El propósito de este estudio ha sido estudiar la correlación de la medida del espesor radiológico en el cáncer de lengua en el estudio prequirúrgico por resonancia magnética respecto al espesor anatomopatológico tras la resección tumoral. El espesor tumoral es un factor predictivo para la presencia de metástasis cervicales, además de ser un factor pronóstico independiente para la supervivencia global y libre de enfermedad. La medida del espesor en estadios precoces es crucial para determinar la actitud terapéutica en estos pacientes.
Material y métodoAnálisis retrospectivo de 15 pacientes intervenidos en el Servicio de Cirugía Maxilofacial del Hospital Regional Universitario Carlos Haya en el periodo 2008-2010. Se realizaron mediciones del espesor radiológico por resonancia magnética en secuencias T1 con contraste y se estudió la correlación respecto al espesor anatomopatológico de la pieza quirúrgica.
ResultadosAl realizar el test de correlación lineal de Pearson con ambas medidas hallamos un índice de correlación del 0,897, lo cual apunta hacia una correlación positiva y fuerte.
ConclusionesLa resonancia magnética es útil en la evaluación prequirúrgica en el cáncer de lengua y ha demostrado ser una prueba diagnóstica fiable en la medición del espesor tumoral.
The aim of this study was to analyse the correlation between the radiological thickness of cancer of the tongue in the pre-surgical study using magnetic resonance imaging and the histopathological thickness after the tumour resection. The tumour thickness is a predictive factor for the presence of neck metastases, as well as an independent prognostic factor of overall and disease free survival. The measuring of the thickness in the early stages is essential to determine the therapeutic response in these patients.
Material and methodA retrospective analysis was performed on 15 patients subjected to surgery in the Maxillofacial Surgery Department HRU Carlos Haya in the period 2008-2010. Measurements of the radiological thickness were made using magnetic resonance in T1 sequences with contrast, and the correlation with histopathological thickness of the surgical piece was analysed.
ResultsUsing the Pearson linear correlation test with both measurements, there was a correlation of 0.897, which indicated a positive and strong agreement.
ConclusionsMagnetic resonance is useful in the pre-surgical evaluation in cancer of the tongue and has shown to be a reliable diagnostic test for measuring tumour thickness.
La lengua representa la localización más frecuente de tumores primarios de cavidad oral, alcanzado el 36%. El 90% son de estirpe escamocelular y su principal vía de diseminación es de la vía linfática a los ganglios linfáticos cervicales1.
El tratamiento del carcinoma de lengua va encaminado al control de la enfermedad local o tumor primario y de la enfermedad regional a nivel de los ganglios linfáticos cervicales.
El tratamiento del cuello generalmente está condicionado por el estadio clínico. Los carcinomas de lengua metastatizan principalmente en niveles i-iii ipsilaterales, por lo que, si decidimos tratar de forma quirúrgica el cuello, se realiza una disección supraomohioidea2.
En estadios i y ii con adenopatías positivas se opta por la disección cervical o radioterapia cervical si este ha sido el tratamiento del tumor primario. La disección cervical en estadios iiiy iv está indicada, aun siendo N0.
El tratamiento del cuello N0 en estadios precoces es causa de discusión. Algunos autores son partidarios de la disección cervical electiva mientras otros consideran como elección la observación y el tratamiento del cuello en el momento que se produzca su afectación, causando así una demora terapéutica en el caso de que este presentara micrometástasis en el momento del tratamiento del tumor primario3.
Se ha visto que hasta el 20-50% de los carcinomas epidermoides de lengua en estadio inicial presentan metástasis cervicales ocultas, de ahí la importancia de buscar índices predictivos para hacer una adecuada selección del tratamiento4,5.
La presencia de metástasis ganglionares cervicales es el principal factor pronóstico para la supervivencia, por lo que los factores que influyan en el desarrollo de la metástasis tendrán una importancia pronóstica en nuestros pacientes6-8.
Dentro de estos factores, el espesor tumoral ha demostrado su influencia para la supervivencia en el cáncer de lengua, para el riesgo de recidiva tumoral, así como para la presencia de metástasis subclínicas4,9,10.
Sin embargo, la medición del espesor del tumor tras la resección quirúrgica no modifica la estrategia terapéutica, de ahí la importancia de buscar una forma precisa y reproducible de medir el espesor antes de la intervención.
