Lesiones osteocondrales del astrágalo. Diagnóstico y resultados del tratamiento quirúrgico
Osteochondral lesions of the talus. Diagnosis and results of surgical treatment
VISPO SEARA, J. L.; ETLL, V., y WALTHER, M.
Clínica Ortopédica Universitaria. Universidad de Würzburg. Alemania. (Director: J. Eulert.)
Correspondencia:
Dr. J. L. VISPO SEARA.
Orthopädische Klinik König Ludwig Haus.
Brettreichstrasse, 11.
97074 Würzburg (Alemania).
Recibido: Septiembre de 1998.
Aceptado: Marzo de 1999.
RESUMEN: Las lesiones osteocondrales de la tróclea astragalina pueden ser la causa de dolores o molestias en el tobillo. Se recomienda un tratamiento conservador cuando no haya un desprendimiento total o parcial del cartílago articular. El tratamiento quirúrgico presenta varias opciones, que van desde las perforaciones de la lesión hasta el curetaje con relleno óseo, pasando por la estabilización del fragmento osteocondral, las cuales pueden ser realizadas mediante artrotomía o artroscopia. La literatura demuestra que los pacientes tratados quirúrgicamente presentan mejores resultados que aquellos tratados de forma conservadora. Se hace una revisión de 64 pacientes operados en los últimos 17 años con un seguimiento medio de 66 meses, presentando la pauta actual diagnóstica y terapéutica basada en el estado intraoperatorio de la lesión. Los resultados obtenidos permiten demostrar que la localización y estado intraoperatorio de la carilla articular, junto con la edad del paciente, son los factores pronósticos más importantes tras el tratamiento quirúrgico de estas lesiones. La imagen radiológica y la obtenida por RM presentan varias discrepancias con el aspecto real de la lesión y por ello tienen un escaso valor pronóstico.
PALABRAS CLAVE: Osteocondritis. Astrágalo. Tobillo. Tratamiento quirúrgico. Artroscopia.
ABSTRACT: Osteochondral lesions of the astragalar trochlea can cause ankle pain and problems. Conservative treatment is recommended in the absence of partial or total loosening of the articular cartilage. Surgical treatment ranges from perforation of the injury to curettage with bone repair, and includes stabilization of the osteochondral fragment, which can be carried out by arthrotomy or arthroscopy. The literature shows that patients treated surgically have a better outcome than patients treated conservatively. A review was made of 64 patients who underwent surgery in the last 17 years. Mean follow-up was 66 months. We present our current diagnostic and therapeutic guidelines, which are determined by the intraoperative state of the lesion. Results show that location of the lesion, intraoperative state of the articular surface and patient age are the most important prognostic factors for these lesions after surgical treatment. The radiographic image and MRI do not coincide fully with the true appearance of the lesion so they have little prognostic value.
KEY WORDS: Talus. Ankle. Surgical treatment. Arthroscopy.
El término osteocondritis disecante se debe a König,,28 quien lo utilizó para describir una alteración de la rodilla en la cual se desprendía una porción del cartílago articular como consecuencia de la falta de vitalidad del hueso subcondral. No obstante fue Paget en el año 187044 el primero que mencionó la existencia de esta enfermedad a la que denominó «necrosis silenciosa». Más tarde sería Kappis26 el que aplicó este nombre a un proceso similar ocurrido en el astrágalo. De acuerdo con Stone,23 y debido a la falta de una etiología única directa de tipo inflamatorio que ocasione este cuadro clínico, se prefiere denominar a esta patología como lesión osteocondral (LO). En este artículo se hace una revisión de la literatura existente, así como se presenta la experiencia obtenida con este proceso.
Material y Método
El estudio está basado en 83 pacientes que fueron operados entre los años 1976 y 1993, de los que 64 (77%) pudieron ser finalmente valorados clínica y radiológicamente. La edad media de aparición de la enfermedad fue de 30 años (mínimo: 9 y máximo: 65 años). El tiempo medio de seguimiento fue de 66 meses (mínimo: 8 meses y máximo: 222 meses). Para la evaluación radiológica de las lesiones se utilizó la clasificación radiológica de Berndt y Harty8 (Tabla 1). Las imágenes de RM (existentes en 16 casos) fueron evaluadas y clasificadas según el esquema propuesto por DiPaola y cols.17 (Tabla 2). Para la artroscopia diagnóstica de la articulación tibioastragalina realizada en 44 pacientes se utilizó una óptica de 30° a través de dos puntales anteriores medial y lateral. En un principio se empleó una distracción invasiva con fijador externo,22 pero debido a la aparición de diferentes problemas tuvo que abandonarse y se emplea hoy uno no invasivo como el propuesto por Stone.43 Treinta y tres pacientes se trataron exclusivamente por vía artroscópica y 31 por cirugía abierta, de los que en 17 se hizo osteotomía del maléolo interno y en 14 una artrotomía ventral sin osteotomía. Con la artrotomía se trataron cinco lesiones ventrales (dos laterales y tres mediales), siete centrales (seis mediales y una lateral) (nueve de las 12 tratadas en la época preartroscópica) y dos dorsales (las dos mediales); en estas dos últimas los informes operatorios hablan de una completa visión de estas lesiones osteocondrales, en las que sólo fue necesaria la realización de una perforación retrógrada bajo visualización directa del cartílago articular no dañado. Por artroscopia se trataron 33 lesiones (dos laterocentrales, tres medioventrales, 18 mediocentrales y 10 dorsomediales en las que se hizo una perforación retrógrada bajo seguimiento artroscópico y radiológico).
