Valorar los resultados obtenidos con el tratamiento percutáneo o mínimamente invasivo de las fracturas desplazadas de húmero proximal en una serie de pacientes en edad laboral y buena calidad ósea.
Material y métodosEl estudio retrospectivo incluye 90 sujetos tratados en nuestro hospital. Las fracturas se distribuyeron según la clasificación de Neer en 21 fracturas en 2 partes, 44 en 3 partes y 25 en 4 partes. En 5 sujetos hubo luxación asociada. Las fracturas en 3 y 4 partes lo fueron impactadas en valgo y algún caso en varo. Todos los casos se resolvieron mediante cirugía percutánea o mínimamente invasiva, por manipulación de los fragmentos y estabilización con agujas de Kirschner y/o tornillos canulados.
ResultadosLa valoración se realizó mediante el test de Constant con un resultado promedio de 77. Sufrieron complicaciones 15 pacientes (17%), siendo la más frecuente la necrosis avascular con 4 pacientes (4%).
ConclusiónCreemos que en sujetos jóvenes y en edad laboral el tratamiento percutáneo de estas fracturas constituye un método de tratamiento fiable, consiguiéndose en nuestra serie un 92% de reincorporaciones laborales y con escasas complicaciones.
To evaluate the results obtained with percutaneous or minimally invasive treatment of displaced fractures of the proximal humerus in a series of patients of working age and with good bone quality.
Material and methodsThe retrospective study included 90 subjects treated in our hospital. The fractures were distributed, according to the Neer classification, into 21 fractures in 2 parts, 44 in 3 parts, and 25 in 4 parts. Five of the subjects had an associated joint dislocation. The fractures in 2 and 3 parts were impacted in valgus and some were in varus. All the cases were resolved with percutaneous or minimally invasive surgery by manipulation of the fragments and stabilising with Kirschner wires and/or cannulated screws.
ResultsThe evaluation was performed using the Constant test, with a mean result of 77. A total of 15 (17%) patients suffered complications, the most frequent being avascular necrosis in 4 patients (4%).
ConclusionWe believe that percutaneous treatment of these fractures young subjects of working age is a reliable treatment method, achieving a 92% return to work in our series and with few complications.
Las fracturas proximales de húmero constituyen el 5% de todas las fracturas, previéndose en las próximas décadas un fuerte aumento de su incidencia por el incremento de prevalencia de la osteoporosis y el envejecimiento de la población1,2.
La mayoría son fracturas no desplazadas o con escaso desplazamiento3, pero las fracturas desplazadas y tributarias de tratamiento quirúrgico como las fracturas en 3 y 4 partes que clásicamente1,4 suponían solo el 15% del total, en estudios epidemiológicos recientes que incluyen gran número de casos, alcanzan el 51%5,6. Sus resultados dependen de factores como geometría de la fractura, edad, calidad ósea y requerimientos funcionales del paciente, técnica quirúrgica utilizada y un programa de rehabilitación específico.
Sus modalidades de tratamiento incluyen tratamiento conservador, reducción cerrada y osteosíntesis percutánea, reducción abierta y fijación interna o hemiartroplastia.
La reducción abierta y fijación interna, incluso con nuevos implantes como las placas LCP, no está obteniendo resultados determinantes que permitan estandarizar su utilización7. Además, la osteoporosis puede hacer fracasar el anclaje del material de osteosíntesis y el riesgo de osteonecrosis de la cabeza humeral es mayor.
Por otro lado, la reducción adecuada por métodos cerrados y osteosíntesis percutánea estable, permitiría una movilización pasiva precoz acompañada de menor compromiso de la vascularización de la cabeza humeral.
Con estas consideraciones, nos propusimos valorar los resultados de las fracturas de húmero proximal tratadas en nuestro centro mediante reducción cerrada apoyada en técnicas de reducción indirecta y osteosíntesis percutánea. Como hipótesis de trabajo asumimos que este tratamiento en pacientes jóvenes y en edad laboral (con importantes exigencias funcionales y buena calidad ósea), proporciona la suficiente estabilidad de la fractura para iniciar una recuperación funcional precoz y obtener buenos resultados finales con escasas complicaciones.
Material y métodosSe revisaron de manera retrospectiva los resultados de 90 fracturas desplazadas de la extremidad proximal del húmero sufridas por pacientes en edades laborales y tratadas en nuestro centro entre los años 1999 y 2009 mediante reducción cerrada y osteosíntesis percutánea.