El objetivo principal de nuestro estudio consiste en comparar si el espesor medido por resonancia magnética (RM) en el estudio prequirúrgico en el cáncer de lengua se correlaciona con el espesor medido en la pieza quirúrgica tras la resección tumoral, identificando así, previa intervención quirúrgica, a los pacientes que por el riesgo de presentar metástasis cervicales subclínicas sí se beneficiarían de una disección cervical reglada. Por último, se podrán excluir de esta a los que no la precisaran por bajo riesgo de extensión cervical, disminuyendo así la morbilidad de la intervención.
En la actualidad, no existen muchos trabajos publicados sobre este tema. Los resultados comparativos, además de haber sido estimados en un número bajo de pacientes analizados, son dispares tanto en la medida del espesor como indicador de metástasis, así como en la medida de la sobreestimación del espesor por RM4,5,9,11,.
Todo esto nos lleva a justificar el objetivo principal de este estudio. Por ello, se analizará la correlación existente entre el espesor radiológico medido por RM en el estudio prequirúrgico en el cáncer de lengua respecto al espesor anatomopatológico de la pieza quirúrgica tras la resección tumoral.
Material y métodoAnálisis retrospectivo a partir de una muestra de 15 pacientes con carcinoma de lengua intervenidos en el Servicio de Cirugía Maxilofacial del Hospital Regional Universitario Carlos Haya de Málaga desde el 1 de enero de 2008 hasta el 31 de diciembre de 2010. Todos los pacientes presentaban un tumor primario de lengua, de estirpe escamocelular y localizado en la lengua libre. Fueron catalogados como N0 clínico, ya que no presentaban adenopatías palpables.
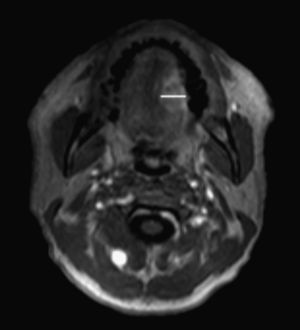
En el estudio preoperatorio se realizó el estudio radiológico de la tumoración por RM en nuestro centro, con el mismo equipo, tras la administración de contraste con gadolinio, y se objetivó la medida del espesor tumoral. En nuestro centro la resonancia de cabeza y cuello se realiza en un equipo PHILIPS INTERA 1,5 T. Las secuencias básicas que se emplean en los estudios ante una sospecha diagnóstica de cáncer de lengua son: T1 turbo spin echo (TSE) como estudio basal para valorar la anatomía y previo a la inyección de contraste, short T1 inversion recovery (STIR) y estudio dinámico sobre T1 con supresión de grasa en la fase arterial, capilar y tardía. Se inyectan 10ml de gadolinio (GADOVIST® de BAYER) a velocidad de 2ml/s con lavado posterior de suero. El empleo de gadolinio de forma rutinaria es fundamental para conseguir una correcta definición del tumor y poder valorar extensión perineural.
La cuantificación del tamaño tumoral se realiza en la secuencia dinámica, ya que es la que mejor define el margen tumoral al aumentar la señal de este tras la administración de gadolinio. Se obtiene la medición en el plano axial y coronal (fig. 1).
Para la medición del espesor hemos tenido en cuenta la metodología de medición del espesor empleado por los anatomopatólogos de nuestro centro con el fin de evitar sesgos y que las 2 medidas sean concordantes.
El espesor se define como la medida de mayor infiltración en profundidad de la lesión.
Radiológicamente la medida del espesor corresponde a la medida de mayor dimensión perpendicular a la tangente del margen mucoso (existente o figurado) en el punto de mayor infiltración.
En el mismo acto quirúrgico, además de la resección de la tumoración lingual, se realizó disección cervical reglada para el estudio histológico de la presencia o no de adenopatías.
Las muestras fueron analizadas en el Servicio de Anatomía Patológica de nuestro centro y en todas ellas se determinó la medida del espesor tumoral.
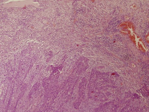
Tras la resección tumoral, la pieza quirúrgica se fija en formaldehído. El análisis de esta comienza por una descripción macroscópica de la pieza, así como del tumor que incluye. Aquí se toman mediciones de 2 dimensiones: longitudinal y transversal. Posteriormente, se pintan los márgenes de resección con tinta negra y se realizan cortes perpendiculares al eje longitudinal de la pieza, establecidos por la señalización en quirófano del margen anterior de la pieza, a unos 2-3mm de distancia. Es aquí cuando se obtiene la medida del espesor, siendo esta la de mayor dimensión desde el borde tumoral existente o figurado, en lesiones ulceradas, hasta el margen más profundo de la lesión.
