Malocclusions are considered by the WHO as the third event by its prevalence and they represent a public health problem. Genetic and environmental risk factors such as abnormal oral habits are of vital importance to consider its frequency, duration and intensity in order to avoid creating specific changes in the occlusion.
ObjectiveTo determine the prevalence of malocclusions and its association with risk factors, such as pernicious oral habits in a 2 to 15-year-old child population who requested dental care in the Venustiano Carranza peripheral clinic of the UNAM.
MethodA cross-sectional study was conducted in 147 children. Previously, the examiners who participated in the study were calibrated with a 98% concordance for pernicious habits and 92% for malocclusions. The epidemiologic information was recollected in one phase that comprised two stages to identify the presence of pernicious oral habits and diagnose the type of malocclusion. The statistical package SPSS 15 was used.
ResultsThe prevalence of pernicious oral habits was 96.6%. The largest number of cases presented at age 4 and in the 6 to 11 years of age during the mixed dentition. Malocclusions were present in both genders with no significant difference. The habit with the highest prevalence was lingual interposition (66.2%); the second was lip suction (49.3%); the third was onychophagia (41.9%) and finally, mouth-breathing (31.8%). In regard to malocclusions, the most prevalent was open bite (35.1%) followed by lower anterior crowding (26.4%), upper anterior crowding (19.6%) and lastly, posterior crossbite (12.8%). There was an association between tongue thrusting and open bite (p < 0.000), and with mouth breathing-posterior crossbite (p < 0.012) and Angle class II (p < 0.008).
ConclusionsChild population presents greater susceptibility to develop malocclusions during growth so preventive measures should be adopted during this stage.
Las maloclusiones son consideradas por la OMS como el tercer evento por su prevalencia; éstas representan un problema de salud pública. Los factores de riesgo genéticos y ambientales, como hábitos bucales nocivos son de vital importancia, considerar su frecuencia, duración e intensidad para evitar crear cambios específicos en la oclusión.
ObjetivoDeterminar la prevalencia de las maloclusiones y su asociación con factores de riesgo, como hábitos bucales nocivos en la población infantil de 2 a 15 años que solicitaron atención dental en la clínica Periférica Venustiano Carranza de la UNAM.
MétodoSe realizó un estudio de tipo transversal en 147 niños. Previamente se calibraron las personas que participaron en el estudio, con una concordancia del 98% para los hábitos nocivos y 92% en las maloclusiones. La información epidemiológica se levantó en una sola fase, que constó de dos etapas para identificar la presencia de los hábitos bucales nocivos y diagnosticar el tipo de maloclusión. Se utilizó el paquete estadístico SPSS 15.
ResultadosLa prevalencia de hábitos bucales nocivos fue del 96.6%. El mayor número de casos se presentó a la edad de 4 años, y de 6 a 11 años durante la dentición mixta. Se presentó indistintamente de acuerdo con el género. El hábito de mayor prevalencia fue el de interposición lingual: 66.2%; en segundo lugar, succión labial: 49.3%; en tercer lugar, onicofagia: 41.9%; y, por último, respiración bucal: 31.8%. En cuanto a las maloclusiones: mordida abierta, 35.1%; apiñamiento anteroinferior, 26.4%; apiñamiento anterosuperior, 19.6%, y mordida cruzada posterior, 12.8%. Se encontró asociación del hábito de interposición lingual y mordida abierta (p < 0.000), respiración bucal con mordida cruzada posterior (p < 0.012) y la clase II de Angle (p < 0.008). Conclusiones: La población infantil presenta mayor susceptibilidad a desarrollar maloclusiones durante el crecimiento, por lo que se deben tomar medidas preventivas durante esta etapa.
