Artroplastia de silicona del semilunar en la enfermedad de Kienböck: Seguimiento a largo plazo
Lunate bone silicone arthroplasty in Kienböck''s disease: Long-term follow-up
LAMAS GÓMEZ, C.; MIR BULLÓ, X.; LLUSÀ PÉREZ, M., y NAVARRO QUILIS, A.
Hospital Universitario de Traumatología. C. S. Valle Hebrón. Barcelona.
Correspondencia:
Dra. C. LAMAS GÓMEZ.
Hospital Universitario de Traumatología.
C. S. Valle Hebrón.
Paseo Valle Hebrón, 119-129.
08035 Barcelona.
Recibido: Febrero de 1999.
Aceptado: Septiembre de 1999.
RESUMEN: Entre 1986 y 1993 se trataron 20 pacientes con implantes de silicona para la enfermedad de Kienböck con un seguimiento medio de 7 años. La edad media de los pacientes era de 33 años y según la clasificación de Lichtman ocho fueron Grado II, ocho Grado IIIA y cuatro Grado IIIB. Al final del seguimiento el 75% presentaban persistencia del dolor y un balance articular limitado. A nivel radiológico hubo un colapso carpiano (altura carpiana media de 0,49) y una traslación cubital (distancia cubitocarpiana media de 0,26). Se presentaron las siguientes complicaciones: luxación del implante hacia cubital en dos pacientes; subluxación en dos, una palmar y otra dorsal; presencia de inestabilidad en DISI en seis y en VISI en dos; siliconitis e imágenes líticas intraóseas en ocho y presencia de artropatía degenerativa radio e intercarpiana en 10. Cuatro pacientes precisaron de reintervención: tres artrodesis del carpo y una resección de la primera fila. El implante de silicona genera a largo plazo una sinovitis reactiva con destrucción del carpo, siendo incapaz de frenar la evolución a colapso carpiano y a traslación cubital. A causa de sus limitaciones no creemos que tenga indicación actualmente en el tratamiento de la enfermedad de Kienböck.
PALABRAS CLAVE: Mano. Muñeca. Enfermedad de Kienböck. Artroplastia. Implante de silicona.
ABSTRACT: From 1986 to 1993, 20 patients were treated with silicone implants for Kienböck''s disease. Patients had a mean follow-up of 7 years. Mean patient age was 33 years. According to the Lichtman classification, 8 were grade II, 8 IIIA and 4 IIIB. At the end of follow-up, 75% had persistent pain and limited articular balance. Radiography showed carpal collapse (mean carpal height 0.49) and ulnar displacement (mean ulnocarpal distance 0.26). The following complications occurred: implant dislocation in 2 patients, subluxation in 2 (1 palmar and 1 dorsal), DISI instability in 6, VISI instability in 2, siliconitis and intraosseous lytic images in 8, and radial or intercarpal degenerative arthropathy in 10. Four patients required reoperation: 3 carpal arthrodesis and 1 first-line resection. The silicone implant generated long-term reactive synovitis and carpal destruction and did not slow the evolution to carpal collapse and ulnar displacement. For these reasons, we do not recommend the procedure for the treatment of Kienböck''s disease.
KEY WORDS: Hand. Wrist. Kienböck''s disease. Arthroplasty. Silicone implant.
