REVISTA DE ORTOPEDIA Y TRAUMATOLOGÍA
Volumen 42, pp 95-102
© 1996 EDITORIAL GARSI
Pseudoartrosis del escafoides carpiano
J. J. GARCÍA ABAD y J. A. PAGÁN CONESA
Sección del Miembro Superior y Microcirugía. (Dr. J. J. García Abad.) Servicio de Traumatología
y Cirugía Ortopédica. (Dr. J. de Anta.) Hospital General Universitario. Alicante.
Correspondencia:
Dr. J. A. PAGÁN CONESA.
Avda. Novelda, 37.
03205 Elche (Alicante).
En Redacción: Enero de 1997.
RESUMEN: Han sido intervenidas 32 pseudoartrosis del escafoides carpiano en 30 enfermos, 27 varones y tres mujeres, con una media de edad de 25,5 años (mínimo: 16 y máximo: 36 años), mediante injerto óseo corticoesponjoso en marquetería según la técnica de Russe obtenido de cresta ilíaca del propio paciente. El tiempo medio de evolución de la pseudoartrosis fue de, aproximadamente, 2 años, siendo uno de los casos un proceso bilateral y otro una recidiva. El tiempo medio de consolidación radiológica fue de 19 semanas, objetivándose una mejoría tanto clínica como radiológica en 27 casos (84%), siendo el resto considerado como mal resultado con ausencia de consolidación. Esta revisión se ha realizado también a medio plazo en 25 casos con un tiempo medio de seguimiento de 56 meses (mínimo: 12 y máximo: 180 meses). Los resultados clínicos fueron superiores a los radiológicos, objetivándose que el 88% de los pacientes continuaba satisfecho de la intervención, siendo, sin embargo, el resultado radiológico de consolidación del 76%, con un 68% de casos sin trastornos radiológicos degenerativos.
PALABRAS CLAVE: Muñeca. Escafoides. Pseudoartrosis.
PSEUDOARTHROSIS OF THE CARPAL SCAPHOID
ABSTRACT: Thirty-two cases of pseudoarthrosis of the carpal scaphoid were treated surgically in 30 patients, 27 men and 3 women (mean age 25.5 years, age range 16 to 36 years). A corticocancellous bone graft from the patient''s iliac crest was inlaid following the Russe technique. The average time to surgery of the pseudoarthrosis was about 2 years. One case was bilateral and one was a recurrence. The mean time to radiological consolidation was 19 weeks and 27 cases (84%) showed clinical and radiological improvement. The rest were failures as a result of non-consolidation. Twenty-five patients were followed-up for an intermediate time (mean follow-up 56 months, range 12 to 180 months). The clinical results were better than the radiological results, and 88% of the patients were satisfied with the operation. Radiological consolidation was evident in 76% and 68% had no radiological degenerative changes.
KEY WORDS: Wrist. Scaphoid. Pseudoarthrosis.
La operación de Matti y Russe para el tratamiento de las pseudoartrosis del escafoides carpiano es conocida y utilizada con buenos resultados.1,3,7,18,21,34 Posteriormente han aparecido otros métodos2,4,23,31,32 para el tratamiento de esta patología, así como variantes técnicas1,2,19,22,25,35,38 que ofrecen una perspectiva diferente y que pretende mejorar los resultados previos como son el uso de alguna forma de osteosíntesis asociada al injerto corticoesponjoso, bien sea agujas de Kirschner, tornillos o grapas y los injertos vascularizados.
El motivo de este trabajo ha sido analizar nuestros resultados a corto plazo para conocer los factores que podían haber influido en la consolidación. En segundo lugar se ha pretendido conocer la evolución a medio plazo para ver si el resultado se mantenía o se deterioraba con el tiempo y cuáles eran los factores que contribuían en ello. Diferentes trabajos8-15,18,20,24,30,31,33 analizan estos factores y a partir de ellos se establece una controversia interesante sobre cuáles son los factores de riesgo implicados en el agravamiento de esta lesión, cuál es su peso específico en la misma y cuál puede ser la técnica quirúrgica más adecuada para el tratamiento de este problema.
Material y Método
Se han revisado 32 pseudoartrosis del escafoides carpiano en 30 pacientes (27 varones y tres mujeres) que fueron intervenidos mediante la técnica de Matti y Russe entre los años 1980 y 1995 por el mismo cirujano (J. G. A.), siendo realizada la revisión de las historias clínicas, radiografías y pacientes por el otro autor (J. P. C.) para evitar subjetividad en la interpretación de los resultados. Se desecharon dos casos por ser técnicas diferentes a la estudiada. En todos los casos se ha revisado el resultado a corto plazo (mínimo: 6 meses y máximo: 1 año) y en 25 casos a medio plazo con un tiempo medio de evolución de 56 meses (mínimo: 12 y máximo: 180 meses), perdiéndose en el estudio siete casos por diferentes causas. La edad media en el momento de la intervención era de 25,5 años (mínimo: 16 y máximo: 36 años).
