Las fracturas extracapsulares de cadera en pacientes mayores de 85 años representan un desafío terapéutico debido a su alta vulnerabilidad y riesgo de complicaciones. Este estudio analiza la eficacia y seguridad de la artroplastia bipolar de cadera con vástagos femorales no cementados en esta población.
Materiales y métodosSe realizó un estudio retrospectivo en 3 hospitales de referencia, incluyendo 63 pacientes mayores de 85 años tratados entre 2019 y 2023. Se evaluaron variables clínicas, radiológicas y funcionales con un seguimiento mínimo de 12 meses. La función de la cadera se valoró mediante el Harris Hip Score (HHS).
ResultadosLa edad promedio fue de 86,7 años, con un predominio femenino (63,5%). El tiempo quirúrgico promedio fue de 46±7min y la pérdida sanguínea intraoperatoria fue de 220±40ml. La tasa de complicaciones fue baja: 14,2% presentó hipotensión leve, 1,6% fractura periprotésica, y se registraron casos aislados de hiperglucemia posquirúrgica e hipoalbuminemia, ambos resueltos favorablemente. El puntaje HHS promedio fue de 79±8 puntos a los 6 meses y 81±6 puntos a los 12 meses. El 71,4% de los pacientes recuperaron su capacidad ambulatoria previa. No se observaron hundimientos protésicos significativos ni dolor femoral.
ConclusiónLa artroplastia bipolar con vástagos no cementados de fijación distal es una alternativa segura y eficaz para el tratamiento de fracturas extracapsulares de cadera en pacientes mayores de 85 años, permitiendo rehabilitación temprana y reduciendo las complicaciones asociadas a la cementación y a la osteosíntesis.
Extracapsular hip fractures in patients over 85 years old represent a therapeutic challenge due to their high vulnerability and risk of complications. This study analyzes the efficacy and safety of bipolar hip arthroplasty with uncemented femoral stems in this population.
Materials and methodsA retrospective study was conducted at three referral hospitals, including 63 patients over 85 years old treated between 2019 and 2023. Clinical, radiological, and functional variables were evaluated with a minimum follow-up of 12 months. Hip function was assessed using the Harris Hip Score (HHS).
ResultsThe mean age was 86.7 years, with a female predominance (63.5%). The average surgical time was 46±7minutes, and intraoperative blood loss was 220±40ml. The complication rate was low: 14.2% experienced mild hypotension, 1.6% suffered a periprosthetic fracture, and isolated cases of postoperative hyperglycemia and hypoalbuminemia were promptly resolved. The mean HHS was 79±8 points at 6 months and 81±6 points at 12 months. A total of 71.4% of patients regained their pre-injury ambulatory status. No significant prosthetic subsidence or femoral pain was observed.
ConclusionBipolar hip arthroplasty with uncemented femoral stems appears to be a safe and effective option for treating extracapsular hip fractures in patients over 85 years old, allowing early rehabilitation and reducing complications associated with cementation and osteosynthesis.
Las fracturas de cadera en pacientes mayores de 85 años representan un desafío significativo para los cirujanos ortopédicos debido a la complejidad del tratamiento y a las complicaciones asociadas a las opciones terapéuticas convencionales. Históricamente, la osteosíntesis y la artroplastia parcial de cadera cementada han sido los enfoques predominantes en esta población1. Sin embargo, ambas técnicas presentan limitaciones importantes que pueden afectar la recuperación y el pronóstico de los pacientes de edad avanzada2.
La osteosíntesis, aunque ampliamente utilizada, puede asociarse a una inmovilidad postoperatoria prolongada, incrementando el riesgo de complicaciones médicas y deterioro funcional en este grupo de pacientes frágiles3. Por otro lado, la artroplastia parcial de cadera cementada, aunque proporciona una estabilización inmediata de la fractura, conlleva el riesgo de desarrollar el síndrome de implantación de cemento, una complicación potencialmente grave que puede tener consecuencias devastadoras en pacientes geriátricos.
En este contexto, la técnica de artroplastia bipolar de cadera utilizando vástagos femorales no cementados de fijación diafisaria surge como una alternativa innovadora y prometedora en el manejo de fracturas extracapsulares de cadera en pacientes mayores de 85 años. Esta técnica combina los beneficios de la estabilidad mecánica proporcionada por la artroplastia total de cadera con la preservación de la estructura ósea característica de la artroplastia parcial, sin los riesgos asociados al uso de cemento óseo.