Se han propuesto múltiples opciones quirúrgicas para el tratamiento de la enfermedad de Kienböck dependiendo del estadio radiológico y del índice radiocubital inferior (IRCI): injerto óseo vascularizado, procedimientos de nivelación (osteotomía de acortamiento del radio y de alargamiento del cúbito), osteotomía del hueso grande, osteotomía en cuña lateral del radio, artrodesis parciales y procedimientos de salvamento (denervación del carpo, artrodesis carpiana y resección de la primera fila del carpo).2,12,21,23,24,33,36,37
Durante muchos años uno de los tratamientos más empleados fue la sustitución del semilunar fragmentado por tejido biológico6,8,16-18,41,46,50 o por un implante: de vitalio,30 acrílico,10 de silicona43,44 o de titanio.42-44 El implante de semilunar constituido inicialmente de silicona convencional (elastómero 372) fue posteriormente sustituido por una aleación de titanio o por un nuevo elastómero de silicona más resistente: high performance silicone o silicona HP. En los últimos años se ha podido comprobar que existe una menor incidencia de cambios radiológicos y de reintervenciones con la silicona original que con la HP.43,44 Aunque en un principio se habían comunicado resultados satisfactorios con los implantes de silicona,4,28,29,45 los resultados a largo plazo han demostrado una alta incidencia de sinovitis por silicona de cerca del 50-80%. Estos pacientes presentaban resultados pobres no sólo debido a la sinovitis, sino también a la presencia de luxaciones de la prótesis.1,5,35,40,43,47
El objeto del estudio es aportar la experiencia de nuestro centro en los implantes de silicona en el semilunar, señalando las complicaciones que han llevado a su abandono.
Material y Método
Se realizó un estudio retrospectivo de 20 implantes de silicona en el semilunar intervenidos quirúrgicamente en nuestro centro desde 1986-1993, con un seguimiento medio de 7 años (mínimo: 5 y máximo: 12 años).
De los pacientes incluidos en el estudio fueron 14 varones y seis mujeres, con una edad de 33 años (mínimo: 21 y máximo: 63 años). Eran trabajadores de fuerza 14 pacientes y presentaban lesión en la mano derecha 15.
Siguiendo la clasificación radiológica propuesta por Lichtman,27-29 en el momento de la intervención ocho pacientes eran Grado II de Lichtman, otros ocho Grado IIIA y cuatro Grado IIIB. La morfología del semilunar era Tipo I en cuatro pacientes, Tipo II en 14 y Tipo III en dos.2,3 La valoración radiológica se realizó en la radiografía posteroanterior y lateral estándar de muñeca (posición cero) tal y como describe Palmer.38 El IRCI era en cuatro cubitus minus, en 14 zero variant y en dos cubitus plus.15
La función de la muñeca se evaluó en términos de dolor carpiano, rango de movilidad y fuerza de prensión. Todos los pacientes presentaban dolor persistente en la muñeca antes de la intervención. La intensidad de dolor postoperatorio lo hemos dividido en tres grados: no dolor, dolor al esfuerzo y dolor constante.
El estado funcional se clasificó como: a) capaz de trabajar, pero desempleado; b) retorno a su empleo habitual; c) retorno a su empleo habitual, pero con limitaciones, y d) incapaz de trabajar. El grado de satisfacción después de la intervención por parte del paciente se clasificó como completa, parcial o no satisfecho (Tabla 1).
Tabla 1. Resultados clínicos. | ||
| Preoperatorio | Postoperatorio | |
| Dolor: | ||
| -- Constante | 20 | 5 |
| -- Con la actividad | 0 | 10 |
| -- No dolor | 0 | 5 |
| Movilidad (muñeca): | ||
| -- Extensión/flexión | 62/50° | 20/28° |
| -- Desviación radial/cubital | 19/15° | 14/10° |
| -- Pronación/supinación | 86/88° | 80/75° |
| Fuerza de prensión (en kg) | 28 (15-43) | 36 (17-48) |
| Estado laboral: | ||
| -- Desempleado | -- | 1 |
| -- Empleo habitual | -- | 14 |
| -- Empleo habitual con limi taciones | -- | 15 |
| -- Incapaz de trabajar | -- | 0 |
| Satisfacción: | ||
| -- Completa | -- | 13 |
| -- Parcial | -- | 13 |
| -- No satisfecho | -- | 14 |
A nivel radiológico se estudió la presencia de ruptura-luxación-subluxación del implante, de imágenes líticas intraóseas, de inestabilidad carpiana y de artropatía degenerativa. El colapso carpiano se midió a través de la relación de la altura carpiana. Este parámetro fue descrito por McMurtry-Youm (1978) y resulta de dividir la altura carpiana (distancia desde la base del tercer metacarpiano a la superficie articular del radio) entre la longitud del tercer metacarpiano. Los valores normales son de 0,54 ± 0,03 y se considera colapso carpiano valores < 0,51.34 El valor medio de la relación de la altura carpiana preoperatoria fue de 0,49 (mínimo: 0,44 y máximo: 0,52). La traslación carpiana se midió con la relación de la distancia cubitocarpiana. Este parámetro descrito por Youm (1978) se consigue al dividir la distancia cubitocarpiana entre la longitud del tercer metacarpiano. Se consideran normales valores de 0,30 ± 0,03 y la traslación cubital se define por valores < 0,27.51 El valor medio preoperatorio de la distancia cubitocarpiana es de 0,29 (mínimo: 0,26 y máximo: 0,32).
