El hemangioma es una neoplasia vascular benigna frecuente en la primera infancia con predilección en las mujeres, su localización es frecuente en la región cervicofacial en un 60% de los casos. Esta neoplasia representa un reto para el profesional de la salud puesto que la mayor complicación en estos pacientes son los problemas hemorrágicos u obstructivos a nivel de vías áreas El caso clínico que se presenta es un paciente masculino de 30 años con diagnóstico de hemangioma gigante derivado de músculo orbicular de labio tratado con cirugía parcial e interferon sin respuesta o contribución real, por lo cual, el paciente actualmente cursa con un aumento de volumen importante que causa deformidad en hemicara izquierda, rebasando línea media mandibular con las subsecuentes alteraciones bucales condicionadas y agravadas por la misma patología, lo cual repercute en su salud sistémica.
The hemangioma is a benign vascular neoplasm frequently seen in early childhood, usually in females. Its location is common in the cervicofacial region in 60% of cases. This tumour represents a challenge for the health professional, as the major complications in these patients are bleeding disorders or obstructive airways. The clinical case presented is a 30 year old male patient with a diagnosis of a giant haemangioma arising from the orbicular muscle of the lip, treated with partial surgery and interferon, with no response or no real contribution. The volume of the haemangioma is currently increasing, causing a deformity on the left side of the face that exceeds the mandibular midline with subsequent oral alterations conditioned and aggravated by the disease itself, which is affecting his systemic health.
Los hemangiomas (angiomas o carvernomas) son neoplasias vasculares benignas del endotelio, con capacidad proliferativa, en ellos se identifica un marcador inmunohistoquímico, GLUT-1. Estos son una masa proliferativa de los vasos sanguíneos que no sufren transformación maligna. Son lesiones muy raras de las que se reportan en la literatura muy pocos casos. Es frecuente que se desarrolle en la edad pediátrica aproximadamente en un 10% de los niños de 1 año de edad tiene un hemangioma. Estos son 3 veces más frecuentes en niñas, y en prematuros de bajo peso al nacer. Representa el 15% de todas las malformaciones vasculares del sistema nervioso central1–13.
La localización que se presentan de preferencia en la región cervicofacial dentro de esta la formación de hemangiomas de adultos se encuentra en los labios, mejillas, mucosa con la participación del revestimiento oral, mandíbula por vía intramuscular con la participación de los músculos masticadores o intraósea con la participación de la maxila, los hemangiomas orales son usualmente vistos sobre la gingiva, estas lesiones a menudo aparecen en la papila interdental y se extiende a dientes adyacentes, tejido de piel, subcutáneo y hueso. Son comunes en la primera infancia y niñez e implican tejidos subcutáneos o mucosa, así como frente y cuello que son los lugares frecuentemente más afectados, aunque es relativamente rara en cavidad oral; en párpados y área periocular con 11%. El 80% están localizados en la región intraparenquimatosa sobre todo la supratentorial, seguido por la fosa posterior y la medula espinal respectivamente, mientras que la afección de nervios craneales es rara, con menos de 60 casos reportados en la literatura. Sin embargo estos pueden presentarse en cualquier parte del cuerpo. Los hemangiomas intramusculares, son un tipo distintivo de hemangiomas que ocurre dentro del músculo esquelético. Menos del 1% de todos los hemangiomas del cuerpo ocurre en músculos, y 14% de estos proviene en la musculatura de la cabeza y el cuello. El masetero es el músculo con más frecuencia afectado1,2,4,6,9,10,13,16.
La etiología de los hemangiomas se atribuye a los cambios hormonales ya que son factores importantes en la proliferación de tejido embrionario vascular. Incluso han propuesto una teoría congénita debido a la alta incidencia de hemangiomas durante los primeros años de vida1.
Liston en 1843 clasificó a los hemangiomas dependiendo el tamaño del vaso1,4.
En 1973 Sznajder et al. fueron los primeros en describir en la literatura al hemangioma bajo el término de hemangioma hemorrágico1.
En 1982, Mulliken y Glowacki propusieron una clasificación biológica de las lesiones vasculares y redefinida en 1997 por la Sociedad Internacional para el estudio de las lesiones vasculares (ISSVA), distinguiendo tumores vasculares de malformaciones vasculares basados en la apariencia clínica, características histopatológicas y comportamiento biológico1,4.