Todos los pacientes presentaban una pseudoartrosis sintomática que impedía el desarrollo de su actividad manual habitual o laboral con un tiempo medio de evolución desde el traumatismo inicial hasta la intervención de 2 años (mínimo: 4 y máximo: 104 meses). No obstante, no siempre se pudo conocer con exactitud el momento del traumatismo inicial. El lado lesionado era el dominante en 23 casos (72%). La actividad manual era de fuerza (camareros, albañiles) en el 71% de los pacientes y de trabajo ligero (estudiantes, administrativos) en el 29%. La causa de la lesión fue en 22 casos un accidente casual o deportivo (69%), en siete fue un accidente de tráfico y en los tres restantes un accidente laboral. La pseudoartrosis se localizaba en el tercio medio del escafoides en 23 casos, siete en el extremo proximal y dos en el distal.
Había un claro predominio de pseudoartrosis en el tercio medio (23 casos, 71%), seguida del tercio proximal en siete casos (Tabla 1). Se objetivó radiológicamente una diástasis media de 1,3 mm, un desplazamiento lateral medio de 0,9 mm y angulación ósea media de 7° en desviación radial o cubital. También existía esclerosis subcondral en nueve pacientes (28%), con un tiempo medio de presentación de 3,5 años, y quistes subcondrales en 14 pacientes (44%), con un tiempo medio de presentación de 2,3 años, siendo ésta la alteración radiológica predominante en la presente serie. Por último, siguiendo los criterios de Hooning van Duyvenbode y cols.18, se evidenció artrosis en Grado I en siete casos (22%), con un tiempo medio de aparición de 3,3 años, estando también en relación directamente proporcional con el tiempo de evolución de la pseudoartrosis. Había inestabilidad en DISI (Dorsal Intercalated Segment Instability) en nueve casos y disociación escafolunar en dos, con un ángulo escafolunar medio preoperatorio de 69°.
| Tabla 1. Cuadro de relación de resultados clínicos y radiológicos a corto plazo | ||||||
| Casos | Sexo | Edad (años) | Nivel | Satisfac- ción | Consolida- ción | Resultado |
1 | M | 21 | Proximal | Sí | Sí | Excelente |
| 2 | M | 20 | Medio | Sí | Sí | Excelente |
| 3 | M | 24 | Medio | Sí | Sí | Excelente |
| 4 | M | 16 | Medio | Sí | Sí | Excelente |
| 5 | M | 18 | Medio | Sí | Dudoso | Aceptable |
| 6 | M | 22 | Medio | No | No | Malo |
| 7 | M | 36 | Proximal | No | No | Malo |
| 8 | M | 36 | Medio | Sí | Sí | Excelente |
| 9 | M | 30 | Medio | Sí | Sí | Excelente |
| 10 | F | 35 | Medio | No | Sí | Bueno |
| 11 | M | 31 | Medio | Sí | Dudoso | Aceptable |
| 12 | M | 31 | Proximal | Sí | Dudoso | Aceptable |
| 13 | M | 22 | Medio | No | No | Malo |
| 14 | M | 22 | Medio | Sí | Sí | Bueno |
| 15 | M | 19 | Medio | Dudoso | Sí | Bueno |
| 16 | M | 31 | Proximal | Sí | Dudoso | Aceptable |
| 17 | M | 31 | Distal | Sí | Sí | Excelente |
| 18 | M | 18 | Medio | Sí | Sí | Bueno |
| 19 | M | 24 | Medio | Sí | Sí | Excelente |
| 20 | M | 27 | Medio | Sí | No | Malo |
| 21 | M | 20 | Medio | Sí | Sí | Excelente |
| 22 | M | 20 | Medio | Sí | Sí | Bueno |
| 23 | M | 17 | Medio | Sí | Sí | Bueno |
| 24 | M | 21 | Proximal | Sí | Dudoso | Aceptable |
| 25 | M | 30 | Medio | Sí | Sí | Excelente |
| 26 | M | 24 | Proximal | No | No | Malo |
| 27 | M | 28 | Distal | Sí | Sí | Bueno |
| 28 | F | 26 | Medio | Sí | Sí | Bueno |
| 29 | M | 25 | Proximal | Sí | Sí | Bueno |
| 30 | M | 33 | Medio | Sí | Sí | Excelente |
| 31 | M | 30 | Medio | Sí | Sí | Excelente |
| 32 | F | 28 | Medio | Sí | Sí | Excelente |
| M: Masculino. F: femenino. | ||||||
Se realizó una evaluación a corto plazo y otra a medio plazo en donde se analizaron y registraron las alteraciones radiológicas pre y postoperatorias, la presencia o no de artrosis carpiana, la presencia de DISI, la disociación escafolunar o de alguna otra forma de inestabilidad intracarpiana. Se analizaron los tiempos de consolidación clínica, radiológica, el tiempo de inmovilización y tiempo de inactividad manual profesional. Finalmente se solicitó la opinión del paciente sobre el resultado final de la intervención, dolor, fuerza prensil y rango de movilidad.