La técnica quirúrgica empleada en 16 pacientes es por un abordaje dorsal, con exéresis del semilunar y colocación del implante de silicona con una plastia capsular de extensor carpi radialis brevis. En cuatro pacientes se realizó una artrodesis escafoides-trapecio-trapezoide (STT) asociada.
Resultados
Al final del estudio 5 pacientes no presentaban dolor; sin embargo, en el resto persistía en forma de dolor al esfuerzo y en reposo.
El rango de movilidad medio preoperatorio fue de 62° de extensión, 50° de flexión, 19° de desviación radial y 15° de cubital, 86° de pronación y 88° de supinación. La fuerza de prensión media preoperatoria utilizando un dinamómetro de Jamar fue de 28 kg (mínimo: 15 y máximo: 43 kg). El balance articular medio al seguimiento fue de 20° de extensión, 28° de flexión, 14° de desviación radial, 10° de cubital, 80° de pronación y 75° de supinación. La fuerza de prensión media fue de 36 kg (mínimo: 17 y máximo: 48 kg).
Al final del seguimiento, 14 pacientes retornan a su empleo habitual sin limitaciones y cinco con ellas. No hubo ningún paciente incapaz de trabajar y uno estaba desempleado (Tabla 1).
La relación de la altura carpiana presentó postoperatoriamente un valor medio de 0,47 (mínimo: 0,40 y máximo: 0,53). Por tanto, la intervención no es capaz de frenar la evolución a un colapso carpiano. El valor medio postoperatorio de la relación de la distancia cubitocarpiana es de 0,26 (mínimo: 0,23 y máximo: 0,32). Por tanto, la intervención no es capaz de frenar la traslación cubital que se da en fases avanzadas de la enfermedad (Tabla 2).
