La instalación de accesos vasculares, tanto arteriales como venosos, a nivel periférico como más centrales, es una habilidad fundamental de un anestesiólogo; aunque no siempre se enseña de manera adecuada o no es parte de su formación esencial. Al igual que muchos procedimientos, en un nivel básico su aprendizaje puede ser simple, pero los daños acechan a los operadores inexpertos.
La mayoría de los pasos de la inserción de un catéter vascular son comunes a todos los procedimientos: Se necesita tiempo para escoger el dispositivo y el sitio óptimo, dependiendo de las necesidades clínicas, duración del tratamiento y preferencias del paciente. También se necesita una adecuada explicación del procedimiento y la firma de un consentimiento informado.
La asepsia es esencial para todo tipo de inserciones y los cuidados post procedimiento debido al acceso directo al torrente sanguíneo que éste implica. Esto está bajo un escrutinio cada vez mayor1. Es importante prevenir las lesiones producidas por las agujas de punción ya que éstas acarrean un inóculo significativo de sangre. Todos los dispositivos, incluso los más pequeños, necesitan anestesia local tópica o inyectada. Para los accesos centrales se requiere una amplia infiltración (un mínimo de 10-15ml para adultos). La sedación intravenosa es útil para pacientes ansiosos. Algunos pacientes (por ej., niños) requerirán anestesia general para poder realizar el procedimiento.
La canulación del vaso se logra a través de ciertas técnicas, entre las cuales tenemos:
- •
Visión directa (por ej., vasos sanguíneos superficiales o incisión)
- •
Visión indirecta (por ej., dispositivos infrarrojos)
- •
Palpación (pulso arterial, vena llena de sangre)
- •
Orientación por referencias anatómicas (por ej., cercano a una arteria, clavícula)
- •
Ultrasonido
- •
Rayos-X (luego de inyección de contraste)
La entrada de la aguja dentro del vaso se confirma por reflujo de sangre en el dispositivo de punción o por aspiración de sangre. Sólo ahí puede introducirse un catéter o alambre guía.
La posición adecuada del catéter debe verificarse ya sea por la aspiración o reflujo de sangre venosa o arterial, lavado del catéter con suero, medición de presiones, ultrasonido, rayos X o guía asistida con el electrocardiografía2.
La fijación es un tema importante y necesario para evitar el desplazamiento del catéter. Ésta puede realizarse con parches y sistemas adhesivos, suturas o bien con sistemas de anclaje internos. Para mantener un funcionamiento efectivo y seguro del catéter se requiere de un meticuloso control post procedimiento y una observación.
Esto implica un vaciado regular del catéter, la extracción antes de que ocurran los problemas, y reconocimiento y manejo de las complicaciones3,4.
Gran parte de los dispositivos utilizan técnicas percutáneas, pero los cortes quirúrgicos aún se utilizan en emergencias y en niños pequeños. El uso de técnicas quirúrgicas ha disminuido debido al tiempo necesario para su realización y a la necesidad de realizar un entrenamiento y adquirir habilidades específicas para realizarlo, cicatrices, mayor riesgo potencial de la vena canulada y mayor riesgo de infección local5.
CANULACIÓN DE VENAS PERIFÉRICASEsta constituye una técnica esencial y se necesitan habilidades especiales en los casos más complejos, por ejemplo, en niños pequeños, en los muy ancianos con venas frágiles, y cuando todas las venas importantes ya se han obstruido. No está libre de riesgos (Tabla 1).
COMPLICACIONES COMUNES DE LA CANULACIÓN PERIFÉRICA
| • Infección local o sistémica • Venas trombosadas y dolorosas • Fuga de fluidos al tejido produciendo lo siguiente: - Administración ineficiente de medicamentos, -Extravasación de medicamento con pérdida de tejido • Síndrome compartimental derivado de infusiones a presión • Canulación arterial inadvertida • Fractura o daño del catéter |
La molestia se reduce utilizando los dispositivos más pequeños posibles y una anestesia local efectiva. Se debe evitar la inserción del catéter sobre áreas de flexión articular. Todos los esfuerzos para ayudar a realizar la inserción del catéter se basan en mejorar la visibilidad o el tamaño del vaso a canular. Tradicionalmente, éstos incluyen transiluminación y calor local. El ultrasonido de alta resolución es de gran ayuda en los procedimientos en todas las edades6. Dispositivos más nuevos utilizan la absorción diferencial de luz infrarroja -la cual penetra más profundamente que la luz visible- por la sangre, comparada con los tejidos, para generar una imagen7.
INYECCIÓN INTRAÓSEAEsta ruta de acceso es ampliamente usada en resucitación de adultos y pediátrica. Se inserta una aguja con un trocar en el tercio proximal de la tibia para acceder a los senos venosos. Existen agujas diseñadas a la medida y taladros eléctricos que están disponibles para tal efecto. Hay que tener mucho cuidado en evitar la extravasación, daño óseo, e infección, y lo antes posible buscar un acceso vascular standard8.
CATÉTERES VENOSOS CENTRALESMuchos pacientes requerirán cateterización venosa central en el corto o largo plazo (Tabla 2). Más de 250000 pacientes son cateterizados anualmente en el Reino Unido. Las contraindicaciones son relativas e incluyen: pocos sitios para realizar la canulación, variantes anatómicas, estenosis venosas, dificultades/complicaciones previas, coagulopatías severas, y septicemia local en el sitio de la inserción.
