Las fracturas de tobillo constituyen una de las principales causas de consulta a los servicios de urgencias alrededor del mundo, con una incidencia de 187/100.000 habitantes año. La más frecuente es la tipo B en la clasificación de Weber, con una evolución hacia la artrosis a largo plazo del 14%. Aunque el diagnostico de la fractura del peroné distal en una radiografía de tobillo es muy sencillo, probablemente se ha sobrestimado su utilidad para proporcionar elementos de juicio necesarios para decidir el método de tratamiento adecuado para la fractura. El objetivo del estudio es evaluar la utilidad diagnóstica de las radiografías de tobillo y su concordancia interobservador para la toma de decisiones de tratamiento en fracturas de tobillo Weber B.
Materiales y MétodosSe realizó un experimento, prospectivo, aleatorizado, doble ciego, multicéntrico, mediante la aplicación de encuestas en tres países a Ortopedistas, residentes de ortopedia y Cirujanos de pie y Tobillo, en las cuales se les presentaban cuatro casos de fracturas de tobillo Webber B de características quirúrgicas en proyecciones unilaterales y comparativas, midiendo la variabilidad de las decisiones quirúrgicas.
ResultadosSe recolectaron 152 encuestas que respondieron 110 ortopedistas (72.37%), 24 cirujanos de pie y tobillo (15.79%), 4 cirujanos de otras subespecialidades ortopédicas (2.63%) y 14 residentes de ortopedia (9.21%). Se encontró una concordancia interobservador en las proyecciones comparativas del 70.83% (p<0.05) y en las unilaterales del 55.31%, (p<0.05), al realizar regresión lineal entre la respuesta el grado de entrenamiento, los años de experiencia y el país de procedencia no se encontró causalidad (poder de ?? <95%). El 100% de los encuestados diagnosticó la fractura del peroné distal.
DiscusiónLa serie radiográfica unilateral y comparativa no se recomiendan para la toma de una adecuada decisión quirúrgica en las fracturas de tobillo Weber B, dada su muy baja concordancia inter-observador. Para la toma de decisiones en fracturas de tobillo Weber B es necesaria la toma de otros exámenes complementarios como la Tomografía axial Computarizada.
Nivel de Evidencia: II
Ankle fractures are one of the main causes of consultation with emergency services around the world, with an incidence of 187 / 100,000 inhabitants per year. The most common is type B in the Weber classification, with a long-term evolution towards osteoarthritis of 14%. Although the diagnosis of distal fibular fracture on an ankle radiograph is very simple, its usefulness has probably been overestimated to provide the necessary insights to decide the appropriate treatment method for the fracture. The objective of the study is to evaluate the diagnostic utility of ankle radiographs and their inter-observer agreement for the treatment decision making in Weber B fractures.
MethodsA prospective, randomized, double-blind, multicenter trial using three-country surveys of orthopedic surgeons was conducted; orthopedic surgeons and foot and ankle surgeons, were exposed to four Weber B ankle fractures x-ray series where surgery was actually required as the only treatment option. Unilateral and comparative projections, where presented in different time and order to each surgeon, measuring the variability of surgical decisions.
ResultsFifty-one orthopedic surgeons (72.37%), 24 foot and ankle surgeons (15.79%), 4 surgeons of other orthopedic subspecialties (2.63%) and 14 orthopedic surgery residents (9.21%) were surveyed. An inter-observer agreement of 70.83% (p <0.05) was found in the comparative projections series and 55.31% (p <0.05) in the unilateral ones. When performing linear regression between the training degree, years of experience and the provenance country of the surgeons, no causality was found (power of β <95%). Nevertheless, 100% of the respondents diagnosed the fracture of the distal fibula as a Weber B fracture.
DiscussionThe unilateral and comparative radiographic series are not recommended for making an adequate surgical decision in Weber B ankle fractures, given their very low inter-observer agreement. For decision making in Weber B ankle fractures it is necessary to take other complementary examinations such as Computed Axial Tomography.
