El carcinoma renal representa el 2-3% de todos los cánceres y es la lesión sólida más frecuente del riñón. El diagnóstico incidental por medio de pruebas de imagen es de aproximadamente el 50%, siendo en la mayoría de los casos asintomático. El tratamiento quirúrgico radical es la base del manejo y el seguimiento posterior mediante técnicas de imagen es prioritario para detectar recidivas locales o sistémicas.
Paciente masculino de 60 años de edad, con antecedente de nefrectomía radical izquierda hace 10 años por tumor renal. La manifestación clínica es hematuria macroscópica indolora. Se realiza UROTAC, en la cual se observa ureteropielectasia derecha con lesión ocupante de uréter en el tercio distal, que genera defecto de llenado negativo. Se realiza revisión endoscopia, escisión de la lesión y adyuvancia a base de inhibidor de tirosin cinasa (sorafenib).
En este caso clínico destaca la importancia del seguimiento estrecho en pacientes con neoplasias renales ante la ausencia de conocimientos claros sobre el comportamiento metastásico y las rutas de diseminación tumoral predecibles en carcinoma de células renales.
Renal cell carcinoma represents 2-3% of all cancers and is the most frequent solid lesion of the kidney. Incidental diagnosis is made through imaging studies in approximately 50% of the cases and the majority are asymptomatic. Radical surgical treatment is the basis of management, and follow-up through imaging techniques is a priority for detecting local or systemic recurrence.
A 60-year-old man had a past history of left radical nephrectomy due to kidney tumor 10 years prior. His current clinical manifestation was painless gross hematuria. CT-urography showed right ureteropelvic ectasia with a lesion occupying the distal third of the ureter that caused a negative filling defect. Endoscopy examination, lesion excision, and adjuvant therapy based on tyrosine kinase inhibitor (sorafenib) were carried out.
This clinical case underlines the importance of strict follow-up in patients with renal neoplasias in the absence of clear knowledge of the metastatic behavior and predictable dissemination routes in renal cell carcinoma.
El CR tiene la capacidad de metastatizar a múltiples órganos; los sitios más comunes incluyen pulmón, ganglios linfáticos, hueso e hígado. La presentación de metástasis en órganos abdominopélvicos es poco frecuente, siendo necesario el apoyo radiográfico para su identificación.
Se han reportado otros sitios de metástasis infrecuentes del CR (tabla 1), lo que habla de un comportamiento de diseminación poco claro. La presencia de metástasis en órganos pélvicos generalmente es secundaria a CR originados del lado izquierdo, lo que sustenta la ruta venosa como vía de diseminación1-5.
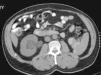
Presentación de caso clínicoSe trata de paciente masculino de 60 años de edad, el cual acude al servicio de urgencias con cuadro de hematuria macroscópica, indolora, no formadora de coágulos. Dentro de su anamnesis refiere nefrectomía radical izquierda por tumor renal, encontrando en el reporte histopatológico tumor de 9cm con necrosis central que invade la cápsula renal. No acudió a sus citas de revisión posterior a la intervención quirúrgica. En la exploración física abdominal, con sitio de cicatriz de lumbotomía izquierda, sin datos de visceromegalias ni puntos doloroso. Los resultados de laboratorio se encuentra: hemoglobina 16g/dl, plaquetas 167,000, creatinina 1mg/dl, BT 1.65mg/dl, BD 0.5mg/dl, BI 1.07mg/dl, fosfatasa alcalina 134 U/l. Se realiza una tomografía simple y contrastada de abdomen y pelvis, observando ausencia quirúrgica del riñón izquierdo, ectasia ureteropiélica derecha con lesión ocupante en el uréter derecho, redondeada, de 2×2cm de diámetro a nivel del cruce con vasos iliacos, con densidad de 10-20 UH y que refuerza en fase contrastada a 50-60 UH (figs. 1 y 2).
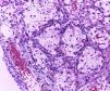
Ante la evidencia tomográfica de lesión tumoral en uréter, se somete a ureteroscopia, toma de biopsia y resección del tumor (fig. 3).
Reporte histopatológico: carcinoma de células claras, epitelio displásico y fibrosis (fig. 4). Se solicita estudio de inmunohistoquímica, el cual resulta positivo a CD 10 y vimentina. Dentro del perfil de citoqueratinas, muestra poca expresión para p63, lo que descarta origen epitelial de la lesión (figs. 5 y 6).
Con el diagnostico histopatológico e inmunohistoquímico, se decide iniciar adyuvancia con sorafenib 400mg por vía oral cada 12 h por 2 meses, evolucionando de manera favorable a la terapéutica y sin evidencia tomográfica de recidiva tumoral.
DiscusiónEl CR puede extenderse a la pelvis renal y el uréter ipsolateral6,7, encontrando escasos reportes de metástasis en el uréter contralateral posterior a la nefrectomía radical8,9. La manifestación clínica más común es la hematuria macroscópica recurrente. El mecanismo de diseminación metastásico se desconoce, se postula la diseminación endoluminal, hemática y linfática10.
El examen de inmunohistoquímica de las metástasis consiste fundamentalmente en la investigación sobre la presencia de filamentos intermedios de citoqueratina en las células tumorales.
Cuando los tumores renales presentan morfologías inusuales o con patrones histológicos distintos, las tinciones de inmunohistoquímica son de suma importancia para el diagnóstico diferencial.
Como un marcador mesenquimal, vimentina se expresa en la mayoría (del 87 al 100%) de los tipos de CR de células claras convencional y papilar11.
El uso de CD 10 puede ser útil en el diagnóstico de CR; sin embargo, no confirma el diagnóstico debido a la presencia de CD 10 en múltiples neoplasias12.
El marcador p63 se expresa en altos porcentajes en neoplasias uroteliales, pero no se expresa en carcinoma de células renales, por lo tanto, es útil en el diagnóstico diferencial de neoplasias de origen epitelial13.
La resección del CR metastásico mediante ureterectomía, nefrectomía radical o técnica conservadora endourológica mejora la supervivencia a largo plazo del 59 y el 31% a 3 y 5 años, respectivamente14,15. Nuestro paciente fue sometido a resección endourológica para evitar la necesidad de diálisis posterior que aumentaría la morbimortalidad.
Sorafenib es un potente inhibidor de proteína cinasa y de factor de crecimiento endotelial vascular in vitro, con gran capacidad citostática, y el mismo lo empleamos en nuestro paciente, con buena respuesta clínica y radiográfica subsecuente.
ConclusiónAnte la diseminación metastásica no predecible del CR, es de vital importancia el seguimiento estricto clínico y radiográfico posquirúrgico en búsqueda de metástasis en el sitio quirúrgico, a distancia y en el resto de sistema urinario. Ante la evidencia de recidiva tumoral, el uso de estudios de inmunohistoquímica es esencial para el correcto diagnóstico y manejo.
Responsabilidades éticasProtección de personas y animalesLos autores declaran que los procedimientos seguidos se conformaron a las normas éticas del comité de experimentación humana responsable y de acuerdo con la Asociación Médica Mundial y la Declaración de Helsinki.
Confidencialidad de los datosLos autores declaran que han seguido los protocolos de su centro de trabajo sobre la publicación de datos de pacientes.
Derecho a la privacidad y consentimiento informadoLos autores han obtenido el consentimiento informado de los pacientes y/o sujetos referidos en el artículo. Este documento obra en poder del autor de correspondencia.
FinanciaciónNo se recibió patrocinio de ningún tipo para llevar a cabo este artículo.
Conflicto de interesesLos autores declaran no tener ningún conflicto de interés.








