La mordida cruzada anterior es común en pacientes en crecimiento; dentro de su etiología tenemos: trauma a los incisivos primarios con desplazamiento del brote del diente permanente, exfoliación de los incisivos primarios con la desviación a palatino del incisivo permanente ocasionando el colapso de la premaxila, dientes anteriores supernumerarios y perímetro de arco deficiente.
ObjetivosCorrección de la mordida cruzada anterior e incrementar el perímetro del arco maxilar.
Presentación del casoPaciente masculino de 11 años de edad referido a la clínica de ortodoncia de DEPeI con mordida cruzada anterior y con la avulsión dentaria de un mesiodens por un traumatismo. El diagnóstico fue: leptoprosopo, clase I esquéletica, crecimiento horizontal mandibular, clase I molar y biretroclinación dental.
Tratamientoprimera fase ortopédica y segunda fase ortodóncica: Se construyó un dispositivo tipo bite-block y tornillo sagital combinado con una máscara facial.
ResultadosLa mordida cruzada anterior fue eliminada. En relación con los análisis de Steiner, Jarabak y Ricketts, los parámetros para el análisis esqueletal fueron: ángulo SNA donde se observó un incremento de 4°, en el caso de la convexidad se registró un incremento de 3mm y un aumento de 1° en el caso del ángulo SNB. En relación con los parámetros dentales se obtuvo una disminución de 1° en el ángulo interincisal y un aumento de 8° en el ángulo SN/1 sup. los tejidos blandos se modificaron favoreciendo el perfil.
Anterior cross-bites are common in growing patients due to different etiological factors such as: injury to the primary incisors with displacement of the permanent teeth; exfoliation of permanent incisors and palatal deviation because of a collapse in the premaxilla; supernumerary teeth and arch length deficiency.
ObjectivesTo present a case of an anterior crossbite orthopaedic correction.
Case reportAn 11-year-old male patient was referred to the Orthodontics Clinic with an anterior crossbite and dental avulsion of a mesiodens due to trauma. The patient presented a dolichofacial pattern, a skeletal Class I relationship, horizontal mandibular growth, Class I molar relationship and retrusive maxillary and mandibular incisors.
TreatmentFirst phase: Orthopaedics. Second phase: Orthodontics. An appliance similar to the Bite Block with a hyrax expansion screw placed parallel to the mid-palatal suture and a facial mask were constructed.
ResultsThe patient's anterior crossbite was corrected. Maxillary parameters were evaluated in relation to the Steiner, Jarabak and Ricketts analysis; SNA angle was increased by 4°, the convexity increased by 3mm and the SNB angle, by 1°. Dental parameters showed that the interincisal angle decreased by 1° whereas SN/1 sup angle was increased by 8°. The patient's soft tissues showed a positive change, which favoured the profile.
La mordida cruzada anterior es uno de los problemas ortodónticos comunes en pacientes en crecimiento. Se desarrolla generalmente en la dentición primaria y mixta como resultado de una alteración en los componentes esqueléticos, funcionales o dentales del sistema ortognático del niño. Entre los factores etiológicos más comunes tenemos: interferencia entre los incisivos provocando un desplazamiento anterior de la mandíbula, el trauma a los incisivos primarios con desplazamiento del brote del diente permanente, retraso en la exfoliación de los incisivos primarios con la desviación a palatino del incisivo permanente en erupción, dientes anteriores supernumerarios, odontomas, patrones congénitos anormales de erupción y perímetro de arco deficiente.
Cuando este tipo de maloclusión continúa en la dentición permanente sin la corrección, da lugar a una reducción de las opciones del tratamiento y proporcionará un ambiente menos ideal para un crecimiento en forma ordenada.
Mordida cruzada anteriorEs más común observarla en pacientes con una relación maxilar de clase III esquelética. Se caracteriza porque uno o más dientes anterosuperiores se encuentran ocluyendo en la cara lingual de los inferiores.1
EtiologíaErupción anormal de los incisivos permanentes ocasionando interferencias, dientes supernumerarios en el sector anterior, odontomas, esquema anormal congénito de la erupción, deficiencia del perímetro del arco, apiñamiento de los dientes antero superiores.2 Es importante diferenciar un problema esquelético de una mordida cruzada debido a un desplazamiento dental.
