La luxación congénita de rodilla (LCR) es un proceso raro, siendo 100 veces menos frecuente que la de cadera (LCC) y hay mayor incidencia en el sexo femenino. Fue en 1822 cuando Chatelaine describió el primer caso de LCR. Se distinguen tres grupos según la clasificación de Ferris1 , basada en criterios clínicos y radiológicos: Tipo I o recurvatum severo de la rodilla, estando ésta hiperextendida más de 15°, con un rango de flexión completo y sin alteraciones radiológicas. Tipo II o subluxación de la tibia sobre el fémur, rodilla hiperextendida más de 15°, con alguna restricción para la flexión y radiológicamente subluxada. Tipo III
o luxación completa, con una rodilla inestable, radiológicamente luxada, y un rango de movilidad variable.
Múltiples causas se han postulado como posibles etiologías, como un oligohidramnios, la posición de las nalgas, la contractura del tendón cuadricipital, una malformación del ligamento cruzado anterior (LCA), e incluso alteraciones genéticas2-17 .
Entre el 40% y el 100% de los pacientes aquejados de LCR, asocian otras anomalías musculoesqueléticas, siendo las más frecuentes el pie zambo y la LCC. El diagnóstico se realiza al nacer, dada la posición en recurvatum de la rodilla que se confirma radiológicamente.
El tratamiento debe instaurarse lo más precozmente posible, siendo inicialmente conservador, ya sea mediante férulas en flexión progresiva, tracción esquelética o aplicación del arnés de Pavlik. Cuando con estos métodos no se reduce, se realiza el tratamiento quirúrgico.
MATERIAL Y MÉTODOEntre los años 1990 y 2000, 16 pacientes (27 rodillas) fueron diagnosticados y tratados de LCR en nuestro centro (tabla 1). Once niñas (69%) y 5 niños (31%). El período de seguimiento medio fue de 5 (1,5-16) años. En 11 casos la LCR fue bilateral y en 5 unilateral, 3 izquierdas y 2 derechas. Según la clasificación de Ferris y Aichroth1 , las luxaciones congénitas se dividen en tres grupos. En nuestra serie, 4 rodillas (15%) pertenecían al tipo I o recurvatum ; 5 (19%) se englobaban en el tipo II o subluxación; las restantes 18 (66%) eran del tipo III o luxación completa (fig. 1). En relación al embarazo, 12 pacientes (75%) fueron a término y 4 (25%) fueron prematuros. Un embarazo fue gemelar. El parto fue vaginal en 8 niños (50%) y con cesárea en los otros 8 (50%). La presentación cefálica fue la más frecuente, 8 casos (50%), seguida de la podálica y de nalgas con 4 (25%) cada una.
Únicamente en 3 pacientes (19%) la LCR se dio de forma aislada. En los restantes 13 casos (81%), se diagnosticaron anomalías musculoesqueléticas asociadas. De ellas, la más frecuente fue la LCC, que se diagnosticó en 10 casos (63%), siendo bilateral en 4 niños y unilateral en los 6 restantes, derecha en 4 e izquierda en 2. La segunda anomalía concomitante más frecuente fue el pie zambo, detectado en 6 niños (38%), en 5 casos de forma bilateral y en uno unilateral. La tercera en frecuencia fue la artrogriposis, diagnosticada en 3 niños (20%). El síndrome de Larsen fue diagnosticado en 2 pacientes (13%). Otras anomalías, aunque menos frecuentes, recogidas también en nuestro estudio son espina bífida, hidrocefalia, síndrome de Pierre Robin y agenesia parcial del cuerpo calloso.
Los pacientes los podemos dividir en dos grupos. El primer grupo engloba a los niños diagnosticados y tratados dentro de las primeras 24 horas de vida (10 pacientes, 16 rodillas). El segundo grupo incluye a aquellos niños tratados con posterioridad a las primeras 24 horas de vida (6 pacientes, 11 rodillas).