Después se procede a la fijación de la pieza con parafina y a los cortes laminares con microtomo para posteriormente teñir los cortes con hematoxilina y eosina para el estudio microscópico de la lesión con microscopio óptico (fig. 2).
ResultadosPara el análisis estadístico de los datos hemos utilizado el programa SPSS 19.0.
Un total de 15 pacientes fueron intervenidos con una edad media de 59- 73 años (de 52-63 y de 66-84). La proporción de varones fue mayor, suponiendo el 60% (n=9).
En la tabla 1 podemos ver los resultados recogidos en cuanto a las medidas del espesor radiológico y anatomopatológico, así como la presencia o no de adenopatías. Se incluye además la estadificación T, tanto radiológica como anatomopatológica (tabla 1).
Medida del espesor radiológico y anatomopatológico, así como la presencia de metástasis cervicales en los distintos pacientes que componen la muestra
| Paciente | T AP (mm) | T RMN (mm) | Espesor AP (mm) | Espesor RMN (mm) | N AP | N RM |
| 1 | T2 | T1 | 2 | 7 | - | + |
| 2 | T1 | T2 | 13 | 20,3 | - | - |
| 3 | T2 | T2 | 8 | 15,7 | + | - |
| 4 | T2 | T3 | 21 | 22,4 | - | - |
| 5 | T2 | T2 | 13 | 13,6 | - | - |
| 6 | T3 | T2 | 13 | 19 | - | + |
| 7 | T2 | T2 | 4 | 10 | - | + |
| 8 | T2 | T2 | 3 | 9 | + | + |
| 9 | T2 | T2 | 11 | 15 | + | + |
| 10 | T2 | T2 | 17 | 24 | + | + |
| 11 | T1 | T1 | 7 | 12 | - | - |
| 12 | T1 | T1 | 4 | 9 | - | + |
| 13 | T1 | T2 | 14 | 15 | + | + |
| 14 | T2 | T2 | 14 | 15 | - | + |
| 15 | T2 | T2 | 9 | 15 | + | + |
El 33% (n=5) de nuestros pacientes presentaron adenopatías cervicales y el 40% (n=6) no presentaba hábitos tóxicos. En el análisis de las variables cualitativas no hemos hallado asociación estadísticamente significativa entre el sexo, la presencia de adenopatías cervicales y la presencia o ausencia de hábitos tóxicos.
La media del espesor anatomopatológico fue de 10,22mm (7,15-13,28). Y la media del espesor radiológico 14,8mm (12,02-17,57). Al realizar el test estadístico de Student para muestras emparejadas observamos que las 2 medidas son distintas.
Para estudiar la correlación entre las 2 variables al realizar el test de correlación de Pearson obtenemos un índice de correlación de 0,897, lo cual orienta hacia una correlación elevada y significativa sin olvidar, sin embargo, la limitación del tamaño muestral de nuestro estudio (fig. 3).
En los datos recogidos se objetiva una sobreestimación de la estadificación T por RM de forma generalizada, así como del estadio N, aunque la correlación de estos 2 parámetros sobrepasa los objetivos de este estudio.
DiscusiónDentro de los factores pronósticos en el carcinoma de lengua, la presencia de metástasis cervicales ha demostrado ser el principal factor pronóstico para la supervivencia5,7,8,10,12-14.
La recurrencia ganglionar, como consecuencia de metástasis subclínicas, es el principal problema en el manejo de estadios tempranos del carcinoma de lengua, por lo que un estudio clínico del cuello es parte esencial de la evaluación preoperatoria15.
La ecografía, la TC y la RMN han mejorado la sensibilidad en la detección de metástasis cervicales16,17. Pero las micrometástasis no son detectables por pruebas de imagen convencionales. De ahí que el 20-50% de estadios T1, T2, N0 y Mo presentan metástasis ocultas4.
El tratamiento profiláctico de cuellos clínicamente negativos en función de un modelo de evaluación pronóstica ha sido foco de investigación por muchos años.
Las indicaciones de disección cervical se basarán en parámetros pronósticos hasta que la tecnología esté disponible para detectar micrometástasis.
