INTRODUCCIÓN
El dolor costal puede ser signo de diversas afecciones entre las que destacan un origen osteomuscular traumático o no, con o sin fractura, una neumonía o un derrame pleural de múltiples causas. El estudio del derrame pleural en los ancianos constituye con frecuencia un reto diagnóstico en ausencia de otros hallazgos clínicos habituales, como la insuficiencia cardíaca o los procesos neumónicos. La etiología neoplásica de estos derrames muestra gran dificultad si no se dispone de técnicas invasivas. La búsqueda del origen neoplásico de un derrame pleural en un nonagenario que consulta por dolor costal es el motivo de la siguiente presentación.
CASO CLÍNICO
Se trata de un varón de 90 años remitido por dolor costal derecho de características pleuríticas. Refiere empeoramiento del estado general en el último mes con anorexia, disnea, astenia y deterioro funcional (previamente salía a la calle sin ayuda, actualmente deambulaba con ayuda de otra persona por el domicilio), sin fiebre ni pérdida de peso. Como antecedentes personales constaban hipertensión arterial, colelitiasis, angina inestable y cirugía de cataratas. Ocho meses antes sufrió una hospitalización por disnea, y se descartó una tuberculosis pleuropulmonar tras el hallazgo de un derrame pleural en la radiología de tórax. Seguía tratamiento con nitritos, inhibidores de la enzima de conversión de la angiotensina (IECA), antidepresivos, analgésicos de primer escalón, ácido acetilsalicílico, como antiagregante, y laxantes. Los hallazgos físicos más relevantes fueron:
1. Permanecía consciente, desorientado temporoespacialmente, afebril, con presión arterial de 140/80 mmHg. La piel y las mucosas están bien coloreadas, y el paciente está bien hidratado y nutrido. No existen ingurgitación yugular, bocio ni adenopatías en las cadenas ganglionares superficiales.
2. En la exploración torácica destaca:
-- Auscultación cardíaca: ruidos cardíacos rítmicos a 70 lat/min.
-- Auscultación pulmonar: abolición de murmullo vesicular en el campo medio e inferior del hemitórax derecho.
En la palpación de pared costal no se apreciaron signos de fractura. El abdomen era blando, depresible, sin visceromegalias, con aumento de perímetro y signo de oleada ascítica. No se observaron edemas ni signos de insuficiencia venosa ni arterial en las extremidades inferiores. El resto de la exploración física básica fue normal.
Las escalas de valoración integral mostraron los siguientes resultados: Plutchik: 4; Barthel: 55 puntos (dependencia leve); SPMSQ de Pfeiffer: 3-4 errores; Norton: 14. El paciente refería síntomas depresivos.
Durante el período de hospitalización se realizaron pruebas complementarias con los siguientes resultados:
-- Analítica de sangre: velocidad de sedimentación globular (VSG): 68 mm; sodio: 135 mEq/l; potasio: 4,2 mEq/l; cloro: 98 mEq/l; leucocitos: 14.400/dl; un 87,2% de neutrófilos. El resto de hemograma era normal. Ácido úrico: 6,2 mg/dl; creatinina: 1,3 mg/dl. La glucosa era normal. El colesterol era de 123 mg/dl, los triglicéridos, de 124 mg/dl, y las proteínas totales, de 6,3 g/dl (2 g/dl de albúmina). En el proteinograma destacaba una banda gamma aumentada (33,9%). La fosfatasa alcalina, la aspartato aminotransferasa (AST) y la alaninoaminotransferasa (ALT) eran normales. La gammaglutamiltranspeptidasa (GGT) era de 74 U/l. El hierro era bajo y la ferritina, normal (29 µg/dl y 263 ng/dl, respectivamente).
-- Radiografía de tórax: cardiomegalia con derrame pleural derecho, parte encapsulado y parte libre.
-- Radiografía de abdomen: hemipinzamiento L2-L3. Calcificaciones vasculares en la pelvis.
-- Intradermorreacción con técnica de Mantoux negativa.
-- Electrocardiograma (ECG): ritmo sinusal a 80 lat/ min. Boqueo auriculoventricular de primer grado.
-- Ecografía abdominal: ascitis generalizada, derrame pleural derecho.