Los criterios de inclusión fueron las fracturas en 2, 3 y 4 fragmentos impactadas en valgo o varo (fig. 1) con o sin luxación asociada y tratadas percutáneamente.
Los procedimientos y controles utilizados en los pacientes se realizaron tras la obtención de un consentimiento informado.
Por sexo fueron valorados 57 varones (63%) y 29 mujeres (37%), predominando la lateralidad izquierda con 49 fracturas (55%) sobre la derecha con 41 fracturas (45%).
La edad promedio fue de 46 años (24-68) y el seguimiento medio de 3,5 años (1-8).
El mecanismo lesional más frecuente fue caída al mismo nivel en 40 casos (45%); seguido de accidente de tránsito en 29 casos (32%); precipitación en 18 casos (20%); contusión directa en 2 casos (2%), y 1 caso (1%) por sobreesfuerzo al levantar una moto del suelo, siendo considerados mecanismo de alta energía 47 casos (52%) y de baja energía 43 casos (48%).
Para la clasificación de las fracturas seguimos la propuesta por Neer et al.8. Se objetivaron veintiuna fracturas en 2 partes, de las cuales 16 fueron del cuello quirúrgico y 5 de troquíter. Las fracturas en 3 y 4 partes fueron 69, de ellas 44 en 3 partes y 25 en 4 partes. Sesenta y seis fueron impactadas en valgo y 3 en varo.
Las pruebas de imagen realizadas fueron radiografía simple en proyecciones antero-posterior y perfil escapular. En todos se asoció estudio TC y en los últimos 4 años reconstrucciones 3D.
El tratamiento quirúrgico se realizó con el sujeto en posición de «hamaca de playa», la extremidad libre y bajo control amplificador de imágenes.
Las fracturas en 2 partes, una vez reducida la fractura del cuello quirúrgico por maniobras indirectas, se estabilizaron con agujas de Kirschner directas de diáfisis a cabeza humeral o mediante técnica de Kapandji9 por V deltoidea. Las fracturas de troquíter se estabilizaron con agujas de Kirschner roscadas o con tornillos canulados.
En las fracturas en 3 y 4 partes utilizamos la técnica descrita por Resch10, con manipulación y reducción indirecta de los fragmentos a través de pequeños portales cutáneos mediante espátulas y ganchos (fig. 2). Una vez conseguida la reducción, se estabilizó el fragmento cefálico con agujas de Kirschner directas de diáfisis a cabeza o con la técnica de Kapandji y las tuberosidades con agujas de Kirschner roscadas o tornillos canulados (fig. 3).
En el postoperatorio, la extremidad se inmovilizó en un cabestrillo durante 3 semanas, intentando iniciar la fisioterapia en 24-48 horas mediante ejercicios pasivos y asistidos, si la estabilidad de la osteosíntesis y el estado del paciente lo permitieron.
Para la valoración de resultados se utilizó la escala simple de Constant11. Los casos se valoraron al alta laboral y los de evolución superior a cuatro años se citaron para revaloración. Para medir la fuerza utilizamos el dinamómetro electrónico multifunción asociado a aplicación informática Ned/IBV versión 3.0, efectuando varias medidas hasta contabilizar 3 registros seguidos con una diferencia del 20% entre valores.
El análisis estadístico se realizó creando una base de datos Excel y utilizando el paquete informático para análisis de datos estadísticos SPSS v. 13. Se utilizaron variables cuantitativas (edad, tiempo de baja, inicio de rehabilitación y puntaje final) y cualitativas (tipo de fractura, mecanismo lesional, presencia de luxación). La escala de correlación utilizada para el análisis estadístico fue la de Pearson.
ResultadosSe encontraron lesiones asociadas en 24 sujetos (27%): doce lesiones asociadas lo fueron en la misma extremidad, 3 en la extremidad opuesta, 6 en las extremidades inferiores, 3 fracturas de acetábulo, 3 lesiones torácicas, 3 lesiones faciales y 1 lesión del nervio axilar.
El tiempo medio de espera para el tratamiento quirúrgico fue de 3,5 días (0-17), correspondiendo las esperas más largas a pacientes con lesiones asociadas.
Las fracturas en 2 partes de cuello quirúrgico se estabilizaron con agujas de Kirschner directas desde diáfisis a cabeza humeral en 3 ocasiones (19%) y en 13 ocasiones (81%) mediante la técnica de Kapandji entrando por V deltoidea. En las fracturas de troquíter, 3 se estabilizaron con agujas de Kirschner (60%) y 2 con tornillos canulados (40%).
