The aim of this study was to describe and analyze the musculoskeletal injuries treated at a tertiary hospital, resulting from the sudden flooding and landslides that occurred on October 29, 2024, in the province of Valencia, Spain.
Materials and methodsA retrospective, single-center study design was employed, documenting all patients who required hospital treatment from October 29, 2024, to November 30, 2024, inclusive. Data collected included the date of treatment, delay time until rescue and evacuation, demographic information, injury location and severity, records of surgeries performed and required hospitalization time.
ResultsA total of 410 hospital admissions were recorded, all of which were through the emergency department. A slight male predominance was observed (55.5%), with an average age of 48 years (range 1–97). The mean time to treatment was 1.4 days from the trauma (range 1–12), although 47% of cases exceeded 48h. 60.1% of contusions presented with at least one associated fracture. A total of 84 wounds (20.5% of the sample) and musculoskeletal and ligament injuries (14.4%) were treated, along with joint dislocations (2.4%). The most common injury sites were the lower limbs (48.6%), followed by the upper limbs (36.7%). The majority of cases (90.5%) were managed with conservative treatment, with 9.5% requiring surgical revision. During this period, 53 hospital admissions (1.76 admissions/day) and 38 urgent surgeries were performed.
ConclusionThe flooding caused by the Valencia flood in October 2024 is considered one of the most severe environmental disasters in the history of Spain. Natural disasters affecting multiple victims demand effective and coordinated medical attention across all healthcare levels. Continuous learning for trauma specialists will provide the necessary tools for appropriate knowledge and management of such potentially severe injuries.
Level of evidence: IV. Retrospective descriptive and analytical study. Case series.
El objetivo de este estudio fue describir y analizar las lesiones musculoesqueléticas atendidas en un hospital terciario, causadas por la inundación repentina y los deslizamientos de tierra ocurridos el 29 de octubre de 2024 en la provincia de Valencia (España).
Material y métodosSe empleó un diseño de estudio retrospectivo unicéntrico, documentando todos los pacientes que requirieron tratamiento hospitalario desde el día 29 de octubre de 2024 hasta el día 30 de noviembre de 2024, ambos inclusive. Se recopilaron fecha de atención y tiempo de demora hasta el rescate y evacuación, datos demográficos, localización y gravedad de la lesión, registro de cirugías realizadas y tiempo de hospitalización requerido.
ResultadosRegistramos un total de 410 atenciones hospitalarias, todas ellas con entrada por urgencia. Evidenciamos una ligera dominancia en el sexo masculino (55,5%) y una edad promedio de 48 años (1-97). El tiempo medio para la atención se tasa en los 1,4 días desde el traumatismo (1-12), aunque el 47% supera las 48 h. El 60,1% de las contusiones presentaron al menos una fractura asociada. Fueron atendidas y tratadas un total de 84 heridas (20,5% de la muestra) y lesiones musculares y ligamentosas (14,4%), luxaciones articulares (2,4%). La localización predominante son los miembros inferiores (48,6%), seguidos de los superiores (36,7%). La mayoría de los casos (90,5%) se solventaron mediante tratamiento conservador necesitando revisión quirúrgica el 9,5% de las lesiones. Durante este periodo se realizaron un total de 53 ingresos hospitalarios (1,76 ingreso/día) y 38 cirugías de manera urgente.
ConclusiónLa inundación producida tras la riada de Valencia en octubre de 2024 es considerada una de las catástrofes medioambientales más graves ocurridas en la historia de la nación española. Los desastres naturales con afectación de múltiples víctimas exigen un manejo eficaz y coordinado por parte de todos los niveles asistenciales sanitarios. Un aprendizaje continuo, por parte del traumatólogo, otorgará herramientas para un adecuado conocimiento y tratamiento de este tipo de lesiones potencialmente graves.
Nivel de evidencia: IV. Estudio descriptivo retrospectivo y analítico. Serie de casos.