Evidence Level: II
Las lesiones de la articulación del tobillo ocasionan alrededor de 5 millones de visitas a los servicios de emergencias en los Estados Unidos ocasionando un gasto de 3 billones de dólares por año, con una incidencia de 187 / por cada 100.000 habitantes por año. Estas fracturas corresponden al 9% de todas las fracturas y alrededor del 30% de las lesiones del pie y tobillo 1. En Colombia, las fracturas de tobillo Weber B afectan indistintamente a hombres y mujeres con una incidencia de 120/ por cada 100.000 habitantes por año. Su principal causa es caída desde la propia altura, con una prevalencia del 67% entre todas las fracturas relacionadas con trauma de tobillo2,3.
Entre las fracturas de tobillo la más frecuente es la tipo B en la clasificación de Weber que a su vez corresponde a la fractura de Supinación-Eversión y Pronación-Abducción en la clasificación de Lauge-Hansen (clasificación de acuerdo a mecanismo de trauma), y a 9 tipos diferentes de patrones en la Clasificación de la AO (clasificación de acuerdo al patrón exacto de fractura).
La clasificación de Danis-Weber mas conocida solo como Weber, fue introducida por Danis en 1949 y modificada por Weber en 1972. La simplicidad de la clasificación original de Danis-Weber la ha hecho muy popular. Sin embargo, su principal desventaja es que no toma en consideración ninguna lesión de las estructuras mediales. Existen tres tipos de lesiones laterales de Weber: A (infrasindesmales), B (transindesmales) y C (suprasindesmales). Las tipo A son lesiones infrasindesmales, son producidas por fuerzas de inversión, en las que se combinan mecanismos de aducción y varo (Lauge-Hansen). La secuencia de las lesiones se produce de fuera hacia adentro. Las tipo B son lesiones transindesmales que son producidas por fuerzas de eversión, en las que se combinan mecanismos de abducción y valgo (Lauge-Hansen). La aparición de las lesiones varía según la posición del pie. Si el pie está en supinación las lesiones se iniciarán en el lado externo finalizando en el lado interno. Si el pie está en pronación las lesiones se iniciarán en el lado interno e irán progresando hacia el lado externo. Las tipo C son Fracturas suprasindesmales que son producidas por fuerzas que actúan en eversión (abducción más valgo), pero con un predominio de los vectores de abducción que aumentan la gravedad de las lesiones y la inestabilidad (Lauge-Hansen). Las Tipo C son fracturas bifocales con ruptura del ligamento tibioperoneo anteroinferior o bien del anterior y posterior. La fractura del peroné es suprasindesmal y la lesión medial afecta al ligamento medial o al maléolo medial4. El mayor inconveniente con la clasificación de Weber es que en un solo grupo (Weber B) se incluyen dos diferentes mecanismos de trauma (Lauge-Hansen Supinación-Eversión y Pronación-Abducción), por lo cual en realidad la toma de decisión de tratamiento se hace muy compleja porque no todas las Fracturas Weber B tienen en realidad las mismas lesiones.