En este estudio, exploramos la eficacia y seguridad de la artroplastia bipolar de cadera con vástagos femorales no cementados en pacientes geriátricos con fracturas extracapsulares de cadera, analizando los resultados clínicos, funcionales y radiológicos a corto plazo. Además, discutimos las implicancias clínicas y las consideraciones importantes en la selección de esta técnica quirúrgica en la población anciana, con el objetivo de mejorar la atención y el manejo de esta desafiante condición ortopédica.
Materiales y métodosDiseño del estudioSe llevó a cabo un estudio retrospectivo, multicéntrico, en 3 hospitales de referencia, incluyendo a pacientes mayores de 85 años con fracturas extracapsulares de cadera tratados mediante artroplastia bipolar utilizando vástagos femorales no cementados, entre junio de 2019 y octubre de 2023. Se recolectaron datos clínicos, radiológicos y funcionales, garantizando un seguimiento mínimo de un año.
Proceso de recopilación de datosLa recopilación de datos se realizó mediante la revisión sistemática de historias clínicas electrónicas y físicas de cada institución. Para minimizar errores de registro, los datos fueron extraídos por dos investigadores independientes y posteriormente verificados por un tercer revisor. Se creó una base de datos centralizada y anonimizada para preservar la confidencialidad de los pacientes.
Las variables recolectadas incluyeron:
- •
Datos demográficos (edad, sexo).
- •
Características de la fractura (clasificación de Boyd y Griffin).
- •
Detalles quirúrgicos (tiempo operatorio, tipo de prótesis, pérdida sanguínea).
- •
Complicaciones perioperatorias y postoperatorias.
- •
Tiempo hasta la deambulación.
- •
Evaluaciones funcionales mediante el Harris Hip Score (HHS).
- •
Hallazgos radiográficos (alineación de componentes, hundimiento, osteointegración).
Para reducir el sesgo de selección, se incluyeron de manera consecutiva todos los pacientes que cumplían con los criterios de inclusión durante el período de estudio. No se aplicaron exclusiones basadas en resultados clínicos. La variabilidad interinstitucional se controló utilizando protocolos quirúrgicos estandarizados y guías comunes de manejo postoperatorio en ambas sedes. La evaluación radiográfica fue realizada de forma independiente por dos radiólogos, y en caso de discrepancia, se llegó a un consenso mediante la revisión conjunta.
Selección de pacientesLos criterios de inclusión fueron:
- •
Fractura extracapsular intertrocantérica de cadera.
- •
Edad igual o superior a 85 años.
- •
Capacidad previa de deambulación independiente o asistida (Koval I-V).
Adicionalmente, se valoró la capacidad cognitiva y el estado funcional previo de los pacientes a través de los registros de valoración geriátrica al momento del ingreso. Se excluyeron pacientes con infecciones activas, trastornos metabólicos severos no compensados, deterioro cognitivo grave que impidiera la rehabilitación activa, o fracturas asociadas a tumores óseos.
La decisión de optar por artroplastia bipolar no cementada fue tomada por el equipo quirúrgico en consenso con el equipo interdisciplinario de geriatría, priorizando criterios de riesgo-beneficio para cada paciente.
Población de estudioSe seleccionaron consecutivamente todos los pacientes mayores de 85 años con fracturas extracapsulares de cadera tratadas quirúrgicamente durante el período del estudio. Para la evaluación del patrón de fractura se utilizó la clasificación de Boyd y Griffin; 24 pacientes presentaron fracturas tipo I, 32 pacientes presentaban fracturas tipo II y 7 eran tipo III. La geometría del fémur proximal correspondía al tipo Dorr B (28 casos) y Dorr C (35 casos).
Procedimiento quirúrgicoTodos los pacientes fueron sometidos a artroplastia bipolar de cadera mediante una técnica quirúrgica estandarizada. Realizamos la panificación preoperatoria siguiendo los preceptos de Ranco-Ferrando et al.4. Todos recibieron profilaxis antibiótica intravenosa habitual con 1g de cefazolina (2g si el peso del paciente superaba los 70kg), administrados en 3 dosis cada 8h. Asimismo, todos los pacientes recibieron 1g de ácido tranexámico antes de la cirugía, excepto 3 pacientes con antecedentes de enfermedad tromboembólica. El abordaje quirúrgico fue posterolateral.
