¿ INTRODUCCIÓN
El diagnóstico de oncocitoma renal fue aceptado como una entidad clínico-patológica distinta después de un informe de 13 casos por Klein y Valensi en 1976.1 Desde entonces, varias comunicaciones han caracterizado mejor a este tipo histológico renal esencialmente benigno, que representa de 3% a 7% de todas las masas renales sólidas.2
En el aspecto macroscópico, estos tumores son de color rojo claro o pardo rojizo, homogéneos y bien circunscritos, pero al igual que la mayoría de los tumores renales, no están verdaderamente encapsulados; habitualmente se observa una cicatriz central, pero falta la necrosis o la hipervascularidad evidente. En el examen microscópico predominan las células eosinofílicas redondeadas o poligonales uniformes, dispuestas principalmente en un patrón de crecimiento en nidos u orgánulos.3
Desde el punto de vista ultraestructural, los oncocitomas están colmados de numerosas mitocondrias grandes, lo cual contribuye a sus características particulares a la tinción.1 Aunque la mayoría de los oncocitomas son citológicamente de bajo grado, no es infrecuente la observación de nucléolos prominentes y se ha comunicado pleomorfismo o atipia celular manifiesta de 2% a 30% de los casos. Estos hallazgos generalmente son aceptados dentro del diagnóstico del oncocitoma renal. Otras características atípicas son hemorragia, que se observa de 20% a 30% de los casos y la extensión de la grasa peri-renal que se ha comunicado en 11% a 20% de los casos.3
Los hallazgos citogenéticos frecuentes en los oncocitomas son la pérdida de los primeros cromosomas y el cromosoma Y, la pérdida de la heterocigosidad en el cromosoma 14q y los reordenamientos en 11q13. Por el contrario, pocas veces se observan anomalías en los cromosomas 3, 7 y 17. Por lo tanto, las alteraciones genéticas en los oncocitomas renales son características y diferentes de las descritas en distintos subtipos de carcinoma de células renales. Tanto el oncocitoma como el carcinoma de células cromófobas derivan de los túbulos distales, razón por la que existen similitudes histológicas, sobre todo para la variante eosinofílica de carcinoma cromófobo. Se ha descrito un tipo histológico transicional en el síndrome de Birt-Hogg-Dubé, en el que comúnmente se desarrollan oncocitomas renales, carcinoma de células renales cromófobas y lesiones cutáneas peculiares. Estas neoplasias transicionales muestran características tanto del oncocitoma como del carcinoma de células renales cromófobo, y algunos autores han propuesto que puede haber un espectro de tumores que abarcan estos dos histiotipos. No obstante la citogenética y los perfiles de tinción inmunohistoquímica distintos sugieren una individualidad de esos tipos tumorales.4
Lamentablemente, la mayoría de los oncocitomas renales no pueden ser diferenciados del carcinoma de células renales por medio de estudios clínicos ni por estudios de imagen. La edad media en el momento de presentación y el predominio masculino son similares para el oncocitoma y el carcinoma de células renales, y si bien es más probable que los oncocitomas sean asintomáticos (58% a 83%), la mayoría de los carcinomas de células renales se diagnostica en la actualidad de manera incidental.5 El tamaño tumoral medio de los oncocitomas es de 4 cm a 6 cm similar a los carcinomas de células renales. La cicatriz estrellada central que se observa en la TAC y la disposición en rayos de rueda de las arterias nutricias en la angiografía pueden sugerir el diagnóstico de oncocitoma pero una amplia experiencia ha probado que estos hallazgos son poco confiables y de bajo valor predictivo.6
El agente nuclear tecnecio sestamibi es retenido evidentemente en las mitocondrias y se ha señalado una mayor captación en los oncocitomas, en comparación con el carcinoma de células renales, angiomiolipoma y quistes renales. La aspiración por aguja fina o la biopsia renal se complica por la dificultad de distinguir el oncocitoma de las formas granulares de carcinoma de células renales convencional o las variantes eosinofílicas. Otro factor que limita la utilidad de la aspiración con aguja fina o la biopsia es la coexistencia bien documentada de carcinoma de células renales y oncocitoma en la misma lesión o en otras localizaciones dentro del mismo riñón, hecho que ha sido comunicado en 7% a 32% de los casos.7