Por anatomía, todas las fracturas de tobillo corresponden a fracturas intra-articulares y se deberían denominar fracturas maleolares o luxo fracturas. Usualmente, estas fracturas se acompañan de una alteración de la congruencia articular, secundaria o no a la presencia de una lesión cápsulo-ligamentria. 5 Con excepción del tobillo, por regla general se acostumbra tomar exámenes imagenològicos adicionales a las radiografías (TAC o Resonancia Magnetica) en toda fractura intra-articular que afecta el sistema musculo-esquelètico,. La determinación del escalón y la brecha intra-articular en una fractura intra-articular del tobillo tienen un componente adicional: la rotación del peroné, que se comporta biomecánicamente como un escalón intra-articular (imposible de medir en una serie de radiografías de trauma de tobillo, incluso utilizando mediciones comparativas con el tobillo contralateral sano) en un tercer plano: el axial. Sin embargo, la percepción general de los ortopedistas e incluso los cirujanos de pie es que la fractura de tobillo Weber B es una fractura relativamente inocente, generando un juicio de valor a priori acerca de la misma, facilitando un error al momento de tomar la desición entre el manejo quirúrgico con sus diferentes posibilidades técnicas y el manejo no quirúrgico. En términos generales se podría afirmar que la probabilidad de error diagnostico de la fractura del peroné distal es prácticamente 0%. El problema es que una luxo-fractura de tobillo Weber B no es lo mismo que una fractura aislada extra-articular del peroné distal y por lo tanto se debe diferenciar el elemento diagnostico de tamizaje (serie radiológica de trauma), de los diferentes elementos de juicio que se deberían tener en cuenta para establecer el tratamiento apropiado en cada caso en particular. La facilidad con que se realiza el diagnostico de la fractura del peroné distal, no necesariamente significa que con tan solo una serie radiológica simple o comparativa del tobillo se pueda evaluar plenamente y con ligereza la rotación del peroné distal, el acortamiento, la consideración de la rotación como un escalón articular, etc. Al ser el tobillo un complejo sistema articular de transferencia de cargas, la más mínima variación en su configuración anatómica va a generar un incremento de carga que a largo plazo terminará inevitablemente produciendo una artrosis del tobillo. Es por esto que cada vez con mayor frecuencia vemos pacientes manejados tanto quirúrgicamente como no quirúrgicamente hace 30 o 40 años desarrollando artrosis de tobillo.
Con el aumento de la sobrevida de la poblacional alrededor del mundo, se ha hecho evidente que el 14% de las fracturas de tobillo Weber B evolucionan hacia la artrosis. Sin embargo este número ha venido creciendo en en años recientes. Tres situaciones hacen que el ortopedista no reconozca este problema dentro de su propia experiencia: primero, el desarrollo de una artrosis de tobillo excede en la mayoría de las ocasiones la vida profesional del Ortopedista, debido a que el tobillo es un sistema de transferencia de cargas, razón por la cual la artrosis se desarrolla de manera larvada a muy largo plazo (algunos pacientes a quienes les colocamos un yeso hace 10 años desarrollarán la artrosis del tobillo dentro de 30 años o más); segundo, el elevado aumento del promedio de vida poblacional mundial, que en los últimos 50 años prácticamente ha duplicado el observado en el periodo inmediatamente anterior de 2.000 años (Existe una altísima probabilidad de que el paciente a quien le coloqué el yeso hace 10 años sobreviva 30 años más para desarrollar la artrosis de su tobillo) 6; y tercero, aparentemente y sin explicación alguna en la literatura científica, esta fractura ha sido considerada como una fractura extra-articular, aunque claramente el trazo de la fractura en el peroné involucra la articulación del tobillo y por lo tanto, es una fractura intra-articular.
A pesar de la complejidad y amplia variabilidad de las fracturas Weber B, su evaluación y la forma en la que se toman las decisiones sobre su manejo, permanecen como al principio de los tiempos cuando se inventó la radiología convencional, sin que se haya realizado prácticamente ningún estudio al respecto de los valores predictivos positivo y negativo de la técnica radiológica convencional de una extremidad o comparativa con la otra extremidad. A pesar de tener muchas mediciones debidamente estandarizadas para la técnica radiológica, en ocasiones el ortopedista no las realiza de manera rigurosa, o no realiza la comparación con la extremidad contralateral, usualmente normal.
No hay ninguna discusión acerca del valor diagnóstico de la radiografía de tobillo como tamizaje para determinar la fractura del peroné distal, ni de la inferencia que se realiza sobre el patrón de fractura, en este caso: Weber B. Al ser la fractura Weber B un conjunto de lesiones ligamentarias y óseas con extensión intra-articular, donde por ejemplo la rotación del peroné distal debe ser considerada como un escalón intra-articular, no debe asumirse a la ligera que el hecho de ver un trazo de fractura en el peroné distal constituye el total de los elementos de juicio necesarios para tomar una adecuada decisión quirúrgica o de tratamiento conservador en cada caso específico.
