Introducción
El papel que juega la vascularización de la médula espinal, que es el soporte nutritivo de las fibras nerviosas y motoneuronas, toma impulso a partir de los trabajos de Duret,19 Adamkiewicz,1 Kadyi33 y Tanon.57 En la década de los cincuenta resurge nuevamente el interés del sistema arterial de la médula espinal, con matiz fisiopatológico y clínico, por Gillilan,25 Corbin,10 Facio21 y Jillinger.32 Posteriormente Lazorthes41 realizó un estudio minucioso de la anatomía comparada de las arterias de la médula espinal, fisiopatológico y arteriografías con aplicación clínica,31 así como otros trabajos encaminados al estudio de la microvascularización por Maillot.43 Al aumentar la frecuencia de las lesiones medulares por accidentes motivó el incremento de la investigación anatomopatológica y cómo responde la médula a las lesiones.14,36,46,49 Se han ensayado los más variados modelos de investigación12 buscando la relación entre lesión medular y efecto anatomopatológico medular,15,20,47 y estudios encaminados a la respuesta de la lesión de la médula espinal a distintos medicamentos; metilprednisolona,4 dexametasona,45 tiopental, naloxone e hipotermia, y otras terapias, sin olvidar los grandes adelantes conseguidos por las nuevas directrices con el tratamiento rehabilitador y/o la precoz intervención descompresora y la estabilizadora en casos específicos. La finalidad del trabajo es profundizar y analizar la microvascularización y la relación de ésta con el sistema nervioso, utilizando técnicas de perfusión, diafanización e histológicas en el asta anterior o motora de la región cervical.
Material y Método
El modelo experimental fueron 5 perros adultos de ambos sexos, raza y peso variables, a los que se practicó anestesia profunda vía intravenosa (ketolar), seguido de toracotomía bilateral paraesternal y subdiafragmática. Rechazando el peto esternal cranealmente se realizó pericardiotomía, una vez localizado el vértice del ventrículo izquierdo se canula por punción intracardíaca con abbocath-T en dirección a la aorta ascendente, procediendo a la perfusión previamente preparada de suero fisiológico y formaldehido al 5%, con heparina entre 3000 ó 5000 u.i por 100 c.c., a presión manual contínua, temperatura 30 ó 36 ºC, y cantidad variable, hasta que los vasos quedaron exangües, seccionando en el momento de comenzar la perfusión la orejuela de la aurícula derecha.
Perfusión del contraste
Se continuó la perfusión con una solución de sulfato de bario entre 30-40% en suero fisiológico y formaldehido al 10%, más un colorante rojo, seleccionando la erotrosina por tratarse de un estudio arterial. Se perfunde hasta que se aprecia en las arterias intercostales una buena perfusión por el colorante y contraste. Finalizada la perfusión se extrae la columna vertebral cervical junto con la médula espinal, que se secciona en fragmentos.
Descalcificación del material
Se utilizó una solución de ácido nítrico al 8%, peso específico 1,38, con formaldehido al 12% en agua destilada, se realizan cambios de la solución aproximadamente cada 2 meses, durante un tiempo que oscila entre 6 a 8 meses, hasta que los fragmentos óseos de la columna vertebral se hacen blandos al corte. Posteriormente se lavan los fragmentos con agua corriente 48-72 horas.
Extracción de la médula espinal
Se extrae del conducto raquídeo y se identifican las zonas medulares cervicales. Los fragmentos medulares se seccionan, destinando uno para estudio según técnica de diafanización o de Spalteholz y otros para el protocolo histológico.
Técnica de diafanización
Las piezas de la médula espinal cervical fueron cortadas en distintos planos con hoja de afeitar, con ayuda de una lupa binocular, con un grosor que osciló entre 1 y 2 mm., y en cortes con microtono Leitz por congelación entre 100 y 400 micras. Se procedió a la deshidratación de los cortes en alcoholes de 70º, 2 días; 90º, 1 día y 100º de 2 a 5 días, según el grosor de los cortes, con cambio diario de alcoholes. Pasando a benceno puro 2 a 6 días, sustituyendo benceno cada 2 días; y a benceno 50% y benzoato de benzilo 50%, 2 días; por último al soluto de Spalteholz, mezcla 3/5 partes de benzoato de benzilo puro y salicilato de metilo puro, de 3 a 4 días. Se observaron los cortes en el interior del soluto en caja de Petri, con el soluto de Spalteholz recubriéndolos, utilizando mascarilla y guantes por la toxicidad del soluto. Examinados los cortes por epiiluminación y transparencia, fueron fotografiados con el dispositivo fotográfico Aristophot Leitz. Con la técnica de diafanización tenemos una visión de conjunto, la transparencia tiene la ventaja de que permite una superposición del sistema arterial en el corte perfundido, por reflexión o epiiluminación observamos el relleno del contraste arterial por ambas superficies, con cierto grado de profundidad.