Tabla 1. Clasificación radiológica de las lesiones osteocondrales astragalinas según Berndt y Harty8 con el estadio V añadido por Loomer y cols.30 |
| -- Estadio I. Pequeña zona de compresión. |
| -- Estadio II. Avulsión incompleta de un fragmento. |
| -- Estadio III. Avulsión completa de un fragmento sin desplazamiento. |
| -- Estadio IV. Cuerpo libre. |
| -- Estadio V. Lesión radiolúcida. |
Tabla 2. Clasificación de las lesiones osteocondrales astragalinas según la imagen RM. |
| -- Estadio I. Engrosamiento del cartílago articular y área de disminución de la intensidad de señal (en las imágenes de spin-eco potenciadas en T1 debajo del mismo). |
| -- Estadio II. El cartílago articular presenta infracciones con disminución de la intensidad de señal (en las imágenes de spin-eco potenciadas en T1 bajo el mismo), representando la adhesión fibrosa de este fragmento. |
| -- Estadio III. El cartílago articular presenta infracciones con imágenes de aumento de la intensidad de señal (líquidas) en la imagen potenciada en T2 alrededor del fragmento, entre éste y el hueso subcondral. |
| -- Estadio IV. Cuerpo libre. |
En cuanto a las diferentes técnicas quirúrgicas empleadas hay que señalar la perforación de la misma, pasando por la fijación interna del fragmento osteocondral, el relleno con injerto óseo, así como el llamado «afeitado» con extirpación de fragmentos libres imposibles de fijar. La utilización de una u otra técnica la hicimos en base a la imagen intraoperatoria de la lesión, utilizándose para estas lesiones la clasificación de DiPaola y cols.17 (Tabla 3).
Tabla 3. Clasificación intraoperatoria de las lesiones osteocondrales astragalinas según DiPaola y cols.17 Técnica quirúrgica empleada en nuestra clínica. |
-- Grado I. Cartílago articular no irregular y debilitado (reblandecimiento). Fragmento no definible. |
-- Grado II. Lesión visible del cartílago articular, fragmento definible pero no desplazable. |
-- Grado III. Lesión visible del cartílago auricular, fragmento definible, desplazable pero todavía presentando zonas de unión con el cartílago no dañado. |
-- Grado IV. Cuerpo libre articular. |
-- Grados I y II. Perforación retrógrada múltiple o relleno óseo subcondral a través del cuello del astrágalo. |
-- Grado III. Refijación, si es posible y viable, con previa perforación de la esclerosis subyacente y eventualmente relleno óseo. Extirpación del fragmento cartilaginoso (ver Grado IV). |
-- Grado IV. Extracción del cuerpo libre articular. Múltiple perforación anterógrada del posible defecto articular. |
El análisis de los resultados obtenidos se realizó según la puntuación propuesta por Ferkel y cols.,19 la cual contiene parámetros subjetivos que son importantes para la valoración tras el tratamiento quirúrgico de una lesión osteocondral (Tabla 4). Se introdujeron algunos cambios en cuanto la incapacidad laboral y a la práctica deportiva según los criterios dados por Bruns y Rosenbach.12 Según estos autores se entiende que un paciente practica realmente un deporte si a éste se le dedican más de 4 horas semanales y al menos se debe de practicar durante unos 5 años antes de la operación. Para la valoración estadística se utilizó el programa Medas desarrollado en nuestra universidad y compatible con el programa Excel.
