Las fracturas de la extremidad proximal del fémur representan una de las patologías quirúrgicas más frecuentes en nuestro medio, con un incremento progresivo debido al aumento de la esperanza de vida de la población española. Se calcula que se producen 40.000 casos anuales en España con previsiones de triplicar su número en 50 años 1 .
Uno de los aspectos a considerar en este tipo de fracturas son los costes directos que ocasiona su tratamiento que ascienden a 4.800-5.400 euros, lo que supondría un gasto anual de 97 millones de euros 2 . Los factores que más influyen en estos costes son la estancia media hospitalaria y el tipo de tratamiento realizado 3,4 .
Las fracturas de trazo pertrocantéreo representan el 50% de las fracturas de esta zona con una edad media y una mortalidad más elevada.
En la actualidad se realiza tratamiento quirúrgico de estas fracturas mediante síntesis extramedular (placa y tornillo cefálico), frente a los diferentes sistemas de síntesis endomedulares.
Estos dos sistemas abogan por síntesis rígidas, desechando la idea propuesta por Ender 5 , donde la elasticidad de la síntesis endomedular, asociada a la orientación en las tres direcciones del espacio dentro de la cabeza femoral, conseguía la estabilización y consolidación de estas fracturas (fig. 1).
Figura 1. Correcta posición en la cabeza femoral de los clavos de Ender en una fractura pertrocantérea.
Este trabajo analiza los resultados y complicaciones del enclavado endomedular con la técnica de Ender en el tratamiento de las fracturas pertrocantéreas.
MATERIAL Y MÉTODOEstudio retrospectivo de todas las fracturas pertrocantéreas de cadera del adulto, intervenidas en nuestro Servicio de Cirugía Ortopédica y Traumatología tratadas mediante enclavado endomedular de Ender en el período comprendido entre 1988 y 1999. El número de casos revisados fueron 394, desestimando 22 casos por cumplir alguno de los criterios de exclusión (edad inferior a 60 años, fracturas patológicas o fracturas abiertas).
Mediante un protocolo diseñado para este estudio se recogieron datos epidemiológicos, comorbilidad, tipo de fractura según Kyle ( Hennepin County Medical Center6 , modificado por Evans 7 ) y parámetros quirúrgicos.
Para la valoración de la reducción en las radiografías anteroposterior (AP) y axial postoperatoria se siguió una modificación de los parámetros establecidos por Harper y Walsh 8 , dividiéndose en: aceptable (ángulo cervicodiafisario en AP entre 135°-155° y axial < 20°) y no aceptable (ángulo cervicodiafisario en AP < 35° o > 155° y/o axial > 20°).
Para analizar la posición de los clavos en la cabeza fe-moral se siguieron los parámetros expuestos por Harper y Walsh 8 , dividiendo la cabeza femoral en tres sectores de 60° cada uno, tanto en la proyección axial como en la lateral, considerándose: correcta (cuando la mayoría de las puntas de los clavos se localizaban en los cuadrantes medio o interno en la proyección AP y entre los sectores posterior y medio en la axial) e incorrecta (cuando la mayoría de las puntas de los clavos se situaban en el cuadrante externo en la proyección AP y en el sector anterior en la axial).
En el seguimiento postoperatorio se registraron parámetros funcionales, así como las principales complicaciones. Para el análisis estadístico de los datos se utilizó el soporte informático SPSS 10.0, la prueba de Chi cuadrado para variables cualitativas, coeficiente de correlación de Pearson, ANOVA y la prueba de la «t» de Student.
