4 semanas.
* Se autoriza carga total con el yeso.
* Retirada de material a las 12-16 semanas con incisiones puntiformes en la tibia proximal y tracción retrógrada de las agujas sin precisar una segunda artrotomía.
* Fisioterapia en el tiempo entre la retirada del yeso y el material.
Errores, riesgos y complicaciones
Técnica abierta
* Lesiones en la zona de la fisis por perforaciones repetidas; también puede ser consecuencia de ello la fragmentación del fragmento: Sólo se han de temer alteraciones del crecimiento en caso de frecuentes grandes manipulaciones con agujas de Kirschner demasiado gruesas. En caso de fragmentación se ha de considerar otras técnicas como por ejemplo el cerclaje.
* Las agujas de Kirschner se introducen demasiado rápido y sin suficiente precisión: véase arriba.
* Se intenta reducir el fragmento en una flexión importante de la rodilla: riesgo de insuficiente adaptación del fragmento. Se recomienda la reducción con la rodilla prácticamente extendida.
* Al doblar la aguja distalmente y hundirla hacia lateral pueden rotarse las agujas: reducción insuficiente. Riesgo de movilización del fragmento.
* Las incisiones puntiformes en la meseta tibial no se realizan proximalmente al extremo de la aguja sino distal. Las agujas que sobresalen deben doblarse hacia proximal: el doblamiento en esta dirección puede ser difícil o puede no realizarse.
* El control del fragmento reducido no se realiza con una proyección lateral estricta: depende de la proyección puede pasar desapercibida un desplazamiento.
* Se utilizan agujas de Kirschner demasiado gruesas > 1,2 mm de grosor: las agujas de Kirschner después son problemáticas de retirar, bien con lesiones del cartílago, bien con lesiones de la fisis.
* Retardo de consolidación o consolidación viciosa: alteraciones dolorosas en la función de la articulación de la rodilla. Puede ser necesaria una reintervención y una nueva reducción.
* A las 6-8 semanas de la intervención aún no se ha obtenido una movilidad completa de la rodilla: en caso de consolidación del fragmento en posición anatómica se ha de esperar más. En general en la edad infantil no son necesarias medidas de fisioterapia extraordinarias.
Procedimiento artroscópico
* Dificultad en la visión por la grasa de Hoffa, por la hemorragia o por el ligamento transverso: primero una irrigación generosa, después resección parcial de la grasa de Hoffa, después rechazo del ligamento transverso y reducción del fragmento por debajo del ligamento transverso (figs. 15a y b).
Figuras 15a y b
Esquema (a) y foto artroscópica del ligamento transverso (b).
* El cuerno anterior del menisco puede ocultar parte de la extensión de la lesión: inspección cuidadosa con el gancho.
* Apertura de portales en exceso distales que puede provocar dificultad en la reducción por disminuir el brazo de palanca del instrumental: abrir los portales más proximales lo cual facilitará la reducción y la introducción de la guía.
* En lesiones de tipo 3 es a veces difícil la reducción con el aparato guía: puede ser necesario utilizar el gancho o un tercer portal (medial).
Resultados
Entre el 01/1989 y el 12/1999 se intervinieron en una primera serie 29 pacientes (16 varones, 13 mujeres, media de edad de 10,9 años [6-16 años]) con una lesión de avulsión de la espina tibial de los tipos 2 y 3 de Meyers & McKeever9. En 17 casos se trataba de una lesión tipo 2, en 12 casos de una lesión tipo 3.
Veinticinco pacientes intervenidos se pudieron seguir de forma clínica tras un promedio de 46 meses (11-126 meses). En el caso de 4 niños se había mudado el paciente o la familia. Para la valoración de los resultados se utilizaron los criterios de Lysholm & Gillquist8 así como los criterios del Internacional Knee Documentation Comité (IKDC)6.
En la valoración de Lysholm se trata sobretodo de aspectos subjetivos. Como principales parámetros se valora la inestabilidad y el dolor. Otros criterios son la cojera, utilizar escaleras, capacidad de carga y utilización de bastón. Como criterios objetivos se valora la inflamación y la atrofia.
La valoración de la IKDC se basa en 4 áreas de problema: valoración subjetiva, síntomas, arco de movilidad y exploración ligamentosa: cada área se clasifica de la A (normal) a la D (muy anormal). Se trata de unos criterios "duros" en los cuales los malos resultados influyen en todo el grupo.
Siguiendo los criterios de Lysholm & Gilquist 24 niños o sus padres dieron un resultado muy bueno de 90- 100 puntos. En un niño dio buen resultado de 80-89 puntos. No se valoraron ni resultados medios (70-79 puntos) o malos (< 70 puntos).
En la valoración IKDC 19 niños o sus padres presentaron la rodilla como normal (grupo A) y 6 como casi normal (grupo B). En nuestros controles no se halló ninguna valoración con el predicado "anormal" o "muy anormal" (fig. 16). No se dieron infecciones o alteraciones de la cicatrización. En 3 niños se halló una disestesia en la zona medial de la cicatriz.
No se observó radiológicamente ninguna alteración visible en los cartílagos de crecimiento en el momento de la retirada de material, tras un promedio de 5 meses.
En una segunda serie entre el 01/1999 y el 10/2001 se intervinieron 12 pacientes (7 varones, 5 mujeres, media de edad de 11,1 años) con una lesión de avulsión de la espina tibial de forma mínimamente invasiva a través de una fijación artroscópica. Se trató de 5 lesiones tipo 2 y 7 del tipo 3.
Se valoraron de forma clínica 11 de los 12 niños de forma retrospectiva (tras 19 meses de promedio).
Siguiendo la valoración de Lysholm se vio un muy buen resultado por los niños o sus padres en 10 niños (90-100 puntos), en un niño se valoró la rodilla como buen resultado (80-89 puntos). No se llegó a ningún resultado medio (70-79 puntos) o malo (< 70 puntos) en ninguno de los niños operados.
Siguiendo la valoración IKDC 8 niños o sus padres valoraron la rodilla como normal (grupo A) y 3 niños como casi normal (grupo B). No se halló ningún resultado anormal o muy anormal en ningún niño (fig. 17).
No hemos observado infecciones, alteraciones de la cicatrización e inflamación. En un caso la radiografía realizada tras la retirada de material mostró una espina tibial más redondeada.


