En el examen radiológico se evaluó la presencia de esclerosis, quistes subcondrales, necrosis, desplazamiento lateral, diástasis y angulaciones en proyecciones radiológicas posteroanterior, lateral y en desviación cubital y radial. También se realizó la evaluación del grado de artrosis radiológica presente en el momento de la intervención y posteriormente en la revisión siguiendo los criterios de Hooning van Duyenbode y cols.18, que los clasifica en tres grados: a) Grado I, corresponde a un ligero estrechamiento de la interlínea articular, y/o pequeños osteofitos, y/o irregularidad en el hueso subcondral; b) Grado II, con estrechamiento moderado, osteofitos, irregularidad del hueso subcondral con esclerosis, y c) Grado III, con pinzamiento severo, grandes osteofitos, esclerosis subcondral y/o quistes. Al mismo tiempo se evaluó la existencia de inestabilidad carpiana en forma de DISI, considerando como normal el ángulo escafolunar comprendido entre 30 y 60°, así como la medición de la distancia entre escafoides y semilunar (más de 4 mm se consideró como disociación escafolunar en proyección posteroanterior).
Se evaluó la movilidad de la muñeca con un goniómetro, la fuerza prensil comparativa con un dinamómetro Jamar®, el dolor, el grado de consolidación radiológica obtenida, la reincorporación a la actividad habitual y el grado de satisfacción del paciente, estableciéndose una clasificación de resultados en cuatro grupos: a) resultado excelente: consolidación radiológica indudable, ausencia total de dolor, arco de movilidad próximo a la normalidad (flexión mayor de 60° y extensión mayor de 60°); fuerza normal (más del 75%) comparativamente con el lado sano. El paciente se encuentra satisfecho; b) resultado bueno: consolidación radiológica indudable, alteración de alguno de los criterios anteriores en número de uno o dos como máximo, como, por ejemplo, molestias a los esfuerzos, movilidad menor de 60° en la flexión o extensión, fuerza disminuida (50-75%), no incorporación al trabajo o paciente insatisfecho; c) resultado aceptable: consolidación dudosa, pero con buena movilidad, fuerza y molestias tolerables; el paciente no quiere reintervenirse, y d) resultado malo: ausencia de consolidación con persistencia de los síntomas clínicos o reintervención.
Técnica quirúrgica
Los pacientes fueron intervenidos de acuerdo con la técnica clásica de Russe mediante un abordaje palmar por el borde lateral del músculo flexor carpi radialis. Con la muñeca en extensión y ligera inclinación radial se redujo el colapso volar (humpback deformity) para restablecer la longitud normal del escafoides; se labró una trinchera rectangular en la cara anterior a ambos lados de la pseudoartrosis, llegando a la cortical posterior sin lesionarla y excavando 1 mm más la esponjosa que la cortical anterior. Se incrustó el injerto en marquetería de la cresta ilíaca en todos los casos salvo en uno en el que se extrajo del macizo olecraniano, pues el paciente sólo toleraba anestesia regional del plexo braquial. El tallado del lecho del injerto se realizó mediante broca motorizada o a mano a medida, conservando una sola cortical de la cara anterior y colocado mediante impactación; el injerto tenía una longitud media de 13 mm (mínimo: 10 y máximo: 15 mm) y una anchura aproximada de 5 mm. Si quedaba algún pequeño hueco se rellenó de hueso esponjoso. Se comprobó la estabilidad del injerto mediante la movilización de la muñeca y en un caso se asoció una osteosíntesis mediante tornillo a compresión AO por ser la estabilidad del injerto insuficiente, haciendo para ello una pequeña vía externa. En tres casos se practicó estiloidectomía de 5 mm. En el postoperatorio inmediato se colocó una férula posterior de yeso, con inclusión del pulgar, que posteriormente fue sustituido por un yeso cerrado a los 15 días sin inclusión del codo. El yeso se mantuvo al menos durante 3 meses, con una media de inmovilización de 14,5 semanas (mínimo: 12 y máximo: 25 semanas).
Para el análisis estadístico de los datos se aplicaron las pruebas de significación estadística para las variables cuantitativas «t» de Student y análisis de la varianza, y para las variables cualitativas la «chi» cuadrado, con grados de significación estadística de p < 0,05.
Resultados
Revisión a corto plazo
Se objetivó una mejoría en todos los parámetros estudiados, encontrándonos una diástasis interfragmentaria postoperatoria media de 0,5 mm, un desplazamiento lateral medio de 0,38 mm y una angulación ósea media de 2,2°. Se corrigió el DISI en ocho casos, así como en los dos casos de disociación escafolunar. Se objetivó una mejoría significativa de la inestabilidad del carpo desde una media preoperatoria de 69° a una postoperatoria de 52°. Se mantuvieron los siete casos de artrosis Grado I en su mismo estadio, no apareciendo ningún caso nuevo de artrosis Grado I o II. La presencia de artrosis preoperatoria no influyó en el resultado final a corto plazo, no afectando a la consolidación, aunque sí está asociada a la presencia de DISI de forma estadísticamente significativa (p < 0,05).