Independientemente del tiempo de vida de la población, la inadecuada reducción anatómica de las fracturas Weber B del tobillo es la causa de que el 14% de estas lesiones evolucionen hacia una artrosis postraumática del tobillo, con resultados clínicos y funcionales, como mínimo tan malos como la artrosis de cadera y rodilla.
El objetivo del estudio es evaluar la utilidad diagnóstica de las radiografías de tobillo y su concordancia inter-observador para la toma de decisiones quirúrgicas en fracturas de tobillo Weber B.
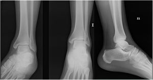
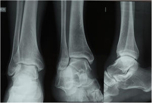
Materiales y MétodosSe realizó un ensayo auto-controlado, aleatorizado, doble ciego, multicéntrico, mediante la aplicación de encuestas en tres países a ortopedistas generales, subespecialistas en cirugía de pie y tobillo y residentes de ortopedia y traumatología. Se estableció el criterio de aleatorización simple mediante la presencia de los encuestados en los simposios de pie y tobillo en la ciudad de Guayaquil en el marco del congreso Ecuatoriano de Ortopedia y Traumatología, En la ciudad de Cali en el marco del curso nacional del Pie y Tobillo de la sociedad Colombiana de Cirugía Ortopédica y Traumatología y en la ciudad de Cancún en el marco del Congreso mexicano de Ortopedia y Traumatología de la FEMECOT, estableciéndose como criterio de inclusión estar en disposición de evaluar los casos clínicos y realizar la encuesta independientemente de su grado de entrenamiento o años de experiencia. Se entregaron cuatro casos de fracturas de tobillo Webber B de características quirúrgicas por sus mediciones radiológicas con desenlaces conocidos por los autores Senior (Eduardo Reina, Juan Manuel Herrera, Carlos Ramirez, Bosco Mendoza y Victor Toledo) como se observa en la figura 1.
En el caso número 1 se estableció como criterio quirúrgico la diferencia de el ángulo talocrural de 6° y la línea de shenton con una incongruencia de 3mm en el lado fracturado figuras 2 y 3
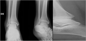
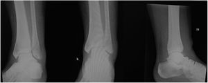
En el caso 2 se estableció como criterio quirúrgico el espacio claro medial aumentado de 5mm y la diferencia de 5 grados de el ángulo talocrural como se observo en las figuras 4 y 5,
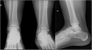
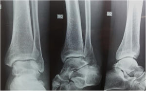
En el caso 3 se estableció como criterio quirúrgico 1mm de discrepancia de la línea de shenton y una apertura de el espacio claro medial de 6mm, además de una malrotacion del peroné y discrepancia de el ángulo talocrural, como se observo en las figuras 6 y 7. figura 8, figura 9
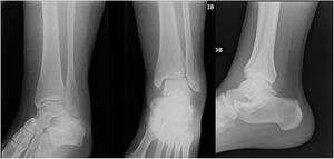
En el caso 4 se estableció el criterio quirúrgico la diferencia de 9 grados en el ángulo talocrural con la radiografia comparativa y el espacio claro medial aumentado 1mm.
En momentos diferentes, se entregó a cada participante del estudio una serie con los cuatro casos, todos evaluados mediante una serie de trauma unilateral y nuevamente, pero en un momento diferente de tiempo, los mismos cuatro casos con las mediciones radiológicas explícitamente escritas y realizadas debidamente con comparación del lado contralateral sin decirle al participante que eran los mismos cuatro casos iniciales de las series de trauma unilateral.
