El síndrome de vena cava superior (SVCS) es un cuadro clínico grave producido por la obstrucción del flujo sanguíneo de la vena cava superior (VCS) hacia la aurícula derecha por compresión extrínseca o por invasión de esta, manifestándose como edema facial, cervical y de miembros superiores, disnea, tos y dilatación venosa. Su gravedad depende de la rapidez de instauración de la obstrucción y del desarrollo de circulación colateral1,2.
Hasta hace 30 años la principal etiología del SVCS era la infecciosa (aneurisma aórtico sifilítico y tuberculosis), siendo posteriormente reemplazada por la neoplásica (70% de los casos)1–3. La incidencia de casos de SVCV asociados al uso de dispositivos intravasculares, como catéteres venosos centrales y marcapasos, de utilización más frecuente en la población anciana, ha aumentado en los últimos años2,3. Así, entre un 30-50% de los pacientes con marcapasos desarrolla algún grado de trombosis venosa, aunque sólo un 1-3% son sintomáticos4.
Descripción del casoVarón de 93 años con un Índice de Barthel 90/100 y sin deterioro cognitivo; con antecedentes de diabetes mellitus, enfermedad renal crónica estadio 3b con anemia asociada, cardiopatía isquémica e implantación de marcapasos en 2004 por hipersensibilidad del seno carotídeo, que ingresó en nuestra Unidad Geriátrica de Agudos con los diagnósticos de infección respiratoria e insuficiencia cardíaca aguda, cursando con disnea y tos, así como edema facial, cervical y en las cuatro extremidades, ingurgitación yugular y circulación colateral prominente en tórax. En la analítica sanguínea destacaba una creatinina 1,85 mg/dL, sodio 126 mEq/L, proteína C reactiva 67,4 mg/L, NT-proBNP 2.422 pg/mL, 9.420 leucocitos/uL y hemoglobina 8,9 g/dL. La radiografía de tórax mostraba derrame pleural de predominio izquierdo.
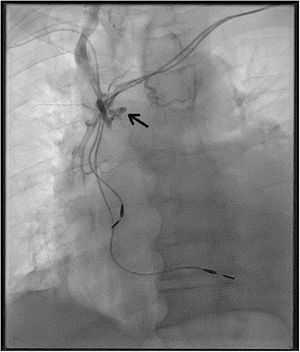
Tras instaurar tratamiento deplectivo mejoró significativamente el edema en miembros inferiores, pero persistió la disnea, así como el edema en miembros superiores, cara y cuello. Ante la sospecha de SVCS, se realizó una tomografía de tórax (sin contraste por deterioro función renal con niveles de creatinina de 2,7 mg/dL) que mostraba derrame pleural y pericárdico con una VCS conservada sin imágenes de compresión extrínseca. En el procedimiento para la inserción periférica de un catéter venoso central bajo radioscopia solicitado por fines terapéuticos, se identifica de forma casual la imposibilidad de avanzar a la VCS debido a existencia de trombosis en dicha localización (fig. 1). El cuadro fue interpretado como una trombosis de la VCS asociada a los cables del marcapasos. Se inició tratamiento anticoagulante y se intensificó el tratamiento diurético, mejorando progresivamente el edema asociado al SVCS y la disnea, mejoría que persistió en los sucesivos controles ambulatorios tras los seis meses del alta.
DiscusiónEl SVCS asociado a los cables de marcapasos es una complicación infrecuente en cuya fisiopatología participarían mecanismos de irritación mecánica crónica, dando lugar a inflamación y fibrosis de la pared vascular, formación de trombo y estenosis de la luz vascular5. La presentación clínica varía desde formas asintomáticas en la mayoría de los pacientes a formas más severas, con obnubilación y obstrucción de la vía aérea como manifestaciones iniciales.
El diagnóstico se basa en la presentación clínica y la confirmación con una prueba de imagen, incluyendo venografía o la tomografía de tórax con contraste6.
Aunque el SVCS asociado a marcapasos presenta un curso relativamente benigno, a menudo es refractario al tratamiento médico. El tratamiento anticoagulante ha sido tradicionalmente el más utilizado, con una eficacia moderada. El tratamiento trombolítico conlleva el riesgo de fragmentación del trombo y embolismo pulmonar. La venoplastia transluminal percutánea presenta una elevada tasa de recurrencias. Para obviar este problema, se ha recurrido a la colocación de stents, consiguiendo una menor tasa de recurrencias que las anteriores técnicas, aunque la compresión de los cables puede provocar una disfunción del marcapasos7,8. Otra opción terapéutica es la retirada de los cables de marcapasos seguida de la colocación de un stent y la reimplantación del marcapasos, procedimiento técnicamente complejo y con riesgo de daño de la pared vascular si los cables están adheridos a la misma9. El tratamiento anticoagulante a largo plazo generalmente está indicado en todos los pacientes independientemente del tratamiento aplicado, debido al elevado riesgo de recurrencia.
En conclusión, el SVCS asociado a marcapasos es una complicación poco frecuente pero cuya incidencia está aumentando con el creciente uso de dispositivos intravasculares, en particular en la población anciana, lo que exige un alto grado de sospecha para su correcto diagnóstico.