Se utilizó un vástago femoral cónico estriado no cementado de fijación distal, seleccionado de acuerdo con las características anatómicas y la calidad ósea del paciente. El vástago utilizado en este estudio, MD6® (Vincula, Río Claro, Brasil), está fabricado en aleación de titanio y presenta una superficie altamente rugosa en toda su extensión. El vástago cuenta con 8 estrías longitudinales de bordes relativamente agudos destinadas a lograr un anclaje efectivo con la cortical femoral (fig. 1). La longitud promedio del vástago fue de 180mm y en todos los casos se utilizó una cabeza femoral de 28mm junto con un componente acetabular bipolar. El fresado del canal femoral se realizó siempre de forma manual.
Para medir la longitud del miembro inferior se utilizó palpación directa. La pelvis del paciente se posicionó verticalmente palpando y alineando ambas crestas ilíacas en el mismo plano vertical. La pierna operada se colocó sobre la pierna contralateral con el mismo ángulo de abducción y se alinearon ambos talones. Posteriormente, se palparon los polos de las rótulas para comprobar la longitud de los miembros inferiores.
Es importante destacar que nuestro método habitual para evaluar la longitud adecuada del miembro inferior en artroplastia total de cadera consiste en medir la distancia desde el trocánter menor hasta la bisectriz de las tuberosidades isquiáticas. Sin embargo, en el contexto de fracturas extracapsulares, esta referencia anatómica se pierde, lo que impide su utilización. La comparación intraoperatoria directa entre ambos miembros no representa el método más confiable y, en general, se asocia a una mayor proporción de discrepancias en la longitud de los miembros inferiores.
Análisis estadísticoSe realizó un análisis descriptivo de los datos recolectados. Las variables continuas se expresaron como media±desviación estándar o mediana (rango intercuartílico) según la distribución. Las variables categóricas se reportaron como frecuencias absolutas y porcentajes.
El consentimiento informado fue obtenido de todos los pacientes incluidos en el estudio, o de sus representantes legales, de acuerdo con los principios éticos de la Declaración de Helsinki.
ResultadosDescripción de la poblaciónSe incluyeron 63 pacientes en el estudio, con una edad promedio de 86,7 años (rango: 85-94 años). La distribución por género fue: 40 mujeres (63,5%) y 23 hombres (36,5%).
Todos los pacientes presentaban al menos una comorbilidad. Las comorbilidades observadas se detallan en la tabla 1.
Comorbilidades de los pacientes
| Comorbilidad | Número de pacientes (%) |
|---|---|
| Hipertensión arterial | 42 (66,6%) |
| Enfermedad coronaria | 15 (23,8%) |
| Insuficiencia cardíaca | 8 (12,7%) |
| Ictus | 6 (9,5%) |
| Cáncer | 5 (7,9%) |
| Diabetes mellitus | 14 (22,2%) |
| Desnutrición | 7 (11,1%) |
| Artritis reumatoide | 3 (4,7%) |
| Osteoporosis | 32 (50,7%) |
| EPOC/asma | 9 (14,3%) |
| Obesidad | 10 (15,9%) |
| Bajo peso corporal | 5 (7,9%) |
| Insuficiencia renal crónica | 6 (9,5%) |
| Enfermedad arterial obstructiva periférica | 4 (6,3%) |
El tiempo quirúrgico promedio fue de 46±7min, y la pérdida sanguínea intraoperatoria promedio fue de 220±40ml. Tres pacientes (4,7%) presentaron una pérdida sanguínea más significativa que requirió transfusión sanguínea, atribuida a antecedentes de enfermedad tromboembólica, para quienes no se administró ácido tranexámico.
Resultados clínicos y funcionalesComplicaciones perioperatorias y postoperatorias- •
Nueve pacientes (14,2%) requirieron infusión de fármacos vasoactivos por hipotensión leve.
- •
Un paciente (1,6%) sufrió fractura periprotésica secundaria a caída desde su propia altura a los 3 meses posquirúrgicos, resuelta con reposo.
- •
Seis pacientes (9,6%) presentaron discrepancia en la longitud de los miembros inferiores, que no superó los 5mm en ningún caso y no se asoció a síntomas clínicos.