INDICACIONES PARA CATÉTER VENOSO CENTRAL
| • Monitoreo de la presión de la vena central • Reanimación con fluidos en volúmenes grandes • Nutrición parenteral. • Administración de medicamentos • Cable marcapasos • Inserción de catéteres en la arteria pulmonar • Diálisis/hemofiltración • Ausencia de acceso periférico • Bypass cardiopulmonar • Administración de medicamentos |
Existe una amplia gama de dispositivos que, por regla general, se insertan a través de técnicas con alambre guía. Entre los dispositivos más comunes tenemos: catéteres venosos centrales multilumen estándares (CVC); catéter central insertado en la periferia o de vía larga (PICC, en inglés), vainas de introducción con válvulas, y catéteres tipo diálisis.
Se necesita disponer de un rango de longitudes establecidas de catéteres que se adecúen a cada sitio de inserción. Para adultos, debe usarse un dispositivo de 15cm para la vena yugular interna derecha (IJV, en inglés); uno de 20cm para la vena yugular interna izquierda, para la vena subclavia y axilar derecha y para las venas femorales.
Se debe utilizar el catéter con el diámetro más pequeño posible para reducir el trauma de la inserción.
Por otro lado, catéteres de gran calibre y dispositivos dilatadores no pasan a través de las anastomosis venosas fácilmente, de modo que use la vena yugular interna derecha o venas femorales en lo posible ya que son rectas.
Compare el diámetro de una vena en ultrasonido con el diámetro del catéter. Un catéter que ocupa más de 1/3 del diámetro se asocia con alto riesgo de trombosis.
VÍAS DE ACCESOVENA YUGULAR INTERNAEl acceso por el lado derecho se relaciona a menores complicaciones asociadas a la inserción del catéter y a disfunción por mala posición de la punta del mismo. Existe una relación entre la arteria carótida y la vena yugular interna que varía con la posición de la cabeza y con la dominancia de una vena en uno de los lados.
En pacientes más enfermos, hay mayor riesgo de infección debido a la proximidad del sitio de inserción con secreciones orales. La punción y cateterización accidental de la arteria carótida debería ser evitable con el uso de ultrasonido
Las arterias tales como el tronco tirocervical y sus ramas, la arteria vertebral y la subclavia se encuentran detrás de la vena (Figura 1) y pueden ser pasadas a llevar al transfixiar la vena.
Técnicas con referencias anatómicasSe han descrito muchas técnicas para tener acceso a las venas yugulares internas9.
Los abordajes más típicos son desde el vértice del triángulo formado por los dos haces el músculo estrernocleidomastoideo (ECM).
El cuello se rota levemente hacia el lado opuesto de la vena a puncionar y se estira suavemente. La arteria carótida se palpa al nivel del cartílago cricoides. El pulso venoso de la vena yugular puede ser visto y si se comprime la vena y se libera, se puede observar como se vacía y vuelve a llenar. La aguja se inserta dese el vértice del triángulo formado por los dos haces del ECM y se dirige hacia el pezón ipsilateral. Frecuentemente la vena se colapsa bajo la aguja y ésta la transfixia haciendo que de este modo no se reconozca la punción de la vena. Sin embargo la vena puede ser localizada al retirar la aguja lentamente e ir aspirando suavemente la jeringa. La vena está habitualmente a menos de 2cm de profundidad de la piel y puede ser ubicada con una aguja 21G standard como “buscadora”. En el caso de pacientes con insuficiencia cardiaca u obesidad mórbida, la vena puede ser canulada con el paciente semisentado si la presión venosa es alta.
Guía por ultrasonidoExiste una fuerte evidencia que apoya el uso de ultrasonido en el acceso yugular interno derecho para reducir las complicaciones y fallas derivadas de la punción10, además de la búsqueda de ramas (por ejemplo la vena facial), válvulas venosas, arterias carótidas, subclavias y las ramas del tronco tirocervical. Así también se puede visualizar la glándula tiroides (quistes comunes) y linfonodos grandes. Escoja un sitio de punción adecuado y direccione la aguja en una posición en la que la sobreposicion de la vena sobre la arteria sea la menor posible.
VENA YUGULAR EXTERNAEste sitio se utiliza de manera extraordinaria cuando una cánula es instalada bajo visión directa de la vena. Los catéteres venosos centrales que se insertan a través de esta vena atraviesan distintos ángulos y planos fasciales lo que puede dar problemas para alcanzar la vena subclavia.
VENA SUBCLAVIALas técnicas basadas en referencias anatómicas se asocian a más riesgos en este acceso comparado con el acceso de la vena yugular interna, como por ejemplo, neumotórax y posición incorrecta de la punta del catéter. Sin embargo, es un sitio más cómodo para el paciente y potencialmente más limpio. Se debe evitar este acceso si está en el lado de una fístula arteriovenosa ya que existe en este lado una mayor presión en la vena y por lo tanto mayor riesgo de fístula y trombosis.
Técnicas con referencias anatómicasLa aguja pasa bajo la clavícula en la unión de su tercio medial y los dos tercios laterales, y luego es redirigida hacia la escotadura suprasternal, con aspiración continua hasta ver la sangre. La vena puede ser transfixiada, de modo que la aspiración es importante cuando se extrae la aguja11.
Guía con ultrasonidoLa clavícula bloquea las ondas de ultrasonido por lo que se requiere una aproximación más lateral, ya sea supra o infraclavicular12. Estudios recientes han demostrado beneficios con el uso de ultrasonido por esta vía13,14. El uso de ecografía permite evitar la pleura, la arteria axilar (y las ramas del tronco tóracoacromial que pasan por anterior de la vena), la vena cefálica y el plexo braquial (Figura 2). En pacientes obesos o con importante masa muscular, la vena puede ser difícil de visualizar con ultrasonido.