Tabla 4. Sistema de puntuación de Ferkel y cols.18 para la valoración de los resultados. | |
| Hinchazón | |
| -- Ninguno | 0 |
| -- Menos de una pulgada | 5 |
| -- Más de una pulgada | 10 |
| Movilidad del tobillo en comparación con el contralateral | |
| -- 75% o mejor | 0 |
| -- 25-75% | 5 |
| -- Menos del 25% | 10 |
| Ayudas | |
| -- Sólo un bastón necesario | 5 |
| -- Dos muletas son imprescindibles para caminar | 10 |
| Deportes | |
| -- Ilimitado | 0 |
| -- Limitado | 5 |
| Función | |
| -- Cambio en la actividad laboral desarrollada previamente | 5 |
| -- La capacidad de marcha es ilimitada | 0 |
| -- Sólo es posible andar de uno a dos kilómetros | 5 |
| -- Sólo es posible andar menos de un kilómetro | 10 |
| Dolor | |
| -- Tras actividades pesadas sin tomar medicación | 10 |
| -- Tras actividades moderadas sin analgésicos | 20 |
| -- Moderado constante sin o con analgésicos | 30 |
| -- Constante con o sin analgésicos | 50 |
| Valoración: el valor obtenido se sustrairá de los 100 puntos. Si el resultado final se encuentra entre 90 y 100 puntos se considera el resultado de excelente, de 75 a 89 de bueno, de 50 hasta 74 regular y menos de 50 de malo. | |
Resultados
Del total de pacientes (45 hombres y 19 mujeres) sólo cuatro (6%) sobrepasaban los 50 años de edad, cinco (8%) no habían finalizado el crecimiento y el 53% de ellos estaba entre el final de la segunda y el comienzo de la tercera década de vida. En 30 casos el pie afectado era el derecho y en 34 el izquierdo y sólo dos pacientes tuvieron una afectación bilateral (4%). En cinco casos la lesión se localizaba en la porción lateral (8%) y en 59 en la porción medial (92%). Las lesiones osteocondrales laterales predominaron en la porción anterior (80%) y las mediales en la porción posterior (Figs. 1A y B). El dolor fue el síntoma predominante para la consulta médica (90%); también se observó tumefacción debido a derrame articular (46%), bloqueos articulares (20%) y síntomas de inestabilidad (10%). Hubo antecedente traumático previo en las cinco lesiones laterales (100%), mientras que sólo en el 80% de las lesiones mediales (59 casos). Un traumatismo directo que provocase una lesión osteocondral se observó sólo en dos casos, localizados ambos en la región lateral y anterior del astrágalo (40% del total de localización lateral); en los demás casos tanto de localización lateral como medial coexistía una cierta historia traumática basada en esguinces únicos o repetidos. Sólo hubo un caso de afectación familiar entre dos hermanos y sin historia traumática previa.
ABFigura 1. A: Localización de las lesiones osteocondrales astragalinas en la clínica ortopédica de Würzburg. B: Lesión osteocondral en la carilla lateral del astrágalo de origen traumático directo.
En los 64 pacientes se pudo realizar el diagnóstico en 63 casos mediante radiografías del tobillo, predominando las zonas claras (56%) y observando cuerpos libres en sólo tres ocasiones (5%) (Fig. 2). En la radiología postoperatoria se observaron dos datos interesantes; el primero es que en 18 casos (28%) había ausencia de lesión osteocondral en la fase de seguimiento, mientras en los demás existía bien una zona clara (19 casos) o irregularidades en el contorno articular con depresiones o impresiones de ésta (24 casos) (Fig. 3). En 16 casos se realizó una RM y en cuatro se realizó una TAC. El objeto de estas exploraciones fue el obtener más información sobre el estado de la lesión, con excepción del mencionado caso en el que radiográficamente no se pudo ver la existencia de dicha lesión y cuyo diagnóstico se hizo a través de la RM.
Figura 2. Hallazgos radiológicos preoperatorios en los pacientes con lesiones osteocondrales según la clasificación de Berndt y Harty (1959).
Figura 3. Estado radiológico de las lesiones tras el tratamiento quirúrgico.
En cuanto a los resultados finales se pasó de una valoración media preoperatoria de 55,9 puntos (mínimo: 15 y máximo: 95 puntos) a una valoración final media de 82,8 puntos (mínimo: 20 y máximo: 100 puntos). Se hizo un estudio estadístico de la influencia prognóstica de diferentes valores como: localización, tamaño, sexo, edad, tiempo de seguimiento, aspecto radiológico e intraoperatorio de la lesión, técnica operatoria y vía de realización, observando que cuando las lesiones osteocondrales se encontraban lateralmente se producía una mejora de la puntuación de 60 a 96 puntos de media, mientras en las localizadas medialmente lo era de 57 a 83,5. Si las lesiones se encontraban ventralmente y lateral se obtenían valores de hasta 100 puntos de media, mientras en las mediales posteriores de 87 y en las mediales y centrales sólo de 78 puntos. El tamaño de la lesión, radiográficamente medido, no presentó ninguna influencia. El estudio de la edad de los pacientes y su influencia sobre los resultados finales indica que los pacientes entre 45 y 60 años obtenían una mejora media de 18 puntos, mientras que en los pacientes menores de 45 años de edad era de 26 puntos. El sexo no tuvo ninguna relevancia. El tiempo de seguimiento influyó estadísticamente, pues cuanto mayor era éste mayor era la mejora de la puntuación final (Fig. 4). Con respecto a la valoración final según el estado intraoperatorio de la lesión, se observó un incremento de la mejoría en las lesiones de Grado I (de 50 a 90 puntos), siendo peor en los grupos de estadios III y IV (de 58 a 81 y de 57 a 80 puntos, respectivamente). Según la radiología preoperatoria, los mejores resultados estaban en el Grado II (22 puntos) de lesiones según Berndt y Harty,8 mientras que en los otros grados se produjo una mejora similar (Fig. 5). Estadísticamente no se constató ninguna influencia de la técnica operatoria con respecto a los resultados obtenidos debido a la variedad y combinación empleada en relación a los diferentes grados con sus respectivos cuadros clínicos. La vía quirúrgica influyó de tal manera que los pacientes en los que se tuvo que realizar una osteotomía del maléolo interno presentaron una escasa mejoría (55 a 78 puntos), mientras que los casos en los que se hizo una artrotomía sin necesidad de una osteotomía mejoraron más (56 a 93 puntos). En los 33 casos en los que sólo se utilizó la artroscopia encontramos que la progresión fue igual que en los casos con osteotomía (56 a 80).
