Los mucoceles son masas benignas, quísticas, expansivas, localmente invasivas, localizadas en los senos paranasales que ocurren en el seno frontal aproximadamente en el 65%, etmoidal en el 25%, maxilar en el 10% y esfenoidal, extremadamente rara, en el 1%. Los síntomas son causados principalmente por compresión de estructuras adyacentes por expansión gradual y erosión de las paredes óseas, generando manifestaciones oftalmológicas como dolor e inflamación periorbitaria en el 39%, exoftalmos en el 24%, disminución de agudeza visual en el 17%, diplopía en el 13% y alteración de músculos extraoculares en el 5%.
Presentación del casoPaciente masculino de 90 años acudió por presentar ptosis palpebral izquierda, cefalea ipsilateral y diplopía de inicio súbito sin antecedentes de trauma o cirugía previa.
DiscusiónEl mucocele esfenoidal es una enfermedad rara y debido a su curso insidioso se diagnostica de forma tardía, siendo de elección la tomografía axial computarizada de senos paranasales con contraste, con apoyo en las manifestaciones oftalmológicas.
ConclusionesSe revisó la literatura, no encontrando reportes previos de síndrome de seno cavernoso secundario a mucocele esfenoidal. El abordaje multidisciplinario es necesario para realizar un diagnóstico certero.
Mucoceles are benign, cystic, expansive, locally invasive masses located to the paranasal sinuses that occur in the frontal sinus approximately in 65%, ethmoidal 25%, maxillary 10% and sphenoidal extremely rare in 1%. The presenting symptoms are primarily caused by compression of adjacent structures by gradual expansion and bony wall erosion, generating ophthalmologic manifestations as periorbital swelling and pain 39%, exophthalmos 24%, decreased visual acuity 17%, diplopia 13% and extraocular muscle disturbance 5%.
Case presentationA 90 year old male patient attended for presenting left palpebral ptosis, ipsilateral headache and sudden onset diplopia without trauma or previous surgery history.
DiscusionThe sphenoidal mucocele is a rare and insidious disease therefore has a late diagnosis; the gold standard diagnostic method is the paranasal sinuses contrasted axial computed tomography, supported in ophthalmic clinical manifestations.
ConclusionsLiterature was reviewed and no previous reports of cavernous sinus syndrome secondary to sphenoidal mucocele were found. Multidisciplinary approach is needed to make a certain diagnosis.
Los mucoceles son masas benignas, quísticas, expansivas, localmente invasivos, localizados en los senos paranasales llenos de moco en general aséptico, producto de la secreción sinusal y que va modificando su concentración de proteínas, los cuales se encuentran delimitados por epitelio columnar ciliado seudoestratificado1. Estas lesiones ocurren en todos los senos paranasales, siendo el sitio de localización más frecuente el seno frontal con aproximadamente el 65%, seguido de los senos etmoidales con el 25% y maxilares con el 10%, siendo el mucocele esfenoidal una presentación extremadamente rara de esta patología pues está presente en solo el 1% de los casos2,3. Esta baja incidencia es debida principalmente a la localización del seno esfenoidal en el tracto respiratorio superior y al escaso componente mucinógeno de la mucosa del seno esfenoides que de forma inusual causa problemas en su drenaje.
El mecanismo de desarrollo de los mucoceles aún no está claro, pero las hipótesis más aceptadas han postulado que la obstrucción e insuficiente drenaje, degeneración quística del epitelio glandular, presencia de elementos embrionarios, trauma y cirugía previa causan su desarrollo4. Existen 2 teorías que explican la fisiopatogenia de este padecimiento: una es la teoría de la expansión, que propone el crecimiento de la cavidad sinusal debido al atrapamiento de aire y moco producido por el epitelio respiratorio; la otra teoría es la dinámica, que postula la aparición de una infección agregada que puede obstruir el ostium del seno paranasal, estimulando a los linfocitos y los monocitos para que liberen citosinas que a su vez activan los fibroblastos para la producción de prostaglandinas y colagenasa con reabsorción ósea y expansión del seno paranasal afectado5.
En México los factores etiológicos han sido estudiados recientemente, y se enuncian como los más comunes: rino-sinusitis crónica, intervenciones rino-sinusales, pólipos nasales, rinitis alérgica como el caso del paciente y alguna combinación de los anteriores6.
El seno esfenoidal está separado por una pared ósea muy delgada de 13 estructuras anatómicas importantes; la duramadre, la glándula hipófisis, el nervio óptico y el quiasma, el seno cavernoso, la carótida interna, el nervio abductor, el nervio oculomotor, el nervio troclear, el nervio oftálmico, el nervio maxilar, el ganglio esfenopalatino, la arteria esfenopalatina, el canal pterigoideo y su nervio1.