Natural disasters are catastrophic events caused by natural phenomena that can cause significant harm to human life, damage to infrastructures and to the natural environment.1
The characteristics and effects of disasters are becoming increasingly complex due to factors such as climate change, urbanisation, economic interconnectedness and globalisation.1–4
On the afternoon of 29th October 2024, a torrential rainstorm caused by an isolated depression at high atmospheric levels (DANA, in its Spanish acronym) and subsequent sudden flood produced terrible flooding generally, which severely affected the metropolitan area of Valencia. This meteorological phenomenon is characterised by the formation of a mass of cold air in upper layers of the atmosphere and this causes storms and torrential rains. At least 227 people died5 and an unknown number are still missing at the time of writing.5,6
Social contextThere are two floods that have previously been recorded in the same geographical area: the first, in the months of October 1957, and the second in 1982.
The Turia River, the main riverbed in the Valencia Metropolitan Area (Fig. 1), separates the city centre from its neighbouring towns. During the flood of October 2024 this channel acted as a retaining or containment dike, preventing floods from reaching the urban area of the capital and focussing its devastating volume on the towns located on the other side of the river, in the region of l’Horta Sud.
The destruction of practically all the infrastructures that connect the two areas, together with the significant human and material damage suffered by the affected residents during the first weeks, caused logistical difficulties for efficient humanitarian and health care management, causing delays and hold-ups in the transfer of patients to hospitals.
The health care catchment area of our hospital includes some of the towns most affected by the flood: Paiporta (27,184 inhabitants); Torrente (89,401 inhabitants); Picasent (22,236 inhabitants) and Xirivella (28,771 inhabitants).
The aim of this study was to examine the types of musculoskeletal injuries, as well as the medical treatment performed and the complications observed in patients treated due to the later floods occurring after the main flood, and subsequent flooding in a tertiary hospital in Valencia.
Given that the scientific literature on medical and surgical care as a result of natural disasters in modern Western Europe is scanty, sharing the experience acquired in the management and handling of health care in the scenario described may be useful for other traumatologists in future incidents of this type that may occur.
Material and methodsWe ran a descriptive, retrospective and analytical study of those patients treated by the Orthopaedic Surgery and Traumatology unit at the General University Hospital Consortium of Valencia, with entry through emergency doors, as a result of the floods and landslide occurring on 29th October 2024, from that same day up to one month after the event (30th November 2024).
The inclusion criteria were: patients who required assessment by traumatology professionals from the date of the DANA up to one month later, including sequelae and complications of the injuries themselves. Patients treated by the hospital emergency department without the need for trauma management were excluded. Data was collected on the date of medical care given; the delay from the traumatic event up to the date of care; demographic data, variables on the location and type of injury, the final result after care and the treatment performed, as well as the subsequent evolution of the case.
Statistical analysisThe data was processed using the statistical programme SPSS 22 and XLSTAT for Windows. The descriptive analysis of categorical variables was expressed as absolute and relative frequency; and quantitative variables were described as mean and standard deviation (SD). The normality of both quantitative and qualitative variables was checked using the Kolmogorov–Smirnov test. For quantitative and qualitative variables, Student's t-test was used, and for the evaluation of qualitative variables, the chi-squared test. In all statistical analyses, the level of significance established was 5%.
ResultsA total of 410 trauma visits were registered from 30th October 2024 (day 1 after the event) to 30th November 2024, one month after the event.
Of the total number of patients, 236 were treated in the first week (57.6% of the population studied), with the busiest day being 31st October (2 days after the event), with a total of 59 patients assessed. After the start of the second week, the pressure of care in hospital emergencies decreased progressively until the last day of the study, which recorded a total of 10 patients (2.4%) with musculoskeletal disease related to the catastrophe (Fig. 2).
The mean age of the study population was 48.6 years of age (min. 1–max. 97). On the other hand, males were slightly predominant (55.5%) compared to females, with 44.5% of the sample, with no statistically significant differences (p<0.05).
The mean number of days from the occurrence of trauma to emergency department medical care was 1.47 days (1–12). After breaking this down, 42.7% of the population sought medical attention on the day of the injury or at least within the first 24h, with the remainder being assessed after 48h, and even 2.4% after one week of the injury event.
The most frequent reason for medical care was musculoskeletal contusion, with a total of 178 patients (43.3%), followed by wounds (20.4%), sprains (14.4%), non-specific pain (5.6%) and joint dislocations (2.4%). There were no cases of crush injuries, amputations or traumatic spinal cord injuries.