RESULTADOSTras la aplicación de los criterios de selección a la muestra inicial se analizaron 372 fracturas pertrocantéreas de fémur tratadas con enclavado de Ender. La edad media fue de 81 años (60-102) con 286 mujeres (77%) y 86 varones (23%). La cadera derecha se afectó en 212 casos (57%) y la causa más frecuente fue un traumatismo de baja energía (97%). Doscientas treinta y nueve pacientes (64%) precisaban ayuda para deambulación previamente a la fractura, detectándose una alta comorbilidad en nuestros pacientes según la escala de puntuación de la Asociación Americana de Anestesia (ASA) 9 (ASA III un 58%, ASA IV un 6%). La distribución según la clasificación de Kyle 6 fue: tipo I (19%), tipo II (55%), tipo III (19%), tipo IV (7%). La estancia media hospitalaria fue de 17 días, con una demora quirúrgica media de 4,5 días.
Complicaciones médicasSe registraron complicaciones médicas prequirúrgicas y posquirúrgicas en el 29% de los pacientes. Las más frecuentes fueron: síndrome confusional (17 casos), infección urinaria (9 casos), febrícula sin foco aparente (8 casos), hemorragia digestiva alta (8 casos), infección respiratoria (7 casos), reagudización enfermedad pulmonar obstructiva crónica (EPOC) (7 casos) e insuficiencia renal (7 casos).
Técnica quirúrgicaSe aplicaron los protocolos de profilaxis antibiótica y tromboembólica con heparina de bajo peso molecular. La vía de abordaje empleada fue subvasto interno con realización de ventana ósea en zona de inflexión en el cóndilo interno posterior a línea media.
La duración media de la intervención fue de 37 minutos (25-90 minutos), utilizándose anestesia raquídea en 332 pacientes (89%).
En 190 casos (51%) se introdujeron tres clavos, mientras que en 182 pacientes (49%) fueron 4 o más clavos. En 146 pacientes (39%) se implantaron clavos antimigratorios.
Durante la cirugía se registraron 5 casos de falsas vías y 4 casos de complicaciones médicas graves que obligaron a suspender la intervención.
Pérdidas sanguíneasPreoperatoriamente se obtuvo un valor medio de hemoglobina de 12,11 g/dl, siendo necesaria la transfusión sanguínea media de una unidad en 164 pacientes (44%), disminuyendo la necesidad transfusional al 15% cuando la cifra inicial superaba los 12 g/dl.
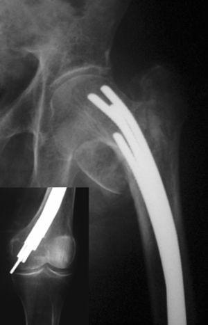
Resultado radiológicoSegún los parámetros de Harper y Walsh 8 , aparecieron 279 casos (75%) de buenas reducciones, 53 casos (14%) en varo y 40 casos (11%) de reducciones en valgo. La colocación de los clavos fue correcta en la proyección AP en 216 pacientes (58%) y en 238 (64%) en la proyección axial, consiguiendo el relleno del canal medular en 234 casos (63%). El tiempo medio de consolidación fue de 11,4 semanas (fig. 2).
Resultado funcionalA las 48 horas se realizaba la sedestación del paciente, obteniéndose en 283 pacientes (76%) la deambulación asistida en los primeros 8 días tras la intervención quirúrgica. En pacientes con independencia funcional antes de la cirugía, se consiguió volver a su estado previo en un tiempo medio de 5 meses.
Figura 2. Buena consolidación a las 12 semanas de una fractura per subtrocantérea femoral; en la imagen pequeña (abajo a la derecha) se muestra el buen relleno del canal medular.
Derivación al alta
Se realizó valoración integral del paciente por los Servicios de Geriatría, Traumatología y Asistencia Social, procediéndose al alta domiciliaria en 115 pacientes (31%), residencia temporal en 190 (51%) y residencia definitiva en 67 (18%).
MortalidadLa mortalidad intrahospitalaria se situó en un 2,8% (11 pacientes), la mortalidad a los 3 meses del 8% (30 pacientes) y la mortalidad en el primer año del 20,5% (76 pacientes).