The World Health Organization considers malocclusions as a variable public health problem that ranks third in prevalence of oral anomalies associated with different risk factors such as genetic and environmental.1–3
Among the environmental risk factors is the presence of pernicious oral habits which may influence the development of a malocclusion depending on their frequency, duration and intensity during growth and development, causing specific changes in the occlusion and in bone and facial tissues.4,5
Occlusal normal patterns for the first dentition according to the terminal position of the primary second molars are the terminal plane (flush) and the mesial step relationship, which lead to an Angle molar class I in the permanent dentition. The severe mesial and distal steps are considered malocclusion precursors for the second dentition.6–7 To consider the position of the upper first molar with respect to the lower first molar in class I, II (sub. div. I and II) and III is of vital importance as guidelines during the diagnosis of any habit- associated malocclusion.8–10
Identification of any of the abovementioned conditions and recognition of risk factors could prevent major anomalies; the problem is that, while it is true that a large number preventive studies has been published, these generally focus in the dental caries problem in preschool and school age children in contrast to those related with the prevention of oral habits.11
Risk factors such as thumb sucking for extended periods of time, may cause specific abnormal effects on occlusion and bone development12 and although breastfeeding has been considered greatly beneficial, it has also been associated with malocclusions such as open bite when maintained for too long.13
Malocclusion prevalence studies in children have established that oral habits can affect tooth position and arch shape, interfering with normal growth and orofacial musculature function.14 Authors as Warren J, Bishara S, attempted to relate nonnutritive habits with facial morphology and malocclusions in Brazilian schoolchildren of 4 years of age and observed that 49.7% of the sample had malocclusions and that 28.5% had 2 or 3 factors for malocclusions; 12.1% had posterior cross bite and the 36.4% anterior open bite. It was also determined that there was an association between thumb sucking habit and malocclusion.15
Considerable problems could be avoided if pediatricians, general dental practitioners, pediatric dentists and orthodontists when examining 4-6 year-old children, identified the presence of oral habits in order to prevent and intercept them which would avoid physical and psychological repercussions during puberty and adolescence.16,17
Epidemiologic studies provide a great amount of information about the profile of malocclusions associated with different variables. Agavish reported that female adolescents, 15 to 16 years old, of high social class, showed a high prevalence of pencil eraser biting and ice chewing; 92% referred biting the pencil eraser daily and 48% doing it for three hours a day. Effects on the masticatory muscles were observed which caused TMJ noises and palpation sensitivity.18
In a study designed to identify and prioritize the possible relationship between atypical swallowing, open bite, diction and school performance by sex and age in children from preschool through sixth grade, it was determined that children between 7 and 8 years of age had more language problems and that girls presented atypical swallowing that caused open bites.19
The abovementioned information highlights the importance of identifying clinical characteristics of oral habits associated with the development of some of the malocclusions that are more frequently present in the child population, in order to prevent, intercept or correct them during growth and development.
Materials and methodsA cross-sectional study was performed on 147 children of both genders, ages between 2 and 15 years who attended the Venustiano Carranza peripheral clinic of the Dental School of the National Autonomous University of Mexico for dental care and whose parents previously signed a consent form to participate in this study. The epidemiologic information was obtained with the informed consent of the parents or guardians.
The survey contained a section with direct questions for the children in a personal way, and distraight and another section addressed to parents in order to identify the presence of oral habits. Finally, epidemiologic variables such as mouth breathing, lip competence, incompetence, or biting; onychophagia and presence of calluses caused by thumb sucking were obtained. The child was asked to swallow saliva to assess if the swallowing was atypical or not and if it there was tongue thrust.20–22
Oral habits were also assessed by means of the information provided by the parents. Variables such as thumb sucking, mouth-breathing, atypical swallowing, onychophagia, bruxism, self-mutilation of lips or cheeks, lip sucking and baby’s bottle prolonged use were determined.23 Arch shape, overjet, presence or absence of edge to edge bite upon occlusion, upper and lower anterior crowding, molar relationship class I, II and III, according to Angle’s classification, in early mixed dentition and complete permanent dentition; as well as the terminal planes in cases in which the molar class could not be registered or in those cases in which the first molars did not erupt.24–26
In cases with crossbite a milimetrical rule and a fine-tipped caliper were used to determine the transverse dimension or the maxillary compression. This was measured from the central fossa of the upper right first molar to the fossa of the upper left molar. In the lower arch, it was determined from the distal cusp of the right molar to the left molar as the parameters described by Korkhaus.27,28 The study variables were determined as present or absent: prolonged use of baby’s bottle, pacifier, lip suction, lingual thrust or interposition, atypical swallowing, mouth breathing, inadequate posture, bruxism, onychophagia, open bite, posterior cross bite, overbite, overjet, edge-to-edge bite and upper and lower anterior crowding.