Tabla 2. Resultados radiológicos. | |||||||
| Paciente n.° | IRCI | Morfología semilunar | Estadio | RAC | RDCC | ||
| Preop | Postop. | Preop | Postop. | ||||
| 1 | 0 | II | IIIB | 0,48 | 0,43 | 0,27 | 0,32 |
| 2 | 2 | II | II | 0,48 | 0,53 | 0,32 | 0,30 |
| 3 | 2 | II | IIIA | 0,51 | 0,48 | 0,28 | 0,27 |
| 4 | 1 | II | II | 0,49 | 0,48 | 0,27 | 0,26 |
| 5 | 1 | II | II | 0,52 | 0,52 | 0,28 | 0,28 |
| 6 | 0 | I | IIIA | 0,49 | 0,49 | 0,30 | 0,29 |
| 7 | 1 | II | IIIA | 0,48 | 0,48 | 0,28 | 0,26 |
| 8 | 2 | III | IIIA | 0,44 | 0,40 | 0,32 | 0,25 |
| 9 | 2 | II | IIIB | 0,51 | 0,45 | 0,28 | 0,23 |
| 10 | 1 | I | II | 0,50 | 0,46 | 0,30 | 0,28 |
| 11 | 0 | II | II | 0,48 | 0,50 | 0,28 | 0,26 |
| 12 | 3 | I | IIIA | 0,44 | 0,42 | 0,31 | 0,26 |
| 13 | 1 | II | IIIA | 0,48 | 0,48 | 0,26 | 0,23 |
| 14 | 3 | III | IIIA | 0,50 | 0,49 | 0,27 | 0,24 |
| 15 | 0 | II | II | 0,52 | 0,50 | 0,32 | 0,26 |
| 16 | 1 | II | IIIB | 0,50 | 0,48 | 0,27 | 0,24 |
| 17 | 2 | I | IIIA | 0,49 | 0,47 | 0,32 | 0,27 |
| 18 | 0 | II | IIIB | 0,51 | 0,49 | 0,29 | 0,26 |
| 19 | 3 | II | II | 0,50 | 0,48 | 0,27 | 0,28 |
| 20 | 2 | II | II | 0,47 | 0,45 | 0,30 | 0,25 |
| Preop.: preoperatorio. Postop.: postoperatorio. RAC: relación altura carpiana. RDCC: relación distancia cúbito carpiana. IRCI: índice radiocubital inferior. | |||||||
Hubo dos luxaciones del implante hacia cubital, subluxación en otros dos, una palmar y otra dorsal, y presencia de DISI en seis y de VISI en dos. La siliconitis e imágenes líticas intraóseas (de predominio hueso grande-ganchoso) se dieron en ocho pacientes y la artropatía degenerativa radiocarpiana e intercarpiana en 10. Se realizaron reintervenciones en cuatro pacientes: tres artrodesis del carpo y una resección de la primera fila.
Figura 1. Artroplastia de silicona en semilunar.
Discusión
En nuestro estudio realizado en 20 pacientes, con un seguimiento medio de 7 años, hemos obtenido clínicamente una persistencia del dolor carpiano en el 75% de la serie y un balance articular limitado. Con un seguimiento medio de 13 años, Egloff11 estudia 14 implantes de silicona en el semilunar y observa lesiones líticas en todos los casos excepto en dos, que aumentan en número y tamaño con el tiempo. Por otro lado, Conte,9 con un seguimiento medio de 12 años, aprecia en 18 implantes de silicona en semilunar la presencia de seis luxaciones palmares y dos dorsales y lesiones geódicas intracarpianas en todos los casos. La mejoría del dolor es discreta, persiste un déficit de fuerza y de movilidad. Ambos autores no recomiendan la artroplastia total de silicona para el semilunar y creen que es ineficaz para restablecer la arquitectura del carpo. Antuña-Zapico2 nunca ha sido partidario de las prótesis de silicona y la argumenta por dos motivos. Por un lado, considera que están biomecánicamente mal concebidas debido a que presentan un vástago para el piramidal, dejando inestable el espacio escafolunar, que es la zona que recibe más presiones. Por otro lado, porque no cree que un material inerte pueda sustituir a un hueso que recibe abundantes fuerzas compresivas tanto longitudinales como rotacionales.
Figura 2. Aspecto macroscópico del implante: desgaste y abrasión de la superficie.
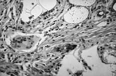
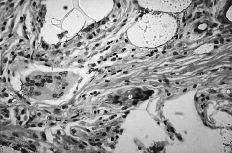
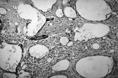
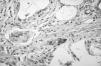
ABFigura 3. Aspecto microscópico. A: Sinovitis hipertrófica con granulomas por silicona (HE, 40*). B: Reacción de células gigantes a cuerpo extraño (HE, 250*).
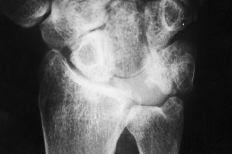
Figura 4. Radiografía posteroanterior de muñeca donde se muestra una luxación cubital del implante junto con un colapso carpiano y una traslación cubital.
