Reporte de un caso clínico de un paciente masculino de 19.6 años de edad, quien presentó una clase I esqueletal con crecimiento neutro, una maloclusión clase II división 1, protrusión y proinclinación de incisivos superiores e inferiores, apiñamiento moderado superior y leve inferior, sobremordida horizontal de 5mm y sobremordida vertical de 3mm, línea media maxilar desviada a la derecha. Una forma de arcada maxilar cuadrada y arcada mandibular oval. Los objetivos fueron: mantener el perfil y la clase I esquelética, eliminar apiñamiento y corregir el eje axial de los dientes, conseguir clase I canina bilateral, mantener la clase II molar bilateral, conseguir adecuada sobremordida vertical y horizontal, centrar línea media, obtener buen balance y función oclusal. El tratamiento consistió en extracciones de primeros premolares superiores y aparatología ortodóntica fija de acuerdo con la filosofía y técnica de Roth. La retención utilizada fue removible superior e inferior, así como retenedor fijo inferior.
Case report of a 19.6-year-old male patient who presented a skeletal class I with neutral growth, a class II division 1 dental malocclusion protrusion and proclination of upper and lower incisors, upper moderate and lower mild crowding. He also presented an overjet of 5mm and a 3mm overbite, the maxillary dental midline was deviated to the right. A squared maxillary arch and an oval mandibular arch. The objectives were to maintain the profile and skeletal class I, eliminate crowding and correct the teeth axial axis, to obtain bilateral canine class I and maintain a bilateral class II molar relationship, to obtain an adequate overbite and overjet, correct the midline and obtain a good balance and occlusal function. Treatment consisted in extraction of the maxillary first bicuspids and fixed orthodontic appliances according to the philosophy and technique of Roth. Retention was a removable upper retainer and a fixed one on the lower arch.
De los pacientes atendidos en el Departamento de Ortodoncia de la División de Estudios de Postgrado e Investigación de la UNAM, las maloclusiones de clase II de Angle ocupan casi el 40% del total de pacientes recibidos.1
Los tratamientos indicados por la fi losofía y técnica de Roth, para las maloclusiones clase II, se efectúan de acuerdo con la elaboración de un diagnóstico y plan de tratamiento que podrá variar en relación con la edad en la que son atendidos los pacientes. Actualmente el número de pacientes adultos que requieren tratamiento de ortodoncia se ha incrementado gradualmente, por lo que la corrección de este tipo de maloclusiones se centra en corregir, compensar o camufl ajear la maloclusión que presentan estos pacientes que ya han concluido su etapa de crecimiento.
Para realizar la corrección de las maloclusiones clase II en pacientes adultos, las extracciones pueden incluir los dos premolares maxilares y los dos premolares mandibulares.2 Las extracciones de únicamente los premolares superiores son indicadas cuando no hay apiñamiento o discrepancia cefalométrica en el arco mandibular. 3,4 Éstos son probablemente los dientes que más se extraen para propósitos ortodónticos (de acuerdo con el diagnóstico de la fi losofía ortodóntica que se aplique para cada tratamiento), por tener una localización conveniente entre los segmentos anteriores y posteriores.
La variación en la secuencia de extracciones incluye superiores o inferiores, primeros o segundos premolares y son recomendados por diferentes autores por la gran variedad de técnicas exitstentes en la actualidad.5–10
Por lo general, no son las características esqueléticas que se presentan en una maloclusión clase II, el determinante principal de cómo se debe tratar mediante dos o cuatro extracciones de premolares, sino más bien el efectuar un diagnóstico completo y evaluar los aspectos determinantes para cada caso clínico.4
PRESENTACIÓN DEL CASO CLÍNICOPaciente masculino de 19.6 años de edad. Se presenta en la Clínica de Ortodoncia de la DEPeI de la Facultad de Odontología, UNAM, con motivo de consulta: «arreglarme los dientes, porque están chuecos».
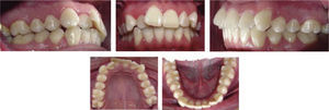
A la exploración clínica extraoral, presenta un patrón simétrico, mesofacial con perfil recto y armonía labial (Figura 1).
El examen intraoral revela que el paciente presenta clase II molar y clase II canina bilateral, apiñamiento moderado anterior superior e inferior, línea media maxilar desviada a la derecha, sobremordida horizontal de 5mm, sobremordida vertical de 3mm, la arcada de forma cuadrada en maxilar, así como la arcada de forma ovalada en mandíbula y los tejidos se observan sanos periodontalmente (Figura 2).
De acuerdo al análisis de los estudios cefalométricos, éstos determinan que sus porciones maxilares son adecuadas y presenta una clase I esquelética, crecimiento neutro, así como proinclinación y protrusión dentoalveolar.
La radiografía panorámica revela la presencia de terceros molares superiores e inferiores incluidos, así como la relación corona-raíz 1:2 de los 28 órganos dentarios erupcionados y con función, no se observan patologías aparentes (Figura 3).