The most frequent type of wound was subepidermal involvement (epidermis and dermis involvement) in 31.4% after a cut, followed by abrasions (22.9%). A total of 53 wounds (61.6%) showed signs of local infection from the outset, and of these, 9 patients (10.3%) had systemic repercussions. No cases of fascial or muscular plane involvement were recorded. The most frequent care for wounds was 6h after the injury (52%), including 3 cases (5.6%) after 5 days of evolution. All wounds were treated with intravenous, antibiotic treatment, requiring surgical debridement in 6 cases (7.1%) and negative pressure systems in 15 patients (17.8%).
The predominant location of the lesions and cause of medical care were the lower limbs (48.6%), presenting statistically significant differences; followed by the upper limbs (36.7%), as well as the head and neck (10.2%), chest wall (3.2%) and finally the spine (0.7%). The sum of lesions located in the extremities exceeded 75% of the sample.
Of the total of 178 contusion patients, 107 fractures were recorded, of varying severity (60.1%), 3 of these open (2.8%): 2 open type II Gustilo and Anderson fractures of the third phalanx of the 3rd finger of the right hand, treated conservatively; an open type II fracture of the distal third of the left tibia requiring damage control surgery with closed reduction and external fixation (Fig. 3). The most frequent fractures were those related to segment 44 (distal tibia–fibula) according to the AO classification, with a total of 17 (15.9%); then 15 (14.1%) distal radius fractures; followed by segment 31 fractures (11.2%), with a total of 12, where the most frequent was the unstable pertrochanteric fracture (31-A21), with statistically significant differences (p<0.05).
After the initial assessment and treatment carried out, the most frequent destination was home discharge in 357 cases (86.8%). On the other hand, 53 patients (13.2%) required hospital admission. Of these, 38 (71.6% of admissions) required surgical intervention, most of them urgently. In 90.5% of the population studied, the management required was conservative.
DiscussionA total of 70 towns were affected after the flood of October 2024, with an approximate count of 62,000 people directly affected out of the 390,000 inhabitants registered, according to the regional register for the province of Valencia. Once the rescue of those affected and the search for the missing was completed, the number of deaths stood at 227 people, the current figure.5,6
Urgent hospital care after a major disaster is not only a clinical challenge but also an organisational one for the current health system, and even more so when there are no prevention and prevention protocols for this type of disaster.1,2
In the first days, the primary care centres of the affected towns were devastated. This fact, added to the destruction of road communication systems (streets, vehicles, public transport, etc.), made it difficult to care for patients in our centre, which was extremely active in the days following the event (Fig. 4). The results show this, as within 7 days, a large proportion of the sample population (33.7patients/day) was attended to, apart from the daily trauma emergencies in areas not affected by the floods. After the first few days, the cleaning of the roads and the organisational level of the health system made it possible to distribute health care over a greater number of locations (primary care and integrated health care centres), progressively reducing the pressure on the hospital. Despite this, demand exceeded the organisational characteristics of the tertiary hospitals in the province of Valencia, without an official patient redistribution protocol.
After the first week, the reason for medical attention was more related to the work of cleaning and repairing damage to infrastructures. On the other hand, a month after the disaster, patients with injuries associated with the event were still registered, which gives us a clear picture of the severity and consequences of the natural disaster. Matsuzawa et al.,7 in a retrospective descriptive study, collected patients treated after a tsunami due to a large earthquake in eastern Japan in March 2011. The frequency of arrivals at the emergency room presented a similar graph, with the day after the disaster being the busiest. During the 2004 Sumatra-Andaman earthquake, Wattanawaitunechai et al.8 reported that more than 600 patients went to the Takuapa General Hospital, the main referral centre in the affected area, after the first 24h following the tsunami.
The profile of the patient treated in the emergency room, with an average age of approximately 50 years, indicates the impact on the vast majority of the active population, injured on the day of the disaster and the weeks that followed, relating to the work of cleaning their homes and workplaces. Despite this, the sample was heterogeneous, since all ages were present in the current study, from neonates to elderly patients (maximum age: 97 years). The association was evident after the first economic analyses, where working in jobs in the metropolitan area decreased by a quarter compared to the values of the previous year.6
Regardless of the degree of severity of the injury, the delay in treatment was 1.47 days on average. However, if we carry out a more exhaustive study, up to more than a third of the sample (37.3%), was attended to after 48h of the event.