Estudio histiológico
Las piezas medulares fueron lavadas en agua corriente 48 horas y deshidratadas en alcoholes de 70º, 90º y 100º, pasando a benceno durante 3 ó 5 minutos, según grosor, hasta que las piezas se hundieron, posteriormente en benzoato de metilo 4 ó 6 minutos. Incluidas las piezas en parafina I, 1 día; II, 2 horas y III, 1 hora, se realizaron bloques de parafina que solidificados fueron tallados, bloques cortados por planos con microtono Leitz entre 10 y 15 micras de grosor. Antes de pasar a las técnicas de coloración, se colocaron en estufa a 36º, 24 horas. Se tiñeron los cortes con las técnicas de tricrómico de Martins e impregnación argéntica técnica de Ramón y Cajal, observándolos y fotografiándolos con microscopía óptica, película Panatomic y diapositivas Agfachrome.
Resultados
La perfusión arterial con contraste evidencia la angioarquitectura arterial y la red capilar de la médula espinal cervical. En visión panorámica por epiiluminación en corte horizontal se puede apreciar la vascularización arterial y red capilar que configuran la imagen de la médula espinal cervical, de sus raices motoras y sensitivas a derecha e izquierda, de los ganglios raquídeos derecho e izquierdo y de la duramadre, y así como la existencia de un espacio subdural real avascular que corresponde al L.C.R. (Fig. 1A). En la médula espinal resulta notorio la diferenciación estructural arterial entre la sustancia gris y blanca y, en ésta última, la delimitación entre los cordones anteriores, laterales y posteriores por los surcos colaterales; separadas las hemimédulas por los surcos anterior y posterior, comisura blanca anterior y posterior y en el centro el agujero ependimario. El examen de las piezas medulares perfundidas con contraste con la técnica de Spalteholz y fotografiadas por epiiluminación se observa como se delimita a simple vista la diferencia arterial entre la estructura nerviosa gris y blanca, motivada la diferencia arterial por la peculiar disposición estructural del sistema nervioso en la sustancia blanca y gris. Esta diferenciación microangioarquitectural entre la sustancia gris y la sustancia blanca se debe a la concentración del sistema arterial en número, calibre y distribución en la médula espinal, con gran semejanza del sistema arterial entre las hemimédulas (Fig. 1A), delimitando el sistema arterial y red capilar las astas medulares posteriores y las astas medulares anteriores, siendo el flujo arterial para las astas medulares anteriores procedentes de distintos orígenes.
Figura 1. A. Arteriografía medular cervical, corte transversal, perro adulto perfundido con sulfato de bario y eritrosina. Imagen tomada por epiiluminación con Aristophot. a) Ganglio raquideo, b) Raíz sensitiva. c) Raíz motora. d) Duramadre. e) Espacio subdural. f) Eje arterial postero-lateral. g) Círculo arterial perimedular. h) Eje arterial espinal anterior. (x 300). B. Aumento de la Figura 1.A. a) Arteria surco-comisural anterior. b) Arterias recurrentes. c) Arterias filamentosas anteriores. (x 350).
Por los filamentos nerviosos anteriores o motrices que salen por los surcos medulares colaterales anteriores con visión en forma de abanico, se desliza hacia la médula espinal un sistema arterial que se ramifica; dirigiéndose algunas arterias hacia el eje espinal anterior, de calibre grueso, donde se anastomosan con el eje arterial espinal anterior; otras arterias de menor calibre se dirigen hacia la superficie externa de la médula espinal para formar la red coronaria perimedular; y otras arterias y/o arteriolas filamentosas anteriores de calibre variable que penetran por los surcos colaterales anteriores, atraviesan la sustancia blanca hacia la cabeza de las astas medulares anteriores ramificándose (Fig. 1B), siendo estas últimas arterias astales anteriores. El número de arterias y/ arteriolas filamentosas es variable dependiendo del número de filamentos nerviosos, terminado su red capilar en la cabeza del asta medular anterior.
