El ameloblastoma se define como un tumor localmente agresivo e infiltrante, con una alta capacidad de recidiva. Este comportamiento agresivo e infiltrante plantea la problemática de una opción conservadora o radical de tratamiento, con las alteraciones funcionales, estéticas y psicológicas que esta última alternativa implica. El ameloblastoma uniquístico se describe como una lesión con cuadros morfológicos particulares, un comportamiento biológico menos agresivo que el ameloblastoma común, y una menor recurrencia frente a la terapia conservadora. Se presenta un caso clínico con el diagnóstico de ameloblastoma uniquístico tratado de forma conservadora mediante descompresión y posterior enucleación. Se actualiza la información sobre su tratamiento.
The ameloblastoma it's defined as a localy aggressive neoplasm with a high incidence to local recurrence. This aggressive behaviour gives two options: a conservative treatment or a radical one, with all the functional, aesthetic and psychological alterations this implies. The unicyst ameloblastoma it's described as a disease with particular morphological aspects, a less aggressive biological behaviour than the common ameloblastoma, and less chances to reappear after a conservative treatment. Here we present a case of unicyst ameloblastoma treated in a conservative way by decompresion and resection. A review of the actual treatment methods.
El ameloblastoma es un tumor odontogénico, de comportamiento agresivo e infiltrante, con una alta scapacidad de recidiva. En relación con su histología, es una neoplasia benigna polimórfica, constituida por proliferación de un epitelio odontogénico localizado en un estroma fibroso. En contraste con su comportamiento benigno, presenta una gran tendencia a la recurrencia, como también un mínimo pero existente potencial de transformación maligna y de metástasis1–4.
En cuanto a la patogénesis del tumor, la literatura menciona que podría originarse a partir de células residuales del órgano del esmalte, del órgano del esmalte en desarrollo, del linaje epitelial de un quiste odontogénico o de la capa basal de la mucosa oral5,6.
En cuanto a su prevalencia, constituye el 1% de todos los tumores y quistes maxilares y el 11% de los tumores odontogénicos mandibulares1,7.
El tumor crece de un modo lento y silente, sin originar signos ni síntomas en sus estadios más precoces. En estadios de evolución avanzados puede provocar migración, desviación y movilidad de piezas dentarias, como también reabsorción radicular y parestesia. Puede expandir corticales, aunque habitualmente las erosiona invadiendo el tejido blando6.
Radiográficamente los ameloblastomas se presentan como procesos osteolíticos con aspecto uni o multilocular, presentando en general bordes bien definidos y esclerosados, a excepción del subtipo desmoplásico7.
Reichart et al10, en una revisión de 3.677 casos, mencionan que el subtipo uniquístico generalmente tiene una edad de aparición más precoz en relación con los demás, concentrándose los casos entre la segunda y tercera décadas.
En cuanto a la localización de los ameloblastomas, un estudio de Hong et al muestra que, de un total de 239 casos, el 88% de éstos era mandibular, siendo la región de la rama mandibular la localización prevalente (fig. 1).
- Localización de los ameloblastomas. Fuente: Hong et al5.
Respecto a la patogénesis del subtipo uniquístico, no se ha podido determinar si la lesión representa la transformación de un revestimiento quístico normal o surge de novo a partir de residuos epiteliales odontogénicos preexistentes. Es importante mencionar que un gran número de estas lesiones presenta un molar incluido intralesional, con características radiográficas que hacen pensar que esta lesión podría originarse de un quiste dentígero el cual, bajo algún estímulo, experimenta una transformación hacia un linaje ameloblástico12. Publicaciones como la de Bhaskar mencionan que en un 5 a un 6% de las paredes de los quistes dentígeros se presenta epitelio odontogénico en el interior del conectivo, el que eventualmente podría ser el precursor del ameloblastoma.
En contrapartida hay otros autores que defienden la hipótesis de que se desarrollan de novo, como Ackermann et al9, quienes en un estudio de 57 casos de ameloblastomas uniquísticos no pudieron confirmar la presencia de un quiste preexistente, favoreciendo con esto el concepto de que estas lesiones son neoplasmas quísticos de novo.
Clínicamente este tipo de ameloblastoma se presenta con mayor frecuencia en pacientes jóvenes. Philipsen y Reichart, en una revisión de 193 casos, encuentran una edad media de aparición de 26 años, presentándose estas lesiones rara vez sobre la cuarta década13. La presencia de un molar incluido intralesional permite diferenciar dos variantes de este tipo de ameloblastoma: dentígero y no dentígero.
Con respecto a la localización, presenta una clara predilección por la mandíbula, con una prevalencia de un 95%, y dentro de ésta, la región del tercer molar y rama mandibular es la zona más frecuente, con un 86% de los casos8.
Dentro de la semiología de esta lesión, Li et al, en su estudio de 33 pacientes, encuentran que un 12% de los pacientes describe dolor, un 18% presenta Vincent positivo y un 9% presenta signos de infección (supuración). Los síntomas y signos mencionados se presentan en lesiones generalmente de gran extensión.
Radiográficamente el ameloblastoma uniquístico se presenta como una imagen osteolítica característica de las cavidades quísticas, puede ser multi o unilocular, la variante unilocular se presenta a una edad media de 22 años, y el tipo multilocular, de 33 años13.
La reabsorción de las piezas dentarias relacionadas es un elemento característico que lo diferencia de simples lesiones quísticas14.
Según Robinson y Martínez, para el diagnóstico de ameloblastoma uniquístico histopatológicamente deben estar presentes algunas de las siguientes características en el espesor de las lesiones quísticas:
- 1.
El epitelio del quiste es homogéneamente ameloblástico, en mayor o menor grado.
- 2.