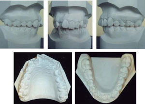
En el análisis de modelos se obtuvo un resultado de discrepancia dental en relación con el espacio disponible de -7mm en maxilar y -3mm en arco mandibular (Figura 4).
Objetivos del tratamientoLos objetivos fueron mantener el perfil y la clase I esquelética, ya que existe armonía facial. Se planeó eliminar el apiñamiento además de lograr la corrección del eje axial de los dientes para lograr estabilidad en el tratamiento, así como obtener la clase I canina bilateral y mantener la clase II molar bilateral existente. Dentro de los objetivos también se planteó la corrección de la sobremordida vertical y horizontal, así como de la línea media, para de esta manera obtener un balance y una mejora en la función oclusal.
Alternativas de tratamientoSe analizaron diversos procedimientos para llevar a cabo el tratamiento, seleccionando el que cumplía de una mejor forma con los objetivos propuestos.
Como primera opción de tratamiento, se propone la extracción de primeros premolares maxilares y mandibulares y como segunda alternativa, la extracción de segundos premolares maxilares. La última propuesta y la que se adapta más a los objetivos del tratamiento es la extracción de primeros premolares superiores, auxiliado de desgastes interproximales de incisivos inferiores, para lograr la corrección de la inclinación del eje axial de los dientes anteriores, así como del apiñamiento dentario.
Secuencia de tratamientoDe acuerdo con la técnica se colocó aparatología ortodóntica prescripción Roth calibre .022“x .028”, como anclaje se indica la utilización de barra transpalatal, seguido de las extracciones. Siguiendo las indicaciones de la técnica, se llevó a cabo la fase I de nivelación con arcos de níquel-titanio redondos. Posteriormente se colocaron arcos DKHL para la fase II de cierre de espacios. Durante la fase III se colocaron arcos rectangulares para la torsión e inclinación finales, que se obtuvieron a través de la prescripción. El asentamiento oclusal se logró utilizando elásticos cortos.
Para la retención se colocó barra fija de canino a canino inferior, además de retenedores circunferenciales superior e inferior (Figura 5).
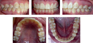
RESULTADOSComo se observa en las fotografías extraorales, fue posible mantener el perfil y la clase I esquelética, y de esta forma cumplir con los objetivos del plan de tratamiento (Figura 6).
De la misma forma, se realizó la corrección del eje axial de los dientes como se puede observar en la figura 7.
En las fotografías finales intraorales es posible valorar que se obtuvo la corrección de la línea media, la clase I canina bilateral, manteniéndose la clase II molar bilateral; se corrigió el apiñamiento, además de la sobremordida horizontal y vertical.
El paciente refiere haber quedado satisfecho con los resultados obtenidos (Figuras 8 y 9).
En el resumen de valores cefalométricos se muestran los cambios obtenidos en el tratamiento ortodóntico. Se logró la corrección en las inclinaciones de los incisivos superiores e inferiores, dando como futuro resultado estabilidad del caso. En el análisis de tejidos blandos se observó un incremento en el ángulo nasolabial (Cuadros I y II).
Cefalometría del análisis integrado
| Plano sagital | Norma | Inicio | Final |
|---|---|---|---|
| ANB (Steiner) | 2° ± 2° | 1.4° | 2.2° |
| Witts (Jacobson) | 0-3 mm | 0.4 mm | 1.1 mm |
| Resalte (Bimbler) | 0-8 mm | 6.8 mm | 8 mm |
| Convexidad (Ricketts) | 0-2 mm | 0.8 mm | 1.6 mm |
| SNA (Steiner) | 82° ± 2° | 75.1° | 76.1° |
| Factor 1 (Bimler) | 0° | 3° | 3° |
| Prof. maxilar (McNamara) | 0-1 mm | -3.2 mm | -2.8 mm |
| Prof. maxilar (Ricketts) | 90° ± 3° | 86.7° | 87° |
| SNB (Steiner) | 80° ± 2° | 73.7° | 73.9° |
| Ángulo facial (Downs) | 87° ± 3° | 86° | 85.4° |
| Relación 1:1 (Jarabak) | 1:1 | 1:1 | 1:1 |
| Long. mandibular (Bimbler) | 99 mm | 103.1 mm | 99.6 mm |
| Dimensión vertical | |||
| Índice facial (Bimler) | d/b/m | Mesofacial | Mesofacial |
| Cono facial (Ricketts) | 68° ± 3 | 71.7° | 70.7° |
| SN-mandibular (Steiner) | 32° ± 3° | 34.5° | 36.6° |
| FMA (Tweed) | 25° ± 3° | 24.9° | 27.5° |
| Ángulo gonaico (Jarabak) | 130° ± 5° | 119.5° | 117.6° |
| Eje facial (Ricketts) | 90° ± 5° | 87.8° | 87° |
| Porcentaje de crecimiento (Jarabak) | 62-64% | 65.8% | 64.8% |
| Análisis dental | |||
| 1 Sup-AP (R.W.) | 3 mm | 9.5 mm | 9.8 mm |
