Introducción
La relación entre la esclerosis sistémica (ES) y la hepatopatía es conocida. Murray-Lyon et al1 describieron la asociación de esclerosis sistémica y cirrosis biliar primaria (CBP) en 1970. También se han descrito la asociación de esta entidad pero con menor frecuencia, con hepatitis autoinmune, colangitis esclerosante e hipertensión portal de diversas etiologías. Aunque, en general, en dichas asociaciones la hipertensión portal aparece relacionada con enfermedad parenquimatosa, se ha descrito sólo excepcionalmente, asociado a hipertensión portal idiopática (HPI).
Exponemos el caso de un paciente diagnosticado de esclerosis sitémica que presenta durante su seguimiento un cuadro de elevación de la GGT, cuyo estudio concluyó con el diagnóstico de hipertensión portal idiopática.
Caso clínico
Varón de 59 años, sin hábitos tóxicos ni alergias medicamentosas conocidas. Diagnosticado en 1993 de esclerosis sistémica con afección dérmica difusa, según los criterios diagnósticos de la ARA2; había sido tratado con D-penicilamina y en el momento en que se detectó la elevación de GGT realizaba tratamiento con prednisona y pentoxifilina.
En junio de 1995 se objetiva una elevación de GGT. En el examen físico destacaba la existencia de telangectasias y eritema palmar, hepatomegalia de 4 cm y esplenomegalia de 6 cm. No se objetivaron signos de ascitis ni edemas.
En la analítica destacaba: bilirrubina total/directa 1,3/0,13 mg/dl, GOT 31 U/l, GPT 33 U/l, GGT 920 Ul/l, fosfatasa alcalina 300 Ul/l, Quick 101%, albúmina 45 g/l, colesterol 233 mg/dl, globulinas 35,1%, hemoglobina 13,7 b/dl, leucocitos 4.700 μl (64,5% neutrofilos), plaquetas 65.000. Las serologías para virus B y C fueron negativas, así como ANA, AMA, anti-LKM, anticuerpos anticentrómero y crioglobulinas. Las hormonas tiroideas fueron normales, y los anticuerpos antiperoxidasa y antitiroglobulina fueron negativos.
La ecografía abdominal informó de "hígado con ecogenicidad heterogénea con áreas de contornos geográficos sugestivos de esteatosis". La vena porta estaba aumentada de tamaño (15 mm), con esplenomegalia (15 cm); las vías biliares y la vesícula eran normales.
Se realizó una fibrogastroscopia que informó de varices esofágicas grado I-II e imagen antral sugestiva de gastropatía por hipertensión portal.
La TC abdominal demostró una heterogeneidad hepática de predominio hiliar y perihiliar, así como una esplenomegalia homogénea con circulación colateral. No se apreciaron lesiones focales intrahepáticas. La RM demostró signos de hipertensión portal con posible alteración del parénquima periportal. La biopsia hepática (PBH) reveló un parénquima hepático normal con ectasias vasculares compatibles con hipertensión portal no cirrótica, descartándose la posibilidad de una peliosis flebectática.
El estudio hemodinámico con cateterismo de suprahepáticas y portografía objetivó una presión suprahepática enclavada (PSHE) de 15 mmHg, una presión suprahepática libre (PSHL): de 9 mmHg y un gradiente de presión suprahepática (GPSH) de 6 mmHg. Se apreció una comunicación de vena cava y no se obtuvo registro angiográfico de la vena porta de retorno. Todo ello es compatible con el diagnóstico de hipertensión portal esencial o idiopática.
Discusión
La afección gastrointestinal en los pacientes con ES es bien conocida; por el contrario, la patología hepática es mucho menos frecuente3.
La asociación entre enfermedad hepática y esclerosis sistémica fue descrita por Calvet et al en 19584. Bartholomew et al, en un estudio de 727 pacientes con ES, describieron afección hepática en 8 de ellos5.
No fue hasta 1970 que la relación entre la esclerosis sistémica progresiva y la hepatopatía fue establecida claramente, al describir Murray-Lyon et al1 dos pacientes afectados de una variante del síndrome de CREST asociado a CBP. Desde entonces existen numerosas descripciones de la asociación entre ambas enfermedades.
Sin embargo, la asociación entre la ES y la hipertensión portal idiopática es excepcional. Sólo hemos hallado en la revisión de la bibliografía, cuatro casos publicados hasta la fecha6-9.
La HPI es poco conocida en los países occidentales y aunque existe una mayor incidencia en países orientales, como Japón, la patogenia de esta enfermedad permanece por aclarar10. En España se ha descrito una incidencia de la HPI del 6,6%11.
La HPI aparece a partir de la quinta década de la vida, con mayor frecuencia en mujeres (proporción 1:3 en Japón, Europa y EE.UU.) y suele asociarse a rasgos o enfermedades autoinmunes. En un 40% de los casos, la primera manifestación es en forma de hemorragia digestiva alta12, y ocasionalmente pueden presentarse como ascitis13.