En esta clasificación, los hemangiomas fueron descritos como tumores vasculares que experimentan una fase de crecimiento activo, caracterizado por proliferación endotelial e hipercelularidad seguido por una fase de involución gradual que ocurre tras varios años, mientras que las malformaciones vasculares fueron descritas como congénitas derivadas por desordenes en la embriogénesis vasculaturar de los capilares, venas, linfáticos, arterias o una combinación de estos representan hamartomas de células endoteliales maduras; son lesiones más o menos estáticas, presentes desde el nacimiento y que no sufren una verdadera proliferación ni regresan con la edad1,4,6.
Actualmente, este sistema da la clasificación estándar usada en el campo de anomalías vasculares, se incluyeron a los hemangioendoteliomas kaposiformes, angiomas en penacho, granulomas plógenos y hemangio-pericitomas1,4,15.
Desde el punto de vista clínico los hemangiomas pueden ser superficiales, en forma de lesiones de color rojo intenso, poco sobre elevadas; y profundos se caracterizan como una masa blanda, lisa o lobulada, sésil o pediculado, en forma de tumoraciones de color piel o con un tinte azulado, o mixtos cuando además del componente rojo superficial tienen un componente profundo que les da volumen1,6.
Los angioma cavernoso o cavernomas son lesiones vasculares poco frecuentes en la edad pediátrica, ocasionalmente afecta a individuos de edad avanzada tienen un componente profundo e irregular como las malformaciones venosas, pero se trata de lesiones vasculares de comportamiento completamente diferente proliferan durante más tiempo (hasta los 12-14 meses de edad) que los hemangiomas superficiales y al regresar suelen dejar menos secuelas que los hemangiomas mixtos o superficiales1,5,6,10.
Los angiomas cavernosos se incluyen dentro del grupo de lesiones angiográficamente ocultas del Sistema Nervioso Central. Vanesfky et al. determinaron que existe una incidencia de 71% de este grupo de lesiones, seguidas por lesiones mixtas (15%), MAV trombosadas (8%), y malformaciones venosas trombosadas(8%)1.
Otra forma de clasificación clínica de los hemangiomas es dividirlos en hemangiomas focales, aquellos bien circunscritos, más o menos redondeados que podrían trazarse a partir de un punto central; y hemangiomas segmentarios que son aquellos en forma de placas, que no pueden trazarse a partir de un punto central y que a menudo siguen la distribución de una unidad de desarrollo embriológico1.
El interés de esta clasificación radica en el hecho de que los hemangiomas segmentarios tienen un índice de complicaciones muy superior que los hemangiomas focales y pueden asociar alteraciones estructurales diversas1.
El diagnóstico diferencial de los hemangiomas son los gliomas, encefaloceles, neurofibromas, lipomas, rabdomiosarcomas, neuroblastomas, mucoceles y quistes dermoides. Cuando se presentan en seno maxilar el diagnóstico diferencial se debería hacer con tumores de seno maxilar1,4,9.
Histológicamente los hemangiomas se caracterizan por la presencia de luces vasculares con un endotelio activo con numerosas mitosis en la fase de proliferación que tienen características inmunohistoquímicas diferentes del endotelio normal de la piel y es más parecido al endotelio placentario los cuales son de tamaño variable. Presentan canales sinusoidales formados con capas simples de células endoteliales, y sus paredes se hallan separadas por una delgada capa discontinua de tejido, fibroso con ausencia de tejido neural o glial entre los vasos que conforman la lesión. Las características histológicas de los hemangiomas de glándulas salivales incluyen afectación de las estructuras acinares, en los conductos y tejidos lesionados dentro de los límites de glándula salival1–3,6.
Este endotelio expresa la proteína glut-1, proteína transportadora de glucosa que solo se halla presente en los vasos placentarios y de la barrera hematoencefálica1.
Otros marcadores que se hallan presentes en los hemangiomas y en los vasos placentarios son la merosina, el antígeno Lewis Y, y el receptor de la FC de baja afinidad (FcYRII)1.
Estos hallazgos han llevado a plantear si los hemangiomas pueden representar «embolias» placentarias o si son el resultado de un precursor endotelial aberrante1.
