Las infecciones bucodentales son una causa frecuente de infección hematógena de prótesis de cadera. La clínica habitual de estas infecciones es un cuadro de dolor e impotencia funcional en la cadera que rara vez se asocia a fiebre y a malestar general. Habitualmente, la extensión de esta infección es hacia la fistulización cutánea.
Caso clínicoVarón de 62 años portador de prótesis de cadera que ingresa para estudio por un dolor lumbar atípico irradiado a muslo. Tras descartar una causa raquídea de este dolor, se encuentra como causa del dolor un absceso en el músculo ilíaco en relación con una infección protésica de cadera. El sujeto había presentado una infección bucodental un mes antes.
ConclusiónLa infección por vía hematógena desde un origen bucodental es una causa frecuente de infección protésica tardía. La fistulización hacia retroperitoneo es excepcional, del mismo modo que su presentación como cuadro agudo con escasos indicadores de infección.
Buccodental infection is a frequent cause for hematogenous infection of a hip prosthesis. Common symptoms in these cases are pain and functional impotence of the hip, occasionally associated to fever and generalized discomfort. Normally the infection evolves towards cutaneous fistulization.
Case reportWe present the case of a 62-year-old male with a hip prosthesis admitted for atypical lumbar pain irradiated to the thigh. Once spinal injury was ruled out, the pain was found to stem from an abscess in the iliac muscle associated with an infection in the patient's hip prosthesis. The patient had sustained a buccodental infection one month before.
ConclusionHematogenous infection of a buccodental origin constitutes a frequent cause of late prosthetic infection. Fistulization in the retroperitoneal area is uncommon, as is acute presentation with few infection indicators.
La diseminación hematógena es la causa más frecuente de infección tardía de las artroplastias de cadera, y la flora orofaríngea es uno de los principales focos de siembra bacteriana. Hasta un 6%1 de las infecciones tardías de cadera y hasta un 11% de las infecciones de rodilla2 tienen su origen en problemas dentarios.
La evolución natural de las infecciones tardías de cadera es la de una clínica subaguda local asociada a un cuadro séptico general. Habitualmente, la fistulización de las colecciones purulentas es hacia piel y es excepcional una fistulización interna hacia retroperitoneo, tal como sucedió en el caso que se presenta a continuación.
Caso clínicoVarón de 62 años que acude al Servicio de Urgencias de este hospital por dolor de inicio agudo en la región lumbar, en la región inguinal izquierda y en la cara anterior del muslo izquierdo. Este cuadro se había iniciado de manera brusca 3 días antes. El sujeto no refiere antecedentes traumáticos.
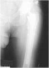
El sujeto es portador de una prótesis total de cadera izquierda no cementada desde hacía 22 años. Cuatro años antes se había realizado un recambio de cotilo por aflojamiento aséptico de éste (fig. 1).
Entre sus antecedentes médicos presenta una cardiopatía dilatada asociada a fibrilación auricular, esteatosis hepática y dislipidemia, así como un accidente cerebrovascular hacía 4 años; desde este episodio el sujeto recibe anticoagulación oral.
El sujeto no presenta alteraciones en las constantes vitales (temperatura, frecuencia cardíaca y presión arterial). Tampoco hay dolor a la palpación abdominal. Presenta una lumbalgia difusa (algo más dolorosa del lado izquierdo) sin dolor a la palpación de apófisis vertebrales y con puñopercusión renal negativa. La exploración neurológica de las extremidades inferiores es normal. La maniobra de Lassègue es negativa en ambas extremidades, pero aparece dolor en la región lumbar izquierda irradiado hacia la región crural al realizar una maniobra Lassègue invertida.
La analítica realizada en Urgencias muestra un recuento de leucocitos de 15×109/l con desviación izquierda. Respecto a los marcadores séricos de inflamación, éstos se presentan elevados, con una proteína C reactiva (PCR) de 33,6mg/ml y una velocidad de sedimentación globular (VSG) de 69mm/h.
En la radiología simple se observan signos incipientes de espondiloartrosis en la columna lumbar y no hay hallazgos patológicos en la cadera.
Ante la gravedad del cuadro álgico que presenta el sujeto, se decide su ingreso para estudio y tratamiento.
Durante la evolución, el dolor no mejora con tratamiento analgésico y antiinflamatorio. Ante la sospecha de una causa raquídea que justifique la lumbalgia, se realiza una resonancia magnética (RM) de columna lumbosacra, donde se visualizan 2 hernias lumbares foraminales derechas (tercera a cuarta vértebra lumbar y cuarta a quinta vértebra lumbar) con cambios degenerativos. Las características del cuadro clínico no se consideran compatibles con los resultados de la RM.
Ante la sospecha de aflojamiento de la prótesis de cadera como causa del cuadro clínico se solicita una gammagrafía. Para descartar afección abdominal se realiza una ecografía, en la que se observa una colección de líquido hiperecogénica en el espesor del músculo ilíaco, ante lo que el ecografista decide realizar una tomografía computarizada (TC).