- •
Dos pacientes (3,2%) desarrollaron hiperglucemia posquirúrgica, controlada exitosamente con ajuste del esquema de insulina.
- •
Dos pacientes (3,2%) presentaron hipoalbuminemia leve, corregida con soporte nutricional durante la hospitalización.
- •
Tres pacientes (4,8%) presentaron drenaje persistente de la herida quirúrgica; a todos se les modificó el esquema anticoagulante, suspendiendo la heparina de bajo peso molecular y administrando ácido acetilsalicílico 325mg/día.
- •
Un paciente (1,6%) presentó infección periprotésica aguda diagnosticada por criterios del segundo Consenso de Infecciones Periprotésicas (ICM). El paciente presentó 2 cultivos positivos fenotípicamente idénticos en 2 muestras de líquido sinovial obtenido de la artrocentesis ecoguiada previa a la cirugía (criterio mayor ICM)5. Requirió un procedimiento de desbridamiento, irrigación, recambio de componentes modulares y antibioticoterapia, logrando controlar el procedimiento infeccioso agudo (tabla 2).
Tabla 2.Complicaciones observadas
Complicación Número de pacientes (%) Hipotensión leve 9 (14,2%) Fractura periprotésica posquirúrgica 1 (1,6%) Discrepancia de longitud de miembros inferiores 6 (9,6%) Hiperglucemia posquirúrgica 2 (3,2%) Hipoalbuminemia posquirúrgica 2 (3,2%) Drenaje persistente de herida 3 (4,8%) Infección periprotésica aguda 1 (1,6%) - •
No se registraron fallecimientos durante la internación. Un paciente falleció en el primer mes postoperatorio (1,58%). La mortalidad al año fue del 9,52% (6 pacientes).
No se produjeron fracturas iatrogénicas durante la intervención quirúrgica.
Rehabilitación postoperatoriaLa rehabilitación se inició el mismo día de la cirugía mediante ejercicios de los miembros inferiores. Los pacientes se sentaron en cama a las 24h y comenzaron a deambular con carga parcial durante 3 semanas asistidos con andador a las 48h postoperatorias.
Evaluación funcionalLa función de la cadera fue evaluada mediante el Harris Hip Score (HHS):
- •
Puntaje promedio a los 6 meses: 79±8 puntos.
- •
Puntaje promedio a los 12 meses: 81±6 puntos.
La capacidad deambuladora se evaluó mediante las categorías de Koval6:
- •
Cuarenta y cinco pacientes (71,4%) recuperaron su estado ambulatorio previo a la fractura.
- •
Dieciocho pacientes (28,6%) experimentaron una pérdida de un nivel en su categoría de deambulación.
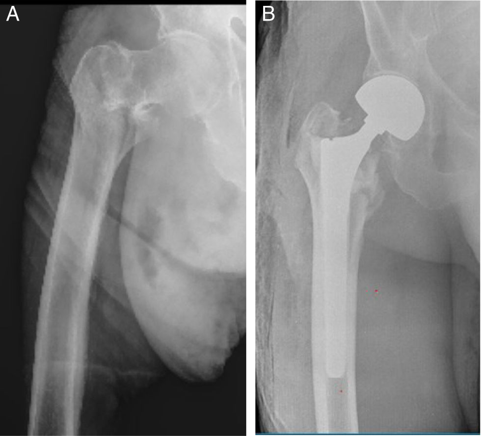
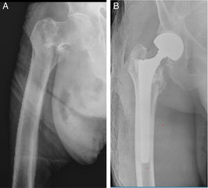
La alineación de los componentes fue adecuada en todos los casos (fig. 2). Se evidenció osteointegración diafisaria en las radiografías de control a los 6 meses posquirúrgicos. Se siguieron los criterios radiográficos de Engh et al.7, para evaluación de fijación de vástagos femorales no cementados evaluando ausencia de líneas radiolúcidas periimplante en zonas 2, 3, 4, 5 y 6 de Gruen, signos de remodelación ósea alrededor del vástago y confirmando la estabilidad del implante al año de la intervención. No se observaron hundimientos mayores de 5mm ni se reportó dolor femoral en ninguno de los pacientes.