Figura 4. Puntuación final según el tiempo de seguimiento.
Figura 5. Mejora de la puntuación según el estadio radiológico preoperatorio de la lesión.
Discusión
Estadisticamente se asume que la incidencia de una lesión osteocondral llega al 0,041% de la población.23 Linden29 encontró en Suecia seis casos de esta enfermedad por 10.000 habitantes. La rodilla y el codo son las articulaciones más afectadas, mientras que el astrágalo lo es menos.18,34 Como se ha evidenciado en la presente serie, las lesiones osteocondrales astragalinas aparecen principalmente al final del período de crecimiento y son raras en la infancia o por encima de los 50 años de edad.23 Estadísticamente existe un predominio del sexo masculino, variando del 2:1 (como en esta serie) hasta 10:1,23 aun cuando Platzgummer38 aportaba datos de predominancia del sexo femenino de 9:1. La afectación bilateral se cifra en la literatura entre el 10 y el 30%,29,38 que contrasta con el 4% de la presente serie. En cuanto a la localización, las lesiones de la porción medial de la cara articular astragalina son mucho más frecuentes que las laterales,43 situación que igualmente se aprecia en este trabajo.
Etiológicamente se postulaba en un principio el origen vascular basándose en la interrupción idiopática del aporte sanguíneo a una determinada zona subcondral.4,7,25 Estudios más recientes como los de Berndt y Harty8 refuerzan la tesis de un origen traumático de esta lesión. En su estudio experimental pudieron demostrar que las lesiones laterales se producían tras inversiones forzadas del pie en flexión dorsal máxima y que las mediales ocurrían tras la mencionada inversión, pero en flexión plantar con rotación externa. Más recientemente Canale y Bending,15 Yvars,47 así como anteriormente Röden y cols.40 y Marks32 verifican en sus series la existencia de una causa traumática, sobre todo en las lesiones osteocondrales astragalinas laterales. En las lesiones osteocondrales que aparecen en la porción medial astragalina no siempre se encuentra en la anamnesis indicios que hagan sospechar una causa de origen traumático, por lo cual se han asumido otros factores etiológicos en el origen de esta lesión6,36,37,45 como hormonales,27,41 hereditarios21,29 e incluso de tipo exógeno como el nutricional o la habitual práctica deportiva.14,42,48 Los datos de este trabajo apoyan la teoría traumática de esta lesión (Tabla 5).
Tabla 5. Casuística de diferentes autores que demuestra el origen traumático de las lesiones osteocondrales. | |||
| Autor | Casos | % lesiones mediales asociadas a trauma | % lesiones laterales asociadas a trauma |
| Bernd y Harty (1959) | 191 | 82 | 100 |
| Canale y Belding (1980) | 31 | 64 | 100 |
| Alexander y Lichtman (1980) | 25 | 18 | 100 |
| Flick y Gould (1985) | 500 | 70 | 98 |
| Pritsch y cols. (1986) | 24 | 75 | 75 |
| Würzburg (1998) | 64 | 78 | 100 |
Ante dolores articulares inconstantes, pequeños derrames que a veces conducen a una disminución del radio de acción, así como sensación de inseguridad con rápido cansancio de la articulación afectada se debe contemplar la posible existencia de una lesión osteocondral. Los bloqueos en el tobillo son menos frecuentes que en la rodilla o en el codo.3,16 Biedert9 apunta incluso que síntomas de inestabilidad con dolores en la cara lateral del tobillo, y que fácilmente se relacionan con antiguas lesiones ligamentosas, pueden enmascarar una lesión osteocondral.