La mayoría de los casos, 10 pacientes, 16 rodillas (63%) fueron diagnosticados y tratados en las primeras 24 horas de vida. Se trata de realizar una tracción manual suave pero intensa, desplazando anteriormente el 1/3 distal fe-moral y a posterior el 1/3 proximal de tibia, corrigiendo la luxación. Se considera la luxación reducida cuando se consigue una flexión de más de 85°-90°, con confirmación radiológica. Es entonces cuando se coloca un yeso manteniendo la posición. Dicha inmovilización es cambiada cada dos semanas. Esta reducción inmediata se logró en 4 de 10 pacientes (6 rodillas) (23% de las rodillas). En los restantes 6 pacientes (10 rodillas) se apreció una resistencia a la flexión con una contractura cuadricipital que impedía la reducción (fig. 2). Entonces se usaron yesos seriados con diferentes grados de flexión en función de la tolerancia de las partes blandas; dichas escayolas eran cambiadas semanalmente, progresando en los grados de flexión. La duración media de la inmovilización con yeso en ambos grupos fue de 90 (42150) días. Del total de las 16 rodillas diagnosticadas y tratadas en las primeras 24 horas, únicamente una (6%) precisó tratamiento quirúrgico. Consistió en una liberación de la cintilla iliotibial.
El segundo grupo comprende a aquellos que comenzaron su tratamiento pasadas las primeras 24 horas de vida. Son 6 pacientes, 11 rodillas. El tiempo medio de espera para iniciar el tratamiento fue de 17 (2-30) días. El tratamiento fue conservador con yesos progresivos o tracción asociada a yeso en todos los casos. El tratamiento conservador no dio buen resultado en 4 rodillas, por lo que en ellas se optó por realizar un tratamiento quirúrgico. Consistió en una sección de la cintilla iliotibial. En 3 de las 4 rodillas además se realizó una sección de la mitad externa del tendón cuadricipital, y una reconstrucción del ligamento lateral interno (LLI).
En cuanto a las anomalías musculoesqueléticas asociadas, su tratamiento fue siempre posterior a la reducción de la LCR. A las 4 semanas se colocaba un arnés de Pavlik para tratar conjuntamente la LCC y la LCR. Además se usaban yesos que pudieran servir para corregir simultáneamente las deformidades de los pies. De las 14 LCC, en 6 de ellas (43%) se tuvo que recurrir al tratamiento quirúrgico para su reducción, siendo el ortopédico con férulas de Frejka y arnés de Pavlik suficiente en las restantes 8 (57%).
Tabla 1. Datos fundamentales de los pacientes de este estudio
Figura 1. Luxación congénita de rodilla tipo III de Ferris.
Figura 2. Control radiológico. Primero de los yesos progresivos.
Para la valoración de los resultados hemos usado una escala de valoración de rodilla. Incluía criterios como rango de movilidad, dolor e inestabilidad. Se considera un resultado como excelente cuando el rango de movilidad es completo, rodilla indolora y estable. El resultado es bueno cuando la flexión es mayor o igual a 90°, leve dolor y ligera inestabilidad. Es regular cuando la flexión se encuentra entre 45°-90°, hay moderado dolor e inestabilidad asociada. Es malo cuando la flexión es menor de 45°, el dolor es importante y la inestabilidad es grave.
RESULTADOSDe las 27 rodillas incluidas en nuestra serie, 9 (33%) tuvieron un resultado excelente, 12 (45%) tuvieron un resultado bueno y 6 (22%) un resultado regular. No se produjo ningún resultado considerado como malo (tabla 1).
Todos las LCR que tuvieron un resultado excelente fueron reducidas dentro de las primeras 24 horas de vida del paciente. En cambio de las 6 LCR que obtuvieron un resultado calificado como regular, 4 de ellas (67%) comenzaron su tratamiento pasado el primer día de vida del paciente, con un tiempo medio de inicio de tratamiento de 14 (2-28) días, siendo la tracción y la inmovilización con escayola el método más empleado en su tratamiento.
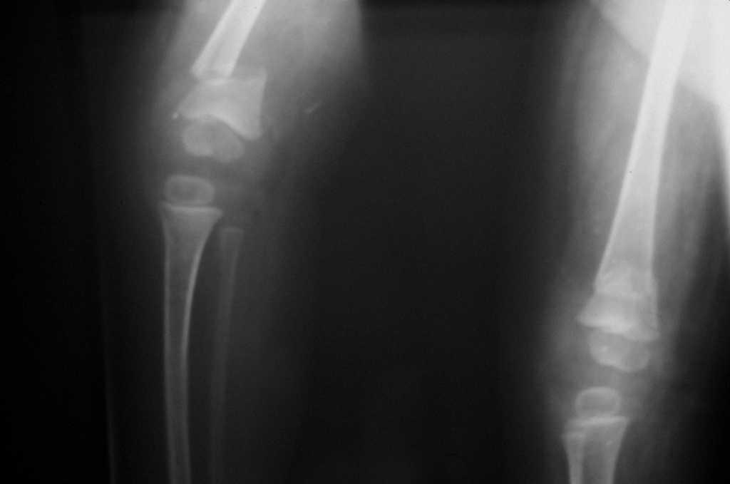
Figura 3. Fractura supracondílea femoral tras un intento de reducción de la luxación congénita de rodilla.