Con un tiempo de inmovilización medio de 14,5 semanas hubo una consolidación clínica y radiológica de 17 y 19 semanas, respectivamente. Se constató consolidación definitiva en 22 casos (69%), en cinco ésta no se apreció y en otros cinco no hubo evidencia radiológica definitiva que demostrase la consolidación. El tiempo de baja laboral superó en 4 semanas al de consolidación.
Analizando globalmente los resultados hubo 27 pacientes considerados como resultado excelente, bueno o aceptable (84%) y cinco pacientes con resultado malo, con una tasa de reincorporación laboral del 78%. Los pacientes que no se han incorporado a su trabajo presentan persistencia de dolor y en su mayor parte ausencia de consolidación radiológica (asociación estadísticamente significativa, p < 0,05). La encuesta personal mostró un grado de satisfacción del paciente en el 81% de los casos.
A pesar de no existir diferencias estadísticamente significativas se encontró que los resultados malos presentaban una antigüedad lesional de 2,5 años, superior a los resultados excelentes de 1,5 años y a los buenos de 2,1 años. El mayor porcentaje de malos resultados aparece en las pseudoartrosis del tercio proximal ocupando el 28% de ellas, mientras que sólo aparece en las del tercio medio en el 13%, y no existe ningún caso de mal resultado en las del tercio distal. Estos resultados son semejantes en la valoración de la presencia o no de consolidación. La esclerosis de los bordes predomina en los casos de malos resultados, constituyendo el 60% del total, mientras que aparece sólo en el 33% de los de buenos resultados y en el 13% de los excelentes. Los quistes subcondrales aparecen en el 80% de los casos de malos resultados, 25% de los buenos y 50% de los excelentes.
Revisión a medio plazo
De las 32 pseudoartrosis intervenidas previamente se revisaron un total de 25 pacientes, con un tiempo medio de seguimiento postoperatorio de 56 meses (mínimo: 12 y máximo: 180 meses). El resultado a medio plazo muestra 19 casos de consolidación definitiva (76%) en un tiempo medio de 18 meses, cinco casos de persistencia de la pseudoartrosis y uno de consolidación dudosa a los 34 meses de la intervención (Tabla 2). Los casos que consolidaron continuaron igual a largo plazo. Los casos que previamente no habían consolidado no lo hicieron posteriormente, y de los cinco casos dudosos, dos consolidaron, en dos persistió la pseudoartrosis y en uno no se pudo establecer la consolidación o no de la fractura dado que el paciente rechazó la realización de una TAC, pues se encuentra clínicamente sin molestias y con buen resultado funcional. En resumen, se observa una discreta mejoría con respecto a los resultados a corto plazo en cuanto a la presencia de consolidación. Si se consideran todos los casos de consolidación, incluyendo los no revisados a medio plazo, alcanzan un total de 24 casos de 32 intervenciones previas (75%).
| Tabla 2. Resultados clínico y radiológico a medio plazo |
| Caso | Artrosis preope- ratoria | Artrosis postope- ratoria | E-L preope- ratorio | E-L postope- ratorio | Dolor | Satisfac- ción | Consolida- ción |
| 1 | 1 | 1 | 70 | 45 | No | Sí | Sí |
| 5 | 1 | 2 | 35 | 35 | No | Sí | No |
| 6 | -- | -- | 50 | 50 | Sí | No | No |
| 7 | -- | -- | 50 | 50 | Sí | No | No |
| 8 | -- | -- | 40 | 35 | No | Sí | Sí |
| 9 | -- | -- | 55 | 50 | No | Sí | Sí |
| 10 | -- | -- | 70 | 45 | Sí | Sí | Sí |
| 11 | 1 | 1 | 75 | 40 | No | Sí | Sí |
| 12 | -- | -- | 45 | 40 | No | Sí | Dudosa |
| 14 | 1 | 1 | 65 | 45 | Sí | Sí | Sí |
| 15 | -- | 1 | 50 | 50 | No | Sí | Sí |
| 16 | 1 | 2 | 65 | 75 | No | Sí | No |
| 19 | -- | -- | 50 | 45 | No | Sí | Sí |
| 21 | -- | -- | 50 | 40 | No | Sí | Sí |
| 22 | -- | 2 | 43 | 43 | No | Sí | Sí |
| 23 | -- | -- | 55 | 45 | Sí | Sí | Sí |
| 24 | -- | -- | 35 | 30 | Sí | Sí | Sí |
| 25 | -- | -- | 70 | 50 | No | Sí | Sí |
| 26 | -- | -- | 35 | 55 | Sí | No | No |
| 27 | -- | -- | 45 | 45 | No | Sí | Sí |
| 28 | -- | -- | 50 | 45 | No | Sí | Sí |
| 29 | 1 | -- | 35 | 40 | No | Sí | Sí |
| 30 | -- | -- | 40 | 40 | No | Sí | Sí |
| 31 | -- | -- | 35 | 35 | No | Sí | Sí |
| 32 | -- | -- | 40 | 40 | No | Sí | Sí |
| E-L: Ángulo escafolunar. | |||||||
En cuanto a los resultados globales a medio plazo, en 20 pacientes el resultado es considerado como excelente, bueno o aceptable (80%) y malo en cinco pacientes, con una tasa de reincorporación laboral del 92% (23 pacientes), siendo fundamentalmente la causa de no incorporación la persistencia de dolor.