Un nódulo ameloblástico o más se proyectan en el lumen quístico (aspecto descrito como luminal o intraluminal), sin evidencia de infiltración de la pared fibrosa del quiste por epitelio odontogénico.
- 3.
Una o más proyecciones epiteliales ameloblásticas proliferan en el espesor de la pared conectiva, ya sea del tipo folicular o plexiforme, el cual puede estar o no conectado a la cubierta epitelial del quiste.
- 4.
Islas de tejido ameloblástico están presentes en el interior de la pared conectiva en contacto directo con el epitelio de un quiste aparentemente no neoplásico.
Paciente del sexo femenino, de 19 años de edad, que consulta por dolor leve recurrente a nivel de la hemimandíbula izquierda, asociado a una parestesia de la zona mencionada, especialmente a nivel del labio inferior. Describe además un leve dolor al masticar en molares y premolares del lado afectado.
En el examen físico se observa una leve asimetría facial por un aumento de volumen ubicado en la zona más posterior del cuerpo mandibular y rama ascendente derecha. El aumento de volumen es indoloro. Intrabucalmente se observa tabla ósea externa abombada a nivel de la zona del segundo molar. Situación similar, pero con expansión de ambas tablas, se pesquisa a la palpación de la rama ascendente mandibular. Tercer molar ausente clínicamente.
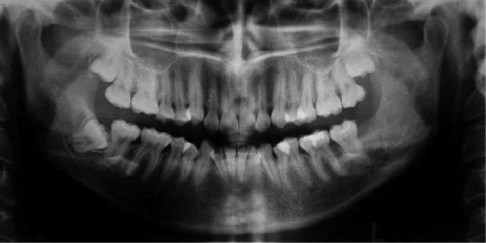
Con la hipótesis diagnóstica de quiste mandibular odontogénico o tumor odontogénico se solicita estudio imagenológico previo a biopsia. La radiografía panorámica revela una extensa lesión radiolúcida de límites netos, uniloculada y que compromete la totalidad de la rama ascendente mandibular. Asociada a la lesión, se observa el tercer molar incluido en posición baja y en distoversión (fig. 2).
Se programa una biopsia incisional durante la cual, y de acuerdo a las características clínicas de la lesión, se instala una cánula de descompresion. El informe histopatológico revela un ameloblastoma uniquístico de crecimiento intra mural tipo Illa de Ackermann9 (fig. 3).
Tras 10 meses de seguimiento clínico-radiográfico, con la presencia de una cánula de descompresión cuya longitud es reducida gradualmente, se constata la reducción casi total de la lesión quística ameloblástica, por lo que se efectúa cirugía de enucleación y curetaje de la cavidad residual, además de exodoncia del tercer molar involucrado (figs. 4 y 5) 15.
Según Reichart, los factores que deben considerarse en la elección del tratamiento de un ameloblastoma uniquístico son:
- 1.
Tamaño y localización.
- 2.
Características clínicas, tasa de crecimiento, relación con estructuras vecinas.
- 3.
Histología.
- 4.
Presentación clínica de la recurrencia.
- 5.
Edad del paciente y condiciones generales.
De acuerdo con las características histológicas de esta lesión, debería haberse efectuado un tratamiento más agresivo, sin embargo, dada la extensión de la misma, un tratamiento resectivo inicial implicaba necesariamente secuelas funcionales y estéticas de envergadura. Tomando en cuenta la edad y las condiciones sistémicas de la paciente, se decidió efectuar un tratamiento conservador tomando como base la descompresión de la misma. Al comprobarse una buena respuesta a este tratamiento, se decidió continuar con la descompresión y proceder al tratamiento quirúrgico resectivo en una segunda etapa y frente a una lesión de menor tamaño, lo que evitó secuelas.
Tras 10 meses de seguimiento clínico-radiográfico se constata la reducción de la mayor parte de la lesión, pudiendo ser considerada la terapia descompresiva, según los parámetros de Nakamura, como muy efectiva. Según menciona el autor, la mayoría de las veces esta efectividad se constata en pacientes jóvenes, en la región molar y en la rama mandibular, características presentes en el caso descrito.
Otro punto que considerar es la relación de la lesión con el nervio dentario inferior; si bien la paciente en un principio presentaba semiología compatible con un compromiso de este nervio, esto fue decreciendo gradualmente hasta desaparecer completamente a los tres meses tras iniciar la descompresión.
Los patrones histopatológicos sustentan la marcada diferencia en cuanto a tasas de recurrencia frente a una terapia conservadora; en este contexto, los subtipos uniquísticos de crecimiento intramural (subtipos IIIa y IIIb de Ackermann) presentan tasas de recurrencia de hasta un 35,7% frente a sólo un 6,7% de los otros tipos de ameloblastomas uniquísticos (subtipos I y II de Ackermann)11.
El caso clínico expuesto presentaba el subtipo histopatológico de crecimiento intramural, subtipo IIIa de Ackermann, que invadía la cápsula y el tejido óseo subyacente. De acuerdo a la literatura, la terapia adecuada para este tipo de lesiones es el tratamiento radical.
Una vez efectuada la terapia descompresiva se realizó la exéresis de la lesión residual, curetaje óseo y la exodoncia del tercer molar incluido intralesional. Se ha mantenido a la paciente bajo un estricto seguimiento clínico-radiográfico cada dos meses, encontrándose actualmente sin signos clínicos ni radiográficos de recurrencia. De acuerdo a las características del ameloblastoma uniquístico intramural, la literatura recomienda un seguimiento cada tres meses por un período mínimo de 5 años, por lo que es fundamental informar y motivar al paciente para que sea consciente de su responsabilidad en el éxito.