Tipos- •
Mordida cruzada anterior dentaria:
El factor etiológico más común es la falta de espacio para los incisivos permanentes, los incisivos superiores se mantienen linguales a la línea del arco dental y erupcionan hacia la mordida cruzada, usualmente involucra uno o dos dientes; el perfil facial es recto en oclusión céntrica y relación céntrica, relación molar y canina de clase I. En el análisis cefalométrico los ángulos SNA, SNB, ANB son normales.2
- •
Mordida cruzada anterior funcional (pseudo clase III):
El movimiento en el que la mandíbula alcanza la oclusión final del movimiento mediante un desplazamiento anterior con una relación clase III molar en oclusión céntrica y clase I en relación céntrica. Se logra contacto borde a borde en relación céntrica. Y el perfil facial recto en relación céntrica y cóncavo en máxima intercuspidación. En el análisis cefalométrico se pueden presentar un falso normal ANB.1,2
- •
Mordida cruzada anterior esqueletal:
El pronóstico es desfavorable. Relación molar y canina clase III tanto en oclusión céntrica como en relación céntrica, no se logra borde a borde en relación céntrica, el perfil es cóncavo acompañado de retroquelia superior, mentón prominente y tercio inferior disminuido. En el análisis cefalométrico los ángulos SNA son menores, SNB mayor y ANB negativo. La dirección de crecimiento es horizontal.
El perfil de los tejidos blandos influye en la fisonomía, pero no siempre se corresponde con la anatomía anteroposterior de las estructuras óseas.
El perfil cóncavo de tejidos blandos indica una relación intermaxilar sagital de clase III y los tejidos del mentón se desplazan excesivamente hacia adelante en relación al punto subnasal.2
Al diagnosticar a un paciente una maloclusión clase III en la dentición permanente, las opciones de tratamiento son limitadas, particularmente cuando existe un componente esquelético. El tratamiento incluye ortodoncia, extracciones y/o cirugía ortognática.
En pacientes en dentición mixta o decidua con diagnóstico de maloclusión clase III, el tratamiento más popular es la máscara facial ortopédica popularizada por Delair (1971-1976) y modificada por Petit (1982-1983). La máscara facial produce buenos resultados en un corto periodo de tiempo para la mayoría de pacientes clase III.
Jean Delaire y P. Verdon, desarrollaron la máscara facial en 1969. Inicialmente para compensar las insuficiencias maxilares consecutivas al paladar hendido y después se utilizó para corregir la Clase III y encontraron que la máscara era efectiva en la mayoría de los pacientes entre 5 y 8 años de edad; debido a que el sistema del dispositivo afecta casi todas las áreas que contribuyen a la maloclusión Clase III como la retrusión esquelética maxilar, prognatismo mandibular y la disminución de altura antero inferior. Por lo tanto, se aplica a la mayoría de los pacientes clase III en desarrollo independiente de la etiología específica.
El plan de tratamiento inicial es con un disyuntor del maxilar, obteniendo la expansión rápida del maxilar (ERM) combinado con protracción del maxilar empleando la máscara facial de Petit, la cual se coloca 10 días después de haber comenzado la expansión, los elásticos con los que se hará la tracción deben dirigirse en sentido horizontal ligeramente descendente. Petit recomienda el uso de elásticos de 800g por lado inclusive hasta 1,500g por lado, es decir 3,000g en total. El uso de la máscara facial será de 3 a 6 meses hasta obtener una sobremordida horizontal de 2-5mm y posteriormente se recomienda utilizar un periodo adicional de 3 a 6 meses.