It is true that the initial severity of the injuries was related to the days of evolution, with those caused by the flood being assessed earlier than the subsequent injuries, caused by cleaning work (p value 0.024). The same fact is evidenced in the retrospective descriptive study conducted by Portoraro et al., after a flood that occurred in May 2023 in Romagna (Italy), where individuals from flooded areas had a higher severity in triage scores and higher rates of hospitalisation after the visit to the emergency department.9
In the hospital, the medical care given made it possible for an assessment by the traumatology team from the outset. Thus, the reasons for patient care could be reliably assessed, the most frequent cases being direct contusion, with a total of 178 patients treated (43.4%), and the most frequent combination being: “fracture in the lower limbs after contusion or direct contusions without an associated wound” (21%).
Individually, the fracture variable was higher than the absolute number of wounds, with statistically significant differences (p<0.001), evaluating 107 fractures (26.1%) compared to 53 wounds (12.9%). Phalkey et al.10 carried out a descriptive study after the Gujarat earthquake that occurred in India in January 2021, presenting the same proportion.
We should carefully consider the magnitude of the catastrophe, when of the 178 contusions, 60.1% (107 fractures) had a concomitant fracture and of these 38 required emergency surgeries. On the other hand, open fractures accounted for only 2.8% of the fractures recorded, with one sole patient requiring surgical intervention with damage control surgery. There have been even worse affected populations in the history of natural disasters: Kaim Khani et al.,11 after a retrospective descriptive study in relation to an earthquake that occurred in October 2005, in the nation of Pakistan, recorded 48 open fractures out of a total of 140 described in their study.
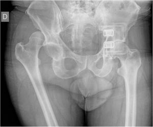
A systematic review by Saulnier et al.12 in 2017 found that very few studies had investigated injuries caused specifically by floods, however it is known that injuries such as sprains (14.4%), non-specific pain (5.6%) and dislocations (2.4%) require conservative treatment in almost all cases. In our population, there was only one case of native posterior dislocation of the hip, with a 48-h evolution, which required closed reduction under sedation in the operating theatre (Fig. 5).
Social pressure and the fear of contamination or poisoning due to wounds increased the number of patients treated in the following days. A total of 84 wounds were recorded, the treatment carried out on them being modified over the course of the events. Following interhospital consensus between the centres serving the affected populations and in accordance with the antibiotic management protocols used individually by each hospital, the initial intravenous antibiotic combination was piperacycline–tazobactam (4g/6–8h)+linezolid (600mg/12h). This treatment was of choice for those who had been contaminated and whose wound had exceeded 6h of evolution. Of the total number of wounds, 6 debridements were required (7.1%) and a total of 15 wounds (17.8%) required associated negative pressure therapy (Fig. 6).
The present study had several limitations. It was a retrospective study based on clinical records from one single hospital. The inclusion of clinical data from the rest of the hospitals could increase this population and could describe the treatment options chosen in other centres. However, the lack of foresight, the pressure of medical care and probably the inexperience after natural disasters has currently not made a multicentre study possible, or reliable recording of the total number of patients, with probable unrecorded losses. We also add, as a limitation, the fact that we did not include data on hospital care during the flood in Valencia, compared to a baseline period of assessment in the emergency department the previous year, in order to verify the magnitude of the event at the hospital level.
ConclusionsNatural disasters, such as the one that occurred in Valencia, with a large number of people affected, require a comprehensive, effective and coordinated medical assessment. The type of injury, the treatment chosen and its subsequent evolution presented great heterogeneity and required that professionals in orthopaedic surgery and traumatology acquire substantial clinical protagonism in this type of scenario, which is why continuous training and preparation will provide resources for proper management.
Ethical considerationsThis study was run following the ethical principles established in the Declaration of Helsinki. Due to the retrospective characteristics of the study and the fact that all patients received emergency care, there was no informed consent.
All measures have been taken to ensure the confidentiality of the data. Likewise, the Personal Data Protection Act was abided by, guaranteeing that the anonymity of the participants be maintained at all stages of the study.
FundingNone of the authors have received any funding or benefits from any commercial entity that could have an interest in the results presented in this article.
Conflict of interestThere is no conflict of interest in this study.
To the Traumatology and Orthopaedic Surgery Unit at the General University Hospital Consortium of Valencia, for its willingness and loyalty in the hospital care of patients affected by DANA.








