La osteosíntesis mediante un tornillo en las fracturas recientes y en los fracasos de consolidación del escafoides se realizó inicialmente introduciéndolo desde el fragmento distal al proximal. El gran volumen de los tornillos disponibles en la época en la que se inició la técnica (McLaughlin H, 1954)1, dificultaba y hasta imposibilitaba su utilización cuando el tamaño del fragmento proximal era inferior a una quinta parte del total del escafoides. Así lo reflejan las publicaciones de MacLaughlin H1 que utilizaba un tornillo de vitallium y las del grupo AO/ASIF (Heim U)2. En la década de los años ochenta, el panorama de la osteosíntesis del escafoides cambió de forma radical, cuando Herbert TJ3,4 comenzó a usar su tornillo sin cabeza. Dicho autor comienza en 1983 a introducir el tornillo de proximal a distal en las fracturas del polo proximal, con la técnica que denomina manos libres (free-hand), debido a que con este abordaje no es posible utilizar la guía empleada en el atornillado de distal a proximal. Morán R comienza su empleo ese mismo año, publicando en 1988 una serie de 41 pacientes (con 34 consolidaciones), en la que reconoce la complejidad de la síntesis en las fracturas proximales, y aconseja su atornillado «retrógrado», término inicialmente utilizado por Herbert en relación con el hecho de ser introducido con una técnica contraria a la habitual (de distal a proximal), más que en atención a la orientación espacial del mismo. Un año más tarde, comienza a utilizarlo De Maagd R6, aunque no publica su serie de 12 pacientes hasta 1989. Alnot JY7 publica en 1988 su experiencia utilizando un minitornillo convencional con cabeza, con el consiguiente problema de su roce contra el cartílago del radio, lo que exigió su posterior retirada en dos casos de su serie. En nuestro país la utilización del tornillo tipo Herbert, introducido de proximal a distal, es mencionada por Pombo L8 y por Del Piñal9 F, quien lo combina con un injerto colocado por vía volar, al igual que De Maagd R6.
La versión «mini» del tornillo de Herbert posibilitó la realización de esta técnica en pequeños fragmentos del polo proximal, siempre que su tamaño sea suficiente para dar cabida a la rosca proximal del tornillo, lo que lo contraindica en fragmentos muy pequeños. Posteriormente salieron al mercado otros modelos de tornillos apropiados para su introducción desde proximal, incluso con la posibilidad de introducirlos de forma percutánea (mini Acutrak)10.
Uno de los autores (CIC)11 comenzó a emplear esta técnica, con el tornillo tipo Herbert (fig. 1), en 1989. Desde hace 6 años estamos utilizando con preferencia un tornillo de titanio de mini-fragmentos con cabeza plana (Leibinger), por las siguientes razones:
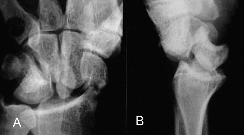
Figura 1. Radiografía preoperatoria (A) y control al año de la osteosíntesis con tornillo tipo Herbert (B).
1) Existe en 3 diámetros diferentes (1,2; 1,7; y 2,3 mm), lo que unido a que es de rosca continua, permite su utilización cualquiera que sea el tamaño del polo proximal.
2) Su cabeza es pequeña y plana, lo que permite su fácil introducción hasta impactarla en la cortical, provocando, además, un área de lesión cartilaginosa muy limitada. Este gesto quirúrgico permite obtener la coaptación interfragmentaria, especialmente cuando no existe una pérdida ósea significativa, lo que acorta el período de inmovilización postoperatoria.
3) Su coste económico es muy inferior respecto a otros modelos de tornillo.
MATERIAL Y MÉTODO
Incluimos en esta revisión los 18 pacientes operados en el período 1992-2003:
1) Tres casos (varones) con una fractura-luxación del carpo operados en un intervalo menor de 24 horas desde la lesión, por presentar un fragmento proximal del escafoides completamente suelto.
2) Nueve casos con retardo de consolidación (7 varones y 2 mujeres), sin diagnóstico ni tratamiento inicial en 3 pacientes, tras tratamiento con yeso en 4 pacientes y tras osteosíntesis inicial con agujas de Kirschner en 2 casos.
3) Seis casos de seudoartrosis de larga evolución (mínimo 2 años). Todos menos uno habían sido tratados con yeso tras la fractura, sin llegar a consolidar. Dos de estos casos se perdieron al no acudir a revisión al año de la intervención, por lo que han sido eliminados en el análisis de los resultados.