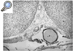
Del eje espinal arterial anterior, formado sólo por algunas arterias filamentosas anteriores, nace en sentido horizontal el sistema arterial surco-comisural anterior hacia la comisura blanca anterior (Fig. 1A) que en su trayecto por el surco medio anterior origina ramas colaterales cortas y ramas colaterales largas a la derecha e izquierda, penetrando en los cordones medulares anteriores, según imágenes por diafanización (Fig. 1B). Las ramas colaterales cortas se ramifican en los cordones medulares anteriores, formando una fina red capilar en la sustancia blanca de malla estrecha, y las ramas colaterales largas van dando ramas pequeñas para los cordones medulares anteriores, y otras ramas colaterales largas penetran por la superficie interna del asta medular anterior ramificándose en red capilar. El sistema arterial surco-comisural que llega a la comisura blanca anterior con calibre mediano se divide, en ramas recurrentes anteriores y posteriores, y ramas verticales ascendentes y descendentes (Figs. 1B y 2), arborizándose en la base del asta medular anterior, originando una red capilar muy densa, tortuosa e irregular, que se aprecia por diafanización, con abundancia de sistema arterial de calibre moderado en el seno del asta anterior en su base.
Se observa en las bases de las astas medulares anteriores el sistema arterial en sentido ascendente y descendente en el plano frontal con la técnica de Spalteholz y por transparencia (Fig. 2), con aspecto tortuoso, voluminoso, numeroso y con distribución irregular, terminando en fina red capilar.
Figura 2. Arteriografía de corte frontal medular cervical, perro adulto perfundido con sulfato de bario. Imagen tomada por trasparencia. a) Arteria surco-comisural anterior. b) Ramas arteriales surco-comisurales, cordón anterior. c) Arterias del asta anterior. d) Círculo arterial perimedular, cordón lateral. (x 200).
La médula espinal se encuentra rodeada de un circuito arterial anastomótico perimedular evidente (Fig. 1A), cuyas arterias tienen su origen en las arterias que acompañan a los filamentos nerviosos, y emiten a la sustancia blanca medular un sistema arterial radial centrípeto superficial y profundo, como se observa en cortes horizontales por epiiluminación. El sistema arterial radial superficial se divide en la sustancia blanca formando un verdadero lecho capilar, perifibrilar, muy fino, y el sistema arterial radial profundo de mayor calibre emite finas arteriolas colaterales a la sustancia blanca, llegando a la superficie externa de la sustancia gris en toda su extensión, penetrando en el seno del asta medular anterior ramificándose y formando una red capilar (Fig. 1B).
La angioarquitectura de la superficie externa del asta anterior de la médula espinal en las imágenes por epiiluminación y transparencia muestran unos límites claros entre sustancia blanca y sustancia gris; se aprecia como el sistema arterial periférico que penetra en la sustancia gris se ramifica en una red capilar densa entremezclándose con la existente en la sustancia gris. No se atisba ningún sistema arterial o de arteriolas procedentes de la sustancia gris de las astas medulares anteriores que pase de la sustancia gris a la sustancia blanca (Figs. 1 y 2).
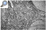
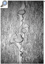
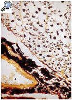
El estudio histológico con la técnica del Tricrómico de Martins a nivel del surco medio anterior de la médula espinal cervical, en corte horizontal, muestra el eje arterial espinal anterior relleno su luz de contraste, con una túnica media o muscular delgada (Fig. 3A), existiendo en sus proximidades un tejido plegado que corresponde al sistema venoso exangüe, así como pequeñas arterias con contraste unas más internas con relación al surco medio anterior y otras más externas contorneando el cordón anterior. En corte frontal al nivel de la parte anterior del surco medio anterior se aprecia arterias surco-comisurales espaciadas y escalonadas rellenas de contraste (Fig. 3B), con túnica muscular muy fina; y un tejido conjuntivo a manera de vaina perivascular que discurre por el centro del surco medio anterior rodeando algunas arterias del surco medio anterior. Se observa en corte frontal a nivel del asta medular anterior con perfecta identificación (Fig. 4A), un conjunto de motoneuronas, con varios capilares difusos rellenos de contrastes cortados transversal y longitudinalmente con revestimiento endotelial, y próximo a una motoneurona a más aumento, un capilar con contraste (Fig. 4B). El espacio que se aprecia entre la motoneuronas y el tejido nervioso (Fig. 4B) se puede considerar como un espacio virtual, por retracción del tejido perineuronal al estar sometido el tejido a procesos químicos tecnológicos de la metodología que retraen el tejido perineuronal y/o motoneuronal. La motoneurona (Fig. 4B) presenta un nucleolo redondeado bien definido, muy pigmentado, con un núcleo agrandado y un gran citoplasma, la motoneurona tiene una imagen piramidal.