Denominamos grupo de estudio a la serie radiográfica unilateral sin mediciones radiológicas, y grupo autocontrol a la serie radiográfica comparativa con mediciones explícitas de los mismos 4 casos de fracturas, no se alteró el orden de los casos en la encuesta.
Se midieron el grado de entrenamiento de los encuestados, los años de experiencia, el país de realización de la encuesta, la variabilidad de la toma de decisión quirúrgica, caso por caso y en conjunto de las respuestas en las radiografías comparativas y no comparativas y la relación de causalidad entre la respuesta, por grado de entrenamiento, años de experiencia y país de realización de la encuesta.
Para el análisis estadístico se utilizó el programa PSPP, y se midieron la significación estadística de las variables mediante T Student para las variables cuantitativas y el Chi cuadrado para las no cuantitativas, con una significativa estadística de p<0.05, las razones de semejanza mediante regresión lineal y tablas cruzadas con un poder de Beta del 95%.
El estudio fue considerado sin riesgo para los encuestados, y aprobado por el comité de ética de la Fundación CIMB cumpliendo así con las nomas técnicas y administrativas para la investigación en salud incluidas en la resolución 008430 de 1993 del Ministerio de Salud de la República de Colombia (Artículo 17).
ResultadosSe realizaron un total de 172 encuestas de las cuales 90 fueron en radiografías comparativas y 82 no comparativas, la distribución por grado de entrenamiento se puede ver en la tabla 1. Ciento veinticinco (125) ortopedistas respondieron las encuestas (72.67%), 27 cirujanos de pie y tobillo (15.70%), 4 cirujanos de otras subespecialidades ortopédicas (2.33%) y 16 residentes de ortopedia y traumatología (9.30%), en Ecuador se respondieron 46 encuestas (26.74%), en Colombia 65 (37.79%) y en México 61 (35.47%)
El 100% de los encuestados diagnosticaron la fractura del peroné distal e infirieron que el trazo de fractura correspondía a una luxofractura de tobillo Weber B, tanto al visualizar la serie de radiografías unilaterales, como la serie de radiografías comparativas para un valor predictivo positivo diagnóstico del 100% y predictivo negativo del 100%
La distribución entre países se documentó en la tabla 2
País de encuestaLa experiencia de los encuestadas fue medida en años con una media de 13.4 años (desviación estandard (DS) 9.79 (rango de 1-44)).
Las respuestas de casos de radiografías unilaterales fueron un total de 320 (Ver tabla 3), tomando una decisión quirúrgica el 55.31% de los encuestados, con una significancia estadística de p <0.5 al realizar el análisis independiente por caso clínico. La decisión quirúrgica en las radiografías comparativas con las medidas explícitas y las radiografías de control contralateral correspondientes a 368 casos (grupo autocontrolado) mostró que el 73,37% de los encuestados tomó una decisión quirúrgica con una significancia estadística de p<0.5 al realizar el análisis independiente por caso clínico. (Ver tabla 4)
Decisión quirúrgica en las radiografías Unilaterales (no comparativas)
Decisión quirúrgica en radiografías comparativas con medición
Al realizar la medición de cuantos profesionales sujetos de estudio consideraron quirúrgicos los 4 casos se encontró que en las radiografías unilaterales 14 (17.07%), respondieron que los 4 casos eran quirúrgicos, mientras que en las radiografías comparativas 32 sujetos (35.55%), consideraron quirúrgicos los 4 casos, al realizar la medición de comparativas y no comparativas, 46 sujetos acertaron en los 4 casos (26.74%)
La decisión quirúrgica en los casos independientemente de la presencia de radiografías comparativas se ven en las tablas 5, 6, 7 y 8.
