La enfermedad de Legg-Calve-Perthes es una enfermedad relativamente frecuente en la población infantil. Sin embargo, la aparición de un segundo episodio sobre una cadera previamente afectada y recuperada por completo es muy poco frecuente.
Todavía no está clara la etiopatogenia de esta enfermedad. Para su desarrollo la cabeza femoral debe experimentar un proceso isquémico que conlleve su destrucción. No hay un consenso claro sobre la causa de este proceso isquémico dado que ninguna de las hipótesis propuestas (trombosis de los vasos de la cabeza por aumento de presión intraepifisaria, interrupción del flujo sanguíneo por embolismo) ha conseguido demostrarse.
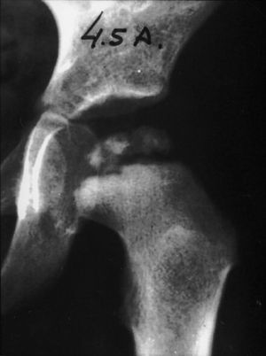
A continuación se describe el caso de un varón de 4 años y 5 meses de edad con dolor en rodilla izquierda de 4 meses de evolución, sin síntomas de infección. En la exploración física se observó una limitación comparativa de la rotación interna de la cadera izquierda, sin ninguna otra limitación en esa extremidad. Las radiografías mostraron alteración epifisaria proximal femoral compatible con necrosis de la cadera izquierda (fig. 1). El niño no presentaba ningún signo que hiciera sospechar displasia ósea. Con estos hallazgos clínicos y radiológicos se diagnosticó enfermedad de Legg-Calve-Perthes. Se administró tratamiento conservador mediante antiinflamatorios no esteroideos y férula de abducción de Thomas durante 3 años y se realizó seguimiento con controles clínicos y radiológicos. Después de 3 años el niño se encontraba asintomático y las pruebas de imagen mostraban una evolución favorable: se apreciaba remodelación completa de la cabeza femoral y morfología clase I según la clasificación de Stulberg1. El niño fue dado de alta, lo que le permitió vida normal.
A los 8 años de edad (un año después de ser dado de alta) acudió de nuevo a consulta por cojera y dolor en la rodilla izquierda de 2 meses de evolución. En la exploración de la cadera izquierda se observó flexión de 100°, extensión de −30°, aducción de 10°, abducción de 10°, rotación interna de 0° y una rotación externa de 20°. En el estudio radiográfico se observó un nuevo foco de destrucción de la cabeza femoral. Los exámenes complementarios (hemograma, fórmula leucocitaria, pruebas de coagulación, velocidad de sedimentación globular y proteína C reactiva) fueron normales.
Se realizó una artrografía de cadera para comprobar el estado de la articulación y la cobertura de la cabeza femoral; a la vista de estos resultados, se decidió tratamiento mediante tenotomía de aductores y férula de abducción durante 3 semanas, con el objetivo de conseguir un mejor centraje de la cabeza femoral para favorecer su remodelación correcta. Diez meses después, las radiografías de control mostraron progresión de la destrucción ósea y mayor grado de extrusión de la cadera.
A los 9 años de edad el niño estaba asintomático y presentaba una marcha normal. La exploración física mostraba flexión de 120°, extensión de 0°, abducción de 40°, aducción de 25°, rotación interna de 15° y rotación externa de 30°. En la radiografía se observó remodelación completa de la cabeza femoral pese a que ésta ya presentaba una configuración anómala.
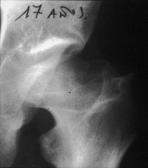
Se le realizó seguimiento hasta el final del crecimiento. En la última revisión, con 17 años de edad, el rango de movimiento fue menor que el de la cadera contralateral y la radiografía mostró una cabeza femoral irregular, clase V según la clasificación de Stulberg1 (fig. 2). Tras esta revisión, se le dio el alta definitiva.
DiscusiónEn 1910, Legg, Calve, Perthes y Waldestrom describieron una enfermedad consistente en necrosis de la cabeza femoral con posterior remodelación de ésta. Pese a los múltiples estudios desde entonces, aún no está clara su causa. Entre las primeras hipótesis etiológicas se sospecharon microtraumatismos repetitivos, sinovitis transitorias e incluso luxación congénita. En 1973, Sanchís et al2 propusieron un modelo de multiinfartos óseos que luego corroboraron los estudios histológicos de McKibbin y Ralis3. Actualmente se sostiene el origen isquémico como causante de los cambios patológicos en la articulación.
A pesar de que se desconoce la etiología de la enfermedad, su relativa frecuencia ha permitido saber su historia natural: tras la destrucción de la cabeza se produce una regeneración y remodelación. El pronóstico a largo plazo de la articulación coxofemoral se determina por el proceso de remodelación; los mejores casos son aquéllos en que los que al final del crecimiento se obtiene una cabeza femoral congruente y esférica. Cuando la remodelación no obtiene una cabeza esférica y congruente pueden observarse cambios degenerativos precoces y una leve discrepancia de longitud en las extremidades. La capacidad de remodelación ósea se pierde con la edad, por lo que los sujetos con mejor pronóstico son los más jóvenes; por el contrario, a mayor edad de inicio, peor pronóstico funcional para la cadera.
La recurrencia de la necrosis de cabeza femoral en la enfermedad de Legg-Calve-Perthes y en la enfermedad de Gaucher es excepcional: se estima su incidencia en el 0,25% de los casos4. En 1961, Caffey5 describió este fenómeno en la enfermedad de Legg-Calve-Perthes y hasta la fecha hay tan sólo 7 casos descritos en la literatura médica1–8.
El pronóstico funcional de los sujetos con recurrencia de la enfermedad de Legg-Calve-Perthes es generalmente malo: la cadera no tiene una conformación normal cuando se produce el segundo episodio; este segundo episodio suele ser más grave, la edad es más avanzada y, por tanto, también es menor la capacidad de remodelación. Quizás por todas estas razones al final del desarrollo estos sujetos presentan una cadera elíptica y aplanada. En el caso aquí descrito, tras el primer episodio el niño presentaba una cabeza femoral clase I según la clasificación de Stulberg1 y posteriormente (al final del desarrollo) presentaba una cabeza femoral clase V, con cambios degenerativos, elíptica e incongruente, subluxada y en bisagra (fig. 2).
Según Stulberg, la conformación de la cabeza femoral al final del desarrollo puede estar relacionada con una mayor presencia de cambios degenerativos precoces1, así que es de esperar que aquellas cabezas con morfología anesférica e incongruentes (clase V) presenten cambios artrósicos antes de los 50 años.
La recurrencia de la enfermedad de Legg-Calve-Perthes es un reto terapéutico. Indicaciones y técnicas quirúrgicas correctas pueden no proporcionar buenos resultados funcionales. Quizás un tratamiento más intensivo del segundo episodio, mediante el que se obtenga mayor cobertura femoral, produzca una articulación coxofemoral más congruente.
En resumen, pese a ser una enfermedad frecuente en la población infantil, en la bibliografía sólo hay publicados 7 casos de recurrencia de la enfermedad de Legg-Calve-Perthes. Esta segunda necrosis y la destrucción de la epífisis proximal femoral conlleva un empeoramiento del pronóstico funcional a corto plazo, tanto por obligar a un segundo episodio reconstructivo sobre una cadera ya alterada como por producirse en sujetos de mayor edad y con una menor capacidad de remodelación.




