Varón de 21 años con antecedente de asma bronquial, que acudió a nuestra consulta para valoración de una tumoración fronto-nasal bilateral asintomática con rápido crecimiento progresivo durante el último año. Durante la anamnesis realizada el paciente negó salida de líquido por la nariz o alteración de la visión. Tras la exploración física y el examen oftalmológico se descartó la presencia de fístula de LCR, afectación del nervio facial o alteraciones oculares (proptosis, pérdida de agudeza visual, diplopia, desplazamiento del globo ocular, alteración de la movilidad de la musculatura extrínseca ocular). La tumoración era de consistencia ósea, no dolorosa a la palpación y de aproximadamente 1,5cm.
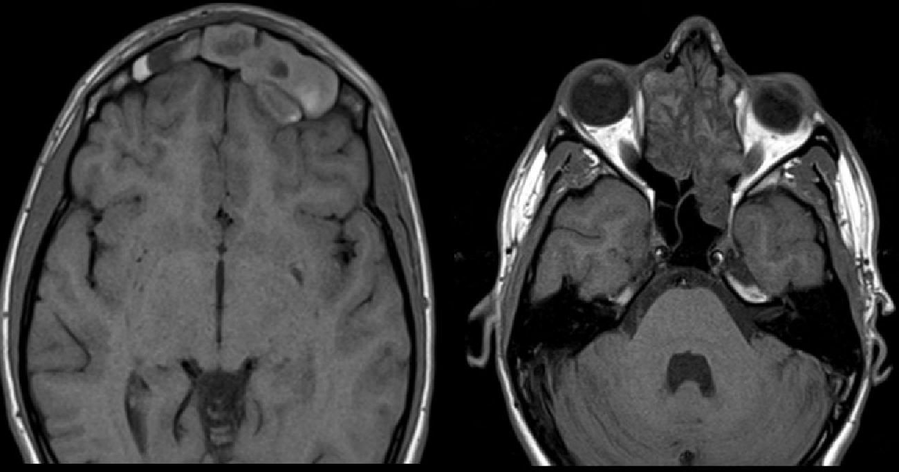
El paciente aportó un TC craneal externo donde se visualizó una extensa lesión a nivel de ambos senos fronto-etmoidales con signos sugestivos de invasión intracraneal e intraorbitaria. En vista de los hallazgos radiológicos, del tamaño de la lesión y del rápido crecimiento que refería el paciente durante el último año se decidió completar el estudio mediante una resonancia magnética (RM) que mostró una lesión isodensa en ambos senos frontales y en el receso fronto-etmoidal izquierdo que provocaba la lisis tanto de la tabla externa del hueso frontal, protruyendo hacia el tejido celular subcutáneo, como de la tabla interna, ejerciendo efecto masa sobre el parénquima frontal subyacente, objetivándose una clara continuidad del contenido sinusal con respecto al intracraneal sin signos de infiltración subyacente (fig. 1). Así mismo, se identificó una ocupación mucoide en el receso fronto-etmoidal derecho que condicionaba la pérdida ósea de la porción medial del techo orbitario a nivel del hueso frontal (fig. 2).
Los autores declaran que para esta investigación no se han realizado experimentos en seres humanos ni en animales.
Confidencialidad de los datosLos autores declaran que han seguido los protocolos de su centro de trabajo sobre la publicación de datos de pacientes.
Derecho a la privacidad y consentimiento informadoLos autores han obtenido el consentimiento informado de los pacientes y/o sujetos referidos en el artículo. Este documento obra en poder del autor de correspondencia.