En las fracturas en 3 y 4 partes, en 40 casos (57%) se asoció el método de Kapandji con agujas roscadas en troquíter y en 18 (26%) se utilizaron sólo agujas de Kirschner percutáneas. En 6 casos (9%) se asoció agujas de Kirschner percutáneas y tornillos canulados en troquíter y en 5 casos (7%) sólo se utilizó el método de Kapandji.
El tiempo promedio de inicio de la rehabilitación fue de 17 días (1-60). De los 90 casos, 40 iniciaron la fisioterapia en la primera semana, 10 casos entre la primera y segunda semana, 12 casos entre la segunda y tercera semana, 15 casos entre la tercera y cuarta semana y 13 casos por encima de las 4 semanas.
El tiempo promedio de estancia hospitalaria fue de 14 días (2-90). Los índices más elevados de inicio de rehabilitación y estancia hospitalaria corresponden a aquellos casos con presencia de lesiones asociadas.
La extracción de las agujas se realizó en un promedio de 14 semanas (4-156) y en 3 sujetos no se retiró el material.
Hubo 15 sujetos que presentaron complicaciones (17%). De ellas 4 fueron necrosis avasculares confirmadas por RM, 3 consolidaciones viciosas por mala posición de algún fragmento de la fractura, 3 migraciones de agujas, 3 capsulitis adhesivas, 1 consolidación insuficiente y 1 lesión iatrógena del nervio radial.
De las necrosis avasculares, que supusieron el 4% de todos los casos, una fue en una fractura en 3 partes (2,2%) y 3 en fracturas en 4 partes (12%). Si sólo consideramos las fracturas en 3 y 4 partes (69 casos) el porcentaje de necrosis avasculares ascendió al 5,7%.
De las 3 consolidaciones viciosas, 2 fueron por mala posición del troquíter y 1 del troquín. La consolidación insuficiente o incompleta afectó al cuello quirúrgico con 2/3 del mismo sin consolidar, precisando todas tratamiento quirúrgico.
El tiempo promedio hasta el alta laboral fue de 27 semanas (6 meses). Hubo 16 altas superiores a las 40 semanas: si analizamos sus causas, 5 fueron por lesiones asociadas, 9 por complicaciones y 2 sin justificación. Si no contabilizamos estos casos superiores a 40 semanas, el promedio de tiempo al alta fue de 22 semanas (5 meses).
Ochenta y tres sujetos se reincorporaron a su trabajo (92,2%). Cuarenta y tres sujetos pasaron por el tribunal de valoración de secuelas (47,7%), concediendo 7 incapacidades laborales (7,7%).
Según la escala de Constant, el resultado global promedio de todas las fracturas fue de 77. En las fracturas en 2 partes fue de 76,2 y en ellas, las fracturas de cuello tuvieron un Constant promedio de 77,1 y las de troquíter de 75,4. En las fracturas en 3 partes fue de 80 y en las fracturas en 4 partes fue de 75.
Según el análisis estadístico, la correlación del tipo de fractura con el mecanismo de lesión es estadísticamente significativa (χ2 p=0,020), siendo las fracturas en 3 partes las que predominan en las caídas desde su altura, las de 2 partes en las precipitaciones y las de 3 y 4 partes, por un igual en los accidentes de tránsito.
No es significativa la correlación del tipo de fractura con el resultado final del puntaje de Constant, con resultados homogéneos y con diferencias poco notables.
La correlación del tiempo de baja laboral con el resultado final de Constant es estadísticamente significativa (Pearson p=0,006) coincidiendo los mejores resultados con el menor tiempo de baja. No hay diferencias significativas en la correlación del tiempo de baja laboral con el tipo de fractura, con un mayor tiempo de baja para las fracturas en 4 partes y menor para las de 2 partes de troquíter. Tampoco hay diferencias significativas cuando correlacionamos edad y tipo de lesión.
La coexistencia de luxación glenohumeral según el tipo de lesión es estadísticamente significativa (χ2 p=0,001), con predominio de la luxación en las fracturas de 2 partes. No es significativa la coexistencia de luxación con el resultado final ni el inicio de la rehabilitación con el resultado final.
DiscusiónLas series bibliográficas de fracturas proximales de húmero en menores de 60 años, son poco frecuentes; ello explica el interés en revisar el tratamiento percutáneo realizado en nuestros pacientes y sus resultados comparados con otras series. Nuestro medio, una Mutua de accidentes laborales, explica el promedio de edad de 46 años con predominio de varones y la mayor energía de los mecanismos de producción. Son pacientes con buena calidad ósea y, por tanto, tributarios para un tratamiento percutáneo o mínimamente invasivo.