Malocclusion was determined according to the relationship between the primary upper second molars with the lower second molars, identifying the flush, mesial, mesial-exaggerated and distal terminal plane, in the primary dentition according to Baume’s classification. For permanent teeth, malocclusion was determined by the position of the upper first molar with respect to the lower first molar as Class I, II (div. I and II) and III.20 The obtained data were presented as percentage distribution, averages and it was calculated if there was a relationship between oral habits and malocclusions by means of Chi2 (χ2) with the aid of the SPSS program version 15.29
ResultsIn the present study 147 children from 2 to 15 years of age participated. 48.2% belonged to the male gender and 51.7% female. The average age was 8 years presenting a minimum age of 2 and a maximum of 15 (Figure 1). With regard to the prevalence of pernicious oral habits, it was determined that it was 96.6% (Figure 2). To analyze the frequency by age and gender it was observed that the prevalence of oral habits is higher in males than in females and more frequent at the age of 4 and from 6 to eleven years old, when they are in the mixed dentition. For females it was also noted that in age groups the largest number of cases were present (Table I).
The most prevalent pernicious oral habits were tongue thrust with a 66.2%, 49.3% lip sucking, 41.9% and 31.8% onychophagia and mouth breathing. To a lesser proportion inadequate posture was 25.7% and thumb sucking 23.6%, while only 2.0% reported using baby’s bottle. There were no cases of pacifier use or bruxism in the study sample (Figure 3).
It is worth mentioning that the same patient was susceptible to presenting more than one oral habit, of the total of the survey sample (147 children), 114 children found themselves in this situation meaning that from a 100%, 77.5% showed it.
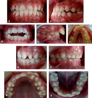
When analyzing the percentage distribution by gender, it was noted that, for females as well as for males, lingual interposition was the most prevalent since more than half of the children presented it; lip suction and onychophagia occupied second and third place respectively (Table II). The most prevalent malocclusion were open bite with a 35.1%, in second place, lower anterior crowding with a 26.4%; thirdly, upper anterior crowding with 19.6%, followed by anterior cross bite with 12.8%; overbite, 11.5%, edge to edge bite 9.5% and, finally, overjet with 7.4% (Figure 4).
In regard to the presence of malocclusions in relation to gender, the largest proportion was open bite with a 38.15% for females, and 32.39% for males; lower anterior crowding with 28.94% in females and 23.94% in male. In primary dentition, the highest prevalence was the mesial terminal plane with 21.05% in females and 15.49% in males. In the permanent dentition class I molar was more prevalent with 36.84% in females and 43.66% for males.
Posterior crossbite was observed in the 14.47% girls, while in males, it was 11.26%.
It was observed that the mesial step was the most prevalent in the first dentition cases and for the second dentition it was the Angle’s class I, by which the studied patients had a tendency to the normo-occlusion in a high percentage (Figures 5and6).
With regard to the relation between pernicious oral habits and malocclusions present in children, ages 2 to 15 years, it was determined that there is an association between lingual interposition and open bite (p < 0.000). There was also found an association between malocclusions such as overbite (p < 0.005) and Angle class III (p < 0.050).
On the other hand, thumb sucking, if present, a significant association with the presence of open bite (p < 0,049) to demonstrate the event, were also associated with the terminal rectum level in patients who were with primary dentition (p < 0.009).
A mouth-breathing association with posterior crossbite and Angle Class II was found (and 0.012 p < 0008). The standard deviation with respect to transverse measures of the maxilla and the mandible was a 6mm discrepancy for 4:4 and an 8 mm discrepancy for 6:6 (Table III).