La máscara facial produce una protracción posteroanterior esquelética del maxilar, ayuda a mejorar el crecimiento en la parte anterior del maxilar y la premaxila, con un movimiento mesial del arco dentario superior en relación con la base maxilar. En la mandíbula modifica la dirección y cantidad de crecimiento del cartílago condilar y remodelación del mentón e inclinación lingual de los incisivos inferiores.3
S. Sari,4 et al realizaron un estudio para evaluar un método pasivo para corregir la mordida cruzada anterior de un solo incisivo por medio de un plano inclinado de resina. En una muestra de 35 niños de 7 a 11 años en los que se construyó un plano inclinado de 3-4mm y 45° respecto al eje longitudinal del diente sobre los bordes incisales de los incisivos mandibulares, verificando que existiera un solo punto de contacto entre ambos arcos a nivel de los incisivos. Al término de una semana, 33 casos de mordida cruzada fueron corregidos por este método y de los dos casos que no fueron corregidos, uno presentaba sobremordida vertical profunda y el segundo tenía un incisivo rotado junto con la mordida cruzada. Los autores concluyen que un plano inclinado es una técnica para corregir la mordida cruzada anterior de un solo diente incisivo.
En el 2004, A. Osman Bengi et al,5 utilizaron un dispositivo tipo bite-block con un tornillo tipo Hyrax colocado paralelo a la sutura media palatina y soldado a las bandas de los primeros molares para llevar a cabo una exitosa distracción osteogénica de la premaxila como un tratamiento alternativo en pacientes adultos con hipoplasia maxilar y mandíbula retrognática en una paciente femenina de 18.2 años con una clase III esquelética con hipoplasia de la premaxila y mandíbula retrognática; el dispositivo fue cementado en boca después de los procedimientos quirúrgicos (osteotomía maxilar segmental), la paciente fue observada durante el periodo de latencia (siete días) después del cual se activó el tornillo 0.5mm cada 12 horas eliminando la mordida cruzada en una semana.
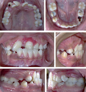
PRESENTACIÓN DEL CASOHistoria clínicaPaciente masculino de 11 años de edad remitido a la clínica de la DEPeI con mordida cruzada anterior y perfil convexo. De acuerdo con su historia médica sufrió una avulsión dentaria de un mesiodens por un traumatismo, ningún antecedente patológico fue reportado. Sus padres y hermanos no exhiben características de clase III. Su madre se preocupa por su apariencia.
Análisis facial. El paciente presenta un patrón leptoprosopo, con una asimetría facial y surcos nasolabial y subnasal marcados debido a la depresión de la porción superior del tercio inferior. Su perfil es convexo con un mentón poco prominente; un labio superior retraído y el labio inferior protruido en relación con la línea estética.
Análisis intraoral. La línea media dental inferior está desviada a la izquierda. Se observa una mordida cruzada anterior y en relación céntrica el contacto entre incisivos no llega a ser borde a borde. En oclusión céntrica se obtiene una sobremordida horizontal negativa de -2mm con una relación molar clase I. La dentición es mixta con caries, presentaba restauración de amalgama en el 45 y caries en los órganos dentarios 53, 55, 24, 65, 74 y 75.
Análisis radiológicoEn las radiografías panorámicas y periapicales las estructuras esqueletales y alveolares son normales a excepción de los ápices de los incisivos centrales y lateral superior derecho que no están bien delimitados.
Un cefalograma fue hecho en oclusión céntrica así como los análisis cefalométricos de Steiner, Jarabak y Ricketts (Cuadro I).