DiscusiónLos resultados de este estudio demuestran que la artroplastia bipolar de cadera con vástagos femorales no cementados es una opción efectiva y segura para el tratamiento de fracturas extracapsulares de cadera en pacientes mayores de 85 años. La adecuada osteointegración de los componentes, la ausencia de complicaciones severas y la funcionalidad satisfactoria indican que este abordaje quirúrgico es seguro y beneficioso para este grupo etario.
Nuestros hallazgos son consistentes con las conclusiones de Kim et al., quienes señalan que el reemplazo primario de cadera no cementado es una indicación generalmente aceptada para fracturas intertrocantéricas con gran conminución y mala calidad ósea, que imposibilitan la reducción abierta y la fijación interna8. La elección de la artroplastia en nuestro estudio permitió que los pacientes cargaran peso y comenzaran la rehabilitación tempranamente, sin preocuparse por complicaciones como mala unión, no unión u osteonecrosis. En un estudio con 230 pacientes, Iosifidis et al. hallaron que la deambulación temprana tras una fractura de cadera fue el factor predictivo más importante para la supervivencia a largo plazo9.
La artroplastia parcial de cadera cementada y la osteosíntesis son opciones terapéuticas con ventajas y desventajas para tratar estas fracturas en pacientes ancianos. Cementar el canal femoral puede desencadenar el «síndrome de implantación de cemento», una causa importante de morbimortalidad en estos pacientes10,11. Este síndrome, de origen embólico y asociado al proceso de cementación, se caracteriza por hipotensión arterial, hipoxia, pérdida de conciencia, hipertensión pulmonar, insuficiencia ventricular derecha, arritmias y, eventualmente, paro cardíaco. Donaldson et al.12 distinguen tres grados de este síndrome según la gravedad del evento:
- •
Grado 1: descenso de saturación de O2 <94% o hipotensión <20% del valor preoperatorio.
- •
Grado 2: descenso de O2 <88%, hipotensión <40% del nivel preoperatorio y/o pérdida de conciencia.
- •
Grado 3: colapso cardiovascular.
La incidencia global es del 25-30% (grado 1: 21%, grado 2: 5,1%, grado 3: 1,7%). La fractura extracapsular de cadera y el uso de vástagos femorales largos son factores predisponentes. La mortalidad intraoperatoria en hemiartroplastias cementadas varía del 0,2% al 4,3%, mientras que a 30 días asciende al 9% y al 29% al año13.
Diversos estudios han señalado complicaciones asociadas a la osteosíntesis con tornillo deslizante o clavo cefalomedular en fracturas intertrocantéreas, como la pérdida de reducción y el acortamiento femoral. Haentjens et al. también destacaron una mayor incidencia de neumonía y úlceras por presión en pacientes con fijación interna, posiblemente relacionada con la restricción en la carga precoz14.
Sniderman et al., en un estudio comparativo con 150 pacientes, observaron que la hemiartroplastia permitió una movilización más temprana, menor pérdida sanguínea y menores tasas de reintervención, en comparación con la RAFI. Si bien presentaron más casos de desplazamiento trocantérico, esto no afectó los resultados funcionales15.
Dündar et al., en 132 pacientes mayores (promedio: 89,4 años), encontraron que tanto la hemiartroplastia no cementada con vástago largo como el clavo femoral proximal fueron efectivos, aunque destacaron la ventaja de la hemiartroplastia en cuanto a la movilización precoz y menor dependencia postoperatoria16.
De forma similar, Çiloğlu et al. y Çelen et al. reportaron menor tasa de complicaciones, menor mortalidad y menor tasa de fallos protésicos en los grupos tratados con hemiartroplastia no cementada respecto a los tratados con clavos femorales proximales17,18. Finalmente, Agar et al. concluyeron que ambos métodos quirúrgicos ofrecen resultados funcionales satisfactorios en pacientes ancianos con fracturas inestables19.
La conversión a artroplastia tras el fallo de osteosíntesis es compleja y de resultados inciertos, mientras que el reemplazo protésico en nuestro estudio restauró eficazmente la mecánica de la cadera y eliminó el riesgo de complicaciones futuras, como mala unión, no unión y necrosis avascular.