Debido a esta falta del implante hemos observado en un 20% de los casos luxación y subluxación de la artroplastia, en un 30% inestabilidad en DISI y en un 10% en VISI. La incidencia de imágenes líticas intraóseas y sinovitis por liberación de partículas de silicona en nuestra serie es del 40%. Surgen por la abrasión y el desgaste del implante y producen una sinovitis hipertrófica con granulomas por silicona.19 Microscópicamente se aprecia la respuesta del huésped a estas partículas como una reacción de células gigantes a cuerpo extraño. Los leucocitos y macrófagos fagocitan el material, pero la silicona no se afecta por las enzimas lisosomales, lo que induce una sinovitis reactiva que no es exclusiva de la silicona (PMMA, polietileno y otros materiales metálicos), estando siempre en relación con el tamaño de la partícula. Las partículas de silicona son de 30 a 60 micras de diámetro. Estos implantes se han desaconsejado para la sustitución del escafoides y del semilunar, ya que al estar sometidos a importantes cargas de compresión se produce su fragmentación.31 Los factores que desgastan el implante de silicona y contribuyen a la formación de partículas son las fuerzas excesivas a través del implante debidas a la asociación de inestabilidad o de colapso, una malposición o exceso de tamaño, exceso de movilidad y abuso de la actividad diaria.43,44
Figura 5. En la radiografía de perfil se aprecia la inestabilidad en DISI del implante.
ABFigura 6. Imágenes líticas intraóseas de predominio hueso grande-piramidal. A: Radiológica. B: Tomografía computerizada.
La sinovitis ocasiona también la aparición de quistes en los huesos carpianos vecinos, principalmente el hueso grande y el piramidal,9,19,26,43,44,47 porque la sinovial es capaz de penetrar por los defectos corticales e invadir la zona menos resistente del hueso esponjoso formando un nidus. Habitualmente se encuentran partículas de silicona en el contenido de los quistes y en la sinovial.43 Asimismo, estas partículas se han encontrado en los nódulos linfáticos regionales por migración a través del sistema linfático. Sin embargo, las autopsias en humanos y en animales después de un amplio período de tiempo con un implante de silicona no muestran evidencia de mutación celular ni de diseminación sistémica de las partículas a órganos a distancia.19,43
Otro de los aspectos que merecen ser destacados es el desarrollo de artropatía degenerativa intercarpiana y radiocarpiana junto con el implante de silicona, que en nuestra serie afectó a la mitad de los pacientes. Lesur26 al estudiar 19 artroplastias de silicona HP en el semilunar, describe dos tipos de cambios degenerativos: el primero, debido a la usura del material, y el segundo, debido a la subluxación rotatoria del escafoides. La horizontalización del escafoides por lesión ligamentaria escafolunar provoca una pérdida de congruencia en la primera fila del carpo y entre el polo proximal del escafoides y el radio. Burgess7 ha cuantificado dicha situación y una rotación del escafoides de 20° disminuye la superficie articular en un 77%. Parece razonable que si no se estabiliza la subluxación rotatoria del escafoides, a pesar de la artroplastia, se evoluciona a una artrosis.26 La prevención de este problema, es según Watson,48,49 la realización sistemática de una artrodesis STT asociada, mientras que Swanson44 lo practica cuando el ángulo escaforradial es superior a 60°. La artrodesis STT tiene una doble finalidad: por un lado, transferir las fuerzas compresivas a la columna externa, disminuyendo con ello el desgaste de la prótesis, y por otro, solucionar la subluxación rotatoria del escafoides, de manera que la fijación del escafoides evita su horizontalización. Sin embargo, la artrodesis STT no está exenta de complicaciones y es un procedimiento no recomendado por algunos autores. La modificación de las presiones con la artrodesis STT genera una sobrecarga de la articulación radioescafoidea con artrosis radiocarpiana progresiva. Por otro lado, produce un pinzamiento con la estiloides radial caracterizado por dolor en el lado radial con la flexión de la muñeca y limitación de la movilidad con la desviación radial.13,20,39
Actualmente el implante de silicona en semilunar ha sido abandonado por la mayoría de autores dado el riesgo de sinovitis.1,9,11,14,19,21,22,32,36 Sin embargo, autores como Lanzetta y Swanson siguen empleando esta técnica.25,43
Conclusiones
1.a El implante de silicona en el semilunar genera a medio y largo plazo una sinovitis reactiva con destrucción del carpo y formación de quistes intraóseos de predominio hueso grande-ganchoso-pira-
midal.