Datos cefalométricos del paciente antes del tratamiento de ortopedia
| Dato cefalométrico | Norma | Paciente |
|---|---|---|
| Análisis de Steiner | ||
| SNA | 82° | 84° |
| SNB | 80° | 81° |
| ANB | 2° | 3° |
| SN/GoGn | 32° | 34° |
| Análisis de Jarabak | ||
| AFA | 112 mm | 110 mm |
| AFP | 71 ± 3 mm | 73 mm |
| Análisis de Ricketts | ||
| Profundidad facial | 83° | 84° |
| Profundidad maxilar | 90 ± 3° | 87° |
| Convexidad Ricketts | 2 ± 2 mm | 3 mm |
| Altura facial inferior | 47 ± 4° | 49° |
| Eje facial Ricketts | 90 ± 3.5° | 90° |
| Cono facial | 68° | 66° |
| Plano mandibular | 26° | 32° |
| Arco mandibular | 26° | 29° |
| Longitud del cuerpo mandibular | 72 mm | 72 mm |
| Parámetros dentales Steiner | ||
| 1a-NA | 4 mm | 1 mm |
| 1a-NA | 22° | 10° |
| 1a-NB | 4 mm | 8 mm |
| 1aNB | 25° | 25° |
| Parámetros dentales Jarabak | ||
| SN/1 Sup | 102° | 94° |
| GoGn/1inf | 90 ± 2° | 90° |
| 130 ± 6° | 142° | |
| Tejidos blandos Ricketts/MacNamara | ||
| < Nasolabial | 102° | 109° |
| Labio sup a LE | 0-4 mm | 1.5mm |
| Labio inf a LE | 0-2 mm | 4mm |
De acuerdo con el análisis de Steiner, los ángulos SNA 84°, SNB 81°, ANB 3° indican una clase esquelética I biprotrusiva, el ángulo mandibular 34° indica un ligero crecimiento vertical mandibular. En relación con el análisis de Jarabak, la altura facial anterior (AFA) 110mm en norma y la altura facial posterior 73mm indican también un crecimiento vertical posterior mandibular. Respecto al análisis de Ricketts, la profundidad facial 84° en norma, profundidad maxilar 87° en norma 90° ± 3°, convexidad 3mm indicando clase esquelética I biprotrusiva, altura facial inferior 49°, cono facial 66°, plano mandibular 32°, arco mandibular 29° y eje facial 90° registran un crecimiento ligeramente vertical de la mandíbula. En los tres análisis, los incisivos maxilares se registraron retrusivos y retroclinados, contrario a los incisivos mandibulares que se encontraban en una posición normal sobre su hueso basal: análisis de Steiner ángulo 1aNa 10°, distancia 1aNa 1mm, ángulo 1aNB 25°, distancia 1aNB 8mm. Análisis de Jarabak ángulo SN/1 sup 94°, ángulo Go/Gn 1 inf 90°, ángulo interincisal 142°.
El labio superior, en relación con la línea estética, se encontraba en una posición retruida y el labio inferior en protrusión. El ángulo nasolabial estaba aumentado por el poco soporte labial que ofrecían los centrales superiores (Figuras 1 a 5).
Clase I esquelética biprotrusiva, crecimiento vertical del maxilar.
DentalRelación molar clase I, incisivos superiores retroclinados, incisivos inferiores en norma, dentición mixta, mordida cruzada anterior, forma de arcos superior e inferior cuadrados, sobremordida horizontal de -2mm y sobremordida vertical de 3.5mm.
FacialLeptoprosopo, asimetría facial, surcos nasolabial y subnasal acentuados, depresión de la porción superior del tercio inferior, perfil convexo, mentón poco prominente, labio superior retraído e inferior protruido.
OBJETIVOS DEL TRATAMIENTOLos problemas significantes fueron un colapso de la premaxila con una sobremordida horizontal negativa y la ausencia de un perfil aceptable.
De esta manera los objetivos del tratamiento fueron los siguientes:
- •
Corrección de la mordida cruzada anterior.
- •
Finalizar el tratamiento con un perfil aceptable.
- •
Incrementar el perímetro del arco maxilar.
- •
Disminuir el ángulo nasolabial.
- •
Eliminar la depresión maxilar que provoca que se acentúen los surcos nasolabial y subnasal.
Se construyó un dispositivo tipo bite-block con un tornillo disyuntor colocado en posición sagital combinado con una máscara facial de vástago vertical como apoyo para evitar la distalización de los órganos dentarios posteriores (Figuras 6 y 7).6
PROGRESO DEL TRATAMIENTOEl dispositivo de acrílico termo curable con un tornillo disyuntor fue colocado en posición sagital involucrando los órganos dentarios posteriores con una extensión anterior del tornillo apoyado en la premaxila y en el cíngulo de los dientes anteriores, fue diseñado para ejercer un movimiento anterior de 3.8mm. El plan de tratamiento fue explicado al paciente y su tutor obteniendo la aprobación de ambos.
Construcción del dispositivo de acrílico termo curable con un tornillo disyuntorSe obtuvieron modelos de trabajo de una impresión en alginato, el tornillo disyuntor tipo Hyrax se colocó paralelo a la sutura palatina y la extensión anterior del tornillo se ubicó en la premaxila y cíngulo de los dientes anteriores superiores. Las coronas de los dientes maxilares posteriores fueron cubiertas con acrílico de termocurado, fue recortado y pulido al alto brillo.