Ante la sospecha se debe de realizar una radiografía de tobillo en dos proyecciones (AP y lateral), y para una mejor visualización de las lesiones posteriores se recomienda la Rx AP en flexión plantar; para las lesiones anteriores se debe realizar esta proyección en flexión dorsal del tobillo. Ante la existencia de síntomas o signos de inestabilidad articular, con o sin lesiones traumáticas, bien únicas o repetidas, se deben realizar Rx AP en supinación forzada y Rx laterales con desplazamiento forzado anterior del astrágalo, con ellas se puede poner de manifiesto una insuficiencia ligamentosa. Algunos autores incluso recomiendan, debido a la incidencia bilateral de estas lesiones y tras el diagnóstico de una lesión de este tipo, una Rx de la otra articulación aun cuando ésta sea asintomática.43 El reconocimiento radiológico primario de las lesiones en las Rx laterales es más difícil que en las AP; en esta serie fue posible en 39 casos. Debido a la variedad de presentación radiológica de estas lesiones han surgido clasificaciones que agrupan estos hallazgos, siendo la más conocida la de Bernd y Harty.8 Loomer y cols.30 han propuesto sobre la base de la mencionada clasificación otra en la que se incluye la localización y el tamaño de la lesión; a su vez se diferencia entre la existencia de una zona clara y la aparición de compresión en la imagen radiográfica. Sus promotores aseguran con ella un mejor estudio pronóstico, lo cual está por demostrar.
La realización de una RM permite a su vez una perfecta interpretación del tamaño y localización de la posible lesión osteocondral y puede dar indicios sobre el estado de la superficie articular u otro tipo de patologías (incluso extrarticulares) como derrames articulares, sinovitis, rupturas de tendones, compresiones óseas, etc.17 La administración sistémica de un medio de contraste es recomendable aún cuando su importancia se centra sobre todo en la interpretación de la vascularización de las posibles lesiones osteocondrales, lo que permitirá una mejor valoración de posibles resultados de tratamiento, sobre todo quirúrgico.31 La aplicación intraarticular directa del mismo ayuda a una mejor apreciación del estado de la superficie cartilaginosa. Ante dolores del tobillo inespecíficos en un paciente sin historia traumática previa con Rx negativas primarias se recomienda en la literatura americana la realización de una gammagrafía ósea con Tecnecio 99.30,43 En nuestra región centroeuropea se recomienda la realización de una RM con aplicación i.v. de contraste26,44,46 Una posible pauta diagnóstica a seguir se refleja en la Figura 6.
Figura 6. Esquema diagnóstico de la clínica ortopédica de Würzburg cuando se sospecha una lesión osteocondral astragalina.
Ante el diagnóstico radiológico de una lesión osteocondral postraumática reciente se recomienda la realización de una TAC porque la interpretación del tamaño, estado y localización de la lesión es muy precisa y permite realizar una mejor planificación de la terapia.30,43
La concordancia de la imagen radiológica y la intraoperatoria ha sido ya base de estudio; Pritsch y cols.39 encontraron una escasa correlación entre los hallazgos radiológicos y los obtenidos por la artroscopia, lo cual se confirma en este trabajo, ya que de los 64 pacientes el 52% de los casos mostraban la existencia intraoperatoria de un desprendimiento bien total, bien parcial del cartílago17 frente al 30% que presentaron afectación radiológica. Interesante es el análisis de las zonas claras;36 en ocho casos de éstos se encontró, sin embargo, la existencia intraoperatoria de un fragmento cartilaginoso totalmente separado de la superficie articular, en 12 casos parcialmente separado, en 15 una condromalacia articular y en un caso no se observó nigún hallazgo patológico. Con todo ello, de los 33 casos donde intraoperatoriamente se observó la existencia de una separación total o parcial del cartílago articular, en 20 (66%) no se reflejaban radiográficamente. Al compararlo con la RM la correspondencia con el hallazgo intraoperatorio se cifró en el 68% de los casos, lo que concuerda con los datos de otros autores.2,44
El tratamiento de las lesiones osteocondrales es muy controvertido. Los estudios con tratamiento conservador han sido realizados solamente bajo seguimiento de imágenes radiológicas y pueden haber perdido parte de valor tras haber visto la correlación de estas imágenes con la situación real de la superficie articular. Otros estudios que comparan la eficacia de un tratamiento quirúrgico frente al conservador según los estadios radiológicos, pierden igualmente valor debido a lo ya mencionado anteriormente y a lo escaso de las series presentadas. Canale y Belding5 comparan seis pacientes mientras Flick y Gould20 comparan ocho pacientes, y finalmente McCullogh y Venugopal33 hablan sólo de seis casos tratados de forma conservadora y los comparan con dos tratados quirúrgicamente sin darle importancia a su aspecto intra-
operatorio o radiológico. No obstante, parece aceptado que un período de tratamiento conservador incluso de hasta 1 año debe o puede ser realizado ante un estadio I o II según la clasificación de Berndt y Harty.1,8,37 A su vez otros autores confirman que una demora en la terapia quirúrgica no conduce a peores resultados postoperatorios, siempre y cuando el diagnóstico temprano sea seguido de un tratamiento conservador con limitación temporal de la carga y/o restricción de las actividades deportivas, e incluso inmovilización en yeso durante las fases agudas de la enfermedad.35,45 En todo caso una confirmación de la eficacia del tratamiento conservador a largo plazo falta debido al escaso número de series, así como a lo precario en su seguimiento y valoración.