VENA FEMORALLa anatomía es más compleja que la visualización gráfica de venas y arterias en los libros de estudio, lo cual es relativamente cierto a nivel del ligamento inguinal. El acceso por la vena femoral es útil en pacientes incapaces de tolerar la posición cabeza abajo, en niños y en situaciones de urgencia.
Técnica con referencias anatómicasPalpe la arteria femoral e introduzca la aguja apenas hacia medial de la arteria, cerca del ligamento inguinal (que no se palpa pero se puede representar como una línea desde la cresta iliaca hacia el tubérculo del pubis). Es un error frecuente puncionar la vena en una zona más distal de la vena, donde la arteria femoral superficial se superpone parcialmente a la vena y por lo tanto con mayor riesgo de punción arterial.
Guía por ultrasonidoIdentifique la vena femoral, la vena safena larga y la arteria femoral común que se divide en ramas profundas y superficiales. Realizar una punción en segmentos más altos de la vena trae consigo el riego de daño vascular que no pueda ser posible comprimir y por lo tanto causar sangramientos ocultos intraperitoneales o retroperitoneales.
VENAS DE EXTREMIDADES SUPERIORESEl ultrasonido de alta resolución identifica fácilmente las venas más profundas en la región proximal de las extremidades superiores para ayudar en los casos de pacientes con condiciones difíciles y en el caso de la inserción de catéteres periféricos centrales (PICC) en los que se quiere evitar la zona de flexión del codo al hacer la punción. Los PICC pueden insertarse también en la fosa antecubital sin ultrasonido y con visión directa de los vasos. Las venas basilica, braquial y cefálica se visualizan junto a arteris y nervios (Figura 3). Nótese la estrecha relación del nervio mediano y las venas braquiales, y el nervio cutáneo del antebrazo y la vena basílica. La vena cefálica sigue una ruta tortuosa para ingresar a la vena axilar dando como resultado dificultades en la inserción de catéteres. Existe una gran variación anatómica entre pacientes.
El acceso más fácil es con una aguja afilada de pequeño calibre (20G), un alambre guía fino, un dilatador, y una vaina (conjunto de micropunción). Se mide la longitud del catéter externamente, a través de radiografía o a través de guía por electrocardiograma (ECG) (Parkinson et al., 1998).
ANATOMÍA APLICADA DE LA VENA CAVA SUPERIOR (VCS)La parte más baja de la vena cava superior (VCS) es el lugar en el que apuntamos a dejar el extremo de los catéteres que se insertan en la región superior del cuerpo y la anatomía aplicada se torna importante16. La VCS se forma de la unión de las dos venas braquiocefálicas detrás del primer cartílago costal derecho. Tiene aproximadamente 2cm de diámetro y 7cm de longitud, no tiene válvulas y desciende a la aurícula izquierda (Figura 4). Su borde derecho es parcialmente visible en las radiografías de tórax pero es difícil visualizar su unión a la aurícula derecha.
El borde superior de la VCS protruye dentro del espacio pleural, que es un espacio de baja presión, de modo que una laceración puede causar un sangramiento mayor. Las puntas de los cateteres que se apoyen en las paredes de la VCS, especialmente si se introducen desde la izquierda, pueden erosionar la pared vascular y causar un hidrotórax (Figura 5). La porción más baja de la VCS está dentro del pericardio por lo que una perforación conlleva el riesgo de un taponamiento cardiaco.
La vena ácigos asciende por el lado derecho en el mediastino posterior, pasa hacia una posición más anterior para unirse a la porción media de la VCS sobre el hilio pulmonar, por lo que esta región no es adecuada para dejar el extremo distal de un catéter. Los catéteres insertados desde la izquierda atraviesan una o más anastomosis venosas para llegar a la VCS por lo que la colocación adecuada de los catéteres insertados por este lado es más difícil, particularmente si la vena innominada izquierda presenta una curva hacia anterior (Figura 6).
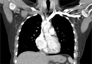
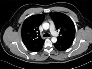
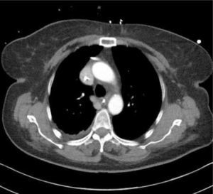
TOMOGRAFÍA COMPUTARIZADA AXIAL DEL TÓRAX
Se muestra cómo los vasos sanguíneos mamarios, pleura medial a la derecha, vena cava superior, aorta ascendente, y vena ácigos son todas similares en el primer y segundo plano. Los catéteres en cada una de estas diferentes estructuras no se distinguen claramente en el plano de la imagen (Radiografía de tórax).
La variante más común de la VCS es una VCS izquierda, la que puede ocurrir con o sin una VCS derecha normal (prevalencia de 0.5% en la población general, la que aumenta cuando existen otros defectos cardiacos). Una VCS izquierda cruza el arco de la aorta y el hilio pulmonar izquierdo e ingresa a la aurícula derecha a través de un seno coronario más grande. Una VCS Izquierda puede ser usada como para acceso si esta llega a la aurícula derecha, pero puede abrirse en la aurícula izquierda, lo que conlleva un alto riesgo de embolismo sistémico17. La vena cava inferior (VCI) puede mostrar una doble variación similar.
Los pacientes con dextrocardia tienen el corazón orientado al revés de modo que está ubicado al lado derecho del tórax. Esta condición puede asociarse a la dextrorotación de otros órganos torácicos, abdominales o de vasos sanguíneos, situación llamada situs inerso, en cuyo caso tanto la VCS como la VCI están en el lado izquierdo.