2.a La artroplastia con este tipo de implantes de silicona presenta problemas derivados de su falta de estabilidad, dando lugar a luxaciones-subluxaciones del implante, siendo un procedimiento ineficaz para mantener la altura carpiana y evitar el colapso carpiano y la traslación cubital.
Agradecimientos
Al doctor Huguet, del Servicio de Anatomía Patológica de la C. S. Valle Hebrón, por su amable y desinteresada ayuda en el análisis microscópico de la sinovitis reactiva por silicona.
Bibliografía
1. Alexander, H; Turner, MA; Alexander, CE, y Lichtman, DM: Lunate silicone replacement arthroplasty in Kienböck''s disease: A long-term follow-up. J Hand Surg, 15A: 401-407, 1990.
2.Antuña-Zapico, JM: Enfermedad de Kienböck. Rev Ortop Traumatol, 37 (suppl I): 100-113, 1993.
3.Antuña-Zapico, JM:Malacia del semilunar. Tesis doctoral. Universidad de Valladolid, 1966.
4.Backaert, M; Verstreken, J; Roex, J, y Vandekerckhove, JR: Long-term results obtained with a silastic lunate prosthesis for Kienböck''s disease. Acta Orthop Belg, 51: 889-896, 1985.
5.Beckenbaugh, RD; Shives, TC; Dobyns, JH, y Linscheid, RL: Kienböck''s disease: The natural history of Kienböck''s disease and consideration of lunate fractures. Clin Orthop, 149: 98-106, 1980.
6.Blanco, RH: Excision of the lunate in Kienböck''s disease: Long-term results. J Hand Surg, 10A: 1008-1013, 1985.
7.Burgess, RC: The effect of rotatory subluxation of the scaphoid on radio-scaphoid contact. J Hand Surg, 12A: 771-774, 1987.
8.Carroll, RE: Long term review of fascial replacement after excision of the carpal lunate bone. Clin Orthop, 342: 59-63, 1997.
9.Conte, Ph; Mansat, M; Combes, JM; Bellumore, Y, y Retaillaud, JL: Devenir à long terme de l''implant de Swanson de semi-lunaires pour maladie de Kienböck. Étude d''une serie de 18 cas avec un recul moyen de 12 ans, minimun 7 ans. Rev Chir Orthop (suppl. II): 206-207, 1995.
10.Danis, A: Osteomalacie du semilunaire traitée par exereses et prosthése acrylique; resultat aprés trois ans. Acta Chir Belg, 50: 120-126, 1951.
11.Egloff, DV; Varadi, G; Narakas, A; Simonetta, C, y Cantero, C: Silastic implants of the scaphoid and lunate. J Hand Surg, 18B: 687-692, 1993.
12.Fernández, D, y Flury, C: Enfermedad de Kienböck: Un enigma no resuelto. Rev Ortop Traumatol, 38 (suppl. II): 77-91, 1994.
13.Fortin, PT, y Louis, D: Long-term follow-up of scaphoid-trapezium-trapezoid arthrodesis. J Hand Surg, 18A: 675-681, 1993.