El tratamiento quirúrgico de estas lesiones tiene también sus indicaciones y en nuestra opinión son las siguientes: bloqueos articulares continuos; lesiones que radiológicamente o mediante RM o TAC muestren la existencia de separación completa o parcial de la lesión osteocondral sea ésta desplazada o no; lesiones cuya sintomatología clínica no mejore a pesar del tratamiento conservador y su aspecto radiológico o con RM no muestre tendencia a la curación en un período igual o mayor de 6 meses. Somos de la opinión que la edad no es determinante a la hora de elegir un tratamiento quirúrgico si se cumplen las condiciones arriba expresadas.
Dado que el tipo de tratamiento quirúrgico debe de ser realizado en base al aspecto de la lesión, se recomienda para ello la artroscopia como exploración que determine el actual estado de la misma, aun cuando incluso ésta es a veces insuficiente a la hora de exponer la lesión.17,24,43 En todo caso, la decisión de la técnica operatoria a elegir (vía artroscopia o a cielo abierto) depende de la localización de la lesión, de la entidad de la misma y finalmente de la habilidad del cirujano con una u otra técnica. Lesiones anteriores o centrales son más asequibles vía artroscópica, mientras las lesiones posteriores, en su mayoría mediales, lo son menos, presentando incluso a veces dificultades diagnósticas a la hora de revelar el estado de la superficie articular. En estas lesiones postero o centromediales no es suficiente la artrotomía, pues no se visualiza toda la región, siendo necesario realizar una osteotomía, bien del maléolo interno o de la superficie anteromedial de la tibia.20 Además si la lesión presenta un cuerpo osteocondral libre pero todavía viable para una reimplantación la vía artroscópica podría no ser la más apropiada.
Por supuesto, la artroscopia es menos traumática y ofrece menos riesgos para el paciente, con lo cual su hospitalización y recuperación será posiblemente más corta.20,43 No somos partidarios de la perforación anterógrada en situaciones sin afectación del cartílago y tampoco de la utilización de la vía transmaleolar, ya que se producen lesiones en el cartílago, principalmente en la segunda. Se recomienda la vía retrógrada a través de la parte anterior del cuello del astrágalo. Esta perforación se puede hacer bajo supervisión artroscópica o bajo control radiográfico o ambos simultáneamente con el objeto de no dañar el cartílago con las agujas. Cuando el cartílago articular muestra irregularidades (condromalacias) se debe realizar un alisamiento o estabilización del mismo.
Las técnicas transmaleolares o con diferentes portales artroscópicos en la región posterior del tobillo no son recomendables. En esta serie se realizó la refijación en lesiones traumáticas recientes (condrales y osteocondrales) en pacientes jóvenes y también en adultos en caso de que el tamaño de la lesión fuera mayor de 0,75 cm y el cartílago tuviese todavía una unión con el hueso subcondral. Para la refijación utilizamos siempre materiales reabsorbibles. La utilización de agujas de Kirschner la desechamos totalmente, pues no produce ni compresión ni adecuada fijación, aparte de poder ocasionar lesiones del cartílago subyacente y su posible desaparición en la profundidad de la lesión con los problemas de su extracción posterior. Los tornillos pueden ser utilizados en lesiones osteocondrales traumáticas agudas de gran tamaño localizadas en la parte anterior. Se deben profundizar en el cartílago para permitir el inicio precoz de la rehabilitación, con movimientos pasivos y activos del tobillo, y deben extraerse antes de empezar la carga (a los 3 meses de la operación).
La interpretación de los peores resultados tras la realización de una osteotomía del maléolo interno no es difícil, pues aquí (12 sin artroscopia previa y cinco con artroscopia previa) representan tres lesiones dorsomediales y 14 mediocentrales, siendo a su vez seis lesiones intraoperatorias de Grado IV y siete de Grado III, así como cuatro de Grado I. En resumen, la gran mayoría fueron casos avanzados de lesión, por ello no sólo la vía es responsable de los malos resultados, sino también el tipo de lesión y la localización. Hay que resaltar que a pesar de los 6,6 años de seguimiento no se manifiesta una mayor aparición de artrosis postoperatoria en estos pacientes.