Al realizar cruce de variables entre los casos y la presencia de radiografías comparativas y no comparativas por caso se observó que no había significancia estadística en la capacidad de resolver quirúrgicamente los casos cuando se aportaban una sola serie radiológica de trauma ni tampoco cuando se aportaron las radiografías comparativas. Aunque el acuerdo fue mayor utilizando la serie comparativa y el sistema de mediciones comparativas, tampoco se obtuvo significancia estadística en la toma de decisiones. (Ver tablas 9, 10, 11 y 12)
Cruce de variables entre radiografías comparativas y caso 1
| Estadístico | Valor | df | Sig. Asint. (2-colas) | Sig. Exact.(2-tailed) | Sig. Exact.(1-tailed) |
|---|---|---|---|---|---|
| Chi-cuadrado de Pearson | 4.42 | 1 | .036 | ||
| Razón de Semejanza | 4.42 | 1 | .035 | ||
| Prueba exacta de Fisher | .045 | .027 | |||
| Corrección de continuidad | 3.74 | 1 | .053 | ||
| Asociación Lineal-by-Lineal | 4.39 | 1 | .036 | ||
| N de casos válidos | 172 |
Cruce de variables entre radiografías comparativas y caso 2
| Estadístico | Valor | df | Sig. Asint. (2-colas) | Sig. Exact.(2-tailed) | Sig. Exact.(1-tailed) |
|---|---|---|---|---|---|
| Chi-cuadrado de Pearson | 7.35 | 1 | .007 | ||
| Razón de Semejanza | 7.40 | 1 | .007 | ||
| Prueba exacta de Fisher | .009 | .005 | |||
| Corrección de continuidad | 6.55 | 1 | .010 | ||
| Asociación Lineal-by-Lineal | 7.31 | 1 | .007 | ||
| N de casos válidos | 172 |
Cruce de variables entre radiografías comparativas y caso 3
| Estadístico | Valor | df | Sig. Asint. (2-colas) | Sig. Exact.(2-tailed) | Sig. Exact.(1-tailed) |
|---|---|---|---|---|---|
| Chi-cuadrado de Pearson | 3.32 | 1 | .068 | ||
| Razón de Semejanza | 3.32 | 1 | .068 | ||
| Prueba exacta de Fisher | .076 | .052 | |||
| Corrección de continuidad | 2.63 | 1 | .105 | ||
| Asociación Lineal-by-Lineal | 3.30 | 1 | .069 | ||
| N de casos válidos | 172 |
Cruce de variables entre radiografías comparativas y caso 4
| Estadístico | Valor | df | Sig. Asint. (2-colas) | Sig. Exact.(2-tailed) | Sig. Exact.(1-tailed) |
|---|---|---|---|---|---|
| Chi-cuadrado de Pearson | 11.83 | 1 | .001 | ||
| Razón de Semejanza | 11.94 | 1 | .001 | ||
| Prueba exacta de Fisher | .001 | .000 | |||
| Corrección de continuidad | 10.79 | 1 | .001 | ||
| Asociación Lineal-by-Lineal | 11.76 | 1 | .001 | ||
| N de casos válidos | 172 |
Al realizar regresión lineal entre los resultados de decisión quirúrgica, grado de entrenamiento, años de experiencia, país de origen no se encontró relación de causalidad, con un poder de beta <95%. Ningún observador hizo referencia en las observaciones a una mala técnica o calidad de la imagen radiológica.
DiscusiónEl diagnostico de la fractura del peroné distal y su inferencia al patrón de luxofractura de tobillo Weber B se hace en la mayoría de las ocasiones con una serie de trauma de tobillo unilateral (AP, lateral y mortaja), y usualmente el ortopedista no requiere proyecciones adicionales para realizarlo. Sin embargo, de acuerdo con nuestros resultados, una serie unilateral de ninguna manera permite objetivizar criterios para la toma de una decisión terapéutica.