AdquiridoLa compresión aguda de la VCS por un tumor puede causar edema e injurgitación en la región superior del cuerpo (Sindrome de Vena Cava Superior). Es frecuente, especialmente con los accesos venosos de larga duración, que se produzcan estenosis o trombosis de los vasos que sean asintomáticas debido a la formación de circulación venosa colateral.
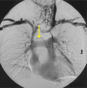
Esto se puede presentar como una imposibilidad de pasar la guía de alambre o un catéter a través del vaso. La presencia de circulación venosa colateral evidente en la pared del tórax, dificultad de compresión venosa con el transductor de ultrasonido o una presión intravenosa elevada al momento de la canulación sugieren este problema. Su confirmación se realiza con venografía, TAC o estudios de ultrasoniodo con doppler (Figura 7). Desplazamientos del mediastino por derrames, colapso pulmonar o neumonectomías movilizará también otras estructuras, incluyendo la VCS. En el caso de oclusión de la VCS, el sistema ácigos aumentara de tamaño para poder aumentar el drenaje venoso.
POSICIÓN DE LA PUNTA DEL CATÉTERUna posición inadecuada de la punta del catéter aumenta los riesgos de: trombosis, arritmias, perforación de la pared vascular (causando hidrotórax, tamponamiento cardiaco, extravasación), falla del catéter, dolor al momento de inyectar por el dispositivo y estenosis.
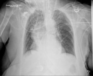
Tradicionalmente se ha considerado una posición ideal de la punta del catéter aquel cuya longitud permita que ella quede paralela al eje largo de la VCS y sobre la reflexión pericárdica. Este punto se aproxima al nivel de la carina principal. Sin embargo a menudo esto no es posible, especialmente con los catéteres que son introducidos por el lado izquierdo18. Una situación frecuente es un catéter corto cuya punta abomba la pared de la vena incidiendo en un ángulo agudo (Figura 5). La mayoría de los operadores actualmente apunta a dejar la punta de los catéteres a nivel de la unión de la vena cava con la aurícula derecha (dos cuerpos vertebrales bajo la carina principal)19.
IMAGENOLOGÍALos catéteres centrales de uso corto son insertados habitualmente sin imágenes en tiempo real, con una radiografía de Tórax posterior para confirmar su ubicación. Los extremos distales de los catéteres se movilizan con los cambios de posición (desde el decubito hasta estar sentado y en posición de pié) y con la respiración profunda20. La inserción guiada por electrocardiografía o los sensores electromagnéticos se están utilizando cada vez más, sin embargo no confirman si la punta del catéter está en posición venosa, arterial o en mediastino, así como tampoco podemos saber si el catéter está enroscado.
CATÉTERES EN MALA POSICIÓNLos catéteres pueden estar mal colocados dentro del sistema venoso al seguir una vía anormal hacia el cuello, brazo o a través de la línea media, y necesitan ser reposicionados salvo que su uso sea de muy corto plazo.
Otras alternativas que puede colaborar con una mala posición de la punta de los catéteres es una variante anatómica o una estenosis de las grandes venas.
Ante esta situación, los catéteres son fácilmente reconocidos como mal colocados y generalmente no se necesita el consejo de un especialista antes de su revisión, uso o retiro. Los catéteres pueden estar en una posición obviamente incorrecta fuera de la vena o puede parecer que siguen una ruta normal aproximada a través de la radiografía torácica, pero no están correctamente colocados en la vena cava superior. Las imágenes de tomografía computarizada axial muestran que no se pueden distinguir un catéter en una imagen plana el espacio pleural derecho, los vasos mamarios internos derechos, el sistema ácigo, la aorta ascendente o el mediastino (Figura 8). La radiografía torácica sólo puede confirmar el paso del catéter central, plegamientos de éste o complicaciones de procedimiento.
TOMOGRAFÍA COMPUTARIZADA AXIAL DEL TÓRAX
Se muestra cómo los vasos sanguíneos mamarios, pleura medial a la derecha, vena cava superior, aorta ascendente, y vena ácigos son todas similares en el primer y segundo plano. Los catéteres en cada una de estas diferentes estructuras no se distinguen claramente en el plano de la imagen (Radiografía de tórax).
Aquellos catéteres que estén insertados en posiciones inusuales o que estén disfuncionando necesitan una mayor evaluación antes de su uso o retiro debido al riesgo de trombosis (CVA) si esta en una posición intra arterial, neumotorax, hemotorax o tamponamiento cardiaco. Entre las pruebas que se pueden hacer al lado del paciente se incluye: medir la presión en todos los lúmenes (ya sea con un transductor a medil la columna de líquido que se forma) y aspiración de sangre de los lúmenes para la estimación de hemoglobina (para diferenciar entre sangre sistémica y colección pleural por ejemplo) y de la presión parcial de oxígeno. Ninguno de estas pruebas al lado de la cama del paciente son totalmente confiables. Si se tiene dudas sobre la posición del catéter, se necesitan estudios con contraste o un estudio de imágenes con tomografía y cortes transversales21. “En la duda no lo retire” y busque consejo con un especialista.
ComplicacionesCualquier estructura anatómica adyacente o conectada a vasos sanguíneos puede verse dañada durante los procedimientos de inserción o posteriormente por trombosis, perforación, o infección (Tabla 3)22. Hay algunas complicaciones de los procedimientos que son particularmente peligrosos con riesgo vital importante y una causa frecuente de demandas legales muy costosas23,24. Estas están generalmente asociadas a efectos de presión local procedente de un hematoma arterial, sangrado masivo hacia el tórax/abdomen, accidentes vasculares cerebrales procedentes de la canulación de la carótida.