En cuanto al pronóstico del tratamiento quirúrgico de estas lesiones hay que señalar que cuanto más avanzada sea la edad del paciente o el grado de la lesión según la clasificación intraoperatoria peores serán los resultados finales (Fig. 7). La localización desempeña también un papel importante, siendo las lesiones laterales, en su mayoría ventrales (fuera de la zona habitual de carga), las que presentan un mejor pronóstico.
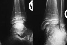
ABCFigura 7. Paciente de 11 años de edad. A: Rx preoperatorias. B: RM. Radiológicamente se consideró un Grado 3 a 4 de lesión. Intraoperatoriamente se encontró un reblandecimiento del cartílago, demarcado y sin fisuras. Se hizo una perforación retrógrada bajo control radiográfico y artroscópico. C: Resultado final tras 3 años de seguimiento; la paciente está asintomática.
Bibliografía
1.Alexander, AH, y Lichtman, DM: Surgical treatment of transchondral talar-dome fractures (osteochondritis dissecans). J Bone Joint Surg, 62A: 646-652, 1980.
2.Anderson, IF; Chrichton, KJ, y Grattan-Smith, T; Cooper, RA, y Brazier, D: Osteochondral fractures of the dome of the talus. J Bone Joint Surg, 71A: 1143-1152, 1989.
3.Arcq, M: Behandlung der osteochondrosis dissecans durch knochenspanbolzung. Arch Orthop Unfall-Chir, 79: 297-312, 1974.
4.Axhausen, G: Über einfache aseptische knochen-und knorpelnekrosen, chondritis dissecans und arthritis deformans. Arch Klin Chir, 99: 519, 1912.
5.Axhausen, G: Die aseptische knorpelnekrose und ihre bedeutung für die gelenkpathologie. Verhandlungen der Deutschen Pathologischen Gesellschaft, 1913, 316.
6.Backer, CL; Andrews, JR, y Ryan, JB: Arthroscopic treatment of transchondral talar dome fractures. Arthroscopy, 2: 82-87, 1986.
7.Barth, A: Über die entstehung der freien gelenkkörper, mit besonderer berücksichtigung der arthritischen gelenkkörper. Archiv Für Klinische Chirurgie, 112: 369, 1912.
8.Berndt, AL, y Harty, M: Transchondral fractures (osteochondritis dissecans) of the talus. J Bone Joint Surg, 41A: 957-988, 1959.
9.Biedert, R: Osteochondrale läsionen des talus. Unfallchirurg, 92: 199-205, 1989.
10.Bruns, J; Rosenbach, B, y Kahrs, J: Äthiopathogenetische aspekte der medialen osteochondrosis dissecans tali. Sportverl-Sportschad, 6: 43-49, 1992.
11.Bruns, J, y Rosenbach, B: Osteochondrosis dissecans of the talus. Comparison of results of surgical treatment in adolescents and adults. Arch Orthop Trauma Surg, 112: 23-27, 1992.
12.Bruns, J, y Rosenbach, B: Osteochondrosis dissecans tali und sport. Sportverletzung-Sportschaden, 2: 153-157, 1988.
13.Bruns, J, y Rosenbach, B: Osteochondrosis dissecans tali. Ergebnisse einer nachuntersuchung. Z Orthop, 127: 549-555, 1989.
14.Bruns, J: Osteochondrosis dissecans tali. Ergebnisse der operativen therapie. Unfallchirurg, 96: 75-81, 1993.
15.Canale, ST, y Belding, RH: Osteochondral lesions of the talus. J Bone Joint Surg, 62A: 97-102, 1980.
16. Diethelm, L; Olson, O; Strnad, F; Vieten, H, y Zuppinger, A: Osteochondrosis dissecans. Handbuch der medizinischen radiologie, 4: 586-653, 1971.
17.Dipaola, JD; Nelson, DW, y Colville, MR: Characterizing osteochondral lesions by magnetic resonance imaging. Arthroscopy, 7: 101-104, 1991.
18. Exner, GU; Meyer, CH, y Elsig, JP: Osteochondrosis dissecans an konkaven gelenkflächen: schulterpfanne, tibiaplateau, distale tibia. Z Orthop, 129: 302-304, 1991.
19. Ferkel, RD; Karzel, RP; Del Pizzo, W; Friedman, MJ, y Fischer, SP: Arthroskopic treatment of anterolateral impingement of the ankle. Am J Sports Med, 19: 440-446, 1991.
20.Flick, AB, y Gould, N: Osteochondritis dissecans of the talus (thranschondral fractures of the talus): Review of the literature and new surgical approach for medial dome lesions. Foot Ankle, 5: 165-185, 1985.
21.Green, WT, y Banks, HH: Osteochondritis dissecans in children. Clin Orthop, 255: 3-12, 1990.
22.Guhl, JF, y Stone, JW: Multi-mode distraction system. En: Guhl, JF (Ed): Foot and Ankle Arthroscopy, 2.a ed. Thorofare, NJ. SLACK Inc, 1993, 69-82.
