Las mastocitosis son un grupo de trastornos neoplásicos clonales caracterizados por proliferación tisular de mastocitos morfológica y/o molecularmente anormales; son sistémicas cuando tienen localización extracutánea. El cuadro clínico es variable e inespecífico. Se han descrito casos asociados a otras neoplasias hematológicas, especialmente las de tipo mieloide y, en menor medida, linfoide. En la presente revisión informamos los casos de 2 mujeres en la sexta y séptima décadas de la vida con mastocitosis sistémica que involucraba la médula ósea, el ganglio linfático y la piel, con diagnóstico clínico inicial de linfoma en el que tras la reevaluación histológica con la coloración de Giemsa se identificaron mastocitos, agregados en acúmulos, morfológicamente anormales que fueron confirmados mediante la positividad para CD117, CD25 y CD45. Uno de los casos presentó una evolución clínica rápidamente desfavorable.
Mastocytosis is a group of clonal neoplastic disorders characterized by tissue proliferation of mastocytes morphologically and/or molecularly abnormal, being systemic when it has extracutaneous location. The clinical picture is variable and nonspecific. Cases have been described associated to other hematological neoplasms, especially those of myeloid and, to a lesser extent, lymphoid type. We present two cases of systemic mastocytosis involving bone marrow, lymph nodes and skin in elderly female patients which were initially diagnosed clinically as lymphoma. However, an abnormal proliferation in cumulus of mastocytes was identificated histologically using Giemsa and confirmed by CD117, CD25 and CD45. One of the patients had a rapid, unfavorable clinical evolution.
Las mastocitosis son un grupo de trastornos neoplásicos clonales caracterizados por la proliferación de mastocitos morfológicamente y/o molecularmente anormales; son sistémicas cuando el compromiso implica al menos una localización extracutánea con o sin evidencia de lesiones cutáneas1,2. La mastocitosis fue descrita por primera vez por Nettleship en 1869 en su manifestación cutánea3, y en 1949 Ellis reportó hallazgos en autopsia donde demostró el compromiso sistémico de la enfermedad con infiltración de piel, hígado, bazo, médula ósea, ganglios linfáticos, páncreas y timo4.
El cuadro clínico de esta entidad es variable e inespecífico, y los síntomas pueden ir de leves a severos y van a estar relacionados con la liberación local o sistémica de mediadores químicos, así como del grado de infiltración tisular1,5, por lo cual puede representar un reto diagnóstico tanto para el patólogo como para el médico clínico. En la presente revisión reportamos 2 casos no sospechados de mastocitosis sistémica con compromiso de ganglio linfático, piel y médula ósea.
Casos clínicosCaso 1Mujer de 68 años de edad con cuadro clínico caracterizado por hepatoesplenomegalia, sudoración nocturna, prurito difuso y adenopatías de 3cm de diámetro máximo de localización hiliar hepática, periesplénica y paracaval, sugestivas de compromiso por linfoma de Hodgkin, con elevación de cifras séricas de LDH (274U/l) y lesión focal intrahepática de 3cm de diámetro de probable origen secundario.
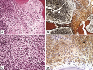
En la biopsia de médula ósea se observó celularidad del 80% con expansión de la serie mieloide y megacariocítica, y leve aumento de la trama de reticulina con múltiples focos de fibrosis (fig. 1A,B) en los cuales se encontraron plasmocitos, escasos linfocitos, eosinófilos y algunas células similares a Reed-Sternberg (fig. 1C). Se realizó inmunohistoquímica y se evidenció positividad para CD34 en blastos mieloides del 3-4% y negatividad para CD30. Considerando el hecho de que algunos linfomas de Hodgkin pueden ser CD30 negativos6, el cuadro morfológico de este paciente era altamente sugestivo de compromiso medular, dado por la presencia de células voluminosas semejantes a las de Reed-Sternberg en un contexto de fibrosis con eosinófilos.
A) Médula ósea con presencia de fibrosis paratrabecular. Nótese la distribución en hileras de las células en la trama fibrosa (H&E, 200×). B) Fibrosis reticular y colágena puesta en evidencia con impregnación argéntica (100×). C) Foco de fibrosis con presencia de células voluminosas, flecha (H&E, 400×). D) Positividad para CD117 en las células voluminosas, flecha (400×).
Posteriormente se evaluó la biopsia de ganglios linfáticos del conducto cístico y del tronco celíaco, con presencia de marcada histiocitosis sinusal. La evaluación del parénquima hepático (segmentoIII y parte delII) mostró la presencia de carcinoma hepatocelular grado3 según la clasificación de Edmonson (fig. 2).
Dos meses después, ante la falta de respuesta terapéutica, se reevaluó la biopsia de médula ósea y ganglio linfático, y se planteó la posibilidad desde el punto de vista histopatológico de una mastocitosis sistémica, por lo que se realizó Giemsa. En la médula ósea se evidenció en la trama fibrosa que las células voluminosas previamente observadas correspondían a abundantes mastocitos; también se identificaron en el ganglio linfático en relación con la histiocitosis sinusal. Los mastocitos fueron confirmados mediante el uso de CD117 (fig. 1D) en ambas localizaciones. Tras el diagnóstico definitivo, desde el punto de vista clínico la paciente se mantuvo en buenas condiciones.
Caso 2Mujer de 58 años de edad con esplenomegalia y linfadenopatías abdominales difusas presuntivas de linfoma de Hodgkin, asociadas a lesiones petequiales en el muslo derecho sugestivas de vasculitis leucocitoclástica.