Figura 3. A. Corte histológico transversal medular cervical, a nivel del surco medio anterior, perro perfundido. Tricrómico de Martins, microscopía óptica. a) Eje arterial espinal anterior. (x 800).
Figura 3. B. Corte histológico frontal medular cervical, a nivel del cordón anterior perfundido. Tricrómico de Martins. Microscopía óptica. a) Arterias colaterales surco-comisurales anteriores. (x 800).
Figura 4. A. Corte histológico frontal a nivel de cabeza del asta anterior medular cervical, perro adulto perfundido. Tricrómico de Martins, microscopía óptica. (→) Arterias con contraste en asta anterior. a) Cordón anterior. b) Asta anterior con motoneuronas. c) Cordón lateral. (x 1.000). B. Perro adulto perfundido. Tricrómico de Martins. Motoneurona con organocitos. (→) capilar con contraste. ( x.400).
El estudio histológico con técnica de impregnación argéntica técnica de Ramón y Cajal en corte horizontal a nivel del cordón anterior pone en evidencia todas las fibras nerviosas con gran densidad de pigmentación; la sustancia blanca está constituida por multitud de celdillas paralelas unas a otras, celdillas irregulares, y en sus márgenes se insinúa una finísima trama capilar de poco espesor y densidad (Fig. 5) en forma de panal de abeja nutriendo las fibras nerviosas. Con la misma técnica histológica se observa como las arterias surco-comisurales con contraste, al llegar a la comisura blanca anterior y próximas al agujero ependimario, dan origen al sistema arterial recurrente en forma de abanico, hacia la base de las astas medulares anteriores (Fig. 6). En la base del asta medular anterior se puede comprobar abundante sistema arterial cortado transversalmente relleno de contrastes, entre las fibras nerviosas, en todas las direcciones con una estructura muy irregular (Fig. 7). Con impregnación argéntica de Ramón y Cajal y corte transversal en toda el asta medular anterior entre las fibras nerviosas y motoneuronas se aprecia un copioso sistema capilar difuso con contraste (Fig. 8). A más aumento se nota una riqueza del lecho capilar con contraste, denso, tortuoso e irregular, peri-neuronal y peri-fibrilar. Existen motoneuronas distribuidas por toda la superficie del asta medular anterior con su cilindroeje orientado en todas las direcciones con abundante estructura fibrilar nerviosa irregular. La identificación entre sustancia gris y blanca está perfectamente definida por el corte transversal de las fibras nerviosas y la estructura irregular de la sustancia gris, pero el margen de separación entre la sustancia gris y blanca más bien es irregular por la penetración del sistema vascular por todas las caras de asta medular anterior. La malla de capilares se insinúa como nidos entre las motoneuronas, asegurando el flujo arterial al sistema nervioso (Figs. 9A y B).
Figura 5. Corte histológico, transversal medular cervical, a nivel del surco medio anterior perfundido. Impergnación argéntica técnica Ramón y Cajal, microscopía óptica. a) Eje arterial espinal anterior. b) Cordón anterior con fibras nerviosas. (x.400).
Figura 6. Sección histológica transversal de médula cervical, a nivel comisural, perro adulto perfundido. Impregnación argéntica técnica de Ramón y Cajal, microscopía óptica. a) Arteria surco-comisural anterior. b) Arterias recurrentes. c) Arterias comisurales verticales. d) Cordón anterior. e) Cordón posterior. f) Conducto ependimario. (x 500).
Figura 7. Sección histológica transversal, a nivel de base del asta anterior cervical, perro adulto perfundido. Impregnación argéntica técnica de Ramón y Cajal, microscopía óptica. (→) Gran número de arterias con contraste. (x 500).
Figura 8. Corte transversal modular cervical a nivel de cabeza del asta anterior medular, perro adulto con perfusión arterial. Impregnación argénica técnica de Ramón y Cajal, microscopía óptica. (→) Gran número de arterias con contraste. a) Arterias filamentosas anteriores. b) Motoneuronas. (x 500).