Técnica quirúrgica
La incisión utilizada tiene forma de S itálica, tomando como referencia el tubérculo de Lister, y liberando los tendones de los músculos extensor largo del pulgar y del extensor radial corto del carpo. La incisión capsular debe limitarse a exponer la articulación escafo-semilunar y el foco lesional, respetando la inserción capsular en la cresta dorsal, así como la membrana portadora de vasos que se inserta en el vecino surco dorsal (Butterman G)11.
La dificultad de exponer el foco aumenta cuando el paciente es operado tras un período prolongado de varios meses con vendaje de yeso, en cuyo caso se requiere una exposición de partes blandas algo más extensa, y un ayudante experimentado y con fuerza suficiente para mantener la muñeca en flexión.
Para una correcta inserción del tornillo, debe introducirse la broca en la inmediata vecindad de la membrana escafo-lunar, siguiendo la dirección de la columna del pulgar, con la muñeca en máxima flexión. Cuando es una fractura reciente y sin desplazamiento, o un retardo de consolidación sin pérdida ósea, resulta una técnica relativamente sencilla. Si es una fractura inestable, o una seudoartrosis que precisó la limpieza del foco y colocación de un injerto, es recomendable fijar con una fina aguja de Kirschner ambos fragmentos antes de introducir la broca y el tornillo. Dicha aguja la colocamos habitualmente de distal a proximal, reduciendo el escafoides en dorsiflexión. La aguja no debe sobresalir por el fragmento proximal, para posibilitar a continuación la maniobra de flexión forzada de la muñeca.
Un punto muy controvertido es la actitud a seguir en los retardos de consolidación, sobre si limpiar el foco de fractura e injertar el mismo. Cuando el defecto óseo en las radiografías es limitado, con frecuencia es difícil localizar visualmente el foco lesional, debido a la «cicatrización» de la superficie cartilaginosa, detectable tan sólo por una línea de diferente coloración, y se necesita la ayuda del amplificador de imágenes para su confirmación. Incluso en las posiciones extremas se comprueba que ambos fragmentos se muevan conjuntamente. En estos casos, nos limitamos al simple atornillado, habiendo conseguido la consolidación en todos ellos (figs. 1 y 2).
Figura 2. Radiografía preoperatoria (A) y control al año de la osteosíntesis con tornillo de titanio (B).
Por el contrario, cuando la coaptación y/o estabilidad de los fragmentos no es satisfactoria, preferimos refrescar el foco, escindiendo sus bordes con la hoja del bisturí, y limpiándolo con una pequeña cucharilla. El defecto resultante lo rellenamos con pequeños chips de hueso esponjoso del propio extremo distal del radio.
En las seudoartrosis más antiguas, con claras diastasis interfragmentaria, la limpieza del foco incluye la resección de los bordes con una pequeña pinza gubia y el vaciamiento del foco con una cucharilla, tras lo que se procede a hacer el injerto. En 3 casos la hipertrofia de la estiloides radial precisó una estiloidectomía limitada y respetuosa con los ligamentos que se insertan a dicho nivel. Si la pérdida ósea es pequeña, aporta hueso esponjoso suficiente para rellenar el foco, pudiendo en caso necesario complementarse con el obtenido a través de la osteotomía de la estiloides de la epífisis radial. En las lesiones del polo proximal raramente es necesario utilizar un injerto córtico-esponjoso de cresta ilíaca, para restituir en lo posible la morfología alterada del escafoides, eventualidad más frecuente cuanto más distal es el foco de seudoartrosis. Aunque la eficacia estabilizadora del tornillo en estos casos se ve disminuida, en nuestra serie nos ha proporcionado la consolidación final en 3 de los 4 casos, cuyo seguimiento hemos podido completar.
Tratamiento post-operatorio
La pauta del período post-operatorio inmediato varía de acuerdo con el tipo de lesión y con los gestos técnicos realizados durante la intervención quirúrgica. Así, en las fracturas recientes y en los retardos de consolidación, en los que sólo hemos realizado el atornillado, con la seguridad de haber conseguido una buena estabilización de los fragmentos, nos limitamos a colocar una férula de yeso antebraquial, que alcanza distalmente e inmoviliza la articulación metacarpofalángica del pulgar, que mantenemos durante un mes. Durante el segundo mes la férula es sustituida por una férula u ortesis removible para la higiene diaria. Al cabo de los 2 meses, hacemos un control radiológico y permitimos la libre y progresiva movilización, recomendando evitar deportes de contacto o trabajos con riesgo de traumatismo directo un mes más. Siempre citamos al paciente a una revisión clínico-radiológica al cumplirse un año de la intervención, momento que utilizamos para realizar la valoración funcional final.