Se examinaron cortes histológicos teñidos con hematoxilina-eosina procedentes de piel del muslo derecho y ganglio linfático del hilio esplénico. La biopsia de piel mostró en la dermis superficial leve infiltrado inflamatorio constituido por linfocitos, eosinófilos y células fusiformes interpretadas como fibroblastos, sin evidencia de lesión vascular. Se realizó inmunofluorescencia para IgA, IgM y C3, que fue negativa.
Un mes después, en el curso de la investigación clínica por sospecha de linfoma, se tomó biopsia de ganglio linfático del hilio esplénico, la cual mostró una arquitectura reconocible con presencia a nivel del seno marginal, y en los senos de la cortical y de la medular, en torno a los folículos linfoides, de abundantes células voluminosas con núcleo redondeado a oval, y abundante citoplasma claro, CD 45 y CD 20 negativas, entremezcladas con numerosos eosinófilos (fig. 3A,B). Ante este cuadro histológico se formuló la hipótesis diagnóstica de mastocitosis sistémica, por lo que se realizó inmunohistoquímica con positividad para CD117 (fig. 3C) y CD25. Se revaluó entonces la biopsia de piel, que fue también positiva, y con el Giemsa se observó además metacromasia en los gránulos citoplasmáticos de las células que semejaban fibroblastos (fig. 3D). Sin embargo, la paciente falleció en casa 2 días después de la toma de biopsia, tras ser dada de alta del hospital. No se realizó autopsia.
A) Sección de corteza de ganglio linfático en la que se observa expansión de la paracortical por abundantes células voluminosas con citoplasma claro entremezcladas con numerosos eosinófilos (H&E, 200×). B) Detalle de la figura anterior (H&E, 400×). C) Positividad para CD117 en los mastocitos (400×). D) Piel: se observan abundantes mastocitos en la dermis superficial (Giemsa, 400×).
En la presente revisión mostramos 2 casos de mastocitosis sistémica con compromiso de médula ósea, ganglio linfático y piel, con desenlace fatal en uno de los casos. Ambos pacientes fueron mujeres, lo cual coincide con una mayor incidencia reportada, con una relación que va de 1:1 a 1:31. Así mismo, puede ocurrir en cualquier grupo etario, aunque generalmente se diagnostica con más frecuencia durante la segunda década de la vida1,2, estando estos casos reportados entre la sexta y la séptima décadas de la vida.
En ambas pacientes se evidenció esplenomegalia y linfadenopatías, consistentes con comunicaciones previas1; además, en una de las pacientes se observó prurito difuso, que se ha descrito como manifestación cutánea en el contexto de una mastocitosis sistémica1,5. En ambos casos se realizó una impresión diagnóstica inicial de linfoma, tanto clínica como histopatológica, lo que habla de la dificultad diagnóstica que se presenta con esta entidad, necesitando un alto índice de sospecha para realizar un diagnóstico clínico y morfológico preciso.
El patrón histológico observado en estos casos correspondió a la presencia constante de fibrosis con eosinófilos, que junto al cuadro clínico generó confusión diagnóstica con el linfoma de Hodgkin. En esta publicación proponemos incluir estos parámetros en el diagnóstico diferencial, ya que desde el punto de vista histológico tanto los mastocitos normales como los neoplásicos no se logran identificar fácilmente en cortes teñidos con hematoxilina-eosina. Los mastocitos neoplásicos se van a caracterizar por disponerse en agregados y presentar anormalidades nucleares en la mayoría de los casos1. Además, pueden mostrar diversas formas, entre ellas fusiformes, como se observó previamente, dando lugar a confusión con fibroblastos; por tanto, deben ser puestos en evidencia mediante el uso de coloraciones especiales, tales como el Giemsa7. El diagnóstico diferencial de esta entidad es amplio y va a depender del patrón de infiltración tisular y de las características citológicas de los mastocitos neoplásicos, pudiendo confundirse con histiocitosis, leucemias y linfomas, entre otros1.
En más del 90% de los pacientes adultos con mastocitosis sistémica puede encontrarse una mutación somática activadora del receptor tirosin-kinasa kit (D816V) en los mastocitos8,9, la cual se logra poner en evidencia mediante el uso de técnicas inmunohistoquímicas con anticuerpos para CD117/c-kit10,11, observándose en ambos casos positividad para el CD117. No obstante, en biopsias de médula ósea se debe tener presente que el CD117 es además un marcador de blastos mieloides. Por otra parte, los mastocitos neoplásicos de las mastocitosis muestran propiedades antigénicas distintivas que difieren del fenotipo antigénico expresado en tejidos normales, y es así como expresan CD2 y CD25; este último fue positivo en uno de los casos. Así mismo, se identifica positividad para CD34 y CD131,2,10.
En conclusión, la mastocitosis sistémica puede tener diversas manifestaciones clínicas e histopatológicas, que van a representar un reto para el patólogo porque semeja otras entidades más frecuentes. La certeza diagnóstica de esta entidad recae en manos del patólogo, el cual previamente debe sospecharla, ya que para ponerla en evidencia necesita coloraciones especiales y reacciones de inmunohistoquímica diferentes a las empleadas de rutina (lo que no se piensa, no se diagnostica).
Responsabilidades éticasProtección de personas y animalesLos autores declaran que para esta investigación no se han realizado experimentos en seres humanos ni en animales.
Confidencialidad de los datosLos autores declaran que en este artículo no aparecen datos de pacientes.
Derecho a la privacidad y consentimiento informadoLos autores declaran que en este artículo no aparecen datos de pacientes.
Conflicto de interesesLos autores declaran no tener ningún conflicto de intereses.