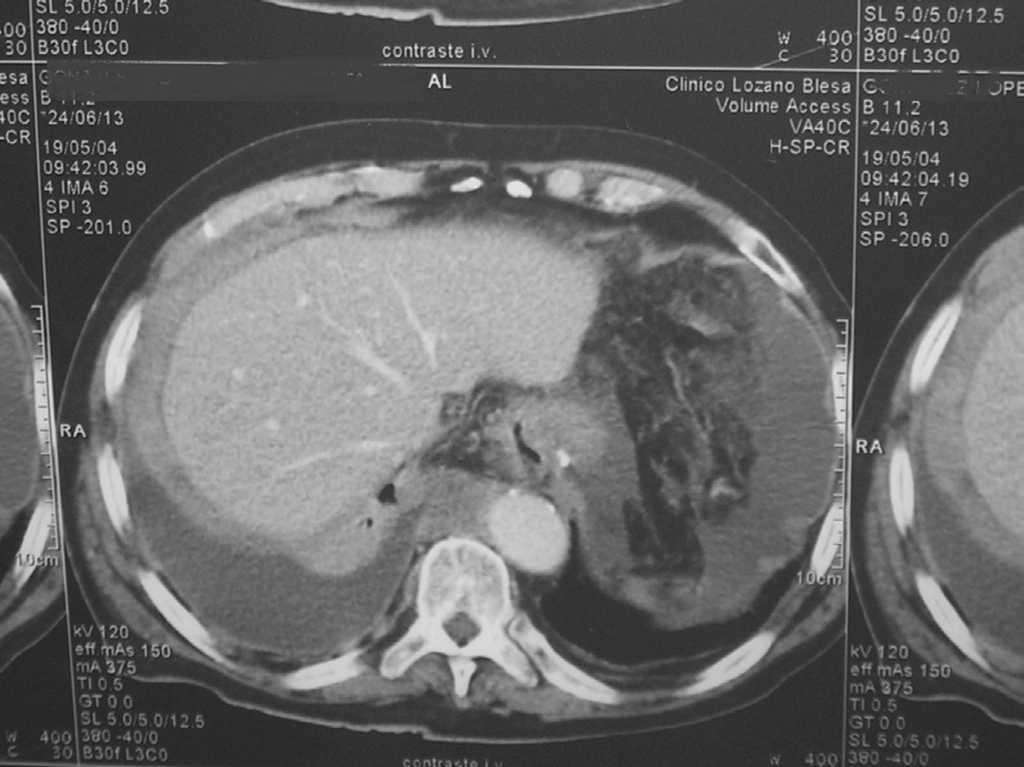
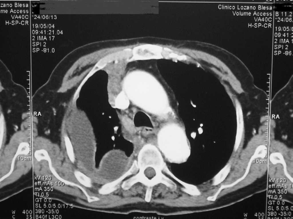
Ante los hallazgos físicos y analíticos comentados, se decidió realizar una tomografía computarizada (TC) toracoabdominal, que mostró un parénquima pulmonar colapsado por derrame pleural parcialmente encapsulado, con engrosamiento de pleura parietal de hasta 15 mm que parecía infiltrar la pared torácica, y abundante líquido ascítico tabicado con aumento de densidad en epiplón y peritoneo parietal (figs.1 y 2).
Figura 1.TC Toracoabdominal.
Figura 2.TC Toracoabdominal.
En el ingreso precisó oxigenoterapia y analgesia pautada con horario (metamizol), manteniendo medicación previa mientras conservó el nivel de conciencia. Se realizó toracentesis para estudio del derrame pleural sin obtener material alguno. Días después necesitó analgesia de rescate, tramadol y, finalmente, cloruro mórfico ante el aumento del dolor. Presentó mayor disnea y crecimiento del perímetro abdominal, con signo de oleada y confirmación ecográfica del aumento de la ascitis y del derrame pleural.
Se practicó paracentesis (1.500 ml de líquido ascítico) y se recogieron muestras para bioquímica, microbiología y anatomía patológica, con los resultados siguientes: células 5.930/µl con 870 leucocitos/µl, un 8% segmentados, un 84% linfocitos y un 8% monocitos. Proteínas totales: 4,2 g/dl. La lactato deshidrogenasa (LDH) era de 1.948, ADA negativo. Marcadores tumorales: CA-125: 2.695 U/ml (máximo nivel de normalidad hasta 35), CYFRA 21: 153 ng/ml (0,00-3,30)- Microbiología: no se observaron gérmenes en visión directa, cultivo de aerobios, anaerobios y Löwenstein-Jensen negativo. La citología informaba de un adenocarcinoma poco diferenciado y carcinomatosis peritoneal.
La evolución posterior fue muy tórpida con empeoramiento paulatino, y el paciente falleció a los 20 días de su ingreso.