Hay numerosos estudios sobre factores pronósticos para la recurrencia locorregional. Asakage estudió 44 pacientes en estadios i y ii tratados con glosectomía parcial y estudió varios parámetros como la diferenciación, edad, estadio clínico, etc. En el análisis multivariante el único factor predictivo para la presencia de metástasis cervicales fue el espesor tumoral. Al-Rajhi también coincidió en señalar el espesor tumoral como factor pronóstico independiente para el aumento de la supervivencia global y libre de enfermedad; además, aporta información sobre el riesgo de metástasis ocultas. Yuen evaluó el estadio, grosor, forma, grado de malignidad, características patológicas, etc.; el único parámetro significativo que encontró como valor predictivo para la presencia de metástasis subclínicas, recurrencia local y supervivencia fue el espesor tumoral5,9-11,.
Para determinar el espesor tumoral tenemos distintas opciones:
- -
Palpación clínica simple: desechada por ser inexacta, no fiable e incoherente.
- -
Análisis intraoperatorio del espesor de la muestra: plantea el problema de la necesidad de procesamiento de muestras y no se considera factible en el momento actual.
- -
Ecografía: aporta unos resultados satisfactorios para el estadiaje y en la medición del espesor tumoral, pero presenta unos inconvenientes tales como: no visualiza lesiones superficiales, dificultad para determinar la extensión en lesiones de gran tamaño, es una exploración dolorosa para el paciente y los resultados son operador dependiente.
- -
TC: presenta una menor resolución en tejidos blandos, presencia de artefactos por amalgamas dentales y
- ∘
Se ha visto que hay una diferencia estadísticamente significativa en la medida del espesor tumoral por TC en relación al espesor AP18.
- ∘
- -
RM: es satisfactoria en la evaluación del tumor. El tumor presenta mayor intensidad de señal que el tejido normal de lengua. El uso de contraste y la alta resolución mejora aún más la visualización del tumor.
- ∘
La RM puede ser utilizada satisfactoriamente para medir el espesor tumoral. Hay correlación estadísticamente significativa entre el espesor AP y las secuencias T1 y T2 de la RM19.
- ∘
- -
En este estudio Iwai observa que en las secuencias T1 el espesor tumoral es 0,8mm mayor que el espesor anatomopatológico y en las secuencias T2 hasta 2mm mayor. Esto se debe, entre otras causas, a la contracción y distorsión de la muestra durante la realización de la glosectomía y a la manipulación de la muestra durante su procesamiento para el estudio anatomopatológico. La mayor discrepancia en las secuencias T2 puede ser debida a que las imágenes de edema e inflamación muestran mayor intensidad que en las secuencias T1, por lo que se recomienda la realización de secuencias T1 para la evaluación del grosor tumoral y estadificación preoperatoria.
Se está considerando la RM como prueba diagnóstica de elección para medir el espesor tumoral, aporta un mejor planteamiento terapéutico y tiene importancia pronóstica. Estudios recientes demuestran que la medida del espesor tumoral en pruebas de RM se correlaciona directamente con el espesor histológico de la muestra4,6,19,20.
No hay estudios suficientes que establezcan una medida a partir de la cual se indique tratamiento del cuello N0; los datos de los que disponemos hasta la fecha sobre cuál es el espesor sobre el que la disección cervical es obligatoria va desde 1,5 hasta 6mm4,5,9,11,21.
ConclusionesLos estudios por RM proporcionan datos útiles para la evaluación pronóstica del tumor además de ayudar a planificar la estrategia terapéutica.
La RM es la prueba de imagen indicada en la evaluación tumoral prequirúrgica y se puede utilizar satisfactoriamente para la medición del espesor tumoral.
El objetivo de nuestro estudio ha sido evaluar la fiabilidad de la medición del espesor por RM respecto al análisis histológico de la pieza. Los resultados tras el análisis descriptivo orientan hacia una correlación positiva y fuerte y deben ser corroborados con un estudio de mayor envergadura.
Derecho a la privacidad y consentimiento informado. Los autores declaran que en este artículo no aparecen datos de pacientes.
Confidencialidad de los datos. Los autores declaran que en este artículo no aparecen datos de pacientes.
Protección de personas y animales. Los autores declaran que para esta investigación no se han realizado experimentos en seres humanos ni en animales.
Conflicto de interesesLos autores declaran no tener ningún conflicto de intereses.






