La fístula oronasal es la complicación más común posterior a una palatoplastía y frecuentemente requiere de una reparación secundaria. Se ha desarrollado una gran cantidad de técnicas quirúrgicas para su manejo, siendo una de las más populares el colgajo lingual. A pesar de la excelente vascularidad de la lengua, para asegurar la viabilidad del colgajo, éste debe ser manejado con extremo cuidado durante el procedimiento. Con este propósito sugerimos el uso de una platina acrílica en forma de herradura que aporta estabilidad e inmoviliza la lengua durante la cirugía, lo que facilita el procedimiento y ayuda a evitar errores durante el diseño y el levantamiento del colgajo.
The oronasal fistula is the most common complication after a palatoplasty and it frequently needs a secondary repair. A great number of surgical techniques have been developed for the management of this condition. The lingual flap is one of the most popular treatments. In spite of the excellent vascularity of the tongue, it must be handled carefully during the procedure to assure the viability of the flap. For this reason we suggest the use of an acrylic slide in the shape of horse-shoe that improves the stability and immobilises the tongue during the surgery. This makes the procedure easier and helps to avoid mistakes during the design and the raising of the flap.
Una fístula oronasal es un defecto patológico revestido por epitelio que comunica las cavidades oral y nasal1. Sus localizaciones más frecuentes son la unión del paladar primario y secundario y la unión del paladar duro y blando2.
La etiología más común es la dehiscencia de una palatoplastía1,3. Otras causas reportadas son: la extracción de órganos dentarios retenidos en el segmento anterior del maxilar, fracturas del complejo nasomaxilar y secuelas de enfermedades como sífilis y lepra3.
Los factores que predisponen a un paciente postoperado de palatoplastía a presentar una fístula oronasal son: la técnica empleada, tensión en el sitio de sutura, lesión de la arteria palatina anterior, infección posquirúrgica y disrupción traumática del proceso de cicatrización2–4.
Las repercusiones clínicas de una fístula oronasal dependen del tamaño y localización del defecto, así como de los mecanismos de adaptación del propio paciente2,4,5. Las fístulas grandes causan voz hipernasal y flujo de líquidos desde la cavidad bucal hacia la nariz2,5,6.
Opciones de tratamientoEn los casos que tienen repercusión funcional, se debe esperar un mínimo de 6 meses después de la palatoplastía, de lo contrario la friabilidad de los tejidos dificultará la sutura y empobrecerá el pronóstico2,5,7. Las fístulas que no interfieren con el lenguaje y que no provocan reflujo nasal pueden cerrarse simultáneamente con el injerto alveolar2.
Para elegir correctamente la técnica que se utilizará se debe tomar en cuenta la localización, el tamaño de la fístula y la cooperación del paciente3,4. El 37% de los casos desarrollan una fístula recurrente debido al acceso quirúrgico limitado y la presencia de una cicatriz previa2,7.
Entre las técnicas disponibles se encuentran: colgajos palatinos, colgajos nasales, colgajos bucales, colgajos cutáneos y aloinjertos (matríz dermica acelular)2,8.
Independientemente de la técnica utilizada, deberá crearse un piso nasal a partir del epitelio que reviste y rodea a la fístula, así como diseñar los colgajos 20% más grandes que el defecto con suficiente movilidad para otorgar una cobertura completa libre de tensión2,8.
Colgajo lingualLa lengua es el órgano más versátil para transferir tejido dentro de la cavidad bucal6,9. Los colgajos linguales se basan en una o más ramas de la arteria lingual6.
De la variedad de colgajos linguales disponibles, los dorsales son más utilizados8. Los colgajos de base anterior están indicados para tratar defectos del paladar duro, los de base posterior se utilizan para defectos en el paladar blando8,10. En ambos diseños se debe evitar levantar las papilas circunvaladas para disminuir el riesgo de necrosis2.
Pueden tomarse colgajos desde 3mm y hasta 10mm de espesor. Cuando se diseña un colgajo delgado, éste debe tener una base amplia y se ha de evitar el uso de diatermia2.
Para disminuir el riesgo de desprendimiento, la base del colgajo debe estar ligeramente detrás del borde posterior de la fístula y debe tener un pedículo largo2,11. Un radio largo: ancho de 5:1 provee adecuada perfusión al tejido distal11.