| 1 Inf-AP (R.W.) | 0 mm | 5.5 mm | 5.9 mm |
| 1-SN (Jarabak) | 103° ± 2° | 101° | 99° |
| IMPA (Downs) | 90° ± 2° | 105.1° | 103.6° |
| Resalte (Ricketts) | 2 mm | 3.4 mm | 3 mm |
| Plano sagital | Norma | Inicio | Final |
| Tejidos blandos | |||
| Ángulo nasolabial | 94-110° ± 3° | 109.3° | 112.4° |
| Línea estética (Ricketts) | -2° ± 2 | -2.6 mm | -2.1 mm |
| Distancia cervicomental | 50 mm | 44 mm | 45 mm |
Cefalometría de análisis de la UNAM
| Ángulos | Norma | Inicio | Final |
|---|---|---|---|
| SNA (Steiner) | 82° ± 3.5 | 75.1° | 76.1° |
| SNB (Steiner) | 79° ± 4 | 73.7° | 73.9° |
| ANB (Steiner) | 3° ± 2 | 1.4° | 2.2° |
| Ángulo facial (Downs) | 88° ± 4 | 85.9° | 85.4° |
| Ángulo de la convexidad (Downs) | 5° ± 5 | 1.6° | 3.2° |
| Ángulo Go-Gn-Fh | 24° ± 5 | 28° | 23.9° |
| Suma ángulo S a Go | 394° | 394° | 394.8° |
| Ángulo goniaco | 119° ± 7 | 119.5° | 117.6° |
| Dirección de crecimiento (Jarabak) | 66%° ± 6% | 65.8% | 64.8% |
| Ángulo 1-SN (Jarabak) | 105° ± 7 | 101° | 99° |
| Ángulo 1 Go-Gn (Tweed) | 97° ± 7 | 105.1° | 103.6° |
| Ángulo interincisal (Tweed) | 125° ± 10 | 122.8° | 119.8° |
| Labio superior (Ricketts) | -3 ± 3 mm | -.8 mm | -.1 mm |
| Labio inferior (Ricketts) | 1 ± 3 mm | -.3 mm | .3 mm |
Las maloclusiones pueden ser tratadas de diversas formas, de acuerdo con las características asociadas con el problema, como son la discrepancia anteroposterior, la edad y las complicaciones de cada paciente.11
En este caso clínico el paciente fue tratado de acuerdo con la filosofía y técnica de Roth, con extracciones únicamente de primeros premolares superiores, por no presentar discrepancias dentoesqueletales significativas, ni apiñamiento severo del arco mandibular, coincidiendo con lo propuesto por Strang 1957 y Bishara 1995.3,4
Fue necesaria la implementación de las dobles barras transpalatinas para apoyar la retracción del segmento anterior; sin embargo, a pesar de obtener resultados aceptables, se presentó pérdida de anclaje posterior que limitó la retracción completa del segmento anterior y la consecuente mesialización de los primeros molares superiores, a pesar de mantener durante toda la fase I y II del tratamiento las dobles barras transpalatinas; esto se debe a la mecánica de deslizamiento normal de los segmentos anteriores y posteriores, según lo reportado por Sichuan en el 2011. Existe una relación de movimiento de los dientes maxilares anteriores con los posteriores de 1:1.3, es decir, se produce más mesialización que retracción.12
Lo anterior hubiera justificado la utilización de miniimplantes vestibulares para lograr toda la retracción necesaria y evitar la mesialización del segmento posterior, dado que existen estudios que sustentan la ventaja del uso de estos aditamentos como máximo anclaje.13
Una de las principales consideraciones faciales en este paciente al decidir realizar extracciones de premolares superiores, fue la de mantener el perfil y la posición del labio superior. Al final del tratamiento los cambios fueron mínimos en la posición del labio superior después de la extracción de los premolares superiores y la retracción de los incisivos superiores.
Otro factor que ayudó a mantener ese perfi l fue la posición de los incisivos superiores, la cual tuvo mínimos cambios en la inclinación vestíbulo-palatina. Estos resultados coinciden con lo reportado por los estudios de Bokas y Scott en el 2006.14,15
Aun no se tienen datos de retención a mediano o largo plazo de este caso, sin embargo, debemos estar preparados para contener una posible recidiva debida tal vez a la proinclinación de los dientes superiores y la retroinclinación de los dientes inferiores anteriores, lo cual aumentaría la sobremordida horizontal como lo reporta Fidler en 1995.16
Para evitar este problema, se sugiere de acuerdo con la técnica empleada realizar la fi brotomía en los dientes involucrados en el tratamiento del paciente.17–19
CONCLUSIONESPara lograr los resultados deseados existen diversos métodos de diagnóstico que apoyan la obtención de un plan de tratamiento individualizado y de esta forma lograr los objetivos visualizados.
Las extracciones en diversos casos siguen siendo una herramienta útil para lograr una adecuada oclusión, sin embargo, siempre deben ser planeadas adecuadamente.
Este artículo puede ser consultado en versión completa en http://www.medigraphic.com/ortodoncia












