metricas
covid
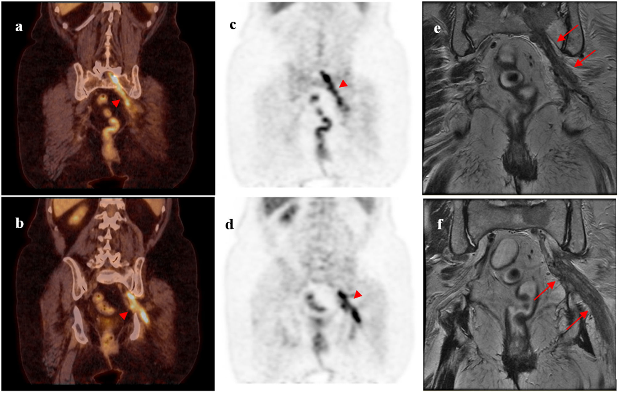
Revista Española de Medicina Nuclear e Imagen Molecular Infiltración tumoral del nervio ciático: hallazgos en 18F-FDG PET/TC
Información de la revista
Vol. 42. Núm. 3.
Páginas 188-189 (Mayo - Junio 2023)
Compartir
Descargar PDF
Más opciones de artículo
Vol. 42. Núm. 3.
Páginas 188-189 (Mayo - Junio 2023)
Imágenes de interés
Infiltración tumoral del nervio ciático: hallazgos en 18F-FDG PET/TC
Sciatic nerve tumoral infiltration: 18F-FDG PET/CT findings
Visitas
299
L. López-Urquíaa,
Autor para correspondencia
sololourdes@gmail.com

Autor para correspondencia.
, M. López-Acostab, A. Díaz-Silvánb, J.A. Uña-Gorospeb, E. Martínez-Gimenob, A. Allende-Rierab
a Departamento de Medicina Nuclear, Hospital Universitario de Canarias, La Laguna, Santa Cruz de Tenerife, España
b Departamento de Medicina Nuclear, Hospital Universitario Nuestra Señora de La Candelaria, Santa Cruz de Tenerife, España
Este artículo ha recibido
Información del artículo
Texto completo
Bibliografía
Descargar PDF
Estadísticas
Figuras (2)

Artículo

Opciones para acceder a los textos completos de la publicación Revista Española de Medicina Nuclear e Imagen Molecular
Socio
Si es usted socio de la Sociedad Española de Medicina Nuclear e Imagen Molecular (SEMNIM) puede acceder al texto completo de los contenidos de la Revista Española de Medicina Nuclear e Imagen Molecular desde los enlaces a la revista publicados en la web de la SEMNIN (enlace a https://socios.semnim.es/?ir-a=remnim), previo inicio de sesión como socio.

Si tiene problemas de acceso puede contactar con la Secretaría Técnica de la SEMNIM en el correo electrónico secretaria.tecnica@semnim.es o en el teléfono: + 34 619 594 780
Suscriptor
Suscriptor de la revista

Si ya tiene sus datos de acceso, clique aquí.

Si olvidó su clave de acceso puede recuperarla clicando aquí y seleccionando la opción "He olvidado mi contraseña".
Suscribirse
Suscribirse a:

Revista Española de Medicina Nuclear e Imagen Molecular

Comprar
Comprar acceso al artículo

Comprando el artículo el PDF del mismo podrá ser descargado

Comprar ahora
Contactar
Teléfono para suscripciones e incidencias
De lunes a viernes de 9h a 18h (GMT+1) excepto los meses de julio y agosto que será de 9 a 15h
Llamadas desde España
932 415 960
Llamadas desde fuera de España
+34 932 415 960
E-mail
Opciones de artículo
Herramientas