Figura 9. A y B. Perro adulto perfundido, impregnación argéntica técnica de Ramón y Cajal, microscopía óptica. Motoneuronas medulares cervicales. (→) Red capilar perineuronal. (x 1.400)
Las arterias que acompañan a los filamentos nerviosos anteriores se dirigen hacia la cabeza del asta anterior; con la técnica histológica de impregnación argéntica de Ramón y Cajal se puede observar una arteria filamentosa futura arteriola astal de la cabeza medular (Fig. 10), cortada longitudinalmente, rellena de contraste, deslizándose y penetrando en la sustancia blanca con dirección a la cabeza del asta anterior.
Figura 10. Corte transversal medular cervical, a nivel de vértice de la cabeza de asta anterior, perro adulto perfundido. Impregnación argéntica técnica de Ramón y Cajal, microscopía óptica. a) Arteriola filamentosa anterior. (→) Red capilar perifibrilar. (x 1.400)
La irrigación de la sustancia gris del asta anterior cervical en el estudio arteriográfico, está representada por cuatro vías de aporte sanguíneo con calibres distintos, procedentes del sistema central y periférico. Así tenemos: a) las ramas largas surco- comisurales, que atravesando la sustancia blanca, llegan a la superficie interna del asta anterior, penetrando directamente en el seno astal, siendo de escaso calibre y número; b) las ramas recurrentes horizontales anteriores, verticales ascendentes y descendentes, a nivel de la comisura blanca anterior, con angulaciones, ramificaciones y calibre moderado; c) las ramas filamentosas anteriores, que se deslizan por el surco antero-lateral con dirección al vértice del asta anterior, siendo de calibre moderado; d) las ramas largas del círculo arterial perimedular, que penetran por la superficie externa del asta anterior, son abundantes en número y de pequeño calibre. La suma de todas estas fuentes de aporte sanguíneo determinan una perfecta irrigación y un flujo nutritivo del asta anterior en forma de red capilar irregular, tortuosa y densa.
Discusión
En el uso de las técnicas diferentes de perfusión arterial tanto en condiciones normales como patológicas13 entran en juego material y metodología. En el material empleado por distintos autores para la vascularización normal se han utilizado gatos, conejos, ratas, perros y cadáveres humanos.16,25,26,31,50,59,60 Las variaciones del material utilizado en una revisión de 157 trabajos por Fernández y col.22 sobre lesiones a la médula espinal, fue de 60% en ratas y gatos, 30% conejos y perros, 10% otros. Las técnicas de contraste han variado entre los distintos autores, así Adamkiewicz1, 2 utilizó soluto de tinta china; Kadyi33 azul de Prusia; Suth y Alexander56 bencidina; Ramón y Cajal48 carmín gelatina; Maillot43 y Hassler31 tinta china gelatinada; Jellinger y Rodríguez50 látex; Lazorthes39 sulfato de bario coloidal con formol 10%, que es el utilizado en este trabajo con algunas variantes añadiendo eritrosina al tratarse de estudio arterial, heparina como anticoagulante y a 36º como vasodilatador; y Sturrock55 utilizó tinta India. La silicona usada por algunos autores, tiene la ventaja de que se solidifica en los vasos, el incoveniente es que por su viscosidad precisa mayor presión para llegar a los capilares y hay peligro de rotura vascular. Independientemente de la técnica empleada y de los defectos técnicos, pueden aparecer en las arterias burbujas de aire, falta de relleno, coágulos intravascular y rotura vascular con extravasación sanguínea. También se han utilizado distintas vías de perfusión arterial, vía local, regional, aorta; en este modelo de investigación hemos usado vía de perfusión intracardíaca-aorta para mejor difusión del contraste debido a que la médula espinal cervical recibe aporte arterial de varios orígenes: las arterias vertebrales,30 arterias cervicales ascendentes y profundas y el tronco cervico-intercostal.