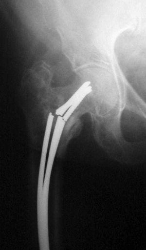
ComplicacionesSe produjo migración distal de los clavos en 104 pacientes (28%), siendo mayor de 2 cm en 67 casos (18%) (fig. 3). La correlación clínica entre migración, dolor y palpación de los clavos se observó en 41 casos (11%). La rotación externa de la pierna intervenida mayor de 10° se dio en 93 casos (25%). Dolor en rodilla en 86 pacientes (23%), de los cuales 28 no asociaban migración de los clavos mayor de 2 cm, ni palpación de los mismos. Migración proximal en 22 pacientes (6%) de los que 12 tenían dolor inguinal. Pérdida de corrección del ángulo cérvico-cefálico en 19 casos (5%). Acortamiento mayor de 1,5 cm en 37 pacientes (10%). Infección de la herida quirúrgica en 12 pacientes (3%). Parálisis del nervio ciático poplíteo externo en un caso. Rotura de los clavos en un caso. Pseudoartrosis un caso. Fractura supracondilea de fémur un caso.
Figura 3. Migración distal de clavos de Ender en una fractura pertro cantérea inestable, en un paciente con altas demandas funcionales.
Reintervenciones
Un total de 14 pacientes (4%) precisaron nuevas reducciones por una deficiente reducción y colocación de los clavos, procediéndose a mejorar la reducción y estabilidad con un mayor número de clavos. La reintervención se realizó en un tiempo medio de 13 días desde la cirugía inicial.
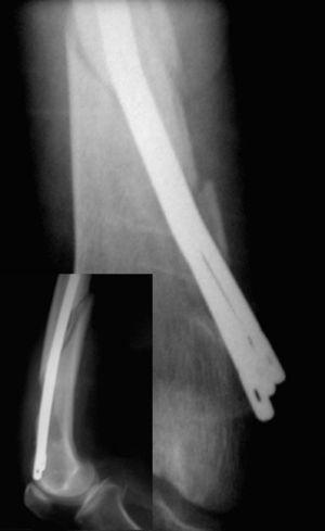
Figura 4. Migración distal con protrusión a través de la piel (imagen pequeña abajo a la izquierda) en una fractura con tan sólo dos clavos, que no rellenaban el canal medular de forma adecuada.
Extracción del material de osteosíntesis
Se realizó la extracción del material de osteosíntesis (AMO) en 55 casos (15%). Cuarenta y cinco pacientes por migración distal con repercusión clínica (fig. 4), 3 pacientes por migración distal asintomática y 7 pacientes por migración proximal sintomática. El tiempo medio hasta la AMO fue de 44 semanas, con dos momentos de máxima incidencia en torno a los 3 meses y al año. En 20 de los 55 casos, las molestias que indicaron la intervención persistieron tras la retirada de los clavos (tabla 1).
Análisis multivarianteSe analizaron los resultados comparando las distintas variables de interés, detectándose los resultados referidos en la tabla 2.
Tabla 1. Persistencia de la sintomatología tras la extracción de material de osteosíntesis
Tabla 2. Análisis multivariante
DISCUSIÓN
Sangrado/tiempo quirúrgicoEntre las ventajas del uso del enclavado de Ender en fracturas pertrocantéreas se describe en la literatura una reducción del tiempo operatorio y una menor necesidad de transfusiones 10-15 , aunque otros estudios concluyen que la mayoría de las pérdidas sanguíneas se producen por la fractura en sí y no por motivo de la técnica quirúrgica empleada, sin encontrar diferencias significativas en la necesidad de transfusión entre las distintas técnicas quirúrgicas 16,17 .
Los autores obtienen un tiempo quirúrgico medio de 37 minutos, discretamente menor a los descritos en otras publicaciones 18 . El mantenimiento de un valor de hemoglobina preoperatorio entorno a los 12 g/dl conlleva menor necesidad de transfusión sanguínea y una disminución de las complicaciones médicas en este tipo de pacientes.