A pesar de la persistencia del dolor que se mantiene a largo plazo (22%) se ha encontrado que existe una mejoría con respecto al grado de satisfacción personal del paciente (88%) y en la movilidad activa de la muñeca, que pasa de una media de 64° de flexión y 66° de extensión a 72° de flexión y 70° de extensión. La fuerza prensil de la muñeca comparativamente con el lado sano ofrece una media del 80%, siendo esta variable alterada negativamente por la presencia de dolor con una correlación estadísticamente significativa, es decir, los pacientes sin dolor tienen una fuerza media del 87% y los que presentan dolor una del 67%.
Sólo se encontró un caso con persistencia de DISI y que corresponde a una pseudoartrosis persistente que previamente ya presentaba artrosis del carpo que con el tiempo empeoró; dado que no hubo asociación significativa entre la inestabilidad del carpo preoperatoriamente y la ausencia de consolidación y sí con la presencia de artropatía degenerativa, sugiere que no hay asociación tampoco en este caso significativa entre DISI preoperatoria y no consolidación. Además, la inestabilidad carpiana no presentó una progresión significativa con el tiempo de evolución de la lesión; sin embargo, en este paciente en que no se corrigió el grado de artrosis carpiana sí se incrementó. No hubo disociación escafolunar en ningún caso en la revisión a medio plazo. Hubo artrosis radiológica en ocho casos (32%), siendo de éstos la mayor parte casos con artrosis carpiana preoperatoria, de los cuales cinco eran Grado I y tres Grado II. No hubo correlación entre la ausencia de artrosis residual y la presencia de satisfacción clínica del paciente, de manera que los resultados globales y los resultados subjetivos son mejores que los resultados de consolidación y de degeneración articular. En cambio sí existió correlación de la satisfacción con la presencia o no de dolor y con la presencia o no de consolidación (p < 0,05). La fuerza prensil final se correlaciona con la satisfacción de la misma manera (p < 0,05).
La presencia de artrosis y su progresión se correlacionó con la presencia de diástasis residual y desplazamiento lateral residual de forma estadísticamente significativa (p < 0,05). El nivel de satisfacción del paciente se correlaciona con la existencia de consolidación y con la ausencia de dolor, pero no con la presencia de artrosis, es decir, no se encontró asociación significativa entre un mal resultado desde el punto de vista de la degeneración articular y un paciente no satisfecho.
Discusión
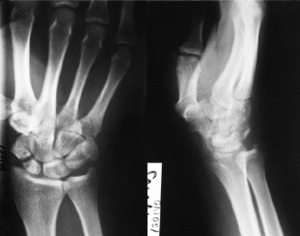
El tratamiento actual de las lesiones óseas del carpo se realiza teniendo en cuenta las estructuras ligamentosas que sostienen a este sistema,9-12reconociéndose que es la estabilidad del carpo el parámetro que va a decidir e interferir en la evolución de una lesión carpiana.8-15,20 Según estos principios, en el tratamiento de la pseudoartrosis del escafoides carpiano se considera esencial la consecución de una adecuada reducción anatómica tanto en longitud como en morfología, desviaciones angulares y desplazamiento lateral, restableciendo la estabilidad intrínseca del carpo. Según Fisk11 y Fernández8-10 puede establecerse una diferenciación entre dos tipos de pseudoartrosis: las pseudoartrosis estables, no desplazadas o sin deformidad, y las inestables, desplazadas o anguladas. Las segundas suelen presentar una deformidad radiológica típica conocida como DISI y una imagen radiológica del escafoides en proyección lateral conocida como humpback deformity (traslación volar, flexión, desviación cubital y pronación). Esta diferenciación tiene importancia tanto pronóstica como terapéutica y así sugieren que sólo es aplicable la técnica clásica de Russe en los casos de pseudoartrosis sin deformidad en flexión del escafoides, acortamiento o inestabilidad carpiana asociada, o colapso. Para el resto de situaciones el injerto triangular o trapezoidal es el idóneo para restablecer las deformidades en flexión en el plano sagital y la angulación radial deseada en el plano frontal, así como para corregir la longitud del mismo. También es importante realizar la intervención lo más precozmente posible, pues a medida que la pseudoartrosis evoluciona las alteraciones anatómicas, óseas y funcionales se incrementan y se estructuran, haciendo más difícil el restablecimiento de la congruencia articular y ligamentosa del carpo. De hecho, en la presente serie los pacientes con más alteraciones radiológicas y con artrosis carpiana incipiente, que posteriormente en las revisiones no han mejorado a pesar de la consolidación de la fractura, son aquellos en los que la inestabilidad del carpo no se ha corregido y la artrosis carpiana ha continuado desarrollándose; sin embargo, el hecho de no haber encontrado relación entre la presencia de dolor y la artrosis del carpo puede deberse al corto período de seguimiento del estudio. Así se ha observado que un buen resultado anatómico y funcional no se va a deteriorar ya con el paso del tiempo y va a permitir prevenir las secuelas tardías de artosis (Fig. 1); por otro lado, la consolidación ósea sola no es suficiente per se para la curación y desaparición del dolor.