En las fracturas impactadas en valgo, y menos frecuentemente en varo12, el fragmento cefálico rota e impacta sobre el cuello quirúrgico y una o las dos tuberosidades se sitúa fuera de su alojamiento. Proximalmente el troquíter mantiene la relación con el manguito rotador y con el periostio distalmente lo que favorece que reducido el fragmento cefálico, pueda volver a su alojamiento natural. Estas fracturas difícilmente se reducirán con maniobras de manipulación simple y precisarán tratamiento quirúrgico.
El tratamiento quirúrgico de las fracturas desplazadas proximales del húmero puede realizarse mediante cirugía percutánea o cirugía abierta. La dificultad está en poner los límites a las indicaciones de una u otra de las cirugías.
La cirugía percutánea precisa cuidadosa selección de los casos y condiciones como buena calidad ósea, poca conminución de las tuberosidades, conservación de la cortical medial con su periostio, que se consiga una reducción cerrada estable y que el paciente sea colaborador1.
Otro tema de debate es la estabilidad de la osteosíntesis y las características del montaje. Obviamente, la fijación percutánea es menos estable que la placa o el clavo endomedular, pero no debe impedir el inicio de la movilización precoz con ejercicios desgravados, pasivos y asistidos, y disponer de un buen arco de movilidad al iniciar la movilización activa.
La valoración y seguimiento de estos casos, permitió considerar que, según el trazo de fractura, las agujas dirigidas directamente a cabeza humeral siguen un trayecto muy horizontal, alojándose en la zona más baja de la cabeza y lejos de la zona de apoyo del calcar, sin proporcionar estabilidad suficiente y favoreciendo de nuevo la basculación en valgo de la fractura.
Por ello, realizamos un montaje de agujas de Kirschner en haz en palmera, según técnica de Kapandji, que aumenta la estabilidad del fragmento cefálico y corrige la alineación longitudinal (varo-valgo). Las tuberosidades se estabilizan con agujas de Kirschner roscadas que proporcionan mayor fijación y menos riesgo de migración que las agujas simples y son más fáciles de extraer que los tornillos (fig. 4).
La frontera de la discusión se sitúa en las fracturas en 4 partes, en las que algunos autores recomiendan la cirugía abierta, mientras otros abogan por el tratamiento percutáneo, incluso con desplazamientos laterales severos y buenos resultados13.
Aunque hay autores que opinan que el tratamiento abierto con placa es superior al percutáneo, con una correcta selección de casos y técnica quirúrgica cuidadosa, pueden obtenerse buenos resultados y con escasas complicaciones.
Resch aconseja la cirugía abierta, cuando hay desplazamientos laterales importantes14. También, otros autores proponen la artroplastia en fracturas desplazadas del casquete cefálico, o con luxaciones asociadas en sujetos entre 50-80 años13,15.
En pacientes jóvenes, el tratamiento percutáneo permite la conservación de la cabeza humeral, con buenos resultados como informa Resch16.
Creemos que el límite entre la cirugía percutánea y cirugía abierta está en la calidad de la reducción que consigamos de manera cerrada, no debiendo permitirse una síntesis percutánea sobre una mala reducción, y debiendo recurrirse en esos casos a la cirugía abierta.
En nuestra revisión sobre 90 casos, con un promedio de edad de 46 años hemos obtenido un puntaje de Constant de 77, próxima a las de diferentes autores que constatan mejores resultados cuanto menor es la edad10,16–20.
El tiempo promedio hasta el alta laboral fue de 27 semanas (6 meses), aunque sin tener en cuenta los casos con lesiones asociadas ni complicaciones, el tiempo real de curación de estas fracturas fue de 5 meses.
Respecto a las complicaciones (17%), hacemos referencia a dos casos de desplazamientos secundarios que precisaron nueva cirugía, también, percutánea, 3 casos con migración de agujas (descritas por algunos autores1,18) y un aflojamiento de un tornillo que no precisó su retirada (fig. 5). Estas migraciones y desplazamientos pueden relacionarse con diferentes variables como el diámetro de las agujas, la longitud de la porción roscada, la disposición del montaje de las agujas en la cabeza humeral (incluyendo su orientación, distribución en la cabeza y número) o por una combinación de ellas1. También el haz de agujas en palmera reparte el apoyo en toda la superficie de la cabeza dificultando el colapso.