En los casos en los que asociamos un injerto óseo en el foco de seudoartrosis, mantenemos la inmovilización 2 meses, usando la ortesis de protección un mes más. Cualquiera que sea el aspecto del control radiológico a los 3 meses de la intervención, permitimos la libre movilización.
RESULTADOS
La valoración del resultado comprende el aspecto funcional, el radiológico y la opinión del propio paciente. Los resultados de nuestra serie han sido los siguientes.
Radiológicos
Tres pacientes habían sido operados de una fractura-luxación, con un fragmento proximal grande pero completamente suelto, comprobándose la consolidación en todos ellos (100%) (figs. 3, 4 y 5). En el grupo de retardos de consolidación (figs. 1 y 2), diferenciamos entre los 7 casos en los que sólo se utilizó el tornillo (sin injerto asociado), en los que se obtuvo una consolidación del 100%, de los 2 casos en los que se asoció injerto esponjoso radial, consolidando un caso (50%), mientras que el otro no mostró una imagen de consolidación en el control realizado al año de la intervención. Por último, de las 6 seudoartrosis operadas (todas ellas con injerto y tornillo) pudimos valorar al año 4 pacientes, mostrando los controles radiológicos su consolidación en 3 casos (75%) (fig. 6), y su ausencia en el restante caso. Otros 2 pacientes que se reincorporaron a su trabajo (atendidos como accidente laboral) no acudieron a la revisión al año de la intervención, por lo que han sido excluidos del estudio a efectos estadísticos.
Figura 3. Radiografía inicial de fractura-luxación trans-escafo-perilunar dorsal (A y B). No hay desplazamiento aparente del polo proximal.
Figura 4. (A) desplazamiento del fragmento proximal al antebrazo (flecha), tras intento de reducción cerrada. (B) Intervención inmediata: control radiológico postoperatorio.
Figura 5. Radiología de control del caso anterior al año de la intervención (A y B).
Figura 6. Pseudoartrosis inveterada. Radiografía preoperatoria (A) y control al año de la intervención (atornillado e injerto de cresta) (B).
Funcionales
En la revisión al año de la intervención, hemos podido constatar que los pacientes operados por un retardo de consolidación recuperan una fuerza de prensión normal (dinamómetro Jamar®), y que la única secuela en cuanto a movilidad es una discreta pérdida de los últimos grados de flexión palmar, y mínima de la flexión dorsal. Ciertamente son pacientes jóvenes en su mayoría, y en un alto porcentaje deportistas interesados en su reincorporación, pero aún en los pacientes del entorno laboral, no hemos tenido problemas en la reincorporación laboral de los casos operados con éxito.
Cuando se trata de seudoartrosis inveteradas, la calidad del resultado funcional es menor, aun en el caso de conseguirse la consolidación, ya que la rigidez residual es más importante. Pese a ello, ningún paciente laboral de nuestra serie, con la seudoartrosis consolidada, precisó cambiar de puesto de trabajo.
Por último, en el caso de las fracturas-luxaciones, en nuestros 3 pacientes el resultado final ha sido sorprendentemente satisfactorio en el plazo medio (de 6 meses a 5 años de postoperatorio). Sin embargo, es necesario en estos casos contar con la posibilidad de un deterioro funcional a largo plazo, consecuencia básicamente de la lesión ligamentosa escafolunar, cuya reparación «anatómica» completa no es posible obtener.
En nuestra serie no se presentaron complicaciones de tipo séptico, ni la aparición de distrofia tipo Südeck.
Subjetivos
La valoración subjetiva del propio paciente ha sido favorable en los casos en los que se ha obtenido la consolidación. La presencia del tornillo, conocida por todos los pacientes, no ha sido motivo de molestias residuales, y en ningún caso nos han planteado la extracción del mismo.