Ratio of patients with posterior crossbite.
| Patient | Upper | Lower | Difference | |||
|---|---|---|---|---|---|---|
| N | 6:6 | 4:4 | 6:6 | 4:4 | 6:6 | 4:4 |
| 1 | 49 mm | 38 mm | 51 mm | 38 mm | -2 mm | 0 |
| 2 | 47 | 36 | 49 | 38 | -2 | -2 |
| 3 | 46 | 35 | 49 | 39 | -3 | -2 |
| 4 | 48 | 38 | 49 | 39 | -1 | -1 |
| 5 | 53 | 43 | 54 | 44 | -1 | -1 |
| 6 | 47 | 38 | 47 | 43 | 0 | -5 |
| 7 | 46 | 37 | 50 | 45 | -4 | -8 |
| 8 | 40 | 38 | 42 | 38 | -2 | 0 |
| 9 | 41 | 38 | 43 | 38 | -2 | 0 |
| 10 | 43 | 36 | 46 | 37 | -3 | -1 |
| 11 | 40 | 37 | 42 | 38 | -2 | -1 |
| 12 | 46 | 35 | 49 | 37 | -3 | -2 |
| Mean | -2.08 | -1.91 | ||||
The habit of inadequate body posture showed signifi cant association with Angle class III ranking third place among the main data (p < 0.006). It was also observed an association with the flush terminal plane (p < 0.017) if this condition was present. Onychofagia was found associated with Angle class III malocclusion (p < 0.009).
DiscussionPernicious oral habits may be predisposing factors for malocclusions which, unfortunately, are present in the child population at an early age, causing substantial alterations in the second dentition and proving to be a real public health problem. The total sample consisted of 147 patients (100%), of which 71 were men (48%) and 76 women (52%); the prevalence of oral habits was 96.59% which differs from the results of Alonso, Bosnjak, Agurto and Montiel3,30–33 who reported prevalences of 34.8%, 33.37%, 66% and 75% respectively in studies with a larger number of individuals.
In terms of gender, prevalence was similar for both habits and malocclusions. Bayardo and Barrios34 reported that the female sex was predominant in their studies, as well as Alonso,6 stating that malocclusions were more prevalent in girls. However, Bosnjak30 found that the boys showed more habits than girls, and observed trends toward a certain gender. In general, the prevalence of oral habits according to gender in this study behaved similar for both males and females.
In relation to age, subjects between the ages of 6 and 11 years showed a higher prevalence of pernicious oral habits as well as of malocclusions. Similar results were found in studies conducted in Mexico, Brazil, Nigeria, the United State35 and Spain, which indicates that oral habits and their implications are more notorious and aggressive during the mixed dentition. Therefore, it has been established that the oral habits with higher prevalence are: lingual thrust 66.2%, lip suction 49.3%, and onychophagia 41.9%. In terms of prevalence of malocclusions, the ones with the highest observed prevalence were the following: open bite, 35.1%; lower anterior crowding, 26.4%; and upper anterior crowding, 19.6%.
In regard to the relationship of terminal planes (primary dentition), the most prevalent was the mesial step with 18.2% and for the molar classification (permanent dentition) the prevalence was higher in molar class I with 39.9%. These results agree with the ones from Montiel34 who obtained results for onychophagia with 41% and lingual thrust with 14%, showing a predisposition toward Angle’s class I. The study was carried out in a population of Mexican children of Nezahualcoyotl City, a municipality adjacent to the location in which the present study was carried out.
The study performed by Bayardo13 found a 23.7% prevalence for onychophagia, thus being the most prevalent The study was conducted in Guadalajara, Mexico; in contrast, a study conducted by Tornisiello14 in Brazil, found that the most prevalent habit was open bite with 36.4%, which cooncides with our results. According to other studies conducted by authors such as Warren5 (USA), Bishara12 (USA), Kharbanda18 (India), Bosnjak30 (Croatia) and Alonso14 (Brazil), it was found that the most prevalent pernicious oral habits were: tongue thrust, suction (thumb or lip) and onychophagia. These results are in agreement with the data obtained from this study.
ConclusionsThe most prevalent pernicious habits in the studied population were lingual interposition and thumb suction, which caused anterior open bite. Mouth breathing was found to have a relation to posterior cross bite. Thus, it is important to know the prevalence of pernicious oral habits associated with certain malocclusions that develop in early ages in order to prevent, intercept or correct during growth. In addition, it should be borne in mind that in the child population there is an increased susceptibility to develop these anomalies so preventive measures should be adopted such as periodic clinic exams, timely diagnosis, early treatment and prevent the development of more severe and costly problems. It is also important to mention that this type of anomalies should be treated in a multidisciplinary manner.










