metricas
covid
Revista Española de Medicina Nuclear e Imagen Molecular Captación de 99mTc-difosfonatos por un infarto cerebral
Información de la revista
Vol. 19. Núm. 7.
Páginas 500-503 (Noviembre 2000)
Compartir
Descargar PDF
Más opciones de artículo
Vol. 19. Núm. 7.
Páginas 500-503 (Noviembre 2000)
Captación de 99mTc-difosfonatos por un infarto cerebral
Uptake of 99m Tc-diphosphonates due to brain infarction
Visitas
3934
I. Hervás Benitoa, R. Pérez Velascoa, P. Bello Arquesa, A. Rivas Sáncheza, A. Mateo Navarroa
a Hospital Universitario La Fe. Servicio de Medicina Nuclear. Valencia.
Este artículo ha recibido
Información del artículo
Resumen
Texto completo
Bibliografía
Descargar PDF
Estadísticas
Figuras (4)
Mostrar másMostrar menos
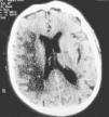
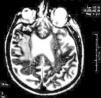
Presentamos el caso de un paciente que acudió al Servicio de Medicina Nuclear de nuestro Hospital con el diagnóstico de neoplasia de pulmón, para la realización de un rastreo óseo y descartar la existencia de metástasis óseas. Días antes el paciente sufrió un infarto cerebral derecho. En el área infartada observamos captación de 99mTc-difosfonatos. En este trabajo revisamos los diferentes mecanismos de depósito de 99mTc-fosfatos en tejidos extraóseos.
Palabras clave:
Gammagrafía ósea
Infarto cerebral
99mTc-fosfatos
The case of a patient who came to the Nuclear Medicine Department for a bone scintigraphy to rule out bone metastasis because of a lung neoplasm is presented. Some days before, the patient had suffered a right brain infarction. 99mTc-MDP uptake could be seen in the infarction area. Different mechanisms of 99mTc phosphates deposition in tissues other than bones are reviewed in this article.
Keywords:
Bone scintigraphy
Brain infarction
99mTc-phosphates

Artículo

Opciones para acceder a los textos completos de la publicación Revista Española de Medicina Nuclear e Imagen Molecular
Socio
Si es usted socio de la Sociedad Española de Medicina Nuclear e Imagen Molecular (SEMNIM) puede acceder al texto completo de los contenidos de la Revista Española de Medicina Nuclear e Imagen Molecular desde los enlaces a la revista publicados en la web de la SEMNIN (enlace a https://socios.semnim.es/?ir-a=remnim), previo inicio de sesión como socio.

Si tiene problemas de acceso puede contactar con la Secretaría Técnica de la SEMNIM en el correo electrónico secretaria.tecnica@semnim.es o en el teléfono: + 34 619 594 780
Suscriptor
Suscriptor de la revista

Si ya tiene sus datos de acceso, clique aquí.

Si olvidó su clave de acceso puede recuperarla clicando aquí y seleccionando la opción "He olvidado mi contraseña".
Suscribirse
Suscribirse a:

Revista Española de Medicina Nuclear e Imagen Molecular

Comprar
Comprar acceso al artículo

Comprando el artículo el PDF del mismo podrá ser descargado

Comprar ahora
Contactar
Teléfono para suscripciones e incidencias
De lunes a viernes de 9h a 18h (GMT+1) excepto los meses de julio y agosto que será de 9 a 15h
Llamadas desde España
932 415 960
Llamadas desde fuera de España
+34 932 415 960
E-mail
Opciones de artículo
Herramientas