COMPLICACIONES DE UNA INSERCIÓN DEL CATÉTER VENOSO CENTRAL
| TEMPRANAS • Arritmias • Daño vascular • Neumotórax • Hemotórax • Taponamiento cardiaco • Lesión neurologica • Embolización (incluyendo alambre guía, catéter, o aire) TARDÍAS • Infección • Trombosis • Embolización • Erosión/perforación de vasos sanguíneos • Taponamiento cardiaco • Daño linfático • Fistula arteriovenosa |
Ejemplos típicos son daño a las arterias, pulmón, pleura, y nervios. Incluso teniendo una correcta dirección de la aguja, a menudo las venas son transfixiadas dejando tras sí estructuras vulnerables, por ej., arterias del cuello. También, las arterias se superponen con las venas, por ej., la arteria femoral superficial y las ramas del tronco toracoacromial, anterior a la vena axilar25. Esto generalmente se puede evitar con el uso regular del ultrasonido.
Inserción central de dispositivosLas guías de alambre pueden irse por malos caminos desde todos los sitios de acceso incluyendo la vena yugular interna. Sin el uso de imagenología a menudo no hay certeza de que no haya pasado la línea media, que no se haya ido hacia una rama, hacia el brazo o de que haya salido de la vena. Si se aplica una fuerza excesiva se puede empujar fácilmente el cable guía a través de la pared de la vena hacia el espacio pleural, el mediastino u otras estructuras. Los dilatadores y catéteres que se pasen a través de esa guía solo agrandarán el desgarro producido en esa vena. Si una guía esta doblada o angulada agudamente y se aplica una fuerza adicional al dilatador o al catéter, este puede rasgar la vena. La guía debe ser revisada frecuentemente durante el procedimiento de inserción del catéter para asegurarse de que se mueve libremente a través del dispositivo de manera de evitar la distorsión o la creación de una falsa vía. Si se siente alguna resistencia, el procedimiento debe detenerse o se deben obtener mas imágenes para guiar otras accesos alternativos. Los intensificadores de imágenes son la herramienta optima para estas situaciones, pero es poco frecuente su utilización para la inserción de catéteres de centrales por corto tiempo.
Daño arterialLa inserción de agujas, alambres guía, dilatadores, y catéteres puede dañar las arterias en el sitio de la punción o más centralmente. Un hematoma o falso aneurisma puede producir pérdida de piel y tejido, daño del nervio y compresión de la vía aérea. La disección arterial, trombosis, embolía y la canulación no intencional pueden causar isquemia, que en el caso de la arteria carótida tiene especial relevancia.
Si se punciona una arteria solamente con una aguja usualmente es suficiente removerla del vaso y comprimir durante 5 a 10 minutos.
Se recomienda no remover catéteres de más de 9 Fr sin un cierre quirúrgico o percutáneo. En el corto plazo generalmente es seguro dejar dilatadores, catéteres y guías in situ, especialmente en pacientes heparinizados, mientras la situación es evaluada por cirujanos y radiólogos. ¡Ante la duda no retire el dispositivo!
La inserción accidental de un catéter intraarterial puede ser confundida clínicamente con disfunción del catéter, sangramiento retrógrado, alarmas de la bomba de infusión y signos de trombosis (por ejemplo un accidente vascular cerebral). El sangramiento puede no verse hasta la remoción del catéter.
La remoción de catéteres de la arteria carótida tiene el riesgo de producir trombos y émbolos hacia el cerebro y sangramiento. Las opciones preferidas ante esta situación son la heparinización sistémica (si no esta sangrando) y la remoción del dispositivo ya sea quirúrgicamente o asociado a la instalación de un stent por un radiólogo26. La extracción del catéter y presionar por 20 minutos para prevenir el sangramiento arterial tiene el riesgo de producir una isquemia cerebral debido a un hematoma compresivo, embolo y falta de flujo sanguíneo.
Colecciones pleuralesGeneralmente se produce neumotórax luego del daño producido por la aguja durante la punción en la vena subclavia, pero puede ocurrir por daño del catéter o de la guía de alambre. Debiera evitarse con ultrasonido. La colocación del catéter pleural permite que las infusiones produzcan efusión pleural, y si el catéter atraviesa la vena, se puede desarrollar un hemotórax al extraer el catéter.
Hemotórax/peritoneoLas rasgaduras de venas centrales ocurren probablemente con más frecuencia de lo que se piensa, no siendo percibido debido a que la baja presión de las venas permite al tejido conector, músculos, u otras estructuras detener el sangramiento. Cuando una rasgadura se conecta con una cavidad pleural de baja presión se produce una hemorragia masiva27. Las venas adyacentes a la pleura incluyen la vena cava superior (borde derecho), sistema de las venas ácigo, sistema hemiácigo (a la izquierda) y las mamarias internas (Figura 4).
El daño arterial produce problemas similares, donde una perforación con una aguja puede causar una hemorragia severa. Las arterias subclavias protruyen en la cavidad pleural. El sangrado de una arteria relativamente grande y más distante puede extenderse a la cavidad pleural. El manejo se basa en drenaje, mantener los dilatadores/catéteres en el lugar para reducir el sangrado, y una reparación quirúrgica o radioloógica urgente.