14.Gerwin, M, y Weiland, AJ: Avascular necrosis of the carpals. En: Peimer (Eds): Surgery of the Hand and Upper Extremity. New York. McGraw-Hill, 1996, 759-770.
15.Hultén, O: Über anatomische der handgelenknochen. Acta Radiol, 9: 155-168, 1928.
16.Ishiguro, T; Itoh, Y; Uchinishi, K, y Imai, N: Experimental and clinical studies of Kienböck''s disease. Excision of lunate followed by packing of free tendon. J Jap Orthop Ass, 58: 509-522, 1984.
17.Kato, H; Usui, M, y Minami, A: Long-term results of Kienböck''s disease treated by excisional arthroplasty with silicone implant or coiled palmaris longus tendon. J Hand Surg, 11A: 645-653, 1986.
18.Kawai, H, y Sedel, L: Lunarectomie dans la maladie de Kienböck. A propos de Quervain''s dix sept cas. Ann Chir Main, 9: 171-175, 1990.
19.Khoo, CTK: Silicone synovitis. J Hand Surg, 18B: 679-686, 1993.
20.Kleinman, WB: Long-term study of chronic scapho-lunate instability treated by scapho-trapezio-trapezoid arthrodesis. J Hand Surg, 14A: 429-445, 1989.
21.Lamas, C:Osteotomía de sustracción lateral del radio en casos Zero Variant en la enfermedad de Kienböck. Tesis doctoral. Monografía del Servicio de Publicaciones de la Universidad Autónoma de Barcelona, 1998.
22. Lamas, C; Mir, X, y Martínez, I: Artroplastia de silicona en semilunar para la enfermedad de Kienböck: Seguimiento a largo plazo.XI Congreso de la Sociedad Catalana de Cirugía Ortopédica y Traumatología. Gerona, Mayo 1998, 284.
23.Lamas, C; Mir, X, y Martínez, I: Revascularización después de una osteotomía dorsolateral del radio en la enfermedad de Kienböck. XXXV Congreso Nacional SECOT. Santander, Septiembre-Octubre 1998, 17.
24.Lamas, C; Mir, X; Martínez, I; Llusà, M, y Navarro, A: Magnetic resonance imaging in the assessment of revascularization following dorso-lateral wedge osteotomy for Kienböck''s disease. J Bone Joint Surg, 81B (suppl II): 206, 1999.
25.Lanzetta, M; Herbert, TJ, y Conolly, WB: Silicone synovitis. J Hand Surg, 19B: 479-484, 1994.
26.Lesur, E; Merle, M, y Michon, J: Les limites du remplacement du semilunaire par l''implant de Swanson. Rev Chir Orthop, 75: 281-291, 1989.
27. Lichtman, DM, y Degnan, GG: Staging and its use in the determination of treatment modalities for Kienböck''s disease. Hand Clin, 9: 409-416, 1993.
28.Lichtman, DM; Alexander, AH; Mark, GR, y Gunther, SF: Kienböck''s disease-update on silicone replacement arthroplasty. J Hand Surg, 7: 343-347, 1982.
29.Lichtman, DM; Mack, GR; McDonald, IR; Gunther, SF, y Wilson, JN: Kienböck''s disease: The role of silicone replacement arthroplasty. J Bone Joint Surg, 59A: 899-908, 1977.
30.Lippman, EM, y McDermott, LJ: Vitallium replacement of lunate in Kienböck''s disease. Milit Surg, 105: 482-484, 1949.
31.Lluch, A: Artroplastias de sustitución. En: Actualizaciones en cirugía de la mano. VII Curso teoricoprático monográfico de doctorado de cirugía de la mano. UAB, Enero de 1998.
32.Magnusson, M, y Trumble, TE: Enfermedad de Kienböck. Curr Orthop, 2: 13-18, 1997.
33.Masatomi, T; Shimada, K, y Masakazu, M: Kienböck''s disease: Lunotriquetral fusion using vascularizaed bone graft. En: Saffar-Amadio-Foucher (Eds): Current Practice in Hand Surgery. London: Martín Dunitz, 1997, 275-281.
