La estenosis congénita de la apertura piriforme con megaincisivo central (ECAP) es una causa poco frecuente de obstrucción de la vía aérea en neonatos. Dada su baja frecuencia y por la similitud de la clínica se confunde inicialmente con la atresia coanal, trastorno más prevalente (1:5.000 nacidos vivos). Puede tratarse de una forma menor de holoprosencefalia, por lo que el diagnóstico incluye el screening de malformaciones cardíacas y cerebrales asociadas. Presentamos un caso de una recién nacida con ECAP.
Congenital nasal pyriform aperture stenosis (CNPAE) with a single mega-incisor is an uncommon form of nasal airway obstruction in the neonate. Its low frequency and its similar clinical presentation may lead us to a wrong initial diagnosis of choanal atresia, which is more frequent (1:5000 live births). CNPAE may be a minor form of holoprosencephaly, so diagnosis should include screening for heart and central nervous system abnormalities. A case of a newborn with CNPAE is reported.
La estenosis congénita de la apertura piriforme (ECAP) es una alteración del desarrollo embrionario del hueso maxilar que ocurre entre la 5.ª y 8.ª semana de gestación1; el crecimiento excesivo de la apófisis ascendente origina la estrechez de la apertura piriforme2. Esta apertura es el punto más estrecho de la porción ósea de la fosa nasal, por lo que una pequeña disminución de su área supone un gran incremento de la resistencia al paso de aire3. Su diámetro normal es >11mm1. Es una malformación de causa desconocida y poco frecuente. Se considera una forma menor de holoprosencefalia.
Caso clínicoNiña nacida a término tras embarazo con diabetes gestacional, sin incidencias en el parto, de bajo peso para la edad gestacional (39+4 semanas, 2.660 g). Ingresa a las 15h de vida en Neonatología por sospecha de atresia de coanas con episodios de apnea durante las tomas.
En la inspección se denota un fenotipo peculiar que se caracteriza por: raíz nasal ancha, hendiduras palpebrales pequeñas, paladar ojival, retrognatia, clinodactilia y pulgares incluidos. Remitida a nuestro servicio para valoración.
En la rinoscopia anterior se observa estrechez del vestíbulo nasal. La imposibilidad de pasar una sonda nasal de aspiración a través del vestíbulo estuvo presente desde el nacimiento. La nasofibroscopia pediátrica comprobó la permeabilidad coanal.
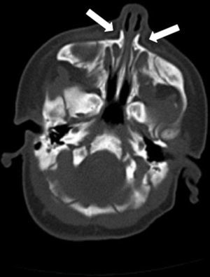
La TAC facial confirmó el diagnóstico de ECAP (diámetro de la apertura piriforme: 8mm; anchura coanal: normal; megaincisivo central y paladar triangular con cresta central (fig. 1).
Ecocardiograma y RMN cerebral normales, descartándose malformaciones del eje hipotálamo-hipofisario.
El desarrollo de la paciente es normal. La leve repercusión clínica de la malformación nos permite aplicar un tratamiento conservador: humidificación, descongestionantes nasales y aspirado de secreciones. Se encuentra bajo seguimiento ambulatorio (figs. 2 y 3).
DiscusiónLa clínica de la ECAP cursa con síntomas de insuficiencia respiratoria nasal similares a los de la estenosis coanal. La cianosis cíclica agravada con las tomas y mejorada con el llanto es la forma más común de presentación, como en nuestra paciente.
Otros posibles síntomas son: respiración ruidosa, apnea, ronquido e incluso una obstrucción severa que imposibilita la alimentación. Los síntomas se agravan con las infecciones respiratorias3.
En la exploración física el dato más constante es la imposibilidad de pasar una sonda nasal pediátrica por el vestíbulo4. La rinoscopia anterior y la nasofibroscopia descartan otras alteraciones anatómicas (fig. 3).
El diagnóstico se sospecha por la clínica, pero debe ser confirmado por las mediciones realizadas sobre una TAC facial4 (fig. 1).
El hallazgo radiológico más importante es la estrechez del diámetro transversal máximo del orificio piriforme: <11mm2.
En estos pacientes, el área de la cavidad nasal es inferior a la población normal (>2DE). Sin embargo, la altura de la fosa y el área coanal están dentro de la normalidad.
Los cortes coronales pueden ser útiles, pero el diagnóstico se basa en los hallazgos de la TC axial.
Otras anomalías radiológicas que se asocian frecuentemente son alteraciones en la dentición (megaincisivo central único) y en la morfología del paladar duro, que se muestra triangular con una cresta en la línea media2.
El megaincisivo central hallado en nuestra paciente no supone un problema en sí mismo, exceptuando el estético, pero puede ser un signo de holoprosencefalia (fig. 2).
La porción premaxilar del hueso maxilar (que contiene los incisivos) deriva embriológicamente del mesodermo de la línea media, que es el inductor del prosencéfalo, de ahí la relación del megaincisivo único con la holoprosencefalia. Por ello, se realiza una RMN cerebral a los niños con este diagnóstico5.
Se han descrito casos de ECAP asociados a agenesia hipofisaria, malformaciones cardíacas y disgenesia tiroidea, por lo que también la monitorización del eje hipotálamo-hipofisario y el ecocardiograma son fundamentales en la valoración de estos pacientes3.
El pronóstico es bueno. Su manejo depende de la gravedad de la insuficiencia respiratoria y de su repercusión sobre el desarrollo ponderal del niño3. El tratamiento conservador se prefiere en los casos leves, en los que el desarrollo del niño es normal.
En casos graves será necesario realizar tratamiento quirúrgico: el ensanchamiento de la apertura piriforme mediante abordaje sublabial es el procedimiento más seguro y efectivo. Van den Abbeele sugiere un tratamiento inicial con descongestionantes tópicos y corticoides nasales durante 2 semanas antes de plantearse la cirugía6.
ConclusiónLa ECAP es una entidad rara que debe tenerse en cuenta ante cualquier neonato con dificultad respiratoria nasal. Su diagnóstico sencillo mediante TAC no debe hacernos olvidar que es necesario realizar screening de malformaciones asociadas. El tratamiento se planteará en función de la repercusión del cuadro sobre el desarrollo del paciente.
Conflicto de interesesLos autores declaran no tener ningún conflicto de intereses.
Este trabajo ha sido presentado como comunicación tipo póster en el Primer Congreso de la Confederation of European Otorhinolaryngology and Head and Neck Surgery. Julio de 2011. Barcelona.





