Se presenta el caso de un paciente de 11 años con graves problemas estéticos relacionados con la presencia de dientes anómalos. Además de la maloclusión, se observaron incisivos laterales con microdoncia, apiñamiento leve inferior y forma cuadrada de arcos. El plan de tratamiento fue conservador y para obtener los mejores resultados, fue multidisciplinario: ortodoncia, tratamiento periodontal y restauraciones estéticas mínimamente invasivas. El tiempo de tratamiento fue de 20 meses, el resultado positivo se observó después de un periodo de dos años de seguimiento.
A conservative treatment for a patient with serious aesthetic problems related to the presence of anomalous teeth is hereby presented. Aside from the malocclusion, the patient had upper lateral incisors with microdontia, mild lower crowding and squared arch form. The treatment plan was conservative and for better results, multidisciplinary, involving orthodontics, periodontal treatment and minimally invasive restorations. Treatment time was 20 months. A positive result was observed after a 2-year follow-up.
La microdoncia es una anomalía en la cual están presentes dientes con un tamaño inferior a lo normal, presenta problemas que afectan la longitud de arco y la estética facial. Cuando el ancho del incisivo lateral superior (ILS) es menor, igual o hasta 0.7mm más ancho que el incisivo lateral inferior, el resultado sería exceso de material dentario inferior en relación con el superior.1 El tamaño de los dientes está determinado genéticamente y su disminución se debe al debilitamiento del órgano del esmalte durante el periodo de diferenciación. La microdoncia puede darse tanto por factores genéticos como ambientales, y se clasifica en localizada o generalizada siendo más común la primera.2 Binder y Cohen, basados en datos proporcionados por Moorrees y Moyers donde determinan el tamaño adecuado de los dientes, indican que el incisivo lateral superior es 12-14% más ancho que el incisivo lateral inferior.3 En un estudio realizado en México por Gómez-Fernández y cols., se concluyó que el 42.5% de los modelos estudiados presentó microdoncia en los incisivos laterales superiores de acuerdo con los criterios de Binder y Cohen, lo cual debe considerarse en la planeación del tratamiento ortodóncico.4 Se ha sugerido que el ancho mesiodistal de los incisivos laterales es más pequeño en personas con maloclusión clase III;5 sin embargo, otros estudios han demostrado que no hay diferencia estadísticamente significativa entre los tipos de maloclusiones y la presencia del incisivo lateral con microdoncia.6
REPORTE DEL CASOPresentación del casoSe presenta paciente de 11 años y 4 meses de edad, mesofacial, en sus antecedentes médicos odontológicos no refiere datos de relevancia clínica (Figura 1).
Análisis intraoral. Se observan los incisivos laterales microdónticos y la desviación de la línea media dental inferior con respecto a la línea media dental superior 0.5mm a la izquierda, así como clase I molar y canina bilateral, apiñamiento leve inferior y la forma de arcadas (Figura 2).
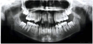
Análisis radiográfico. Se diagnostica clase I esquelética e hiperdivergencia (Figura 3). En la radiografía panorámica (Figura 4) se puede observar la presencia del segundo molar deciduo derecho y el inadecuado paralelismo radicular.
Objetivos del tratamiento. Mejorar el perfil facial, a nivel dental corregir el apiñamiento mandibular, obtener overjet y overbite adecuado, clase I canina bilateral, y las líneas medias coincidentes, así como mantener la clase I molar bilateral, las relaciones esqueléticas conservarlas respecto al inicio, lograr la correcta intercuspidación, guía de desoclusión canina y una oclusión mutuamente protegida.
Tratamiento. Se procedió a la alineación, nivelación, cierre de espacios recíprocos, utilizando una ansa en bota para cierre de espacios que se activó 1mm por mes, se hizo stripping para el detallado y posterior retención. En el análisis del progreso del tratamiento se observó un cambio a nivel facial, y una mejoría en la forma de arcadas (Figura 5 a 7).
En la radiografía lateral de cráneo de progreso presenta un cambio significativo en el perfil y a nivel dental, corroborado con los planos incisivo superior a silla nasión, incisivo superior a plano palatino, incisivo inferior a plano mandibular, ángulo interincisal, ángulo nasolabial y mentolabial. En la cual se presenta una retroclinación dental superior, retroclinación dental inferior y una modificación de tejidos blandos (Figura 8).
Resultados del tratamiento. En las fotografías extraorales finales podemos ver que se mantiene un paciente dolicofacial, un perfil adecuado. Se muestra un adecuado overbite y overjet, líneas medias coincidentes, clase I canina, clase I molar y adecuada intercuspidación, se observa la realización de restauraciones directas en resina en los laterales superiores. A nivel oclusal presenta una continuidad y forma oval a nivel maxilar y mandibular. Se colocaron retenedores circunferenciales superior e inferior (Figuras 9 a 11).
En la radiografía lateral de cráneo, se mantiene la clase I ósea, observamos hiperdivergencia y ligero cambio dental comparado con los estudios de progreso. En la radiografía panorámica se observa un aceptable paralelismo radicular y terceros molares en formación (Figuras 12 y 13).
DISCUSIÓNAutores como Kubodera y cols. determinaron el tamaño mesiodistal de los dientes en mexicanos y encontraron que en la arcada superior el diente que presenta mayor variabilidad era el incisivo lateral.7 El caso presentado tiene los incisivos laterales afectados, no obstante, los resultados obtenidos en este caso clínico coinciden con lo planteado por Gibilisco, donde él afirmaba que la zona más susceptible de presentar alteraciones de tamaño como la microdoncia, es la zona antero-superior, más específicamente, los incisivos laterales superiores, seguido de los terceros molares superiores, pero sin descartar su aparición en cualquier otro lugar de la arcada, como por ejemplo, los premolares y los incisivos inferiores.8 La microdoncia repercute directamente en la alineación de los órganos dentarios impidiendo una buena relación con los antagonistas, dando lugar a una diversidad de alteraciones que desencadenen maloclusiones, así como alteraciones en la guía de erupción de caninos superiores, provocando que éste quede retenido por palatino haciendo imposible la obtención de guías de la oclusión.9
CONCLUSIÓNDebido al impacto psicosocial que provocan por su estética comprometida, y dado que los pacientes adultos que acuden a la consulta, vienen en busca de estética la decisión sobre qué tratamiento llevar a cabo, será un consenso entre el ortodoncista, rehabilitador oral y el paciente, teniendo en cuenta el costo/beneficio según sus necesidades y expectativas, terminando el caso con resultados óptimos o favorables a nivel dental.
Este artículo puede ser consultado en versión completa en http://www.medigraphic.com/ortodoncia
Residente del segundo año de la Maestría de Ortodoncia y Ortopedia Maxilofacial en el Centro de Estudios Superiores de Ortodoncia (CESO).














