El fibroma desmoplásico es una lesión neoplásica relativamente rara. Se considera un tumor primario de hueso, que se presenta comúnmente en la región mandibular. Se define como un tumor benigno caracterizado por la formación de abundante matriz y fibras colágenas. En marzo de 2004 se presenta el caso de un paciente de 15 años, varón, con aumento gradual en la región derecha de la mandíbula de 4 meses de evolución. Se manifiesta asintomático, con aumento de volumen, con una apariencia radiográfica y tomográfica bien delimitada radiolúcida. A la exploración se observa un infiltrado a través de la cortical lingual. La lesión es similar a las descritas en la literatura de fibroma desmoplásico.
Desmoplastic fibroma (fibromatosis) is rarely seen a primary tumor of bone. Its occurrence as a central lesion in the jaws is even more uncommon. It is rare tumor of bone, especially in the mandibule. In march 2004, a 15 year-old boy presented, with a 4 month history of gradual enlargement of the right mandibule. Painless intraoral and extraoral swelling, the cortical plate of bone overlying the lesions is expanded with thinning, erosion, and infiltration into the surrounding tissues. The lesion is similar to the one described on the articule.
El fibroma desmoplásico es un raro tumor miofibroblástico que comprende menos del 1% de los tumores óseos incluyendo neoplasias benignas1. Estas manifestaciones de fibromatosis agresivas fueron descritas por primera vez por Jaffe en 19582, que encontró esta patología en diferentes huesos, como la tibia, la escápula o el fémur. El primer caso publicado de fibroma desmoplásico se atribuye a Griffith e Irby en 19653, y desde esa fecha numerosos casos han sido publicados. El modo de tratamiento de esta patología es controvertido, al igual que sus variables, el seguimiento, que es complementado con el análisis clínico-patológico, y las características radiográficas4.
En la revisión de la literatura de los 40 años previos al año 2002 existe el reporte de 74 casos, con predilección por mujeres frente a hombres. La neoplasia ocurre en un amplio rango de edad, extendiéndose de la primera a la sexta décadas de la vida con un 84% de pacientes jóvenes de 30 años de edad de promedio; la mayoría de los casos involucra la mandíbula, y el resto, los maxilares. Los signos y síntomas son también variados, en un 65% de casos se presenta asintomático, comenzando solo con un aumento de volumen. En alguno de los casos se presenta con dolor intenso, en otros, con limitación a la apertura bucal, y en un bajo porcentaje con movilidad dental; cuando se presenta en maxilar puede ocasionar proptosis del globo ocular5.
Con respecto a las características radiográficas, de los casos publicados, se presenta con zonas multiloculares en radiografías convencionales y el resto se presenta como unilocular, y otras como componente mixto con zonas radiolúcidas radio-opacas6. Se ha encontrado perforación de corticales y otros causan expansión de las mismas. Puede causar desplazamiento dental con o sin resorción radicular en un bajo porcentaje7. Se ha informado de esta neoplasia en diferentes partes del cuerpo, con iguales características radiográficas que las que se presentan en la región maxilofacial8.
Caso clínicoSe trata de un paciente de 15 años, sin antecedentes de relevancia. Al examen clínico-radiográfico se observa un aumento de volumen en región preauricular derecha de 4 meses de evolución, asintomático (fig. 1). Se realiza toma de biopsia incisional de la región retromandibular con el diagnóstico de fibroma desmoplásico, el cual fue corroborado con el estudio de toda la lesión.
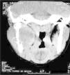
Radiográficamente existe una zona radiolúcida multilocular a nivel de la rama ascendente de la mandíbula (fig. 2) y en la tomografía axial computarizada (TAC) con expansión a tejidos blandos (fig. 3).
Las pruebas de laboratorio se encuentran en parámetros normales. En el procedimiento quirúrgico se realiza resección en bloque con abordaje submandibular, abarcando hasta la región del cóndilo (fig. 4); posteriormente se coloca clavo de Kirchner (fig. 5) para mantener el espacio de la zona del tumor.
La lesión es enviada a estudio, que corrobora el diagnóstico de fibroma desmoplásico similar a la biopsia previa (fig. 6). El paciente se encuentra hasta la fecha en control de dos años con favorable evolución y sin datos de recidiva.
DiscusiónEl fibroma desmoplásico es definido por la Organizacion Mundial de la Salud como un raro tumor intraóseo benigno que es homólogo al tejido blando, tumor desmoide o fibromatosis con celularidad variable de bajo grado9. Aunque la etiología de este tumor es desconocida, se cree que puede ser causada por trauma, factores endocrinos o genéticos10. En la región maxilofacial el diagnóstico temprano puede ser difícil por su comportamiento, y las características radiográficas pueden ser confundidas con otras lesiones. Es una neoplasia benigna con un potencial localmente invasivo al hueso y tejido conectivo sin causar metástasis11.
El fibroma desmoplásico representa la contraparte ósea de la fibromatosis de tejido blando, y algunos autores lo han clasificado como una variante de fibroma no osificante óseo y lo han considerado como un intermediario entre una lesión fibrosa benigna y un fibrosarcoma grado I12.
Este tumor representa del 0,06% al 0,3% de todos los tumores óseos benignos. La región mandibular es la más comúnmente afectada del esqueleto maxilofacial13. En la mandíbula la lesión tiende a aparecer en la región posterior, generalmente en rama y ángulo mandibular. Este tumor aparece entre la segunda y tercera décadas de la vida, usualmente asintomático, con crecimiento lento como una masa firme. Radiográficamente el fibroma desmoplásico presenta radiolucidez multilocular. El diagnóstico diferencial debe hacerse con quistes, neoplasias benignas y sarcomas14. A nivel microscópico el fibroma desmoplásico consiste de pequeño a moderado de matriz celular y tejido de estroma fibrocolagenoso carente de pleomorfismo celular, hipercromatismo nuclear y mitosis. El incremento de la celularidad está asociado con un incremento de la recurrencia. La ausencia de osteoide con una completa y prominente zona de colágeno (fig. 7) ayuda a distinguir esta lesión de otras lesiones fibrosas en hueso, incluyendo neoplasias benignas, fibroma no osificante y fibroma odontogénico15.
Es importante distinguir un fibroma desmoplásico de un fibrosarcoma de bajo grado. Un rango significativo de recurrencia es asociado con el fibroma desmoplásico, dependiendo de la forma en que sea tratado. Si la lesión es tratada con resección o excisión no tiende a recurrir, de manera que los tumores tratados con excisión local o enucleación recurren de un 20 a 40% aproximadamente, y tratado solo con curetaje el porcentaje de recurrencia es alto16.