PROTOCOLO DE ACTIVACIÓNEl paciente fue monitoreado durante cuatro meses, se le indicó activar el tornillo 0.25mm cada tercer día por 46 días para obtener 3.83mm y utilizar la máscara facial de vástago vertical 14 horas al día para evitar la distalización del segmento posterior del maxilar superior (elásticos de ¼” de cada lado, 16 onzas, 453.5g).
El periodo de retención fue de tres meses, después del cual el dispositivo fue removido.
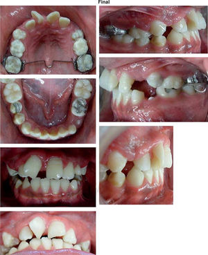
RESULTADOS DEL TRATAMIENTOLa mordida cruzada anterior del paciente fue eliminada y las radiografías y trazos cefalométricos de Steiner, Jarabak y Ricketts fueron repetidos al término de la fase ortopédica.
Parámetros esqueletalesEn relación con el análisis de Steiner se observó que el ángulo SNA 84° antes y 87° posterior se incrementó 3° modificando el punto A. El ángulo SNB 81° antes y 82° posterior aumentó 1°, lo que indica una ligera rotación de la mandíbula en el sentido contrario de las manecillas del reloj (CCW), ángulo ANB 3° antes y 5° posterior se incrementó 2°, ángulo SN/GoGn 34° inicio y 33° posterior con una disminución de 1°. De acuerdo con el análisis de Jarabak, la altura facial anterior (AFA) 110mm inicial y 112mm posterior aumento 2mm y la altura facial posterior (AFP) 73mm inicio y 75mm posterior incrementándose 2mm.
En lo que respecta al análisis de Ricketts, la profundidad facial 84° inicio y 84.5° posterior con un aumento de 0.5° confirma la rotación mandibular, la profundidad maxilar 87° inicial y 90° final aumento 3°, la convexidad 3mm inicio y 6mm posterior aumentó 3mm, altura facial inferior 49° inicio y 48° posterior disminuyó 1° manifestándose en el tercio inferior de los tejidos blandos; eje facial 90° inicio y 90.5° final con un aumento de 0.5°, cono facial 66° inicio y 67° posterior con un incremento de 1°, plano mandibular 32° inicio y 31° posterior con una disminución de 1°, arco mandibular 29° inicio y 28° final disminuyendo 1° y en términos de la longitud del cuerpo mandibular 72mm inicio y 72mm final sin diferencia.
Parámetros dentalesDe acuerdo con el análisis de Steiner, ángulo 1aNA 10° inicio y 15° final con un proclinación de 5°, distancia 1aNa 1mm inicio y 3mm al término registrando una protrusión de 2mm, ángulo 1aNB 25° inicio y 19° posterior indica una retroclinación de 6°, distancia 1aNB 8mm inicio y 5mm posterior registrando una disminución de 3mm en el incisivo.
En el análisis de Jarabak se registró el ángulo SN/ 1 sup 94° inicio y 103° posterior incrementando la proclinación 9°, ángulo GoGn/ 1 inf 90° inicio y 85° posterior con una disminución de 5° y respecto al ángulo interincisal 142° inicio y 141° términó con una disminución de 1°.
Parámetros facialesEn lo que respecta a los tejidos blandos, en relación con la línea estética (LE) labio superior 1.5mm inicio y 2.5mm posterior con un aumento de 1mm, la protrusión labial eliminó la depresión en esa zona, el labio inferior 4mm inicio y 1.5mm posterior disminuyó 2.5mm favoreciendo el perfil. El ángulo nasolabial 109° inicio y 107° posterior con una disminución de 2°. El tercio inferior que va de estomión a mentoniano (Sn-Me) conservó la relación 1:2, subnasal a estomión superior 23mm inicio y 24mm posterior con un aumento de 1mm y en relación con estomión inferior a mentoniano 47mm inicio y 48mm posterior con un incremento de 1mm.
La sobremordida horizontal de -2mm inicio y 2mm posterior se incrementó 4mm obteniéndose una sobremordida vertical de 2mm.