En cuanto a las lesiones musculoesqueléticas asociadas a la LCR, de las rodillas con resultado excelente, 2 pacientes (3 rodillas) (33%) no tenían ningún tipo de patología concomitante. La lesión asociada más frecuente fue la LCC y el pie zambo (33%) y un caso de síndrome de Larsen. De los pacientes cuyas rodillas tuvieron un resultado regular, 3 pacientes (5 rodillas) (84%) tenían como lesión asociada una artrogriposis.
En relación al tipo de tratamiento, el 100% de las LCR con resultado excelente fueron tratadas de forma ortopédica, ya sea con reducción inmediata e inmovilización o con yesos seriados progresando en la flexión de la rodilla. De las 5 LCR que fueron sometidas a tratamiento quirúrgico, 4 (80%) tuvieron un resultado bueno y una (20%) un resultado regular.
En cuanto a las complicaciones, la más frecuente fue la fractura de tibia en 3 pacientes (4 rodillas), siendo en un caso bilateral. Un paciente sufrió una fractura de fémur (fig. 3). Tres pacientes (4 rodillas) presentaron al final del tratamiento un leve recurvatum en la tibia y un paciente (una rodilla) en la tibia.
DISCUSIÓNDesde que Chatelaine en 1822 describiera por primera vez esta entidad, más de 400 casos nuevos se han recogido en la literatura médica1-10 . Su incidencia es 100 veces menor que la de la LCC y hay mayor incidencia en el sexo femenino. Muchas son las causas propuestas como responsables de esta patología. Katz et al2 describió una serie de causas intrínsecas y extrínsecas. Dentro de las extrínsecas se encuentran una malposición fetal como en la presentación de nalgas, una contractura cuadricipital, e incluso hay un caso descrito en la literatura de LCR secundaria a amniocentesis de repetición en un embarazo de riesgo15 . Las otras causas descritas son las intrínsecas, como pueden ser el síndrome de Larsen, la artrogriposis, que junto a otros desórdenes neuromusculares podrían causar un disbalance muscular entre la musculatura flexora y la extensora del muslo y la rodilla a favor de los segundos, lo que provocaría una hipertensión de la rodilla. Otros autores como Johnson9 , abogan porque sea considerada la LCR dentro de un síndrome y no una patología aislada que únicamente afecta a la rodilla; este hecho lo corroboran también los datos recogidos en nuestro estudio, dada la comorbilidad que asocian. De los 16 pacientes que componen nuestra serie, únicamente 3 (19%) presentaron la LCR de forma aislada, sin otra patología concomitante, lo que hace que el resultado final del tratamiento dependa no sólo de la rodilla en sí, sino de las restantes comorbilidades que aquejan los pacientes. De hecho, en nuestro estudio los 3 pacientes con LCR aislada tienen un resultado final excelente o bueno; por el contrario, de los 4 pacientes (6 rodillas) que han presentado un resultado regular, 3 de ellos fueron diagnosticados de artrogriposis. Otros autores como Haga10 no las incluyen en su serie, lo que sin duda repercute en el resultado final. Laurence18 establece 3 factores pronóstico en la evolución de la LCR: el retraso en el inicio del tratamiento, la presencia de deformidades asociadas y la laxitud articular.
La patología asociada más frecuente en nuestra serie fue la LCC. Su tratamiento conjunto como refieren muchos estudios es difícil, sobre todo el hecho de colocar un arnés de Pavlik cuando las rodillas se encuentran hiperextendidas. Nosotros hemos tratado ambas patologías simultáneamente. En primer lugar colocamos un yeso en flexión, o bien, yesos seriados intentando reducir la LCR, cuando esto se consigue colocamos un arnés de Pavlik; de media en nuestra serie era colocado a las 4 semanas de vida. Otros autores como Bensahel4 implantaba la ortesis cuando la rodilla alcanzaba 20° de flexión.