Lateralmente la pared del esfenoides se continúa con el seno cavernoso y las estructuras anatómicas que esta porción reúne (figura 1).
Los síntomas de presentación de los mucoceles son causados principalmente por compresión de las estructuras adyacentes, ya que presentan expansión gradual, la cual resulta en la erosión de las paredes óseas que los contienen, generando así manifestaciones oftalmológicas como dolor e inflamación periorbitaria (39%), exoftalmos (24%), disminución de agudeza visual (17%), diplopía (13%) y alteración de músculos extraoculares (5%)7.
Cuando se presenta invasión del mucocele a través de las paredes del seno esfenoidal hacia el seno cavernoso, pueden aparecer las manifestaciones clínicas conocidas como síndrome del seno cavernoso como son: parálisis del iii, iv, v y vi nervios craneales ipsilaterales a la lesión, manifestándose con ausencia de ducciones tanto horizontales como verticales y torsionales, así como ptosis palpebral y midriasis arrefléctica, manifestaciones con las cuales cursó nuestro paciente y por las cuales se sospechó del diagnóstico sindrómico.
Presentación del casoSe trata de paciente masculino de 90 años quien acudió por presentar ptosis palpebral izquierda, cefalea ipsilateral y diplopía de inicio súbito sin antecedente de trauma o cirugía previa.
Presentó los antecedentes de hipertensión arterial sistémica de 19 años de evolución, cardiopatía isquémica tratada con angioplastia percutánea en 1994, insuficiencia renal crónica de un año de diagnóstico sin tratamiento sustitutivo de la función renal, insuficiencia venosa periférica, rinitis alérgica sin tratamiento actual y resección transuretral de próstata por hipertrofia prostática benigna.
Antecedentes oculares: se le realizó extracción extracapsular de catarata más implante de lente intraocular en ambos ojos en 1999, negando algún otro antecedente oftalmológico.
Inició su padecimiento de forma súbita el día 12 de abril de 2013 con la presencia de ptosis palpebral izquierda, dolor retroocular, cefalea ipsilateral y diplopía en todas las posiciones de la mirada excepto al frente, negando disminución visual o alguna otra sintomatología por lo cual se solicitó interconsulta a oftalmología, donde se encontró lo siguiente (tabla 1):
Exploración oftalmológica
| OD | Exploración oftalmológica | OI |
|---|---|---|
| 20/40 | AVMC | 20/40 |
| 8/8 | Ishihara | 8/8 |
| 14mmHg | PIO | 15mmHg |
| 13mm | Exoftalmometría | 14mm |
| Normal | Anexos | Ptosis palpebral |
| Normal | Movimientos oculares | Ausencia de ducciones horizontales, verticales y torsionales |
| NormalLIO en CP | Segmento anterior | Hipoestesia cornealLIO en CP |
| Normal | Reflejos pupilares | MidriasisDPA |
| Normal | Fondo de ojo | Normal |
AVMC: agudeza visual mejor corregida; DPA: defecto pupilar aferente; LIO en CP: lente intraocular en cápsula posterior; OD: ojo derecho; OI: ojo izquierdo; PIO: presión intraocular.
En la exploración oftalmológica se encontró parálisis de los nervios craneales iii, iv, v y vi izquierdos (fig. 2), por lo cual se solicitó tomografía axial computarizada de cráneo pensando en afección del seno cavernoso.
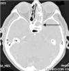
La tomografía axial computarizada contrastada mostró aumento de volumen del seno esfenoidal izquierdo con erosión y defecto de la pared ósea e invasión al seno cavernoso del lado izquierdo, asociado a pansinusitis ipsilateral (fig. 3).
En un plano sagital de la resonancia magnética en T1 (fig. 4) se observó una imagen quística con realce en anillo, expansiva en el seno esfenoidal, la cual se confirmó en el plano coronal (fig. 5), asociado a un realce de las vainas meníngeas de la pared del seno cavernoso izquierdo y afección de estructuras neurovasculares causada por efecto de masa e inflamación.
El recuento leucocitario fue elevado al ingreso con predominio de polimorfonucleares, el cual fue disminuyendo con tratamiento antibiótico a base de clindamicina y ceftazidima indicados como manejo de la pansinusitis encontrada en los estudios de imagen. Posteriormente se comenzó administración de esteroides por no presentar mejoría de la sintomatología pensando en un síndrome de Tolosa-Hunt, con los cuales hubo disminución del dolor retroocular pero sin mejoría de la motilidad ocular o la ptosis.