Los hemangiomas faciales extensos segmentarios pueden asociar malformaciones de fosa posterior, alteraciones arteriales cervicocraneales entre las que se observan persistencia de la arteria trigeminal, alteraciones cardiacas o coartación de aorta en 50%, alteraciones oculares, y alteraciones esternales. Esta asociación se ha denominado con el acrónimo Posterior fossa abnormalities, facial Hemangioma, Arterial abnormalities; Coartation of the aorta and cardiac abnormalities, Eye, Sternal defects(PHACES)1–5.
En cuanto a las alteraciones oculares, una malformación vascular caracterizada por la presencia de sinusoides de paredes finas, que contienen colecciones hemáticas sin flujo arterial o venoso aparente se observan en 25% de los casos en forma de vascularización anómala de la retina, microoftalmia, hipoplasia del nervio óptico,exoftalmos, hemangioma coroideo, colobomas, cataratas, glaucoma, síndrome de Horner o persistencia del vítreo primario1,12,13.
Las alteraciones esternales o de la línea media consisten en esternón hendido o rafes supraumbilicales1.
La malformación de fosa posterior más frecuente es la malformación de Dandy Walker pero se han descrito agenesia de cuerpo calloso, quistes aracnoideos, y atrofia cerebelosa1.
Una valoración angiográfica con embolización previa a la resección es lo más indicado; siendo el abordaje quirúrgico abierto en función de la accesibilidad, extensión de la lesión, edad del paciente y consideraciones estéticas4,5,9,10,14,16.
Dentro del tratamiento de los hemangiomas se encuentran los corticoides tópicos ultrapotentes para angiomas superficiales (clovate®, decloban®) pero son inefectivos para los hemangiomas profundos y por tanto para prevenir la compresión del globo ocular o la interferencia con el eje visual1,9,11,16.
En hemangiomas de gran tamaño, que comprometen la visión y que no responden a otras modalidades terapéuticas se ha utilizado el interferon. Este es un tratamiento muy eficaz aunque se han descrito paraparesias espásticas en hasta un 10% de los niños de corta edad tratados con interferon1,11,16.
Dentro de las alternativas terapéuticas par el tratamiento de hemangiomas que no responden a corticoides orales. La vincristina, a dosis de 2mg/m2, en infusión semanal se ha demostrado eficaz en este sentido, sin embargo su respuesta es lenta1,6,9,11,16.
Las indicaciones para el tratamiento con cirugía incluyen: edad del paciente, hemorragias, sitio y tamaño del tumor, deformación cosmética entre otras17.
El tratamiento con láser, bien sea de colorante pulsado o Nd-Yag puede ser útil para el tratamiento de hemangiomas superficiales, por lo que tiene un interés más cosmético, que de prevención de complicaciones visuales ya que no consigue disminuir el volumen de la lesión. Un tratamiento precoz con láser vascular puede evitar la proliferación posterior del componente profundo de los hemangiomas y así evitar complicaciones oculares1,16.
El tratamiento con láser vascular puede ser útil para hemangiomas ulcerados. En una o dos sesiones de láser vascular sobre la úlcera del hemangioma suele conseguir una reepitelización de la misma, y disminuye considerablemente el dolor1,16.
Recientemente se han utilizado el factor de crecimiento plaquetario en aplicación tópica (becaplermin® o Regranex®) para el tratamiento de angiomas ulcerados que no responden a otros tratamientos1,16.
El pronóstico de estos pacientes varía de acuerdo a su localización anatómica porque por ejemplo los hemangiomas cavernosos de septum o cornetes, por su localización, pueden provocar obstrucción, por ello deben ser extirpados quirúrgicamente.
Caso clínicoPaciente masculino de 30 años con Dx de Hemangioma en macizo facial. (fig. 1).
AHF: Hermano con diagnóstico de cardiopatía. Otros preguntados y negados.
APNP: Tabaquismo y alcoholismo negados.
APP: Quirúrgicos, 3 cirugías por lesión en cara y cuello la ultima en diciembre 1990 y embolizacion de carótida externa en febrero 1996. Niega alergias, crónico degenerativos y luéticos. Transfuncionales positivos.
PA: Al nacimiento presentó una coloración violácea en labio inferior izquierdo. Al primer año de edad tuvo un aumento de volumen en región anterior del cuello con presencia de crecimiento hacia región de pabellón auricular izquierdo y región mastoidea.