A
BC
DFigura 1. A y B: Pseudoartrosis de 13 meses de evolución desde el traumatismo conocido con dolor de muñeca moderado. C: Tras la intervención se objetivó consolidación radiológica definitiva a las 20 semanas de evolución postoperatoria, con un ángulo escafolunar normal y un resultado funcional bueno. D: A los 3 años de evolución postoperatoria se objetiva el mantenimiento del resultado radiológico y mejoría del resultado funcional con vuelta a la actividad laboral previa.
En la exploración radiológica de la presente serie se encontró un porcentaje elevado de quistes subcondrales y esclerosis como lesión principal asociada a la pseudoartrosis directamente relacionados con el tiempo de evolución de la lesión.1,2,8,9,16,21,24,26,28,33 También se observó que la zona más frecuentemente afectada por este proceso corresponde al tercio medio de este hueso (71%) y que es también la zona que mejor responde al tratamiento quirúrgico, a diferencia de la del tercio proximal, en la que se encuentra un mayor número de malos resultados, así como de necrosis ósea avascular.
La presencia de artrosis preoperatoria está íntimamente relacionada con el tiempo de evolución de la pseudoartrosis y su presencia no se asocia a una tasa de consolidación inferior a corto plazo, aunque sí que está relacionada de forma estadísticamente significativa con la presencia de inestabilidad intracarpiana (DISI) preoperatoria, la cual a su vez sí que influye negativamente en la consolidación si no se ha corregido tras la intervención.9,10,16,27,30,36,37 Por ello si existe DISI existirá artrosis carpiana, que con el tiempo irá agravándose, independientemente de la consolidación o no de la pseudoartrosis.
La realización de la estiloidectomía en esta serie no ha influido significativamente en la evolución de la intervención, a diferencia de otros autores que la recomiendan, sobre todo cuando se está desarrollando en la articulación radioescafoidea una artrosis incipiente a nivel del espacio radioescafoideo distal.9-12 Tampoco se objetivan diferencias entre la realización de curetaje mecánico y curetaje manual.
No se ha observado un alto porcentaje de inestabilidades de carpo asociado a la pseudoartrosis del escafoides (siendo DISI la más frecuente como aparece en otras series publicadas),16,21 aunque sí parece que esta alteración tiene una gran influencia en la evolución del proceso, consecución de consolidación y ulterior desarrollo de una artrosis carpiana precoz; se observa en esta serie que existe una mejoría del ángulo escafolunar, el cual se correlaciona con los mejores resultados clínicos y funcionales. Asimismo, los resultados globales y subjetivos superan a los resultados de consolidación radiológica. Este hecho también se pone de manifiesto en los estudios de Jiranek y cols.,21 que mostraron un porcentaje de consolidación a los 11 años del 81%, con ausencia de dolor en el 92%; Stark y cols.,34 que muestran una consolidación a los 12 años del 81%, y el de Hooning Van Duyvenbode y cols.,18 que a los 27 años obtuvieron un 78% de casos con ausencia de síntomas. En la presente serie se consigue la consolidación en el 76% de los casos, con un 88% de pacientes satisfechos a los 5 años de la intervención.
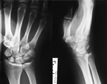
A pesar de todo hay pacientes que presentan una artrosis carpiana avanzada, e incluso algunos casos en los que existe una evidente ausencia de consolidación y, sin embargo, no presentan dolor en el postoperatorio tardío, lo cual hace pensar que son múltiples los factores que influyen para que una pseudoartrosis del carpo sea sintomática o no después de la actuación quirúrgica (Fig. 2) y que la estabilidad del carpo desempeña aquí un papel esencial.
A
BFigura 2. A y B: A los 15 años de evolución fracasada se objetivan cambios significativos radiológicos con persistencia de la pseudoartrosis, esclerosis importante y alteración en la morfología de este hueso. A pesar de ello, la movilidad y grado de función de su muñeca es bueno, con
una limitación moderada de la flexoextensión y en ausencia de dolor.