Es muy poco frecuente que se produzcan fugas linfáticas con las técnicas actuales. Podría haber una fuga externa del ganglio linfático, un linfocele (acumulación localizada), o un quilotórax como resultado de un daño directo a los vasos linfáticos torácicos en los sitios donde éstos se unen con la vena yugular interna o con la vena cava superior, o podría producirse una trombosis venosa causando una presión retrógrada aumentada. Es más frecuente encontrar estos problemas en el conducto torácico izquierdo por ser de mayor tamaño28.
Daño en el nervioLos troncos nerviosos se encuentran presentes en todos los accesos centrales, lo que los pone en riesgo en los procedimientos de inserción o de compresión por un hematoma. Los sitios reportados incluyen: nervio frénico, cadena simpática, nervio femoral, plexo braquial y nervio mediano. En algunos sitios, los nervios (por ej., nervio mediano y PICC) pueden ser visualizados y evitados gracias al ultrasonido.
Taponamiento CardiacoSe reportan 2 mecanismos:
- 1.
Punción de la aguja cercana a las ramas proximales del arco aórtico durante el acceso a través del acceso subclavio que causa sangrado en el pericardio (extendiéndose hasta el arco aórtico)29.
- 2.
Perforación por catéteres a través de la vena cava superior en su sección inferior o a través de la aurícula derecha, produciendo una infusión presurizada en el pericardio30. Las series de casos sugieren que esto es más común que el sangrado.
El taponamiento habitualmente es un diagnóstico post-mortem. Si hay sospecha se necesita actuar con rapidez y confirmar el diagnóstico a través de un ecocardiograma. La aspiración del fluido a través de un catéter puede funcionar. Se requiere realizar una pericardiocentesis de urgencia, una instalación de un stent vascular vascular, o una cirugía reparadora.
Extracción de catéteresLa mayoría de los catéteres pueden retirarse fácilmente. Las presiones negativas en las venas centrales pueden insuflar aire a través de un catéter abierto o dañado o un tracto de inserción. Este riesgo es más alto con dispositivos de gran tamaño, y con tractos de inserción ya establecidos y cortos (por ejemplo los catéteres de diálisis yugular), siendo una causa poco común de colapso y muerte. Posicione al paciente con la cabeza hacia abajo, aplicando presión, y ponga un vendaje oclusivo en el sitio de entrada. Existen otras complicaciones potenciales (Tabla 4).
Es posible que los dispositivos de largo plazo no pudieran ser removidos debido a la alta constricción de una vaina de fibrina o un coágulo anclado centralmente en el catéter. En ese caso, no insista ya que podría producirse un rompimiento del catéter o daño venoso. Busque consejo especializado. Algunos de ellos se cortan y se dejan en el lugar.
Remoción de un catéter tunelizado y puertos implantadosLos catéteres con manguito pueden removerse si tienen menos de 3 o 4 semanas de inserción, antes de que se formen adherencias, o si alguna infección ha roto las adherencias. Los catéteres anclados requieren ser cortados para remover el manguito31.
El manguito puede ser encontrado con palpación o ultrasonido. Bajo anestesia local, realice una incisión (1cm de largo) en la sección venosa del mango, y con disección roma libere y remueva la sección venosa primero para evitar embolismos. Será necesario cortar una delgada vaina de fibrina. Luego diseque y corte alrededor del mango para liberarlo de adherencias y finalmente remuévalo. Se aplican principios similares para los puertos encapsulados/cubiertos por cápsulas fibrosas con suturas.
Accesos venosos de corto plazo versus largo plazoLa cateterización de una vena periférica tiene una duración de unos pocos días. Los dispositivos de largo plazo duran meses y años, y están siendo utilizados cada vez más dentro y fuera del hospital para un uso previsto mayor a 6 semanas.
Es útil poseer un conocimiento básico de su funcionamiento (Tabla 5) ya que estos catéteres son usados para procedimientos cotidianos y en caso de urgencias. Algunos dispositivos (por ej., Groshong) poseen una válvula en la punta o en el conector del lumen proximal.
El acceso a los puertos se lleva a cabo con aguja Huber (que tienen una punta biselada y direccional), aunque puede utilizarse cualquier aguja pequeña de precisión. Las agujas requieren ser insertadas con firmeza a través de la gruesa membrana de goma para luego tocar la pared posterior del puerto.
Mucho de los dispositivos de largo plazo son insertados por anestesistas y otros especialistas que no son cirujanos, como procedimientos autónomos. Los puntos a considerar en relación al instrumental incluyen: instrucciones de uso y duración del tratamiento, localización de la terapia (hospital/centro comunitario), estatus clínico (por ej., coagulación, septicemia) y autoadministración de infusiones. El uso precoz de estos dispositivos es necesario para salvar venas periféricas, prevenir el dolor y la incomodidad, y las complicaciones derivadas de intentos repetidos de canulación periférica32.
Sitio de accesoAlgunos estudios sugieren que los catéteres insertados por el lado derecho poseen riesgos menores de trombosis debido a que es una ruta más directa a la vena cava superior, lo que deriva en un más fácil posicionamiento del extremo del catéter. El sitio de inserción depende de factores de los pacientes, accesos a la vena utilizados con anterioridad, experiencia clínica, evidencia de trombosis venosa, cicatrices previas o existencia de colaterales venosos. En casos complicados, es útil recurrir a imágenes de venas centrales (venografía, tomografía computacional, resonancia magnética).
Consejos para la inserción de dispositivos de largo plazoEl paso central la guía de alambre guía o el catéter se puede facilitar pidiendo al paciente despierto que inspire durante la inserción. Las mediciones del largo del catéter necesario pueden ser realizadas por un catéter guía o catéter sin cortar (con fluoroscopía), o predecirlo a través de la medición externa sobre la pared torácica.