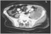
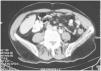
En la TC se observa una colección complicada en el espesor del músculo ilíaco izquierdo que se extiende por la grasa preparietal izquierda y el espacio pararrenal posterior izquierdo. La colección (de 25×10×7cm) se extiende hasta la región posterior de la cúpula diafragmática izquierda. Las imágenes evidencian una clara comunicación de la prótesis de cadera con la colección purulenta (fig. 2).
Cuando se hace nuevamente la historia clínica del sujeto, éste reconoce haber tenido un episodio de flemón dentario un mes antes del inicio del dolor lumbocrural.
Se decide intervenirlo quirúrgicamente con el fin de evacuar la colección purulenta y limpiar los tejidos infectados. Para esto se aborda la cadera por la vía anterolateral previamente utilizada para la implantación de la prótesis total. Tras el drenaje, la limpieza y la toma de cultivos, se procede a la extracción de la prótesis (ninguno de los componentes estaba movilizado) y a la colocación de un espaciador de cemento con antibiótico (fig. 3).
Tras la intervención quirúrgica se administra un tratamiento antibiótico empírico con piperacilina y tazobactam. Este tratamiento antibiótico se sustituye por amoxicilina con ácido clavulánico intravenoso después de conocer los resultados de los cultivos intraoperatorios positivos para Streptococcus constellatus y Streptococcus viridans.
Ocho días después de la intervención quirúrgica se realiza TC de control en la que se observa una colección residual; esta colección se punciona bajo control ecográfico y se drenan 280 cc de material purulento.
Se da de alta al sujeto con tratamiento antibiótico oral tras 64 días de ingreso hospitalario y 34 días de tratamiento antibiótico intravenoso. En el momento del alta los controles radiológicos son normales y los marcadores séricos de inflamación se encuentran normalizados, a excepción de la VSG que permanece elevada.
Durante el tiempo en el que permanece implantado el espaciador se sugiere al sujeto que solucione sus problemas bucodentales; así, se le realizan 2 intervenciones para extracción de piezas dentales.
A los 7 meses de la primera intervención se procede al segundo tiempo del recambio protésico y se implanta una prótesis de revisión S-ROM con cotilo oblongo (fig. 4).
Todos los cultivos obtenidos durante esta segunda intervención son negativos.
La evolución posterior del sujeto es satisfactoria y en estos momentos se encuentra asintomático (fig. 5).
DiscusiónSe ha presentado un caso de infección tardía de prótesis de cadera desde un foco odontogénico, con fistulización secundaria de las colecciones hacia la superficie interior de la pala ilíaca, que diseca el músculo ilíaco de esta superficie y asciende por el retroperitoneo hasta el diafragma.
La bacteria causante de la infección fue S. viridans, considerado el microorganismo más frecuentemente involucrado en las infecciones protésicas de origen bucodental1. En el caso aquí presentado, el foco a distancia de la infección protésica y del absceso secundario fue una infección bucodental que tuvo manifestaciones clínicas un mes antes del inicio del cuadro.
También las manipulaciones dentales están frecuentemente asociadas a las infecciones protésicas tardías. Según algunos autores, hasta un 6% de las infecciones que aparecen 6 meses después de la cirugía tienen su origen en extracciones de piezas dentarias, actuaciones sobre las raíces dentales o procedimientos periodontales realizados sin profilaxis antibiótica1. La causa de estas infecciones radica en que durante estas manipulaciones se produce una bacteriemia transitoria de aproximadamente 30min de duración, que puede ser la causa de una siembra a distancia3.
La clínica de estas infecciones tardías desde focos odontogénicos suele ser más larvada que en el caso presentado. Suele manifestarse fundamentalmente por una coxalgia no incapacitante con la carga y con los movimientos de la cadera. La fiebre y las alteraciones analíticas indicativas de infección (leucocitosis, aumento de la VSG y de la PCR) suelen ser constantes.
La fistulización de la infección protésica hacia el interior de la pelvis, es decir, el drenaje en sentido ascendente, así como la formación de un absceso en el interior de un vientre muscular intraabdominal son excepcionales. Sólo se ha encontrado en la literatura médica otro caso similar causado por Escherichia coli; este caso se resolvió mediante drenaje (abierto más percutáneo) del absceso y tratamiento antibiótico, y no fue necesario realizar la extracción del material protésico4. Sin embargo, son más frecuentes las artritis sépticas de cadera secundarias a abscesos del psoasilíaco5 o secundarias a fistulizaciones de origen pélvico6,7, es decir, drenaje de la colección purulenta en sentido descendente (absceso osifluente clásico de Pott).
Como consideración final, los autores de esta nota creen que para evitar este tipo de infecciones de prótesis articulares es necesario incluir la higiene bucodental entre las recomendaciones previas a las intervenciones quirúrgicas de sustitución protésica de articulaciones.
Conflicto de interesesLos autores de este trabajo declaran no tener ningún conflicto de intereses en relación con éste.