A los 5 años de edad se realizó resección del hemangioma con aumento progresivo de la lesión en extensión y volumen.
El 18 de diciembre de 1989 se le realiza resección de hemolinfangioma cervical desde la parte anterior del cuello hasta el borde inferior del maxilar inferior siendo necesario realizar traqueostomía por el procedimiento radical de cuello e infiltración hacia tráquea por parte del hemolinfangioma.
Existe recurrencia por lo que el 11 de diciembre de 1990 se realiza una tercera resección en la cual el reporte histológico diagnostico «Hemangioma Cavernoso con Trombosis’».
El 7 de febrero de 1996 se realiza embolización en territorio de carótida externa izquierdo en el que tuvo internamiento en terapia intensiva posterior al procedimiento por broncoaspiración.
Dentro de 1994 y 1996 hubo un crecimiento de hemangioma con crecimiento ocasional de aproximadamente 3 meses en región posterior del hemangioma.
Actualmente se encuentra estable con aumento de volumen en región anterior de cuello y región retroauricular, región supraclavicular y región parotidea izquierda. Sin datos de compromiso respiratorio solo con presencia de disartria.
Se diagnostica hemangioma gigante recurrente de cara lateral izquierda irresecable debido a complicaciones hemorrágicas y posquirúrgicas.
En la RM se observó involucro de mediastino, cuello, orofaringe, laringe e hipofaringe.
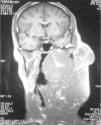
Para la imagen del corte coronal secuencia T1 se observa el hemangioma ocupante de la hemicara y hemicuello izquierdo a nivel de tejidos blandos. (fig. 2).
El corte coronal secuencia T2 muestra la vascularidad del hemangioma ocupante de hemicara y hemicuello izquierdo. (fig. 3).
Corte sagital secuencia T1con contraste observándose involucro de región facial y cervical. (fig. 4).
Le suministraron interferón sin respuesta, actualmente se encuentra en observación, con progresiva evolución de patología.
DiscusiónLos hemangiomas de acuerdo a las características clínicas son fácilmente diagnosticados sin embargo se puede hacer un diagnostico diferencial con las malformaciones linfáticas micro y macroquística llamada también «higroma» para aquellas localizadas a nivel cervical; así como con tumores de tejidos blandos como los gliomas, lipomas, y quistes dermoides.
En el caso que presentamos; el paciente mostró características clínicas que evidenciaban el diagnóstico de hemangioma desde el nacimiento ya que la localización con respecto a este fue situada a nivel del labio inferior; mientras que la localización común del higroma se encuentra a nivel cervical, la evolución mostró volumen progresivo con involucro de zona labial, región anterior de cuello, región de pabellón izquierdo, se le realizaron al paciente estudios radiográficos; así como cortes histológicos con las cuales se determinó el diagnóstico de hemangioma facial.
En cuanto al tratamiento de los hemangiomas encontramos el quirúrgico, el uso de corticoesteroides, las embolizaciones, la escleroterapia, el uso de algunos citotoxicos como la vincristina para los angiomas de gran tamaño así como también el uso interferon1,11,16.
En este paciente se realizaron diversos tratamientos quirúrgicos y farmacológicos sin embargo mostró resistencia al tratamiento convencional.
Dado al crecimiento exponencial de la lesión el pronóstico de este paciente a corto plazo es malo por la invasión a estructuras vitales y la resistencia e imposibilidad a cualquier tratamiento.
ConclusionesLos hemangiomas cavernosos gigantes son una patología poco frecuente sin embargo su presentación tratamiento y pronóstico son controversiales, esto lleva a crear líneas de investigación de los tratamientos de esta tumoración; puesto que en ellas se debe tener cuidados especiales, ya que si bien son benignas cuando se desarrollan de manera importante impiden las funciones normales del paciente representado así un riesgo potencial de mortalidad.
Aunado a esto se debe tener especial cuidado en la atención bucal de enfermedades orales comunes en pacientes con interferencia muscular y epitelial, que conlleva al deterioro sistémico y bucal por las diversas secuelas de esta anomalía, ya que el tratamiento odontológico se verá limitado por las características propias de la disfunción ocasionada por un hemangioma cavernoso facial aunado a la posibilidad de una hemorragia que complica cualquier procedimiento quirúrgico y preventivo.






