Las fracturas del húmero pueden tratarse satisfactoriamente mediante métodos incruentos, pues es un segmento óseo no sometido cargas, situado entre dos articulaciones muy móviles que pueden tolerar defectos de alineación varo o valgo menores de 30º, angulación anterior o posterior menor de 20º, acortamiento inferior a 2 cm y alteraciones de rotación menores de 20º.29
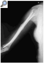
Los métodos incruentos no están exentos de inconvenientes, especialmente de tipo funcional y, por otra parte, no pueden aplicarse en determinadas circunstancias en las que exista alguna complicación de la fractura o que el paciente presente alguna patología asociada, por lo que algunas fracturas del húmero tienen una indicación de tratamiento quirúrgico.7 Una de las indicaciones es la fractura transversal del tercio medio del húmero puesto que suele evolucionar hacia una seudoartrosis5,6,7,10,14,18,29,42,43,44,46,48 (Fig. 1).
Figura 1. Fractura transversal del tercio medial del húmero (Tipo A3 de la AO).
El haz de Hackethal24 es una técnica de enclavado centromedular retrógrado con clavos elásticos introducidos por vía posterior por encima de la fosita olecraneana, empleándose actualmente agujas de Kirschner o de Rush de 2 a 3 mm o clavos de Ender modificados de 3,2 mm.25
En diversos trabajos se ha propuesto modificar el punto de entrada para aumentar la estabilidad del enclavado especialmente a las rotaciones. Vives51,52,53 empleó la vía epicondílea para el enclavado de las fracturas del cuello del húmero, Van der Ghinst49,50 para el enclavado de las fracturas diafisarias bajas, Metaizeau34 propuso la vía epicondílea con clavos elásticos para el tratamiento de las fracturas del húmero en el niño y De la Caffinière16 para el tratamiento de las fracturas del adulto. Letenneur31 introdujo los clavos por vía interna supraepitroclear.
Desde 1975 se empleó la vía posteroexterna6 para el tratamiento de las fracturas del húmero (Fig. 2), tras un trabajo experimental en el que se demostró sus ventajas sobre el enclavado por vía posterior5 por aumentar la estabilidad al conseguir un apoyo en tres puntos (un bloqueo distal de las agujas, apoyo en la cortical interna, y en la cabeza humeral). Sistemáticamente se introdujeron tres agujas de 2,5 mm o de 3 mm dependiendo del calibre de la medular del tercio distal del húmero.5
Figura 2. Enclavado de Hackethal modificado con introducción de las agujas por vía postero-externa.
Recientemente, De la Caffinière17 propuso modificar la técnica de Hackethal colocando una aguja de Rush de 2 a 3 mm por vía posterior y dos agujas por vía posteroexterna previo fresado con una broca de 6 mm.
Material y Método
Se han revisado ochenta y cuatro casos de fracturas transversales del tercio medio de la diáfisis humeral (tipo A3 de la clasificación AO) retrospectivamente en el período comprendido entre 1975 y 1998. Del total, cuarenta y ocho eran hombres y 36 mujeres, siendo la edad media de 46 años (mínimo: 14 y máximo: 86). Treinta y seis casos afectaban al lado derecho y 48 al izquierdo. Setenta y nueve fracturas eran cerradas y cinco abiertas (Tabla 1).
En cuanto al tipo de traumatismo: 50 fracturas eran por accidente de circulación (60%), 31 por caídas casuales (37%), dos por accidentes de trabajo y una por accidente deportivo. El tiempo promedio de seguimiento ha sido de 2,5 años (mínimo: 1 y máximo: 6).
Técnica quirúrgica
El enclavado se realiza con el paciente en decúbito supino o lateral, con el brazo elevado sobre un soporte4,6,15 de manera que permita el empleo del amplificador de imágenes para visualizar las proyecciones anteroposterior y lateral de la diáfisis humeral y la axial de la cabeza humeral. Antes de iniciar la intervención se reduce la fractura bajo el control del amplificador de imágenes. Se practica una incisión de 2 a 3 cm en la parte posteroexterna de la paleta humeral hasta el plano óseo, que a este nivel es subcutáneo y se encuentra desprovisto de inserciones musculares. Se perfora la cortical con una broca o punzón hasta llegar a la medular del húmero y se amplía el orificio con una pinza gubia. Los clavos de Rush de 2,5 ó de 3 mm de diámetro se doblan a 2 cm de la punta con una angulación de 10-15º para facilitar su introducción y lograr que formen un abanico en la epífisis proximal del húmero5. El número de agujas colocadas ha sido sistemáticamente de tres (Fig. 3).
