Este caso fue diseñado para compensar la ausencia del primer molar inferior unilateral mediante mesialización tradicional del segmento posterior, devolviendo la función y estética perdida. Se realiza el movimiento mesial del segundo y tercer molar inferior, controlando la posición de los incisivos, cuando se requiere perder anclaje para cerrar el espacio del primer molar inferior. De esta manera la mesialización tradicional es importante en resolver los problemas que involucran la ausencia del primer molar, evitando la inclinación de las piezas adyacentes hacia el espacio, extrusión del molar antagonista o problemas periodontales que inducen una falta de apoyo, estimulación e higiene. Se presenta paciente masculino de 31 años de edad, quien a la consulta reporta «mejorar mis dientes chuecos». Al análisis clínico y radiográfico aparentemente simétrico, dolicocefálico, hiperdivergente, clase II esquelética por protrusión maxilar, intraoralmente presenta clase I molar izquierda y derecha no valorable; clase canina no valorable ambos lados por desoclusión; apiñamiento moderado en arcada superior e inferior. Se utilizó la técnica de slot 0.022”, el tratamiento ortodóntico consistió en extracciones de primeros premolares superiores e inferiores, se colocó anclaje, alineación-nivelación .014” a .018” NiTi, la mesialización tradicional se realizó con el arco 0.019” × 0.025” SS, a cada lado a la altura de los caninos, lleva dos ansas en forma de ojo de cerradura, su activación fue a través de una ligadura metálica que va desde el hook del molar hasta el ansa distal provocando su apertura 1 milímetro por mes. Una vez que se obtuvo la clase I canina, se colocaron elásticos cortos de arriba abajo para una mejor intercuspidación. Se lograron resultados faciales, dentales, estéticos y funcionales satisfactorios que se mantienen en la fase de retención con retenedor circunferencial superior e inferior.
This case was designed to compensate for the absence of the lower first molar by means of traditional mesialization of the posterior segment thus restoring the lost function and aesthetics. Mesial movement of the lower second and third molars was performed, while controlling the incisor position, when losing anchorage is required. Mesialization of the posterior segment is important to solve problems involving the absence of the first molar since this procedure prevents tilting of adjacent teeth towards the edentulous space, extrusion of the antagonist, or periodontal problems, all of which induce a lack of support, stimulation and hygiene. The case reports a male patient of 31 years of age with a non-contributory medical history, who wished to «improve my crooked teeth». Clinical and radiographic analysis revealed an apparently symmetrical, dolichocephalic, hyperdivergent, skeletal class II due to maxillary protrusion. Intraorally, hepresented a non-assessable molar class on the right side and a class I on the left; a non-assessable right and left canine class due to disocclusion and moderate crowding in upper and lower arch. Orthodontic treatment consisted in upper and lower first premolar extractions; anchorage and 0.022” Roth fixed appliances alignment and leveling was performed with the following archwire sequence: 0.014”-0.018” NiTi. For space closure, a 0.017” x 0.025” SS double keyhole loop archwire with Suzuki ligature was used. The segments were anchored for mesialization of teeth #47-48, using bilateral class II elastics; second order bends were done for tooth #47 to parallelize the roots and short up and down elastics were placed for better intercuspation. Satisfactory facial, dental, aesthetic and functional results were obtained. In the retention phase, an upper and lower circumferential retainer were used.
Actualmente, el especialista tiene un papel importante para solventar la pérdida de un primer molar permanente, brindándole al paciente soluciones a través del tratamiento ortodóntico. Por lo cual este caso evita las terapias invasivas como los implantes, valiéndonos de una mesialización tradicional del segmento posterior, en el cual cabe señalar que es menos agresiva y más duradera para el paciente, si lo comparamos con el protésico. Mesializar de manera tradicional el segmento posterior tiene beneficio en el paciente de la siguiente manera: a) Aliviar el apiñamiento para conseguir una alineación estable de la dentición;. b) Retraer los incisivos superiores e inferiores para mejorar el perfil facial o la oclusión en biprotrusión maxilar; d) Mesializar los molares, aumentando el espacio para la erupción de los terceros molares.1
Se debe tomar en cuenta en la mesialización tradicional, la calidad del hueso alveolar remanente en el espacio edéntulo, espacio adecuado para la colocación del nuevo molar en sentido vestíbulo-lingual del reborde alveolar y ausencia de defectos periodontales en los dientes adyacentes a la brecha.2
El diagnóstico y plan de tratamiento determinan si los molares se mantienen en su sitio o son movidos hacia mesial. Las alternativas que se deben considerar para realizar la mesialización tradicional son: la edad del paciente, posición ocupada por el diente, estado del segmento posterior, estabilidad, condición ósea, inclinación, torsión y rotación.3
Little y Reidel (1990) comentan que la mesialización tradicional como una alternativa en el tratamiento ortodóncico, dependerá de un adecuado sistema biomecánico, para lograr una correcta interdigitación posterior y pocos cambios a nivel facial.4
La magnitud de la fuerza aplicada en la mesialización tradicional del segmento posterior según los autores; un ansa suministra una fuerza continua y controlada que induce un movimiento dental aproximado de un milímetro por mes, pero sin permitir un recorrido superior a dos milímetros, de manera que el movimiento cese si el paciente falta dos veces a su consulta mensual. Esta ansa de cierre debe suministrar la fuerza ideal con una activación de 1.5mm, y debe mantener una parte significativa de la misma al menos hasta llegar a los 0.5mm.5,6
El objetivo de este caso fue compensar la ausencia del primer molar inferior mediante mesialización tradicional del segmento posterior, devolviendo la función y estética perdida.