34.McMurtry, RY; Youm, Y; Flatt, AE, y Gillespie, TE: Kinematics of the wrist. Clinical applications. J Bone Joint Surg, 60A: 955-961, 1978.
35.Minami, A; Kimura, T, y Suzuki, K: Long-term results of Kienböck''s disease treated by triscaphearthrodesis and excisional arthroplasty with a coiled Palmaris Longus tendon. J Hand Surg, 19A: 219-228, 1994.
36.Mir, X; Lamas, C, y Navarro, A: La enfermedad de Kienböck. Formación Continuada en Traumatología y Cirugía Ortopédica. Ediciones Pulso, 1: 9-17, 1999.
37.Mir, X; Llusà, M; Arcalís, A, y Nardi, J: Influencia del ángulo de inclinación frontal del radio en la instauración de la enfermedad de Kienböck. Rev Esp Cir Mano, 93-94, 1992.
38.Palmer, AK; Glisson, RR, y Werner, FW: Ulnar variance determination. J Hand Surg, 4: 376-379, 1982.
39.Rogers, WD, y Watson, HK: Radial styloid impingement after triscaphe arthrodesis. J Hand Surg, 14A: 297-301, 1989.
40.Sandow, MJ: Costo-condral replacement arthroplasty for Kienböck''s disease. Australian Orthopaedic Associacion. J Bone Joint Surg, 77B (suppl. I): 57-58, 1995.
41.Suzuki, K; Nakamura, T; Furukawa, H; Minami, Y, y Yamaura, M: Tendon ball grafting in wrist surgery. En: Nakamura-Linscheid-Miura (Eds): Wrist Disorders. Tokyo. Springer-Verlag, 1992, 285-289.
42. Swanson, AB; Swanson, GG; DeHeer, DH; Troy, DP; Randall, K; Smith, JM, y Van Gorp, CC: Carpal bone titanium implant arthroplasty. Clin Orthop, 342: 46-58, 1997.
43.Swanson, AB, y Swanson, GG: Implant resection arthroplasty in the treatment of Kienböck''s disease. Hand Clin, 9: 483-491, 1993.
44.Swanson, AB; Swanson, GG; Maupin, BK; Hynes, DE, y Jindal, P: Failed carpal bone arthroplasty: Causes and treatment. J Hand Surg, 14A: 417-424, 1989.
45.Swanson, AB: Silicone rubber implants for replacement of the carpal, scaphoid and lunate bones. Orthop Clin North Am, 1: 299-309, 1970.
46.Ueba, Y: Follow-up study of Kienböck disease treated by removal of the lunate and replacement with a rolled-tendón graf. Third Congress of International Federation of Societies for Surgery of the hand. Tokyo, Japón, Noviembre, 1986.
47.Viljakka, T; Vastamäki, M; Solonen, KA, y Tallroth, K: Silicone implant arthroplasty in Kienböck''s disease. Acta Orthop Scand, 58: 410-414, 1987.
48.Watson, HK; Fink, JA, y Monacelli, DM: Use of triscaphe fusion in the treatment of Kienböck''s disease. Hand Clin, 9: 493-499, 1993.
49. Watson, HK; Ryu, J, y DiBella, A: An approach to Kienböck''s disease: Triscaphe arthrodesis. J Hand Surg, 10A: 179-187, 1985.
50.Yanase, Y: Tendon interposition arthroplasty in hand surgery. Third Congress of International Federation of Societies for Surgery of the Hand. Tokyo. Japón, Noviembre, 1986.
51. Youm, Y; McMurtry, RY; Flatt, AE, y Gillespie, TE: Kinematics of the wrist. An experimental study of radial-ulnar deviation an flexion-extension. J Bone Joint Surg, 60A: 423-431, 1978.