Por ello se decidió la realización de cirugía endoscópica por vía transnasal para toma de biopsia y drenaje de la lesión, obteniéndose tejido el cual fue enviado a estudio histopatológico para confirmar la etiología.
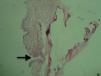
La imagen histológica mostró un epitelio cilíndrico ciliado seudoestratificado engrosado que forma la pared del mucocele (flecha), con abundante reacción inflamatoria y extravasación eritrocitaria (fig. 6).
Asimismo se reportó un área de epitelio denudada con adelgazamiento del estroma subyacente de la mucosa nasal y erosión hacia el tejido óseo y la presencia de reacción inflamatoria (fig. 7), descartando así patología neoplásica, infecciosa y confirmando el mucocele del seno esfenoidal.
DiscusiónEl seno esfenoidal es un sitio extremadamente raro de presentación de los mucoceles, siendo su frecuencia del 1%2,5. Se han reportado aproximadamente 140 casos de mucocele esfenoidal en la literatura mundial8, pero nunca ha sido comunicado en asociación con síndrome de seno cavernoso completo. La principal complicación de la erosión ósea por los mucoceles paranasales con manifestaciones oftalmológicas es la invasión orbitaria, presentándose clínicamente como dolor e inflamación periorbitaria (39%), exoftalmos (24%), disminución de agudeza visual (17%), diplopía (13%) y alteración de músculos extraoculares (5%)7.
La edad de presentación más frecuente de los mucoceles en los senos paranasales oscila entre los 30 y los 60 años, y la invasión del seno cavernoso de esta lesión es infrecuente por lo cual el diagnóstico es difícil pues nuestro paciente está fuera del grupo de edad y no presentó los datos clínicos más frecuentes.
Los hallazgos radiográficos característicos son demostrados a menudo mediante tomografía axial computarizada como una lesión expansiva llena de líquido mucoide de densidad homogénea delimitada por una seudocápsula y no por el límite óseo que en ocasiones ya no existe debido a la erosión. Al aplicarse medio de contraste, esta pared acumula en forma anormal el contraste y el líquido interno de la lesión no muestra cambios. En la resonancia magnética se observa una señal de baja intensidad en las secuencias T1 y alta intensidad en T2, debido al gran contenido líquido del mucocele, pudiendo predecir la cronicidad de la lesión cuando en ambas secuencias se observa una señal de intensidad media a alta por aumento de material proteinaceo en el interior de la lesión. Asimismo la resonancia es útil para realizar diagnóstico diferencial con lesiones malignas o de comportamiento atípico9.
El nervio óptico es el nervio craneal involucrado con mayor frecuencia, produciendo disminución de la agudeza visual progresiva, lo cual hace necesario el tratamiento quirúrgico10.
La parálisis de los músculos extraoculares con diplopía ocurre en el 30-50% de los casos de mucocele esfenoidal. El nervio oculomotor se ve afectado más frecuentemente que el nervio troclear o el nervio abductor, siendo el causante del 70% de las parálisis oculares en pacientes con mucocele esfenoidal11. La midriasis observada en estos pacientes es debida a la compresión de las fibras parasimpáticas pupilomotoras que viajan en la porción superficial del tercer nervio craneal12.
El tratamiento de elección para el mucocele esfenoidal es el drenaje quirúrgico realizando una esfenoidotomía transnasal endoscópica, la cual ha remplazado al abordaje facial o craneal con excelentes resultados13,14.
ConclusionesSe realizó una amplia revisión de la literatura, en la cual no se encontraron reportes de casos de síndrome de seno cavernoso secundario a mucocele esfenoidal. A pesar de ser baja la incidencia del mucocele esfenoidal, hacemos énfasis en que el conocimiento de la patología conduce a la sospecha oportuna y la realización de estudios de imagen como tomografía contrastada y resonancia magnética conducen al diagnóstico concreto. El tratamiento de esta entidad es quirúrgico por medio de cirugía endoscópica transnasal y la intervención debe ser realizada tan pronto como sea posible para liberar la compresión sobre las estructuras adyacentes y así prevenir la disfunción permanente de las mismas.
Responsabilidades éticasProtección de personas y animalesLos autores declaran que para esta investigación no se han realizado experimentos en seres humanos ni en animales.
Confidencialidad de los datosLos autores declaran que han seguido los protocolos de su centro de trabajo sobre la publicación de datos de pacientes.
Derecho a la privacidad y consentimiento informadoLos autores declaran que en este artículo no aparecen datos de pacientes.
FinanciamientoLos autores no recibieron patrocinio para llevar a cabo este artículo.
Conflicto de interesesLos autores declaran no tener ningún conflicto de intereses.