En el periodo postoperatorio debe mantenerse una dieta líquida hasta que se libere el pedículo y limitar la apertura bucal2,9. El uso de fijación maxilo-mandibular no garantiza la inmovilidad de la lengua e impide el monitoreo visual del colgajo9.
Luego dos a tres semanas se realiza una prueba de perfusión anudando una sutura en la base del pedículo durante 5 o 10 minutos, si no hay datos de isquemia el pedículo se secciona2,9. En caso de isquemia es conveniente esperar 5 días antes de repetir la prueba2,9.
Las complicaciones inmediatas de los colgajos linguales son: hemorragia, hematoma y parestesia lingual temporal12. Las complicaciones mediatas son: alteraciones del habla (como consecuencia de un colgajo muy abultado en el paladar o por no respetar la integridad de la punta lingual al tomar el colgajo) y desprendimiento del colgajo2,12.
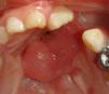
Presentación del casoSe trata de paciente femenino de 5 años de edad, referida a nuestro servicio bajo el diagnóstico de fístula oronasal. Entre sus antecedentes encontramos que se le realizó queiloplastía bilateral y palatoplastía del paladar blando a la edad de 6 meses y palatoplastía del paladar duro a los 4 años, presentando en este último procedimiento una dehiscencia (fístula oronasal) que provocaba rinofonía y reflujo nasal de los alimentos. En la exploración intraoral observamos una fístula oronasal en la unión del paladar primario y secundario del lado izquierdo de aproximadamente 12mm x 25mm (fig. 1).
Se planeó realizar el cierre de la fístula con un colgajo lingual de base anterior debido a las dimensiones del defecto.
TécnicaBajo anestesia general con intubación nasotraqueal se incide contorneando el defecto palatino tomando un margen de tejido de aproximadamente 8mm. Se desdobla la mucosa que revestía y rodeaba a la fístula y se afrontan sus bordes para crear un piso nasal.
Se realiza una plantilla de aluminio con las dimensiones de la fístula, con la cual se diseña un colgajo ligeramente más grande. Se suturan los bordes laterales de la lengua a una platina acrílica en forma de herradura (fig. 2), que tiene como función estabilizar y dar soporte a la lengua para facilitar la toma del colgajo (figs. 3 y 4).
Una vez obtenido el colgajo lingual, se realiza el cierre primario del área lingual cruenta. Posteriormente se posiciona el colgajo sobre la fístula oronasal y se inicia la sutura partiendo de atrás hacia delante (fig. 5).
Veintiún días después de la cirugía se realiza una prueba de perfusión, no se observaron datos de isquemia, por lo que se eliminó el pedículo bajo anestesia local.
Se logró un cierre satisfactorio de la fístula, se presentó una pequeña dehiscencia en el periodo postoperatorio inmediato, que tuvo un cierre espontáneo a los tres meses (figs. 6 y 7).
DiscusiónNo se han establecido parámetros para determinar el método ideal para manejar un caso particular.
Algunos autores sugieren el uso del colgajo lingual únicamente para el cierre de fístulas palatinas recurrentes2. Por otro lado, en la literatura también se promueve su uso como primera opción debido a que proveen abundante tejido para reconstrucción palatina, tienen un excelente aporte sanguíneo, fácil rotación y no dejan un área cruenta en el paladar, que podría incrementar la fibrosis2,10. Por ello, recomendamos el uso de colgajos linguales en fístulas mayores de 1cm, sin importar si es el primer intento de reparación2.
La platina que presentamos en este trabajo, puede utilizarse en otros procedimientos que involucren al tejido lingual, como biopsias y glosectomías parciales.
ConclusionesLa excelente vascularidad de la lengua favorece la viabilidad de sus colgajos, sin embargo, el diseño y la manipulación delicada del colgajo también son determinantes. La platina acrílica aumenta el control de estos factores (sobre todo cuando se realiza por cirujanos poco experimentados), aumentando las posibilidades de éxito, como en el caso expuesto.
Conflicto de interesesLos autores declaran no tener ningún conflicto de intereses.