En principio las arterias vertebrales a lo largo de su trayecto van dando a derecha e izquierda ramas arteriales que se deslizan sobre los nervios raquídeos, dividiéndose las ramas arteriales en radiculares medulares anteriores y posteriores como los nervios raquídeos. Las raíces nerviosas anteriores y posteriores a derecha e izquierda están formadas por los filamentos nerviosos procedentes de los surcos medulares antero-laterales y postero-laterales. Las arterias se deslizan sobre estos filamentos nerviosos ramificándose en arterias de distinto calibre y con distinto destino. Trabajos realizados por diferentes autores1,10,16,23,26,29,36,37 señalan la vía de llegada de las arterias a la médula espinal cervical. Las arterias radiculares anteriores cervicales a derecha e izquierda en su corto trayecto por las raíces anteriores6,18,27 van dando ramificaciones arteriales: ramas finas que nutren las propias raíces, son las llamadas arterias delgadas de Tenon57 que se pierden en la misma raíz; ramas muy finas que se deslizan por los filamentos nerviosos anteriores cervicales en forma de abanico a los que irrigan;24 ramas filamentosas anteriores que penetran por el surco antero-lateral cervical43 con dirección a la cabeza del asta anterior, quedando incluidas dentro del grupo del sistema arterial astal anterior; ramas arteriales de mayor calibre que llegan a la superficie medular de la piamadre, contribuyendo a formar la red coronaria perimedular, siendo verdaderas arterias radículo-piamadre; y por último quedan las pocas o algunas arterias radiculares anteriores que son las de mayor calibre dirigiéndose al surco medio anterior llamadas arterias radículo- medulares anteriores2,40,44, que son las que forman por anastomosis el eje arterial espinal anterior cervical. Es de una gran importancia clínica tener en consideración que en una lesión cervical nerviosa traumática puede coexistir compromiso vascular que repercute en la nutrición nerviosa.
Se observa correlación con otros autores en que el eje arterial espinal anterior cervical a lo largo de su trayectoria por el surco medio anterior da origen a las arterias llamadas con distinta nomenclatura: arterias centrales, arterias surco-comisurales de Kadyi,33 arterias mediales-anteriores de Duret19 o arterias motrices, admitiendo la mayoría de los autores Adamkiewicz,1 Kadyi,33 Jelliger,32 Lazorthes41 y Suth y Alexander56 que son más numerosas en la región cervical, encontrándose escalonadas de arriba abajo según Maillot,43 penetrando y recorriendo en sentido antero-posterior el surco medio anterior, como señalamos por diafanización, emitiendo a derecha e izquierda en su trayecto, ramas colaterales cortas para el cordón anterior, y ramas colaterales largas para la sustancia gris anterior que inciden sobre la superficie interna del asta anterior, penetrando y ramificándose en el seno de la sustancia gris, formando parte del sistema arterial astal anterior, cuyo objetivo es la irrigación de esta zona astal anterior. Constatamos cómo ciertas arterias surco-comisurales anteriores, en estudio histológico con la técnica de Martins, están rodeadas de una vaina perivascular cuyo origen no podemos identificar, y no se observa el espacio real entre las arterias y la vaina perivascular llamado de Virchow-Robin. No se encuentra diferencia con los trabajos de Hassler,31 Lazorthes38 y Maillot43 en cortes horizontales y verticales como las arterias surco-comisurales de Kadyi33 que llegan al fondo del surco medio anterior, penetran en la comisura blanca, como se observa por diafanización, bifurcándose en ramas horizontales a derecha e izquierda y en verticales ascendentes y descendentes. La distribución de las arterias surco-comisurales según Duret,19 teniendo en cuenta su trayecto, divide las arterias en tres órdenes de ramas terminales: ramos arteriales recurrentes anteriores que irrigan al asta anterior; ramos posteriores que nutren al asta posterior y ramos arteriales verticales ascendentes y descendentes que también irrigan al asta anterior y posterior; Suth y Alexander56 refieren que las ramas horizontales o recurrentes anteriores vascularizan las células del asta anterior, y Corbin10 describe dos tipos de arterias centrales, las arterias centrales gruesas que se dividen en arterias terminales verticales ascendentes y descendentes y horizontales, y las arterias centrales pequeñas que se distribuyen horizontalmente en la sustancia blanca.
La red coronaria espinal, que se observa por diafanización no difiere de otros autores,2,10,19,26,31,36 está formada por un circuito arterial peri-medular anastomósico, de calibre arterial homogéneo, rodeando a la médula espinal en toda su superficie, configurando una red o malla irregular anestomósica de la que parten numerosas arterias o arteriolas de distintos calibres destinadas al interior de la médula espinal, penetrando por numerosísimos puntos de la superficie externa medular. Lo que hace difícil esquematizar esta red periférica peri-medular formada por arterias radiculares anteriores y posteriores, deslizándose por entre filamentos nerviosos quedando contituido como un verdadero sistema radículo-medular. Su denominación está relacionada con la topografía y las características de la red arterial: red arterial peri-medular, red de la piamadre, red coronaria, red arterial subpial, circuito arterial peri-medular y arterias espinales circunferenciales anastomáticas. Esta red arterial penetra e irriga la médula espinal38 con dirección centrípeta, según los radios de una rueda, cuyo centro está en el agujero ependimario. La sustancia blanca medular sólo recibe vascularización de la red coronaria, excepto parte del cordón anterior próximo al surco medio anterior, que recibe irrigación del sistema arterial surco-comisural como se ha referenciado.