Figura 3. Resultado final.
Tras la introducción de cada una de las agujas se comprueba que no exista una diástasis del foco de fractura, en caso contrario se impactan las agujas por percusión manual desde el codo. El enclavado se realizó en todos los casos a cielo cerrado, ochenta y dos casos (97,6%) por vía posteroexterna y en dos (2,4%) por vía posterior. En el postoperatorio se coloca un vendaje de aducción (Velpeau o Gillchrist) durante un plazo de dos semanas, iniciando la rehabilitación mediante penduleo del hombro y movilidad completa del codo. La rehabilitación contrarresistencia se inicia cuando el paciente es capaz de elevar la extremidad hasta la altura de la cara, lo que ocurre antes de la consolidación radiológica.
En caso de fracturas inestables, (dos casos de la serie), el plazo de inmovilización se prolonga a una o dos semanas más, o se confecciona una ortesis de Sarmiento que se mantiene hasta la consolidación radiológica.
Resultados
El callo perióstico se obtuvo a las tres semanas (mínimo: 2,5 y máximo: 5), y la consolidación radiólogica a las 8 (mínimo: 6 y máximo: 12).
Las complicaciones inmediatas de la serie se exponen en la Tabla 2 y las tardías en la Tabla 3. Es de señalar que tanto en las inmediatas como en las tardías varias complicaciones ocurrieron en un mismo paciente. Especialmente se han observado las asociaciones: migraciones distales con infección superficial, edema con desviación y diástasis del foco con seudoartrosis. Con este tipo de enclavado las tasas de infección son bajas (2,4%) y todas ellas superficiales.
En 68 pacientes (81%) la movilidad del hombro y codo fue normal e indolora. De los 16 restantes (19%), cinco casos (5,9%) presentaron una migración proximal de las agujas y nueve (10,7%) una migración distal, lo que retrasó la rehabilitación funcional y obligó a una retirada del material tras la consolidación radiológica. La limitación de la movilidad del hombro y codo ocurrieron simultáneamente en un mismo paciente en tres casos (3,6%). En dos casos (2,4%) la limitación de la movilidad del hombro fue superior a los 30º y en cuatro (4,8%) entre 20º y 30º. En dos casos (2,4%) la limitación de la movilidad del codo fue superior a los 30º y en ocho casos (9,5%) inferior a los 30º.
La reinserción social media fue de cinco meses (mínimo: 3 y máximo: 7), exceptuando los tres casos de seudoartrosis (3,6%). El tipo de consolidación se expone en la Tabla 4.
Discusión
El enclavado de Hackethal es una intervención rápida, con muy poco sangrado, poco costosa, con una estancia hospitalaria corta y que permite la movilidad precoz de la extremidad.
El porcentaje de complicaciones es bajo con este tipo de síntesis:1,2,5,6,8-13,18-23,26-28,30,32,33,35-45,47,50,54 las infecciones profundas y las parálisis radiales son inexistentes, y las secuelas funcionales muy escasas en comparación con el enclavado48 y las osteosíntesis con placa.3 Las migraciones proximales tienen poca repercusión sobre el resultado funcional17 y ocurren especialmente cuando las agujas se dejan demasiado próximas al troquiter.
El enclavado centromedular de Hackethal o su modificación permiten cubrir las indicaciones del tratamiento cruento de las fracturas del húmero con pocas complicaciones secundarias. En los polifracturados cuando se requiere el empleo de bastones es preferible la síntesis mediante enclavado encerrojado, en las fracturas abiertas el fijador externo y cuando esté indicada la revisión del nervio radial7 la osteosíntesis con placa.
Conclusión
1. El enclavado de Hackethal modificado se ha mostrado eficaz en el tratamiento de las fracturas transversales del húmero.
2. La migración, tanto proximal como distal de las agujas, no ha significado un problema clínico importante.