Pott y Lane en 1894 fueron los primeros en considerar que este tipo de lesiones requerían una reducción anatómica, concentrando todos los esfuerzos quirúrgicos a la estabilidad del compartimiento medial (maleolo tibial), realizando manejo quirúrgico solamente luego de una reducción fallida en el tratamiento conservador. Posteriormente el grupo de la AO (asociación para la osteosíntesis) en el año de 1958 realiza reducciones anatómicas del maléolo medial y lateral reportando excelentes resultados. Esta definido en la literatura y los estudios biomecánicos lo confirman que la tibia y el astrágalo son la articulación que mas tensión soporta por unidad de área lo cual hace muy importante que la superficie de contacto articular se debe preservar en todo momento como lo describió Ramsey y Hamilton, y Lloyd et al7,8. En las lesiones del maléolo lateral el astrágalo sigue al peroné, causando una alteración en la superficie de contacto donde 1mm de desplazamiento reduce hasta en un 42% el área de contacto tibio talar causando un daño irreversible en el cartílago articular. El tobillo que corresponde al sistema de trasferencia de carga más eficiente descrito. Es el responsable de una cadena cinética de marcha efectiva mediante la distribución simétrica de la carga en una superficie muy pequeña que soporta de 1.5 a 12 veces el peso corporal dependiendo de la velocidad de la marcha o la carrera. Esta carga no puede ser asumida por unidad de área por el tobillo y por lo tanto es manejada biomecànicamente mediante la trasferencia de carga articular hacia proximal o distal dependiendo de si el momento articular se encuentra en aceleración o desaceleración9, por lo cual cuando hay alteraciones pequeñas en el tobillo (micro-inestabilidad) se genera un dolor crónico y se evoluciona a una artrosis funcional10. El daño arquitectónico del tobillo es un proceso posterior al daño funcional del mismo, contrario a lo que ocurre en articulaciones de carga pura como la cadera y la rodilla.
La controversia en el tratamiento de las fracturas de maléolo lateral persiste durante el tiempo, a pesar de todos los esfuerzos que se realizan por tener un mejor conocimiento de la biomecánica de el tobillo, las decisiones quirúrgicas de estos pacientes se siguen tomando de manera apresurada, desconociendo todas las herramientas diagnosticas con las que se cuentan.
Se reconoce en la literatura y esta claro que las fracturas aisladas de maléolo lateral tipo Weber b, producen traslación medial del talo lo cual altera biomecanicamente la superficie de carga, además ocurre un acortamiento del peroné y en varias ocasiones rotación del mismo, lo cual esta acorde a las mediciones realizadas en las radiografías expuestas a los encuestados.
Es necesario contar con las 3 proyecciones radiográficas descritas en la literatura, tener proyecciones comparativas y realizar las mediciones respectivas, para lo cual se requiere una adecuada técnica y calidad de las imágenes. Cuando se cumplen estos requisitos, se puede hacer un adecuado diagnóstico, estando acorde con nuestro estudio en el cual se observa un valor predictivo positivo del 100% en la radiografía convencional. En las fracturas aisladas del maléolo lateral se deben realizar las medidas radiológicas completas, lo cual permite establecer el grado del compromiso articular, y así tener claridad sobre la toma de decisión quirúrgica o no quirúrgica en este tipo de pacientes, encontrando que la concordancia interobservador en grupo de estudio es del 55.31% en nuestros sujetos observados y en las radiografías comparativas con medidas establecidas del 73.37%, lo cual no se encuentra influenciado por el país de procedencia, grado de entrenamiento o años de experiencia datos que no se encuentran reportados en la literatura revisada11.
Aunque el alcance del estudio no permite demostrarlo, podemos inferir que existe un juicio a priori considerando a estas fracturas como inocentes por parte de los encuestados. Debido a que solamente el 26.47% de ellos tomo la decisión terapéutica adecuada (quirúrgica) en los cuatro casos independientemente de si las radiografías fueron comparativas o no (17.07% en las radiografías unilaterales y 35.55% en las comparativas con las mediciónes proporcionadas por los autores) podemos concluir que este juicio “a priori de inocencia de la fractura” podría conducir a decisiones terapéuticas inadecuadas que redundan en el alto porcentaje de artrosis de tobillo descrito en los estudios de Donken et al, Glazebrook et al y Thomas et al12–14.