23.Jäger, M, y Wirth, CJ: Osteochondrosis dissecans. Praxis der orthopädie (Thieme Verlag), 1986, 447-451.
24. Jerosch, J; Lahm, A; Castro, WHM, y Assheuer, J: Möglichkeiten der kernspintomographie in der diagnostik der osteochondrosis dissecans des kniegelenks. Sportverl-Sportschad, 6: 14-19, 1992.
25.Kappis, M: Bau und wachstum und ursprung der gelenkmäuse. Deutsche Zeitschrift für Chirurgie, 157: 214, 1920.
26.Kappis, M: Weitere beiträge zur traumatisch-mechanischen entstehung der «spontanen» knorpelablösung. Dtsch Z Chir, 171: 13-29, 1922.
27.Karcher, H: Seltene lokalisationen der osteochondritis dissecans unter besonderer berücksichtigung ihrer genese. Arch Klin Chir, 271: 449-463, 1952.
28.König, F: Über freie körper in den gelenken. Dt Zschr Chir, 27: 90-109, 1888.
29.Linden, B: The incidence of osteochondritis dissecans in the condyles of the femur. Acta Orthop Scand, 47: 664-667, 1976.
30.Loomer, R; Fisher, C; Lloyd-Smith, R; Sisler, J, y Cooney, T: Osteochondral lesions of the talus. Am J Sports Med, 21: 13-19, 1993.
31.Lütten, C; Lorenz, H, y Thomas, W: Refixation bei der osteochondrosis dissecans mit resorbierbarem material unter verlaufsbeobachtung mit der kernspintomographie (MR). Sportverletzung-Sportschaden, 2: 61-68, 1988.
32.Marks, KL: Flake fracture of the talus progressing to osteochondritis dissecans. J Bone Joint Surg, 34B: 90-92, 1952.
33.McCullough, CJ, y Venugopal, V: Osteochondritis dissecans of the talus: The natural history. Clin Orthop, 144: 264-268, 1979.
34.Michiels, I; Grimm, J, y Hasch, E: Die osteochondrosis dissecans des ellenbogengelenks. Unfallchirurg, 95: 618-625, 1992.
35.O''Farrell, TA, y Costello, BG: Osteochondritis dissecans of the talus. The late results of surgical treatment. J Bone Joint Surg, 64B: 494-497, 1982.
36.Parisien, JS: Arthroscopic treatment of osteochondral lesions of the talus. Am J Sports Med, 68: 862-865, 1986.
37.Pettine, KA, y Morrey, BF: Osteochondral fractures of the talus: A long-term follow-up. J Bone Joint Surg, 69B: 89-92, 1987
38.Platzgummer, H: Die osteochondritis dissecans (könig). Arch Orthop Unfall-Chir, 46: 650-662, 1954.
39.Pritsch, M; Horohovski, H, y Farine, I: Arthroscopic treatment of osteochondral lesion of the talus. J Bone Joint Surg, 68A: 862-865, 1986.
40. Röden, S; Tillegaard, P, y Unander-Scharin, L: Osteochondritis dissecans and similar lesions of the talus: Report of 55 cases with special reference to etiology and treatment. Acta Orthop Scand, 23: 51-66, 1953.
41.Rompe, G: Die bedeutung konstitutioneller faktoren bei der osteochondrosis dissecans der hüftköpfe. Z Orthop, 96: 164-172, 1962.
42. Smasal, V; Wasmer, G, y Hagena, FW: Spielt bei der entstehung von osteochondrosis dissecans tali überlastung eine rolle? Sportver-letzung-Sportschaden, 2: 158-159, 1988
43.Stone, JW: Osteochondral lesions of the talar dome. J Am Acad Orthop Surg, 4: 63-73, 1996.
44.Schneider, T; Fink, B; Jerosch, J, y Assheuer, J: The value of magnetic resonance imaging as postoperative control after arthroscopic treatment of osteochondritis dissecans. Arch Orthop Trauma Surg, 117: 235-239, 1998.
45.Van Buecken, K; Barrack, RL; Alexander, AH, y Ertl, JP: Arthroscopic treatment of transchondral talar dome fractures. Am J Sports Med, 17: 350-356, 1989.
46.Vestring, T; Bongartz, G; Erlemann, R, Sciuk, J; Vassallo Wiesmann, W; Adlawam, C; Adolph, J, y Peters, PE: Magnetresonanztomographie des sprunggelenks. Radiologie, 31: 616-623, 1991.
47.Yvars, MF: Osteochondral fractures of the dome of the talus. Clin Orthop, 114: 185-191, 1976.
48. Zollinger, H, y Dexel, M: Zur äthiologie der osteochondrosis dissecans des talus. Orthopäde, 10: 92-94, 1981.












