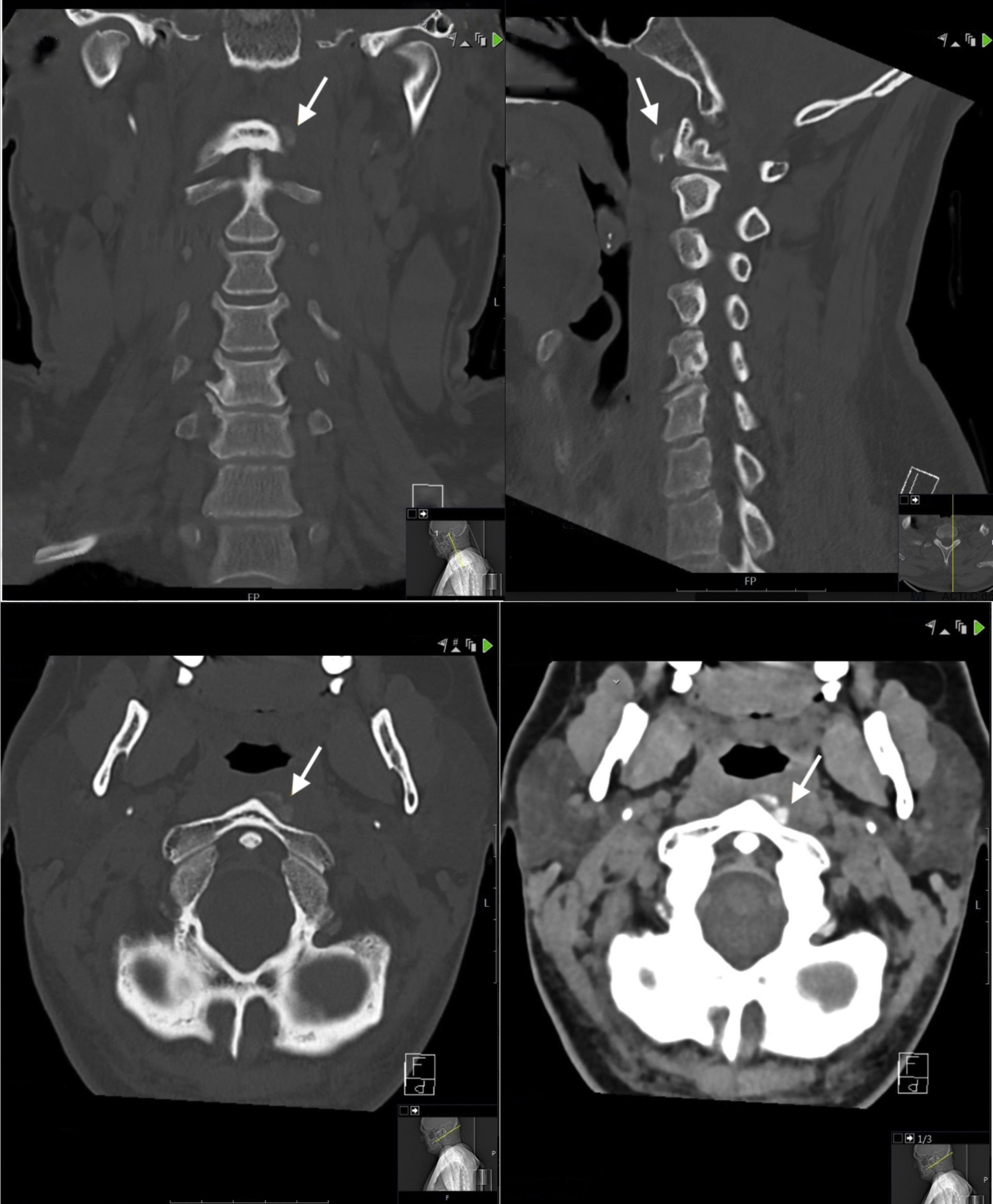
A 44-year-old man presented with a 7-day history of persistent significant neck pain, dysphagia and difficulty with swallowing. The patient reported having moved heavy stuff prior to the beginning of the symptoms. Throughout the last week he sought relief through painkillers, kinesitherapy and acupuncture, none of which yielded any help. Physical examination revealed no obvious swelling neither pus or fever. The patient did not show any findings of paraesthesia nor loss of strength in the arms. Neck flexion was slightly painless but extension and rotation to both sides was very limited. The patient did not have a history of musculoskeletal pain in other locations; therefore, any other potential site of soft tissue or intra-articular calcifications has not been investigated. Cervical CT revealed a soft tissue calcification anterior to C1–C2 vertebrae on the left side. Given the localization of the calcification and the patients symptoms a tentative diagnosis of acute calcific tendonitis of the longus colli (ACTLC) was made.
ACTLC is a very rare cause of severe neck pain and dysphagia and may be easily mistaken for other common causes of neck pain such as retropharyngeal abscess or a neurological disorder.1 It is characterized by the deposition of calcium hydroxyapatite crystals within the tendons of the longus colli muscle.2 The typical presentation of a patient is with symptoms unrelated to the degree of calcification seen on CT. This discordant presentation should raise the clinical suspicion for ACTLC to avoid unnecessary medical or even surgical intervention. The recognition of this condition seems to be increasing lately within various disciplines3–6 and we hope that this paper will further contribute to the familiarity of this rare entity among physicians dealing with neck pain.
The first known cases of acute calcific longus colli tendinitis dates back to the 60s. Hartley7 claimed a relationship between the presence of prevertebral calcifications on conventional radiography and acute neck pain, odynophagia, and limited cervical ROM and Fahlgren et al.8 described an association between these calcifications and the superior tendon of the longus colli muscle. The confirmation of such an association, however, would only come many years later, in 1994, by Ring et al. who demonstrated the presence of hydroxyapatite crystal deposition in this particular disorder.9 Following this achievement, the literature has observed a growing tendency in the published reportsver over ACTLC with over 100 papers to date, with the majority appearing in radiology and neuroradiology journals. Of note, only around 10 of these papers have been published in rheumatology journals. Almost all of these papers reported neck pain and limitation of range of motion as the primary complaints of patients. Importantly, more than 1 of every 10 patients received useless antibiotherapy, demonstrating the importance of including ACTLC as a differential in neck pain. In almost 90% of cases NSAIDs provided comfort in symptoms within an average of 2 weeks. The disease is, indeed, accepted to be a self-limiting condition with a treatment duration of an average of 2 weeks. In our specific case, the diagnosis was made using a CT scan and the patient was prescribed NSAID treatment for 10 days, after which he reported complete resolution of symptoms (Fig. 1).
The author declares no conflict of interest.