Meijer y Cols en el 2015 15 determinaron la precisión diagnostica de la radiografía convencional en la apreciación de fracturas del maléolo posterior encontrando una pobre correlación entre las radiografías y estudios tomograficos en tres dimensiones concluyendo que se deben realizar estudios adicionales en 3 dimensiones para estimar adecuadamente el porcentaje del compromiso articular en estos pacientes.
El tratamiento quirúrgico de las fracturas weber B que presentan algún signo radiológico de compromiso articular o desplazamiento del área de contacto ha demostrado mejores resultados a largo plazo, con disminución de la artrosis postraumática y disminución en el dolor referido por los pacientes, por lo cual debemos ser muy estrictos en el momento de tomar una decisión quirúrgica o no, ya que debemos ser intolerantes con las deformidades residuales para obtener mejores resultados en el tratamiento final de nuestros pacientes16.
Donken y cols 17 encontraron en su revisión retrospectiva de 288 pacientes en la cual las fracturas Weber B presentan una alta incidencia de no unión, hasta de el 8%, debido a que se subestima la micro-inestabilidad residual que se produce cuando no se obtiene un reducción completamente anatómica, especialmente cuando se depende de los criterios radiológicos antes mencionados. Además, encontraron ausencia de pesudoartrosis después de la estabilización quirúrgica, lo cual adiciona otra probable complicación si se realiza un manejo inadecuado de estas lesiones cuando la decisión es manejarlas de manera no quirúrgica. Dong Yeo y Cols en 201518 evaluaron los resultados y las complicaciones de el tratamiento quirúrgico con placas bloqueadas de las fracturas tipo Weber b encontrando excelentes resultados en cuento a función y mejoría en el dolor de el tobillo, al estabilizar las lesiones de manera segura y anatómica, evitando el desarrollo de inestabilidad y permitiendo el adecuado funcionamiento de la trasferencia de cargas en el tobillo.
Consideramos que las fracturas de tobillo Weber B, son fracturas intra-articulares, con un porcentaje alto de artrosis secundario a inadecuada reducción, con presencia de macro y micro-inestabilidad secundaria a las alteraciones morfológicas en las estructuras óseas y ligamentarias lesionadas en el tobillo. Particularmente los tobillos con micro-inestabilidad residual presentarán artrosis de tobillo en un tiempo mayor a la vida profesional promedio del Ortopedista. Por ser consideradas a priori fracturas inocentes y de manejo cotidiano, fácilmente se pierde la perspectiva de que en realidad representan un riesgo potencial de artrosis con implicaciones funcionales, emocionales y de discapacidad severas para los pacientes19. Se requieren estudios imagenológicos adicionales que permitan restituir con mayor certeza la estabilidad macroscópica y microscópica del tobillo, así como la congruencia articular durante el acto quirúrgico. Es necesario realizar investigaciones posteriores para establecer un método de medición objetiva en la tomografía axial computarizada para toma de decisiones en pacientes con fracturas de tobillo Weber B con el fin de evitar micro-inestabilidades residuales que conlleven al desarrollo de una artrosis larvada de tobillo.
Por lo tanto, concluimos que una serie radiográfica unilateral y/o una serie radiográfica comparativa son insuficientes para abordar terapéuticamente un paciente con una fractura de tobillo Weber B. Con los resultados obtenidos en el estudio, queda claro que la radiografía de tobillo es el patrón de oro en el diagnostico de la fractura del peroné, lo cual en ningún momento significa que tenga alguna utilidad en el planeamiento terapéutico y en la toma de desiciones en una fractura de tobillo Weber B.
Fuentes de FinanciaciónLa investigación fue financiada mediante beca 001-17 de la Fundación CIMB.
Conflicto de InterésLos autores no manifiestan tener algún conflicto de interés.