El sistema arterial filamentoso anterior acompaña a los filamentos nerviosos anteriores, como recogen Maillot43 y nosotros,24 penetrando por el surco antero-lateral en el interior de la médula espinal hacia la cabeza de las astas anteriores, ramificándose en el seno de la sustancia gris, lo que nos permite considerar a este sistema arterial como radículo-medular, formando parte del sistema arterial astal anterior.
En la superficie externa de la sustancia gris para algunos autores como Gillilan,26 Turnbull60 y Hessler,31 sugieren que existe un territorio intermedio irrigado por los dos sistemas arteriales central y periférico, llamado red coronaria de la sustancia gris, siendo una zona doblemente vascularizada, las imágenes por diafanización de este estudio coinciden con esa observación. Sin embargo no se observa sistema arterial alguno que de la sustancia gris pase o se ramifique en la sustancia blanca. Refiere Soutoul53 que existen pequeñas anastomosis entre el sistema arterial central y periférico alrededor de la sustancia gris, en este trabajo no podemos pronunciarnos sobre estas pequeñas anastomosis, a diferencia de la anastomosis de la red coronaria peri-medular que se observa perfectamente. En la superficie externa de la cabeza del asta anterior se aprecia por diafanización un límite casi preciso entre sustancia gris y blanca, aunque histológicamente no puede existir límite alguno porque es zona de paso del sistema arterial.
La red capilar intramedular en la sustancia blanca refiere Kadyi33 que está estructurada longitudinalmente y en el mismo sentido se manifiestan Turnbull60 y Maillot,43 que concuerdan con lo que se observa histológicamente por la dirección de las fibras nerviosas verticales y paralelas. Para nosotros la red capilar en la sustancia blanca tiene que adaptarse a la estructura de las fibras nerviosas y haces de los cordones. Señalan Suth y Alexander56 y Maillot43 que la red capilar intramedular es laxa en la sustancia blanca, formando mallas capilares anastomóticas. Se aprecia con toda evidencia en los cortes histiológicos cómo los capilares presentan imagen en panal de abeja, por lo que la red capilar forma polígonos irregulares anastomóticos paralelos unos a otros al contornear la red capilar a las fibras nerviosas. Entre los pequeñísimos compartimentos que dejan entre sí las fibras nerviosas se configuran multitud de celdillas con finísima red capilar y en el centro las fibras nerviosas.
La red capilar en la sustancia gris intramedular citan Woolan y Millen,62,63 que la mayor riqueza del lecho capilar en la sustancia gris intramedular está en relación con la abundancia de las dentritas, sinapsis, volumen de las neuronas y actividades metabólicas de las neuronas. En un estudio histológico Ramón y Cajal48 señala que la estructura de los capilares es de revestimiento endotelial y continuo, constituyendo la barrera hemato-medular, manifestando que existe una adventicia de fibrillas fuera del endotelio, que concuerda con lo que se aprecia con la técnica de Martins en relación a los capilares. Facio21 sugiere que la densidad capilar varía según la dirección de las fibras. Turnbull59 y Maillot43 apuntan que la red capilar es numerosa en la sustancia gris, espesa, densa, de mallas estrechas e irregulares, con capilares frondosos y tortuosos en los cuernos anteriores. Dromer y Schulz,17 y Álvarez Morujo3 refieren que entre los vasos de la médula espinal existe colágeno abundante, armazón de la trama nerviosa, y Vaquero Crespo61 manifiesta relaciones de vecindad entre las estructuras neruonales y vasculares. Según se observa por diafanización e impregnación argéntica de Ramón y Cajal la red capilar en el asta anterior medular está condicionada a la morfología y dirección de las fibras nerviosas y motoneuronas, orientada la red capilar irregularmente entre las fibras nerviosas del asta anterior al ser las fibras nerviosas abundantes y de distribución irregular. La red capilar se adapta a las condiciones de las fibras nerviosas, axones y superficie de las neuronas.