El principal defecto de esta técnica reside en que requiere una inmovilización prolongada, por lo que habría que buscar técnicas que acortasen este período realizando una osteosíntesis interna estable que fuese compatible y que permitiera una movilización indolora más precoz, así como facilitando la compresión interfragmentaria.4,17,19,22,23,25,31,32,35,38 De este modo puede asegurarse una rehabilitación más temprana tanto en pseudoartrosis estables como inestables.
En la pseudoartrosis del polo proximal, y para reducir el riesgo de necrosis ósea, algunos autores defienden el empleo de injertos vascularizados, impidiendo de esta manera el colapso y la desestabilización del carpo.23,30,38
En definitiva, la técnica de Russe continúa siendo útil para el tratamiento de esta patología, sobre todo en aquellos casos en que no esté presente el colapso volar o la inestabilidad carpiana con acortamiento del escafoides,9-12 aunque serían necesarios nuevos estudios de revisión a largo plazo y estudios prospectivos en donde pueda conocerse realmente las diferencias existentes entre la intervención realizada en casos de pseudoartrosis asintomáticas y pseudoartrosis sintomáticas. Podría decirse que la pseudoartrosis del escafoides carpiano presenta en su evolución natural un período de tiempo que podría denominarse período ventana, durante el cual el paciente está asintomático y con buen resultado funcional, que abarcaría el período entre la fase aguda de la fractura y formación de la pseudoartrosis, y el desarrollo de una posterior artrosis o panartrosis carpiana que, según algunos autores, podría establecerse clínicamente entre 5 y 20 años de evolución.13,21,28 Asimismo, lo importante en la cirugía de la pseudoartrosis del escafoides carpiano es el restablecimiento de la estabilidad carpiana con la restitución anatómica de la morfología del escafoides, no siendo la consolidación el único objetivo a alcanzar.
Bibliografía
1. Algara, C; Jorda, G, Domenech, J; Capdevilla, J, y Sampera, I: Lesiones antiguas del escafoides carpiano. Rev Ortop Traumatol, 29: 201-208, 1985.
2. Alnot, JY: Les pseudarthoses. Les différents stades de pseudoarthrose. Rev Chir Orthop, 74: 714-724, 1988.
3. Ayala Palacios, H; Redin Huarte, JM, y Sola Rubio, R: Pseudoartrosis de escafoides carpiano. Criterios actuales de tratamiento. Rev Ortop Traumatol, 37 (suppl I): 61-70, 1993.
4. Carpentier, E, y Sartorius, C: Scaphoid nonunion: Treatment by open reduction, bone graft and staple fixatoin. J Hand Surg, 20A:
235-240, 1995.
5. Cooney, WP; Bussey, R; Dobyns, JH, y Linscheid, RL: Difficult wrist fractures. Clin Orthop, 214: 136-147, 1987.
6. Cooney, WP; Linscheid, RL, y Dobyns, JH: Fractures and dislocations of the wrist. En: Rockwood, CA; Green, DP; Buholz, RW, y Heckman, JD (Eds): Fractures in Adults. Philadelphia. Lippincott-Rave Publishers, 1996, 826-840.
7. Delgado Martínez, AD; Díaz Martín, A, y Sánchez Cara, V: Pseudoartrosis del escafoides carpiano tratadas mediante la técnica de Matti-Russe. Resultados a medio plazo. Av Traumatol Cir Rehab, 25: 29-32, 1995.
8. Fernández, DL: A technique for anterior wedge-shaped grafts for scaphoid nonunions with carpal instability. J Hand Surg, 9A: 733-737, 1984.
9. Fernández, DL: Anterior bone grafting and conventional lag screw fixation to treat scaphoid nonunions. J Hand Surg, 15A: 140-147, 1990.
10. Fernández, DL: Scaphoid nonunion: Current approach to management. En: Nakamura, R; Linscheid, RL, y Miura, T (Eds): Wrist Disorders. Tokyo. Springer-Verlag, 1992, 153-164.
11. Fisk, GR: The wrist. J Bone Joint Surg, 66B: 396-407, 1984.
12. García-Elías, M: Inestabilidades del carpo. Rev Ortop Traumatol, 34: 704-713, 1990.
13. García-Elías, M; Vidal Font, A; Salvador Fuentes, E, y Casas Sabater, J: Historia natural de la pseudoartrosis del escafoides carpiano y de la disociación escafolunar. Estudio comparativo. Rev Ortop Traumatol, 37 (suppl I): 71-77, 1993.
14. García-Elías, M: Anatomía funcional del carpo y sus aplicaciones clínicas. Artrodesis intercarpianas. Rev Ortop Traumatol, 37 (suppl I): 86-91, 1993.