El uso de vainas o dilatadores rígidos pueden producir daño venoso, siendo estos normalmente más largos que lo requerido y sin existir la necesidad de su inserción completa.
Las vainas abiertas producirán sangrado retrógrado con riesgo de embolia de aire, por lo que necesitan ser ocluidas a través de una pellizco, el uso de una válvula e introducirse rápidamente. Las vainas tienden a doblarse fácilmente pudiendo ser necesario retirarlas para permitir el paso del catéter.
Las guías largas (más de 70cm), delgadas y recubiertas pueden ser pasadas a través de una vaina o catéter para ayudar a la instalación central adecuada.
Si se produjeran dificultades, se puede realizar la venografía a través de agujas, vainas o catéteres. Para los catéteres de dimensiones fijas (por ej., tipo diálisis) planifique el largo del conducto de entrada y lugar de salida con el objeto de conseguir el largo apropiado a insertar en la vena.
Los puertos pueden ser insertados bajo anestesia local y sedación, o anestesia general. La incisión y el tamaño del bolsillo pueden reducirse colocando suturas ancladas en el bolsillo primero, para luego insertar el puerto. Las suturas subcuticulares producen una buena cicatrización.
Cuidados posterioresLos dispositivos de anclaje externo deberían ser mantenido por 3 a 4 semanas para permitir que los tejidos se regeneren dentro del manguito (estos crecen más lento por quimioterapia o debilidad general). Los catéteres periféricos centrales (PICCs) no tienen un anclaje interno y necesitan una sutura externa, dispositivos adhesivos o un dispositivo de anclaje enganchado al catéter.
Si el paciente es considerado en alto riesgo de tromboembolismo puede estar indicada una dosis terapéutica de anticoagulantes
Algunas unidades añaden heparina de 1000 unidades/ml a las cánulas de diálisis, las que necesitan ser aspiradas antes de ser usadas.
Catéteres trombosados o bloqueados o con fibrina pueden ser desbloqueados con bajas dosis de agentes trombolíticos. Incluso se puede prevenir esta situación usando estos agentes de manera preventiva33.
La prevención o desbloqueo de catéteres trombosados/bloqueados o afectados de vainas de fibrina se realiza utilizando dosis bajas de agentes trombolíticos33.
DispositivosCorto plazo
Los Mid-line (10-20cm) son insertados en el brazo, con la punta en el tercio superior de la vena basílica/cefálica o vena axilar, cercana a las grandes venas centrales. Estas están indicadas para un plazo máximo de 3 semanas y para la administración de soluciones no-irritantes.
Largo plazo
El catéter PICC se inserta centralmente desde la fosa antecubital en una vena del brazo. Los catéteres con manguito se tunelizan desde el lugar de inserción al tórax o pared abdominal.
Un manguito permite que el tejido crezca en él y el catéter se ancle en el tejido subcutáneo.
Estos dispositivos pueden ser delgados y suaves o de tamaños mayores como los equipos de diálisis.
Los puertos que son implantados totalmente en el tejido subcutáneo, se insertan quirúrgicamente en el pecho, abdomen o extremidades superiores. Estos dispositivos están hechos con uno o múltiples lúmenes, algunos son compatibles con la tomografía computarizada y calificados para la inyección de medio de contraste a alta presión (325 psi).
Acceso arterialLas indicaciones relevantes incluyen:
- -
Monitoreo cardiovascular
- -
Toma de muestras arteriales repetidas
- -
Análisis del contorno del pulso
- -
Balón de contrapulsación aórtico
- -
Circuitos extracorpóreos
Los lugares de acceso más comunes incluyen las arterias radiales, ulnares, braquiales, dorsales del pie, y femorales. La presencia de una fistula arterio venosa requiere evaluar la situación del paciente antes de instalar el dispositivo.
Anatomía aplicadaEl acceso a la arteria periférica normalmente se lleva a cabo en la arteria radial del antebrazo no dominante. Una arteria ulnar permeable constituye una buena alternativa de flujo hacia el antebrazo y mano, de tal manera que, si la arteria se encuentra trombosada, no se producirá una pérdida del tejido34. Podría utilizarse la arteria braquial, pero como es una arteria terminal, con la oclusión existiría riesgo de isquemia distal.
Puede ser que la anatomía detallada y sus variantes se encuentren subestimadas35. En el proceso de intentar el acceso venoso, las arterias superficiales radiales y ulnares podrían ser canuladas36. Las variaciones en el brazo y antebrazo podrían no resultar obvias con la palpación de codo (por ejemplo, bifurcación proximal de la arteria braquial) (Figura 3).
Los pacientes que presentan oclusión en las arterias braquiales, radiales o ulnares dependen del flujo colateral. Este debe ser identificado clínicamente y a través de ultrasonido. Se requiere una evaluación cuidadosa de la perfusión. El Test de Allen (compresión de la arteria radial/ulnar y evaluación del flujo sanguíneo de la mano) constituye una técnica muy útil conceptualmente, sin embargo, no está probada clínicamente37.
La arteria femoral es ampliamente utilizada para procedimientos diagnósticos e intervencionales. En casos donde se requiere una cateterización prolongada, existen riesgos de infección y trombosis. Un daño mayor puede derivar en sangrado no detectado dentro del abdomen. Cada vez existe más evidencia recomendando el uso de ultrasonido para canular la arteria femoral común38.