Dadas estas incertidumbres acerca del diagnóstico pre-operatorio, la mayoría de los autores ha señalado la necesidad de tratar a estos tumores en forma enérgica con ablación térmica, nefrectomía parcial o nefrectomía radical, de acuerdo con las circunstancias clínicas. Es claramente conveniente un abordaje con conservación de la nefrona si se sospecha un oncocitoma y si el tamaño y la localización lo hacen posible, dada la tendencia de estos tumores a la multicentricidad, la bilateralidad y la recidiva metacrónica, que han sido comunicadas en 4% a 13% de los casos.8 Un abordaje con ablación térmica lamentablemente condena al paciente a la vigilancia prolongada por la incertidumbre acerca del diagnóstico de oncocitoma, incluso cuando se realiza una biopsia antes de la ablación.8
¿ PRESENTACIÓN DEL CASO CLÍNICO
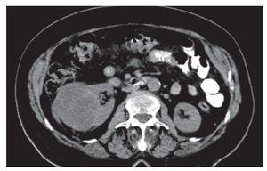
Mujer de 69 años de edad, originaria del Estado de México, portadora de hipertensión arterial de ocho años de evolución con adecuado control; refirió el antecedente de funduplicatura laparoscópica en junio de 2008 por diagnóstico de reflujo gastroesofágico. Durante su seguimiento por cirugía general se solicitó tomografía, en la que se documentó hallazgo incidental de tumoración renal derecha de 5 cm por 7 cm (Imagen 1), motivo por el cual fue referida a nuestro servicio. La paciente se mantuvo asintomática desde el punto de vista urinario; la exploración física no dio datos relevantes para el diagnóstico de referencia. Se completó el protocolo prequirúrgico y se sometió a nefrectomía radical derecha el 10 de abril de 2010, sin complicaciones trans o posquirúrgicas, fue egresada al tercer día del posoperatorio. El informe histopatológico fue: Producto de nefrectomía derecha, con neoplasia benigna morfológicamente consistente con oncocitoma renal de 7 cm de diámetro mayor, con hemorragia reciente multifocal, cápsula renal libre de lesión, limite quirúrgico viable, parénquima residual no neoplásico con pielonefritis crónica (Imagen 2); se realizó tinción especial de hierro coloidal la cual fue negativa, confirmando el diagnóstico de oncocitoma renal.
Imagen 1. TC del paciente, en foco renal. Se evidencia tumoración dependiente del riñón derecho, sin afectación linfática regional.
Imagen 2. Pieza macroscópica, con corte sagital, previa preparación para estudio histopatológico. Se aprecia lesión en borde externo y medial del riñón afectado.
¿ CONCLUSIONES
El oncocitoma renal es un tumor raro, se presenta con mayor frecuencia en el sexo masculino y en adultos; su diagnóstico es principalmente un hallazgo imagenológico. El principal diagnóstico diferencial lo constituye el carcinoma de células renales cromófobo, con variante eosinófilo.
Si bien los oncocitomas renales son neoplasias raras, cada vez se están informando más en la literatura médica, básicamente porque en la medida en que son mejor conocidos tanto por clínicos como por patólogos se han ido diferenciando del carcinoma de células renales que como hemos insistido pueden ser fácilmente confundidos por unos y por otros.
Actualmente existen suficientes elementos de juicio tanto clínicos, paraclínicos, imagenológicos, bioquímicos y anatomopatológicos para lograr este objetivo con todo lo que ello implica tanto para el paciente por el comportamiento biológico de la neoplasia como para las instituciones de salud, ya que por la naturaleza benigna del tumor no es necesario realizar intervenciones quirúrgicas radicales ni costosas, ni procedimientos de seguimiento de una posible extensión del tumor.
Un detalle interesante en la evolución del conocimiento de estas neoplasias ha sido su comportamiento benigno cuando son originarias del riñón, a diferencia de otras localizaciones en las que, sin lugar a dudas, se ha demostrado progresión maligna. Los trabajos de Lieber y colaboradores2 así como su clasificación histológica permitieron, junto con detallados estudios de microscopía electrónica, corroborar la naturaleza benigna de los oncocitomas renales.
Correspondencia: Dr. Axel Costilla Montero.
Av. Baja Velocidad 284, Col. San Jerónimo Chicahualco; 52140, Metepec, México.
Teléfono y fax: 722 2756300, ext: 2198.
Correo electrónico:axelcm2000@yahoo.com