DISCUSION
La técnica de osteosíntesis, mediante un tornillo introducido desde el fragmento proximal al distal, ha supuesto una útil alternativa para el tratamiento de las fracturas y la seudoartrosis del escafoides con un pequeño fragmento proximal, dada la simplicidad del abordaje y de su colocación, y la relativa comodidad y brevedad del período postoperatorio13-19. Sigue siendo necesario que dicho fragmento proximal no se haya fragmentado y/o reabsorbido, situación en la que tras el fracaso de las prótesis sustitutivas (Irisarri C, 1992)11, optamos en la actualidad por la extirpación del fragmento proximal, asociando la artrodesis parcial del carpo tipo «4 esquinas»14,17. No dudamos en recurrir a la osteosíntesis con tornillo si la estructura trabecular del fragmento se mantiene, independientemente de la supuesta «necrosis avascular» del fragmento proximal que pueda pretenderse deducir de la resonancia magnética nuclear (RMN). Incluso con el empleo del gadolinio, no creemos posible actualmente identificar qué casos son susceptibles de consolidar o no, experiencia que comparten otros autores (Singh)20, por lo que la valoración peroperatoria del cirujano, tanto del aspecto de la estructura ósea como del estado de conservación del cartílago del fragmento proximal, será la que determine la realización de una osteosíntesis o una técnica paliativa. El valor real de los injertos óseos vascularizados ante una necrosis avascular es todavía motivo de controversia. En las series de algunos autores se comunican resultados con consolidación sistemática (Malizos KN)21, mientras que en otras series (Straw RG)22 no supera el 27%. Es preciso, por tanto, la valoración de series más amplias y a más largo plazo.
El daño que se le hace al cartílago en el punto de introducción del tornillo es mínimo y rápidamente reparable, y si la cabeza del tornillo se introduce profundamente bajo el mismo, no provoca complicaciones. Evidentemente, será necesario seguir y valorar a estos pacientes a largo plazo, pero los resultados de los pacientes más antiguos de nuestra serie se mantienen favorablemente. Aunque se han publicado series de atornillado retrógrado mediante tornillos reabsorbibles23, su eficacia «mecánica» inicial no es comparable a la de los tornillos metálicos. Además, habrá que analizar qué efectos conlleva la reabsorción del mismo, y desde luego conduce al fracaso total final, si no se logra la consolidación, una vez que el tornillo haya comenzado a reabsorberse.
Como en toda seudoartrosis del escafoides, factores «intrínsecos» (básicamente su antigüedad y la vascularización residual del fragmento proximal) y «extrínsecos» (edad del paciente, calidad de la técnica quirúrgica efectuada y adecuado postoperatorio), influyen en el porcentaje de consolidación.
La inmovilización postoperatoria la limitamos a 3 meses, por considerar que no por prolongar la misma se va a alterar el porcentaje de consolidación de una forma significativa. Nos parece necesario realizar un control radiológico al año de la intervención, lo que permite juzgar en las radiografías la presencia o la ausencia de consolidación. Aun en el caso de que no se obtenga un claro paso de trabéculas entre ambos fragmentos, no cabe duda de que la estabilización que proporciona el tornillo puede permitir un satisfactorio resultado funcional durante años, como en un paciente de McLaughlin H24, taxista de profesión, revisado a los 28 años de la osteosíntesis que, pese a la no consolidación radiológica, había trabajado con toda normalidad. Esta es una clara ventaja sobre la osteosíntesis con agujas de Kirchner, que, una vez retiradas y en el caso de no conseguirse la unión interfragmentaria, nos conducen a un estado similar al previo a la intervención.
Aunque la técnica descrita permite resolver con eficacia los retardos de consolidación del polo proximal del escafoides, no debe hacernos olvidar la necesidad de hacer un completo estudio radiológico en el momento del traumatismo, que debe incluir las proyecciones en pronación y supinación de 45 grados. En caso de duda radiológica, se indicará la realización de una RMN con la que es posible detectar las denominadas «fracturas ocultas» (Breitenseher M)25. Cualquiera que sea la experiencia del cirujano, el tratamiento quirúrgico siempre será más fácil y eficaz cuanto más prontamente sea realizado.
Conflicto de intereses. Los autores no hemos recibido ayuda económica alguna para la realización de este trabajo. Tampoco hemos firmado ningún acuerdo por el que vayamos a recibir beneficios u honorarios por parte de alguna entidad comercial. Por otra parte, ninguna entidad comercial ha pagado ni pagará a fundaciones, instituciones educativas u otras organizaciones sin ánimo de lucro a las que estemos afiliados.