Consejos prácticos para la inserciónEl paso de múltiples agujas a través de vasos sanguíneos distales de mala calidad podría representar un riesgo mayor que la canulación de una arteria terminal cercana. Las arterias femorales y braquiales son útiles en pacientes en estado de shock. En el caso de arterias profundas (como las femorales o braquiales) los catéteres cortos tienen un alto riesgo de desplazamiento con los movimientos del paciente. La técnica Seldinger tiene una mayor tasa de éxito que la inserción de catéteres sobre agujas tanto en casos rutinarios como complicados.
La canulación se dificulta si los vasos sanguíneos se encuentran calcificados, pudiendo hacer imposible cerrar los vasos sanguíneos con presión luego de la remoción del dispositivo. Otros vasos sanguíneos pueden sufrir cambios aneurismáticos o disección aneurismas con el procedimiento. Si se presentaran dificultades, considere realizar un corte quirúrgico para aminorar el riesgo de daño en los vasos sanguíneos. Las vainas más grandes in situ necesitan heparinización sistémica para evitar la formación de coágulos.
ExtracciónLuego de la extracción del catéter, presione firmemente el lugar por al menos 5 minutos. Si persiste el sangrado se puede requerir una sutura fina (5/0 nylon) para cerrar la herida en la piel y estabilizar el coágulo. Los dispositivos radiológicos de oclusión han mejorado mucho utilizándose para la extracción dispositivos mayores a 9Fr, en aquellos casos donde hay coagulopatía severa o en áreas donde no se puede aplicar presión.
ComplicacionesLas complicaciones se pueden dividir en tempranas y tardías. Algunas de ellas tardarán en presentarse (tabla 6). Se puede presentar un compromiso vascular en cualquier etapa. La inyección accidental de medicamentos en la arteria es una complicación importante que puede ser evitada. Los riesgos de infección aumentan con el tiempo y los catéteres arteriales pueden ocasionar infecciones relacionadas con la presencia de estos en el torrente sanguíneo. Si existiera preocupación sobre la permeabilidad de arterias y circulación la distal está indicada una interconsulta urgente a cirugía vascular.
GUÍA DE ULTRASONIDOActualmente las imágenes de ultrasonido no se utilizan comúnmente en la canulación arterial, aunque los estudios progresivamente sugieren sus ventajas, no solamente en casos complicados39. Esta guía es útil en casos de presiones arteriales bajas, vasos sanguíneos ateromatosos, estenosis, disecciones, trombosis, edema, obesidad y variaciones anatómicas. Es probable que la frecuencia de complicaciones infecciosas y de los procedimientos estén relacionadas con la frecuencia o número de pinchazos de aguja. Además con el uso de ecografía se pueden utilizar otros sitios más profundos, por ejemplo, las arterias radiales o ulnares en los puntos medios del antebrazo.
Principios generales para el uso ultrasonidoExiste una evidencia importante que recomienda el uso de ultrasonido para todas las edades y para la mayoría de los sitios de acceso40, particularmente en lo que respecta a la vena yugular interna en términos del éxito del primer intento y posibles complicaciones10, con las siguientes ventajas:
- -
Imágenes directas de vasos sanguíneos y estructuras adyacentes.
- -
Imágenes de trombosis, válvulas, disección, ateroma, o variantes anatómicas.
- -
Identificación óptima del vaso sanguíneo objetivo.
- -
Éxito del primer intento evitando estructuras adyacentes.
- -
Confirmación de guía y catéter en vaso sanguíneo.
- -
Reducción de las complicaciones del procedimiento.
Las venas muestran variaciones respiratorias (con libre conexión a la aurícula derecha), y son fácilmente compresibles. Las arterias son circulares y no compresibles, y se tornan más evidentes en las imágenes con adecuada presión. Las arterias periféricas poseen una vena satélite doble característica. Si tiene duda, use Doppler color para diferenciar la señal de pulso de la señal continua. Las venas de los miembros mostrarán una señal marcada si el miembro distal es comprimido o el paciente contrae los músculos.
La pantalla debe colocarse anatómicamente en la misma orientación desde la que se encuentra ubicado el operador. La orientación correcta asegura que la imagen se mueva en una dirección lógica al mover la sonda y que la aguja en el paciente se mueva en la misma dirección que la imagen.
Es vital que la imagen de la punta de la aguja sea precisa. La aguja y la sonda del ultrasonido pueden ser desplegadas en el eje corto (fuera de plano) o largo (en el plano) y la imagen puede ser axial o longitudinal. Una vista de un vaso sanguíneo axial y de una inserción con una aguja de eje corto permite una buena visualización de las estructuras circundantes, pero requiere de experiencia conseguir buenas imágenes de la punta de la aguja debido a que el cuerpo de ésta puede ser confundido con la punta de la aguja. Las mejores imágenes de la aguja se logran si la aguja está insertada en el eje largo, pero si la imagen de la vena es longitudinal, las imágenes siguientes de las estructuras circundantes no se verán. Algunas agujas poseen su sección distal adaptada para aumentar su ecogenicidad41. Es importante contar con capacitación y acreditación del manejo del ultrasonido42.
CONCLUSIÓNLa realización de un acceso vascular es una habilidad esencial que requiere de conocimiento anatómico y habilidades prácticas. Es esencial el reconocimiento y manejo de las complicaciones. El uso cada vez más frecuente de ultrasonido, electrocardiograma, equipo de rayos-x, y el mejoramiento del diseño de los dispositivos, en general, permite que los procedimientos sean más seguros y exitosos. Muchos pacientes actualmente se benefician del uso temprano de dispositivos de largo plazo.
El autor declara no tener conflictos de interés, en relación a este artículo.
