Si se opta por el reemplazo protésico en una fractura intertrocantérica, se prefiere un vástago femoral no cementado de fijación distal por la deficiencia del calcar, debido al menor riesgo de complicaciones cardiopulmonares relacionadas con el cemento óseo en pacientes ancianos5. Yoo et al. llevaron a cabo un metaanálisis y revisión sistemática comparando la hemiartroplastia bipolar cementada frente a la no cementada en pacientes ancianos con fracturas intertrocantéreas inestables. Se observó una mayor incidencia de discrepancias en la longitud de los miembros inferiores (>1cm) en el grupo cementado, lo que sugiere una menor tasa de hundimiento protésico en las hemiartroplastias no cementadas20. Cankaya et al. evaluaron la fiabilidad de la hemiartroplastia cementada frente a la no cementada en 86 pacientes mayores con fracturas intertrocantéreas inestables. La hemiartroplastia sin cemento demostró ser una opción segura, con movilización temprana, resultados funcionales satisfactorios, menores tiempos quirúrgicos, menor pérdida de sangre y menor mortalidad perioperatoria. No se observaron aflojamientos del implante, osteólisis, pseudoartrosis del trocánter mayor ni casos de inestabilidad o hundimiento protésico21. Park et al. concluyeron que los resultados clínicos y la estabilidad mecánica logrados con este diseño de fijación distal y estriado son comparables o incluso superiores a otros diseños de vástagos no cementados en revisiones femorales para deficiencia femoral proximal22.
Respecto a la fijación del fragmento posteromedial o del trocánter mayor, Chu et al. reportaron que, al tratar fracturas inestables intertrocantéricas con vástagos monobloque cónicos estriados, todas las fracturas de la región trocantérica sanaron adecuadamente, independientemente de la fijación del fragmento23. Resultados similares fueron descritos por Zha et al.24. Kang et al. lograron excelentes resultados clínicos y radiográficos realizando hemiartroplastias bipolares utilizando vástagos no cementados de fijación distal en fracturas osteoporóticas de cuello femoral en pacientes con fémures tipo Dorr B y C25.
Este tratamiento quirúrgico no solo demostró un bajo índice de complicaciones en el perioperatorio, sino también en el seguimiento a mediano plazo, permitiendo una rehabilitación más segura y sostenida en pacientes de alta fragilidad16,26-29. La elección de una técnica que favorece la osteointegración y evita las complicaciones asociadas al cemento y osteosíntesis constituye un avance significativo en la mejora de los resultados funcionales y en la reducción de la morbimortalidad en este grupo etario.
Fortalezas y limitaciones del estudioLas fortalezas del estudio incluyen la población específica bien definida, el tamaño de muestra razonable para este tipo de población, el protocolo quirúrgico estandarizado, la rehabilitación temprana documentada, las evaluaciones objetivas de resultados y las complicaciones postoperatorias cuidadosamente registradas. Las limitaciones incluyen el diseño retrospectivo, la ausencia de grupo control, la falta de aleatorización (todos los pacientes fueron tratados con la misma técnica sin aleatorización, lo que impide controlar factores de confusión no medidos) y el seguimiento relativamente corto.
ConclusiónLos resultados de este estudio sugieren que la artroplastia bipolar de cadera con vástagos femorales no cementados es una opción viable y segura para pacientes mayores de 85 años con fracturas extracapsulares de cadera. Esta técnica permite una rehabilitación temprana y reduce el riesgo de complicaciones asociadas a la cementación y la osteosíntesis.
Nivel de evidenciaNivel de evidencia IV.
Consentimiento informadoSe obtuvo el consentimiento informado pese a la naturaleza retrospectiva del estudio.
Aprobación éticaEl estudio fue realizado de manera retrospectiva y aprobado por el Comité de Ética de nuestra institución. Todos los procedimientos realizados en estudios que involucraron participantes humanos se llevaron a cabo de acuerdo con los estándares éticos de nuestra institución y con la Declaración de Helsinki de 1964 y sus enmiendas posteriores o estándares éticos comparables.
Declaración sobre el uso de la IA generativa y de las tecnologías asistidas por la IA en el proceso de redacciónDurante la preparación de este trabajo, el autor o autores utilizaron Chat GPT con el fin de mejorar la legibilidad y el lenguaje. Después de utilizar esta herramienta, el autor o autores revisaron y editaron el contenido según fuera necesario y asumen toda la responsabilidad del contenido de la publicación.
FinanciaciónNinguna.
Conflicto de interesesNinguno.
Javier Pizarro.
Andrés Scarcella.