El modo de reaccionar del sistema vascular y del sistema nervioso a las lesiones de la médula espinal es de una trascendencia clínica importante. Entre los estudios de lesiones a la médula espinal11,12,49 la compresión medular ocupa el 80%, con los métodos de balón con aire o líquido y forceps, teniendo en cuenta el tiempo de actuación, peso, superficie medular de actuación y si la intensidad es gradual o súbita. Le sigue el 10% con lesiones vaculares, oclusión de la aorta, clip, teflón, y el 10% para otras lesiones. Los factores de materiales y técnicas hacen difícil comparar los resultados obtenidos en las investigaciones entre unos y otros trabajos, junto con la gama de variaciones anatómicas del sistema arterial medular normal, aún en la misma especie animal hace imposible predecir la topografía arterial individual, y los resultados pueden variar en los modelos experimentales.
Entre los efectos anatomopatológicos que pretenden explicar la reacción medular espinal a las lesiones20,42 unos son de tipo vascular8,9,52,64 o microvascular34, otros de tipo axonal35 y otros de tipo enzimático,46 ante las causas de conmoción, contusión, compresión, elongación, sección parcial o completa, y aplastamiento modular; teniendo en cuenta el tiempo de actuación, la intensidad gradual o súbita y el segmento medular afectado. En compresión medular observa Osterholm47 una hiperactividad vascular en sentido longitudinal y radial. En hemisección medular Gómez Talón28 refiere vascularización normal por encima de la lesión, y por debajo isquemia homolateral y heterolateral, menciona posibles fibras descendentes con misión reguladora de la circulación. Dommisse15 apunta sobre la zona crítica vascular T4-T9 en operaciones de escoliosis por la localización de la arteria de Adamkiewicz. Para Tarlow58 existe poca tolerancia medular a la compresión, superponiéndose el efecto isquémico y mecánico, observa degeneración Walleriana con fenómenos de hinchazón y fragmentación de los cilindroejes. Manifiesta Wilson65 que las ligaduras de las arterias radiculares produce desmielinización y degeneración axonal. En contusión medular Dohrmann14 en estudio con microscopía electrónica, describe vainas mielínicas rotas y degeneración axonal, refiere que la vascularización es muy sensible. Los cambios cronológicos por contusión medular observados por Yeo,66 apuntan congestión de los vasos, hinchazón de los axones dentro de la vaina mielínica intacta, desmielinización, hemorragia extensa en sustancia gris y blanca,5 vaina mielínica rota sin axones, microquistes, vacuolización, necrosis quística y fenómenos de gliosis. Cita Osterholm y Mathews46 que las catecolaminas medulares son responsables de la lesión medular; el metabolismo del S.N.C. es muy activo, con poco almacenamiento de glucosa y oxígeno, una interferencia breve de la circulación puede producir trastornos neurológicos permanentes.67 En modelos experimentales de lesiones medulares y en accidentes es preciso cuantificar perfectamente la lesión medular,49 superficie, profundidad, intensidad, tiempo de evolución, conocer suplencias arteriales, así podremos ante las lesiones medulares conocer mejor la respuesta terapéutica, y en los estudios experimentales es de gran valor la anatomiapatológica y los procesos enzimaticos.
Conclusiones
1. Es evidente la existencia de cuatro vías de aporte sanguíneo que convergen en la sustancia gris del asta anterior. Procedentes del sistema arterial central tenemos: a) ramas colaterales largas surco-comisurales y b) ramas recurrentes horizontales, recurrentes verticales ascendentes y descendentes; procedentes del sistema periférico c) ramas largas o profundas del círculo arterial peri-medular y por último d) ramas filamentosas anteriores que penetran por el surco antero-lateral.
2. La red capilar en la sustancia gris está sumergida en un tejido irregular y complejo formado de fibras nerviosas, motoneuronas y sus prolongaciones, y tiene que adaptarse la red capilar a esa morfología, por lo que la riqueza del lecho capilar es irregular, toruoso y denso.
3. La sustancia blanca recibe solamente vascularización del círculo arterial peri-medular, excepto una parte del cordón anterior interna que está irrigado por las ramas laterales surco-comisurales.
4. La red capilar en la sustancia blanca tiene que adaptarse a la morfología y dirección paralela de las fibras nerviosas, formando entre las fibras una malla laxa de capilares finos, dando imagen en panal de abeja.
5. La única zona o territorio donde los dos sistemas central y periférico se superponen es en la zona periférica de la sustancia gris.