Robinson21 lo atribuye a la pérdida de sustancia ósea metafisaria y aboga por la reducción abierta y el relleno con un sustitutivo óseo.
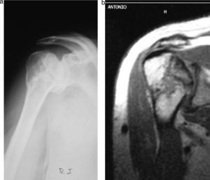
Otra complicación, la necrosis avascular producida por falta de riego sanguíneo en un segmento óseo, aparece entre el primer y segundo años y suele asentar en el cuadrante supero-externo de la cabeza humeral, donde las solicitaciones mecánicas son más importantes22 (fig. 6).
Coinciden autores en que la cirugía abierta y, sobre todo, las amplias exposiciones la favorecen15,22,23, al destruirse los puentes capsulares, periósticos y las inserciones músculo-tendinosas que aportan irrigación de la cabeza., alcanzando el 13-34%. También para su prevención, está referenciada en la literatura la importancia de la conservación del periostio medial y de los vasos que por esa zona discurren3,5,15,23,24.
Así, desplazamientos importantes de la cortical interna de la diáfisis indicarán interrupción del periostio y de su red vascular, y aumento del riesgo de necrosis. La conservación del periostio también facilitará la manipulación y reducción del fragmento cefálico al hacer de bisagra, permitendo desrotar el fragmento a su posición original y evitar desplazamientos laterales14.
El acceso percutáneo tiene un menor riesgo de necrosis (3-14%)23. Por ello proponemos el tratamiento percutáneo o mínimamente invasivo en fracturas en las que esté indicado y en pacientes jóvenes. En la literatura, su frecuencia oscila entre el 3 y el 14% en las fracturas en 3 partes, y entre el 13 y el 34% para las de 4 partes9,10,16–20,25.
Los TC y 3D pueden ayudar a orientar el pronóstico24. En nuestra revisión, llegamos al diagnóstico de los casos tras sospecha clínica y radiológica confirmada con RM. Las fracturas en 3 partes tuvieron un 2,2% de necrosis y las de 4 partes un 12%, sin presentarse en las fracturas en 2 partes, lo que daría en un total de 69 fracturas (5,7%). Estas cifras bajas pueden estar influidas por la rigurosa selección de casos y una técnica quirúrgica cuidadosa que evite lesionar el precario aporte sanguíneo.
Hemos tenido 3 consolidaciones viciosas (3%) cuando en la literatura se cita un 11,4%13. No hemos tenido calcificaciones ni infecciones, debiendo resaltarse en la literatura la escasa incidencia de infecciones, habitualmente superficiales y circunscritas a la entrada de las agujas de Kirschner1,26.
El análisis estadístico muestra la relación entre el mecanismo lesional y el tipo de fracturas. En las caídas al mismo nivel predominan las fracturas en 3 partes; en las precipitaciones, las fracturas en 2 partes y en los accidentes de tránsito, las fracturas en 3 y 4 partes por igual. Hay relación del tiempo de baja con el resultado de Constant; así, a mejores resultados menor tiempo de baja. El mayor tiempo de baja corresponde a las fracturas en 4 partes y el menor a las fracturas en 2 partes de troquíter. La coexistencia de luxación no influyó en el resultado final, como tampoco el momento del inicio de la fisioterapia.
ConclusionesLos resultados obtenidos en este estudio sugieren que la reducción cerrada y osteosíntesis percutánea de las fracturas desplazadas de húmero proximal en esta población específica (jóvenes en edad laboral) constituye un método de tratamiento fiable, consiguiéndose en nuestra serie un 92% de reincorporaciones laborales y con escasas complicaciones.
Esta técnica, aunque pueda parecer simple, es difícil y exigente, precisando una atención especial al escoger las indicaciones y el conocimiento de las consideraciones técnicas adecuadas en su realización27.
Nivel de evidenciaNivel de evidencia IV.
Protección de personas y animalesLos autores declaran que para esta investigación no se han realizado experimentos en seres humanos ni en animales.
Confidencialidad de los datosLos autores declaran que han seguido los protocolos de su centro de trabajo sobre la publicación de datos de pacientes y que todos los pacientes incluidos en el estudio han recibido información suficiente y han dado su consentimiento informado por escrito para participar en dicho estudio.
Derecho a la privacidad y consentimiento informadoLos autores han obtenido el consentimiento informado de los pacientes y/o sujetos referidos en el artículo. Este documento obra en poder del autor de correspondencia.
Conflicto de interesesLos autores declaran no tener ningún conflicto de intereses.