El 43% de las LCC requirieron tratamiento quirúrgico en nuestras manos al no conseguirse la reducción. La colocación de los yesos en flexión progresiva permitió además el tratamiento de los pies zambos de nuestros pacientes que representaban el 38% del total de pacientes de nuestra serie. En los pacientes diagnosticados de síndrome de Larsen no fue necesario el tratamiento quirúrgico, en los 2 pacientes aquejados en nuestro estudio; no así en otras series, al fracasar el conservador8 .
En cuanto al inicio del tratamiento, hay varios protocolos, siendo la mayoría, con alguna variación, parecidos al de
J.Y. Ko et al3 . Si el diagnóstico se realiza en niños de menos de 48 horas de vida, se procederá a la reducción inmediata, y si ésta no se consigue, se recurrirá a los yesos seriados hasta ir progresivamente alcanzando la flexión de rodilla. Haga10 en casos en los que la LCR se presente de forma aislada, espera un mes por si se produce una reducción espontánea. Si el paciente ha sido diagnosticado posteriormente a esas primeras 48 horas, o bien, los yesos seriados han sido infructuosos, se colocará una tracción durante unas dos semanas, como complemento al estiramiento pasivo que sufre la articulación de la rodilla, incrementando el ángulo de tracción conforme la flexión de la articulación se va consiguiendo. Ferris1 en su serie refiere que el tratamiento conservador puede ser satisfactorio cuando comenzaba antes de la sexta semana tras el nacimiento. Mayer19 recoge un 81% de excelentes resultados en niños tratados dentro de los tres primeros meses de vida; en cambio cuando el proceso terapéutico comienza entre el tercer y sexto mes cae un 31% el porcentaje de resultados satisfactorios. De no tratarse, las secuelas que se derivan serían muy importantes: dolor, rigidez o inestabilidad de la rodilla. En relación a cuándo instaurar el tratamiento quirúrgico, las posturas son muy amplias. Ferris1 comenta que el resultado podía ser todavía satisfactorio cuando la cirugía se lleva a cabo dentro de los 15 meses de vida. En cambio, Curtis y Fisher12 no recomiendan la cirugía en niños mayores de dos años. En nuestra serie además hemos desglosado los resultados en función de cuándo se instauró el tratamiento. Todos las LCR que tuvieron un resultado excelente fueron reducidas dentro de las primeras 24 horas de vida del paciente. En cambio de las 6 LCR que obtuvieron un resultado calificado como regular, cuatro de ellas (67%) comenzaron su tratamiento pasado el primer día de vida del paciente con un tiempo medio de inicio de tratamiento de 14 (2-28) días, siendo la tracción y la inmovilización con escayola el método más empleado, datos similares a los recogidos por otros autores.
En cuanto a las complicaciones, la más frecuente fue la fractura de tibia en 3 pacientes (4 rodillas), siendo en un caso bilateral. Un paciente sufrió una fractura supracondílea de fémur. Pensamos que fue debido a una manipulación excesivamente intensa al inicio del tratamiento. Hay muy pocas series en la literatura actual que recogen esta complicación. Jacobsen13 presenta fracturas de fémur o de tibia en el 30% de los pacientes, porcentaje sensiblemente superior al recogido en nuestro estudio (25%).
En conclusión, en nuestra opinión, el tratamiento de esta patología en la mayoría de los casos debe ser conservador y comenzar de forma precoz, si es posible, en el mismo momento del nacimiento. Las maniobras de reducción y manipulación deben ser cuidadosas y progresivas para luego inmovilizar la extremidad según el grado de reducción alcanzado. El tratamiento de las patologías asociadas se debe hacer al mismo tiempo que el de las LCR. La cirugía debe reservarse para aquellos casos en los que el tratamiento ortopédico no logre una reducción satisfactoria, siendo esta opción de tratamiento rara en los casos en los que se da la LCR de forma aislada, sin ninguna alteración neuromuscular asociada.
Correspondencia:
A. Ríos Luna.Servicio de Ortopedia y Traumatología. Hospital de Poniente. Avda. de Almerimar s/n. 04700 El Ejido. Almería. Correo electrónico: antonioriosluna@yahoo.es
Recibido: octubre de 2003. Aceptado: abril de 2004.
*Premio SECOT-MENARINI 2003.