MortalidadEntre los factores que influyen directamente en la mortalidad, diversos autores reflejan cómo la demora quirúrgica mayor de tres días y el estado de salud previo son factores de gran importancia 3,19-21 . La mortalidad en el primer año en estos pacientes se sitúa entre el 22%-34% 22-24 , sin encontrarse diferencias significativas en la mortalidad a los 2 y 6 meses entre el tratamiento con clavos de Ender y otras técnicas quirúrgicas 25 . En el presente estudio se registran valores de mortalidad menores a los de otras series 20 , destacándose una baja mortalidad en el primer año (20,5%), a pesar de presentar una alta comorbilidad (ASA III-IV en el 64%).
ReintervencionesComo se refleja en esta revisión, una de las complicaciones más frecuentes son las reintervenciones por migración de los clavos, siendo superiores a los detectados con otras técnicas quirúrgicas 11-15,25 . La migración distal de los clavos de Ender se presenta en las diferentes series entre un 14,16,18,26 , siendo frecuentemente causa de dolor en la rodilla e indicación de extracción de los mismos 16,18 . Sernbo 14 (1988) y Dalen 12 (1988) reflejan la asociación de dolor en la rodilla junto a la palpación subcutánea de los clavos y describen la presencia de dolor en la rodilla en un tercio de los pacientes sin encontrar diferencias estadística-mente significativas con otras técnicas.
Para evitar esta complicación se recomienda la colocación de los clavos de la medida correcta, así como la realización de la ventana ósea ligeramente posterior a la línea media en la cara interna del fémur 27 . Los autores destacan en este estudio la escasa correlación entre migración distal de los clavos, palpación de los mismos y dolor localizado en dicha zona. Además se observa que solamente en un tercio de los pacientes con dolor en la rodilla aparece una migración distal de los clavos.
La persistencia de las molestias tras la AMO es alta (36%) coincidiendo con algunos trabajos publicados 14 , probablemente en relación con una patología degenerativa subyacente. Estos hallazgos inducen a los autores a valorar los altos porcentajes de AMO en relación con una sobreindicación en la retirada de los clavos, en gran parte debida a la menor dificultad de su retirada frente a la dificultad en otro tipo de implantes.
Otras complicacionesSe describe un caso de pseudoartrosis, siendo una complicación infrecuente e incluso ausente según muchos estu- 11,13-15,24,28 . No se ha detectado ningún caso de necrosis cefálica en este estudio a pesar de ser mencionado en la literatura 29 . Este dato contrasta con incidencias de hasta un 2,2% con otras técnicas 30 .
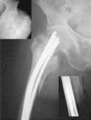
Los autores han encontrado un caso de rotura de los clavos en una paciente con alta demanda y la consiguiente fatiga sobre el material de síntesis, que finalizó en una rotura progresiva de los clavos implantados (fig. 5). Este hallazgo sólo aparece descrito en la literatura por Milankov 31 (1999).
11,13,14,16,18,26,28 reflejan una mayor prevalencia de fracturas tardías de fémur tras enclavado de En-der, con una localización preferente en la región supracondilea, en relación con una mala técnica quirúrgica en la realización de la ventana ósea (fig. 6). Los autores recomiendan la colocación de una pinza de Verbrugge inmediatamente proximal a la zona de introducción de los clavos, con el fin de minimizar los riesgos de fractura en dicha zona. Con esta técnica hemos detectado un único caso de fractura supracondilea de fémur con origen en la ventana ósea de entrada tras producirse un traumatismo al mes de la intervención.
Complicaciones posquirúrgicas médicasNo se ha detectado infección profunda de esta síntesis, aunque se detecta una incidencia del 3% de infecciones superficiales. En la literatura revisada no se observan diferencias estadísticamente significativas en cuanto a la incidencia de infecciones superficiales, aunque sí en cuanto a infecciones profundas (0,9% frente a un 4,2% en otras técnicas17,22,28,30,32.
En este estudio se observa una incidencia de enfermedad tromboembólica del 1,7%, significativamente menor a otros estudios revisados 13 , que la sitúan en un 10%, variable según los métodos diagnósticos.