15. García-Elías, M; Ribe, M; Rodríguez, J; Cots, M, y Casas, J: Influence of joint laxity on scaphoid kinematics. J Hand Surg, 20B: 379-382, 1995.
16. Gelberman, RH; Wolock, BS, y Siegel, DB: Current concepts review fractures and non-unions of the carpal scaphoid. J Bone Joint Surg, 71A: 1560-1565, 1989.
17. Herbert, TJ, y Fisher, WE: Management of the fractured scaphoid using a new bone screw. J Bone Joint Surg, 66B: 114-127, 1984.
18. Hooning van Duyvenbode, JF; Keijser, LCM; Hauet, EJ; Obermann, WR, y Rozing, PM: Pseudoartrosis of the scaphoid treated by the Matti-Russe operation. A long-term review of 77 cases. J Bone Joint Surg, 73B: 603-606, 1991.
19. Huene, DR, y Huene, DS: Treatment of nonunions of the scaphoid with the Ender compresson blade plate system. J Hand Surg, 16A: 913-922, 1991.
20. Irisarri Castro, C: Inestabilidades del carpo. Clasificación y tratamiento. Rev Ortop Traumatol, 37 (suppl I): 78-85, 1993.
21. Jiranek, WA; Ruby, LK; Millender, LB; Bankoff, MS, y Newberg, AH: Long-term results after Russe bone-grafting: The effect of malunion of the scaphoid. J Bone Joint Surg, 74A:1217-1228, 1992.
22. Kaulesar Sukul, MKS; Johannes, EJ, y Marti, RK: Corticocancellous grafting and an AO/ASIF lag screw for nonunion of the scaphoid. J Bone Joint Surg, 72B: 835-838, 1990.
23. Kawai, H, y Yamamoto, K: Prontor quadratus pedicled bone graft for old scaphoid fractuers. J Bone Joint Surg, 70B: 829-831, 1988.
24. Kerluke, L, y McCabe, SJ: Non-union of the scaphoid: A critical analysis of recent natural history studies. J Hand Surg, 18A: 1-3, 1993.
25. Korkala, OL; Kuokkanen, HO, y Eerola, M: Compression-staple fixation for fractures, non-unions and delayed unions of the carpal scaphoid. J Bone Joint Surg, 74A: 423-426, 1992.
26. Leslie, IJ, y Dickson, RA: The fractured carpal scaphoid. Natural history and factors influencing outcome. J Bone Joint Surg, 63B: 225-230, 1981.
27. Linscheid, RL; Dobyns, JH; Beabout, JW, y Bryan, RS: Traumatic instability of the wrist. J Bone Joint Surg, 54A: 1612-1632, 1972.
28. Mack, GR; Bosse, MJ; Gelberman, RH, y Yu, E: The natural history of scaphoid non-union. J Bone Joint Surg, 66A: 504-509, 1984.
29. Martínez Villa, J; Porcuna, A, y Delaria, G: Tratamiento quirúrgico de la pseudoartrosis de escafoides carpiano. Rev Ortop Traumatol, 26: 55-64, 1982.
30. Nakamura, R; Imaeda, T, y Miura, T: Scaphoid malunion. J Bone Joint Surg, 73B: 134-137, 1991.
31. Pechlaner, S: La intervención de «Russe II» en el tratamiento de la pseudoartrosis del os scaphoideum. Oper Orthop Traumatol, 1:
263-271, 1989.
32. Robbins, RR, y Carter, PR: Iliac crest bone grafting and Herbert screw fixation of nonunions of the scaphoid with avascular proximal poles. J Hand Surg, 20A: 818-831, 1995.
33. Ruby, LK; Stinson, J, y Belsky, MR: The natural history of scaphoid non-union. A review of fifty-five cases. J Bone Joint Surg, 67A: 428-432, 1985.
34. Stark, A; Brostom L, y Svartengren, G: Scaphoid non-union treated with the Matti-Russe technique. Clin Orthop, 214: 175-180, 1986.
35. Stark, HH; Rickard, TA; Zemel, NP, y Ashworth, CR: Treatment of ununited fractures of the scaphoid by iliac bone grafts and Kirschner-wire fixation. J Bone Joint Surg, 70A: 982-991, 1988.
36. Taleisnik, J: Carpal instability. J Bone Joint Surg, 70A: 1262-1268, 1988.
37. Weber, ER: Biomechanical implications of scaphoid waist fractures. Clin Orthop, 149: 83-89, 1980.
38. Zaidemberg, C; Siebert, JW, y Angrigiani, C: A new vascularized bone graft for scaphoid nonunion. J Hand Surg, 16A: 474-478, 1991.
39. Zemel, NP; Stark, HH; Ashworth, CR; Rickard, TA, y Anderson, DR: Treatment of selected patients with an ununited fracture of the proximal part of the scaphoid by excision of the fragment and insertion of a carved silicone-rubber spacer. J Bone Joint Surg, 66A: 510-517, 1984.