La sobreposición de los trazos cefalométricos ilustran los cambios del paciente (Figuras 8 a 13 y Cuadro II).
Datos cefalométricos antes y después del tratamiento de ortopedia
| Dato cefalométrico | Antes del Tx | Después del Tx |
|---|---|---|
| Análisis de Steiner | ||
| SNA | 84° | 87° |
| SNB | 81° | 82° |
| ANB | 3° | 5° |
| SN/GoGn | 34° | 33° |
| Análisis de Jarabak | ||
| AFA | 110 mm | 112mm |
| AFP | 73 mm | 75mm |
| Análisis de Ricketts | ||
| Profundidad facial | 84° | 84.5° |
| Profundidad maxilar | 87° | 90° |
| Convexidad Ricketts | 3 mm | 6mm |
| Altura facial inferior | 49° | 48° |
| Eje facial Ricketts | 90° | 90.5° |
| Cono facial | 66° | 67° |
| Plano mandibular | 32° | 31° |
| Arco mandibular | 29° | 28° |
| Longitud del cuerpo mandibular | 72 mm | 72mm |
| Parámetros dentales Steiner | ||
| 1a-NA | 1 mm | 3mm |
| 1a-NA | 10° | 15° |
| 1a-NB | 8 mm | 5mm |
| 1a-NB | 25° | 19° |
| Parámetros dentales análisis de Jarabak | ||
| SN/1 Sup | 94° | 103° |
| GoGn/1inf | 90° | 85° |
| < Interincisal | 142° | 141° |
| Tejidos blandos Ricketts/MacNamara | ||
| < Naso labial | 109° | 107° |
| Labio sup a LE | 1.5 mm | 2.5 mm |
| Labio inf a LE | 4 mm | 1.5mm |
Actualmente, el uso de ortopedia dentofacial, ortodoncia y cirugía ortognática nos brindan alternativas en las diferentes etapas de crecimiento y desarrollo, pero lo más importante es el tratamiento de esta maloclusión en sus fases tempranas.
En estudios relacionados a la corrección de la mordida cruzada anterior mediante dispositivos fijos en la mandíbula S. Sari et al4 emplearon un plano inclinado de resina, colocado sobre los bordes incisales de los incisivos mandibulares para la corrección de las mordidas cruzadas anteriores en 35 niños de 7 a 11 años; ellos observaron que se obtienen resultados satisfactorios sin utilizar la máscara facial.
El dispositivo tipo bite-block que diseñó en el 2004 A. Osman Bengi5,6 para obtener una distracción maxilar exitosa empleando una osteotomía que incluía las aperturas piriformes bilateralmente y la espina nasal anterior (ENA) fue avanzada con el segmento anterior. Se planeó un movimiento de intrusión a 15° para modificar el labio superior y la punta de la nariz, mejorando el perfil nasal. No se ha reportado el dispositivo de A. Osman Bengi en tratamientos ortopédicos, en nuestro caso clínico empleamos la máscara facial como medio de anclaje para evitar la distalización de los órganos dentarios posteriores obteniendo una mejor forma de la premaxila, una rotación CCW de la mandíbula y una inclinación lingual de los incisivos inferiores.
CONCLUSIONESLos análisis cefalométricos son auxiliares que tienen que ser tomados en cuenta conjuntamente con la facies de cada paciente y no de manera tajante durante el diagnóstico y evaluaciones posteriores al tratamiento.
El uso de aparatos ortopédicos en pacientes en crecimiento es útil y de manejo sencillo; la corrección de mordida cruzada anterior con ortopedia será exitosa en el caso que los factores como el estadio de crecimiento, crecimiento remanente, dirección del crecimiento (controlado por nosotros) y la cooperación del paciente nos sean favorables.
Se logran cambios importantes con el dispositivo tipo bite-block con tornillo disyuntor colocado en posición sagital combinado con máscara facial para corregir la mordida cruzada anterior donde es importante controlar la altura vertical inferior, estos resultados a futuro simplificarán el tratamiento de ortodoncia y evitarán posibles extracciones.
Este artículo puede ser consultado en versión completa en http://www.medigraphic.com/ortodoncia
