No se han detectado diferencias entre el presente trabajo y la literatura revisada en cuanto a complicaciones medicas durante el ingreso 11,15,28,33 .
Restitución anatómicaEntre los aspectos más criticados del enclavado de En-der destacan la imposibilidad de una reducción anatómica de la fractura, repercutiendo en altos porcentajes de rotación externa y acortamiento del miembro afectado 30 . Abundantes estudios comparativos de las diferentes técnicas para este tipo de fracturas así lo reflejan, observando mayores incidencias de rotación externa 11,13-15,16,28 con los clavos de Ender.
Figura 5. Rotura de los clavos por fatiga del material, en una paciente con obesidad mórbida y con reducción en varo de la fractura.
Figura 6. Fractura supracondílea tras caída casual. Nótese una excesiva ventana ósea femoral, que pudo ser el origen de la fractura supracondílea (en la parte inferior izquierda se muestra la proyección lateral).
Waddell 27 menciona la necesidad del apoyo precoz para evitar la rotación externa mayor de 15°, pues observa rotaciones externas no tolerables en pacientes encamados durante largos períodos.
Los autores detectan valores significativamente mayores de reducciones en varo a los reflejados en otras publica-ciones 17,28 , así como un mayor número de casos con acortamiento del miembro intervenido si se compara con los sistemas clavo-placa 14,15,24 . A pesar de estas observaciones, se constata una escasa repercusión funcional en estos pacientes para las actividades de la vida diaria.
Evolución funcionalSi analizamos la vuelta al estado funcional previo a la fractura, podemos observar resultados dispares en la literatura. En algunos trabajos aparecen mejores resultados con el enclavado de Ender 15 , mientras que para otros autores existe una más rápida restitución a su situación previa con otras técnicas quirúrgicas 17 , no encontrándose diferencias significativas entre los diferentes métodos en otras publicaciones12,28.
En esta línea en el presente estudio un 75% de los pacientes consiguen la deambulación con ayudas externas en los primeros 8 días, observándose una restitución al estado previo en un tiempo medio de cinco meses en los pacientes que previamente a la fractura no necesitaban ningún tipo de ayuda para la deambulación.
Coste del tratamientoEntre los factores a considerar en las fracturas de cadera aparece en un primer nivel el coste global, siendo en la actualidad una de las patologías con mayores costes directos e indirectos dentro de cirugía traumatológica. Existe una clara relación entre el coste y las complicaciones durante su ingreso 34 , describiéndose en varios trabajos una menor estancia media y menores complicaciones con el enclavado de Ender1,11-13,15,17,28,33.
Por el contrario Parker (2000) destaca que a pesar del menor coste inicial del enclavado de Ender frente a otras técnicas, el mayor porcentaje de reintervenciones puede provocar un aumento en el coste global y añaden que el menor coste del implante no justifica su uso 25,35 .
En conclusión, una correcta zona de entrada, el uso de clavos antimigratorios, una adecuada longitud de los clavos, una buena reducción inicial de la fractura y un relleno adecuado del canal disminuyen significativamente las complicaciones y reintervenciones. Ha existido una excesiva indicación de retirada de los clavos por su facilidad técnica, lo que ha disparado el número de pacientes reintervenidos sin mejoría de su sintomatología.
Mantenemos que, en la actualidad, el enclavado endomedular de Ender podría estar indicado en pacientes con alta comorbilidad y escasa demanda funcional previa a la cirugía, permitiendo en estos pacientes volver a su situación previa de forma precoz, con una estancia media menor y un coste hospitalario más reducido.
Correspondencia:
O.R. Marín Peña.C/ Músicos 13, bloque A, 9. o B. 28760 Tres Cantos. Madrid. Correo electrónico: olivermarin@yahoo.es
Recibido: diciembre de 2003. Aceptado: abril de 2004.










