A pesar de no evidenciarse ningún patógeno de nuevo en cultivos y tinciones, se obtuvo serología positiva 1/320 mediante aglutinación directa de inmunoglobulinas totales para Francisella tularensis. Es un cocobacilo aerobio gram negativo intracelular muy virulento, considerado como un potencial agente para bioterrorismo. Fue aislado por primera vez en ardillas en 1911, California, nombrado en honor al Dr. Edward Francis1.
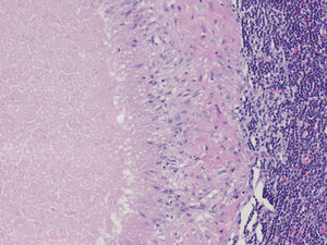
El mecanismo de transmisión más probable del caso es por contacto directo conjuntival, con salpicadura de sangre al despellejar un conejo contaminado. Con diagnóstico de tularemia oculoglandular, se trató inicialmente con ciprofloxacino sin lograr controlar la infección, la gentamicina tuvo que ser suspendida por toxicidad vestibular, y con doxiciclina se obtuvo una respuesta parcial. Finalmente se intervino de parotidectomía superficial izquierda (fig. 1) ampliada con adenomegalias circundantes, y completó 15 días postoperatorio de la tetraciclina. La anatomía patológica informó de varios ganglios linfáticos intraparotídeos con linfadenitis granulomatosa necrosante (fig. 2) con tinciones gram, PAS, plata y Ziehl-Neelsen negativas. La PCR universal de la pieza fue positiva para Francisella. En el control postquirúrgico a los 6 meses, la paciente permanece asintomática.
Las parotiditis pueden ser causadas por virus, bacterias, hongos, parásitos, protozoos o enfermedades inmunológicas y granulomatosas. Las bacterias más frecuentes son estafilococos y anaerobios. Los mecanismos de patogénesis descritos son la ascensión retrógrada y estasis salival, y como favorecedores bocas sépticas e inmunodepresión. En estadios iniciales suelen responder a antibioterapia, pero cuando se abscesifican se recomienda intervenir para drenaje o sialadenectomía, por riesgo de extensión cervical profunda2.
La tularemia es una antropozoonosis transmitida a humanos por picadura de insectos, contacto directo con conejos u otros roedores, inhalación o ingestión de material contaminado. Es más frecuente en el hemisferio norte, y en Europa en los países escandinavos, Turquía y España. La subespecie principal en nuestro medio es el tipo B u holarctica3–6.
En humanos las presentaciones son: ulceroglandular, glandular, orofaríngea, oculoglandular, neumónica y sistémica (tifoidea y séptica). La forma ulceroglandular es la más frecuente en América del Norte, y la orofaríngea en Europa. La oculoglandular, que es de las más raras, constituye aproximadamente un 4% de todos los casos en España6. Ante la sospecha diagnóstica, se toman muestras sanguíneas, secreciones respiratorias y raspados-biopsias de lesiones cutáneas y ganglios linfáticos. El gold standard para el diagnóstico son los cultivos, sin embargo, debido a las condiciones especiales de crecimiento requeridas como medios enriquecidos en cisteína, muchas veces son negativos. Por la clínica y métodos serológicos (aglutinación de anticuerpos, enzimáticos, electrotransferencia,...) y moleculares (PCR, electroforesis, ribotipado, secuenciación 16S rDNA,...) es como se suelen enfocar los casos3,4. A nivel histológico forma parte del diagnóstico diferencial de las linfadenitis granulomatosas. Se dividen en no infecciosas, destacando la sarcoidosis y neoplasias linfoproliferativas, y en infecciosas. Estas a su vez en no supurativas como la tuberculosis, y en supurativas, como es nuestro caso o la enfermedad por arañazo de gato. Los granulomas se forman tras varias semanas de infección, con un centro de necrosis caseosa, rodeados de células epitelioides7.
En nuestra paciente, con los antecedentes descritos y ante una masa parotídea multiloculada y fistulizada con importante reacción adenopática subyacente, se descarta primero una infección por bacterias convencionales (gram y cultivos negativos), reactivación de tuberculosis (Ziehl y PCR negativos) y recidiva de linfoma (no síntomas B y recuentos hematológicos normales), previo a la sospecha de tularemia. En nuestro medio, debemos tenerla presente ante un cuadro infeccioso ganglionar con manifestaciones dermatológicas, amigdalitis, faringitis, neumónicos o conjuntivitis que no responde a beta-lactámicos, ya que en los últimos años está reemergiendo4,5.
Los antibióticos empleados habitualmente son fluorquinolonas, tetraciclinas, aminoglucósidos y cloranfenicol. Por toxicidad, resistencias y recurrencias se están desarrollando ensayos in vitro y en animales, que consideran ketólidos, glicilciclinas, nuevas fluorquinolonas, linezolid, antimicrobianos liposomales y peptídicos, inmunomoduladores y anticuerpos específicos. Actualmente no existe vacuna disponible con licencia8.
Igual que el nuestro, existen otros casos descritos con mala respuesta a pautas convencionales de antibioterapia, que se han beneficiado de ciclos prolongados de antimicrobianos y cirugía concomitante9,10.
Responsabilidades éticasProtección de personas y animalesLos autores declaran que para esta investigación no se han realizado experimentos en seres humanos ni en animales.
Confidencialidad de los datosLos autores declaran que han seguido los protocolos de su centro de trabajo sobre la publicación de datos de pacientes.
Derecho a la privacidad y consentimiento informadoLos autores han obtenido el consentimiento informado de los pacientes y/o sujetos referidos en el artículo. Este documento obra en poder del autor de correspondencia.
Al jefe y todos los adjuntos del Servicio de Cirugía Oral y Maxilofacial, y al Dr. Ayman Gaafar Eleraky de Anatomía Patológica del Hospital Universitario Gurutzeta/Cruces, Barakaldo, Vizcaya.