COMENTARIO
El origen metastásico es la primera causa de derrame pleural maligno y el mesotelioma difuso el tumor pleural primitivo más frecuente1,2. El diagnóstico definitivo se realiza mediante la demostración de células en líquido pleural o en muestra de biopsia pleural. En nuestro paciente, la toracocentesis fue blanca, pero el estudio citológico del líquido ascítico dio como resultado un adenocarcinoma poco diferenciado y carcinomatosis peritoneal.
En aproximadamente la mitad de los casos no es posible la demostración de células neoplásicas en pleura3, con lo que hay que recurrir a la toracoscopia, técnica invasiva cuya realización está supeditada a las características, la aceptación del paciente y los hallazgos en otras pruebas diagnósticas. Si la situación del paciente no lo permite, la determinación de marcadores tumorales en exudados y trasudados (pleural y peritoneal) o en suero puede ayudar al diagnóstico de neoplasia4,5. En este caso fue en líquido peritoneal. La obtención de resultados positivos es superior en líquidos serosos que en el suero6. Su determinación tiene distinta utilidad, con fines tanto diagnósticos como pronósticos y de evolución o respuesta al tratamiento. El mayor rendimiento actual se obtiene en la valoración de la eficacia terapéutica y el control de recurrencias.
El marcador tumoral más estudiado en la enfermedad pleural es el antígeno carcinoembrionario (CEA). Otros marcadores útiles son el antígeno específico neuronal, CA-125, CA-15,3, CA-19,9 y CYFRA 21-2, entre otros. Una de las limitaciones de los marcadores tumorales es su inespecificidad; por ejemplo, el CA-125 es producido tanto por células neoplásicas como no neoplásicas mesoteliales, y el CYFRA 21,1 puede indicar tanto patología neoplásica como inflamatoria7. El rendimiento de estas pruebas puede aumentar con cifras elevadas de varios de los marcadores tumorales, y una de las mejores combinaciones es: CEA, CIFRA 21,1 y CA-1256.
La diferenciación entre el adenocarcinoma metastásico (diagnóstico final de nuestro caso) y el mesotelioma (tanto pleural como peritoneal), por marcadores tumorales, se basa en los siguientes datos: positividad de CEA --sugestiva de adenocarcinoma6--, y positividad a la manganeso superóxido dismutasa (MnSOD) en un 100% de los casos de mesotelioma maligno en un estudio realizado en 2000 por Kahlos et al8, así como mediante otras técnicas inmunohistoquímicas (queratina, vimentina, calretinina) no realizadas en este caso.
La TC toracoabdominal orientó el diagnóstico hacia un mesotelioma --neoplasia muy poco frecuente en su localización abdominal, muy relacionada con el asbesto9--, sin descartar adenocarcinoma pleural metastásico. El antecedente del contacto con asbesto no se pudo comprobar en la historia de nuestro paciente. En diversos estudios se ha observado un elevado porcentaje de casos sin historia de exposición a asbesto, como el estudio mexicano que no lo demostró en un 80% de 45 casos de mesotelioma maligno10,11.
La sospecha clínica de mesotelioma estaba justificada en este paciente, ya que el mesotelioma maligno es la tumoración maligna primaria más frecuente de la pleura12, y su manifestación más frecuente es el dolor torácico seguido de disnea; las alteraciones radiológicas más frecuentes son el derrame pleural generalmente unilateral y la masa o engrosamiento pleural. En el mesotelioma peritoneal es la ascitis, signo también presente en nuestro enfermo.
Sin embargo, la anatomía patológica reveló células tumorales de adenocarcinoma y la TC ofreció como alternativa la de adenocarcinoma metastásico y carcinomatosis peritoneal, sin que la anamnesis, la exploración y las pruebas realizadas permitieran encontrar el tumor primario. El resultado anatomopatológico (citológico) fue conocido unos días después del fallecimiento del paciente.
El estudio necrópsico, no realizado, hubiera podido confirmar el diagnóstico definitivo, pero la sospecha clínica en el momento del fallecimiento fue un mesotelioma pleuroperitoneal. Aun así, el desconocimiento de la histología del tumor no limitó ni modificó el tratamiento recibido, ya que las posibilidades quimio y radioterápicas a esta edad son limitadas y con frecuencia desestimadas por sus efectos secundarios y sus complicaciones en pacientes añosos cuya supervivencia no varía.
Correspondencia: Dr. E. García-Arilla.
Servicio de Geriatría. Hospital Geriátrico San Jorge.
Padre Manjón, 1. 50010 Zaragoza. España.
Correo electrónico: egarciaarilla@salud.aragon.es
Recibido el 05-11-04; aceptado el 12-09-05.