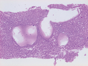
El diagnóstico de HPI en nuestro caso se efectuó a partir del estudio de elevación de GGT, a diferencia de los casos publicados, en los cuales el diagnóstico se realizó a partir del estudio de hemorragia digestiva alta por varices esofágicas. Se describe en la bibliografía14 como criterio diagnóstico la normalidad o casi normalidad de los tests de función hepática. Nuestro paciente presentaba una normalidad de transaminasas, fosfatasa alcalina y bilirrubina, destacando únicamente una elevación de la gammaglutaril transferasa. En el estudio de la HPI debe realizarse el diagnóstico diferencial con la cirrosis hepática compensada, cuyas características anatomopatológicas difieren de las halladas en nuestro paciente. La ecografía, la eco-Doppler y la TC descartaron la existencia de obstrucción extrahepática de la vena porta, y por clínica y epidemiología se descartó el síndrome de esplenomegalia tropical. La negatividad de los marcadores de autoinmunidad y la histología descartaron la existencia de CBP; aunque es conocido que la hipertensión portal puede presentarse incluso antes de desarrollar una verdadera cirrosis. En el estudio de la biopsia (fig. 1) no se observaron nódulos que sugirieran la existencia de hiperplasia nodular regenerativa, cuya principal manifestación es la hipertensión portal. Tampoco se observaron las características cavidades llenas de sangre, rodeadas de hepatocitos, que caracteriza a la peliosis hepática; entidad que también puede manifestarse con hipertensión portal y puede asociarse a hiperplasia nodular. En ambos casos se conoce su relación con fármacos como azatioprina, metotrexato, esteroides anabolizantes y anticonceptivos orales; el paciente no había recibido tratamiento con ninguno de ellos, hasta la fecha del diagnóstico.
Figura 1. Tinción hematoxilina-eosina: cilindro hepático con dilataciones pleiotópicas.
No está confirmada la existencia de relación causal entre el tratamiento con corticoides y la alteración vascular. En nuestro caso el paciente realizó tratamiento con dosis bajas de corticoides, como tratamiento de su enfermedad de base, pero se inició después de que se detectara el primer aumento de GGT.
Histológicamente, la HPI se caracteriza por un engrosamiento de la cápsula del hígado y de algunos tractos portales, con delgados septos fibrosos, distorsión de la organización lobulillar y en la mayoría de los casos, se ha hallado fibrosis perisinusoidal por microscopia electrónica. Ludwig et al10 en un estudio de 25 muestras de biopsia hepática de 26 pacientes con HPI describen los rasgos que en conjunto permiten el diagnóstico de HPI: dilatación de las venas portales con herniación de éstas en el parénquima hepático circundante, arquitectura acinar alterada, puentes capilares y necroinflamatorios entre los tractos portales y las venas hepáticas terminales. Con menos frecuencia se encuentra formación de megasinusoides con distribución aleatoria, desplazamiento y anomalía de las ramas de la vena hepática con o sin flebosclerosis y septos fibrosos delgados.
La biopsia de nuestro paciente demostraba la existencia de dilatación de los vasos yuxtaportales. Dichas ectasias vasculares observadas, podrían corresponder a los denominados vasos aberrantes intrahepáticos, definidos como vasos sanguíneos dilatados adyacentes al tracto portal periférico que han sido descritas en el 84% de los casos de HPI, el 83% de los casos de la hiperplasia nodular regenerativa y en el 78% de los casos de obstrucción portal extrahepática tipo adulto15.
Revisada la bibliografía, destacan cuatro artículos que describen la asociación de la asociación de HPI. Umeyama K et al7 presentan un caso de HPI acompañado de esplenomegalia, hipertensión portal y pancitopenia asociadas a esclerosis sistémica progresiva en la que destacaban diversas alteraciones inmunológicas, como los ANA, hipergammaglobulinemia con incremento de la IgG e IgA, descenso de los linfocitos T periféricos y descenso de la tasa de transformación de linfocitoblastos inducidos por fitohemaglutinina y, por ello, sugieren la posibilidad que la asociación de la ES y la HPI no se trate de un mero hecho accidental sino que, diferentes alteraciones inmunológicas sean la base etiológica de ambas enfermedades. Existen evidencias de la disminución de linfocitos supresores o citotóxicos (CD 8) y alteración de la relación entre los CD 4/CD 8 en los pacientes con fibrosis portal no cirrótica16.
Nuestro paciente no presentaba positividad para ningún anticuerpo, incluido el anti-LKM, el valor de gammaglobulinas era normal y las cifras de linfocitos T y B eran normales. Dilucidar si la asociación es causal o si ambas enfermedades tiene un mismo mecanismo etiopatogénico no es posible en la actualidad.
En resumen, presentamos el caso de un paciente con esclerosis sistémica e hipertensión portal idiopática. El diagnóstico precoz de su enfermedad hepática ha permitido instaurar un tratamiento farmacológico profiláctico (de las posibles hemorragias), lo que puede modificar la evolución y el pronóstico de la enfermedad.