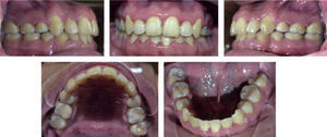
PRESENTACIÓN DEL CASOPaciente masculino de 31 años de edad, refiere «mejorar mis dientes chuecos». En la evaluación extraoral se observa tipo de cara dolicocefálico, línea media dental inferior desviada en 2mm a la izquierda con respecto a la facial, crecimiento vertical, perfil convexo y buen contacto labial. En la evaluación intraoral se observa apiñamiento dentoalveolar superior de -8mm y -7mm inferior; sobremordida vertical 1mm y sobremordida horizontal 3mm, clase canina derecha e izquierda no valorables por desoclusión y clase I molar izquierda; derecha no valorable (Figuras 1 a 4).
Se utilizó el método de arco continuo con ansas de cierre o doble llave; es un arco de acero que tiene dos ansas de cada lado que se utilizan para realizar movimientos sagitales del segmento posterior con el objeto de cerrar los espacios creados por las extracciones. Se utilizó la técnica de slot 0.022” el arco 0.019” × 0.025” SS, a cada lado a la altura de los caninos, lleva dos ansas en forma de ojo de cerradura. Cuando este arco está instalado, estas ansas deben estar equidistantes por mesial y distal del bracket de cada canino. Se colocó el arco una vez que la arcada superior e inferior están alineadas, niveladas y con buena expresión de los torques, su activación fue a través de una ligadura metálica que va desde el hook del molar hasta el ansa distal provocando su apertura 1 milímetro por mes. Una vez que se obtuvo la clase I canina, se colocaron elásticos cortos de arriba abajo para una mejor intercuspidación (Figura 5).
RESULTADOSEn este trabajo resultó provechosa la mesialización tradicional al introducir un torque positivo de +15° en el segmento posterior del arco doble llave, en la cual las raíces se alejaron de la cortical vestibular hacia hueso esponjoso facilitando el movimiento mesial del segundo y tercer molar derecho, provocando las siguientes ventajas: mejoró la capacidad de recuperación del torque de los incisivos, evitó la extrusión del sector anterior, movilizó el segundo molar inferior hacia mesial minimizando el efecto de la retroinclinación coronaria y reduce el efecto de intrusión en el sector lateral.
Se favoreció aún más la mesialización tradicional del segundo y tercer molar desgastando el calibre del arco en el sector posterior donde se aumentó la fricción, con una duración de ocho meses de tratamiento ortodóntico, y fuerza aplicada de 150 gramos.
Se realizaron dobleces de segundo orden a nivel del segundo molar inferior derecho para paralelizar las raíces, en el cual se presentó una leve reabsorción radicular, sin recesión gingival.
Al final del tratamiento ortodóntico, se obtuvo adecuada estabilidad oclusal, buen estado óseo, inclinación, torsión y rotación.
El examen extraoral revela un adecuado balance facial y perfil, sonrisa amplia y en la ortopantomografía final, un aceptable paralelismo radicular (Figuras 6 a 10).
DISCUSIÓNLos molares inferiores se mueven mesialmente con menor facilidad que los superiores, lo cual es atribuido a la estrechez del proceso alveolar; sin embargo, al evaluar la formación radicular del segundo y tercer molar, aumenta la posibilidad de una adecuada estabilidad oclusal. Este estudio hace referencia para compensar la ausencia del primer molar inferior mediante mesialización tradicional del segmento posterior, devolviendo la función y estética perdida.
Los investigadores Brandt6 y Seddon7 recomiendan realizar la mesialización tradicional del segmento posterior en los tres meses siguientes a la ausencia del primer molar permanente, de lo contrario se corre el riesgo de crear una inclinación indeseable de los segundos molares, con pérdida de hueso.
McLaughlin,8 Carano9 y Williams10 estudiaron la mesialización tradicional, asociando la condición ósea, inclinación, torsión y rotación.
Los resultados del presente estudio coinciden con Luecke11 que informa que la biomecánica para la mesialización tradicional del segmento posterior es muy compleja y el tratamiento se prolongaría más que cuando se hacían otros tipos de extracciones diferentes a la de premolares, pero en los diferentes artículos de reporte de casos presentados e igualmente en el actual reporte se encontró que es un tratamiento exitoso cuando se hace un adecuado diagnóstico y diseño biomecánico efectivo.
Asimismo coincidimos con Sandler12 y Moldez13 que concluyen que la mesialización tradicional del segmento posterior es indicada sobre alambres rectangulares que llenen la ranura para la expresión del torque, rotaciones, anclaje y el manejo de dobleces compensatorios o torques diferentes en los segundos y terceros molares para evitar movimientos indeseables.
CONCLUSIONESElaborar un buen diagnóstico, dará como resultado un excelente plan de tratamiento, guiando al especialista a tomar la decisión correcta en beneficio del paciente y de la prédica misma. En este caso se determinó realizar extracciones de primeros premolares superiores e inferiores para poder lograr la clase I dental, obteniendo buenos resultados en el establecimiento de la relación molar deseada y nulos efectos indeseables.
Compensar la ausencia del primer molar inferior mediante mesialización tradicional del segmento posterior es un método alternativo, con un tiempo aceptable de tratamiento.
Lograr un control de la estabilidad oclusal mediante un diseño adecuado en el retenedor.
Este artículo puede ser consultado en versión completa en http://www.medigraphic.com/ortodoncia












