Se describen los casos clínicos de dos pacientes adolescentes que son valorados en nuestro centro hospitalario con antecedente traumático previo en la rodilla afecta, uno de los cuales presentó fractura en la meseta tibial, y que presentan dolor, desviación progresiva en valgo de la rodilla, acompañado de acortamiento de la extremidad involucrada y, por ende, cojera a la marcha. En nuestro trabajo se describen el diagnóstico, el tratamiento y el manejo posterior a la cirugía del paciente, usando la escala KSS en donde valoramos la funcionalidad y la estabilidad de la rodilla afectada.
Nivel de evidencia: IV.
The clinical cases are described of two adolescent patients, assessed in this hospital with a previous traumatic history in the affected knee, one of whom had a fracture in the tibial plateau. The other present with pain, progressive deviation in valgus of the knee, accompanied by shortening of the limb involved, and therefore a limp to the gait. In this article, a description is presented on the diagnosis, treatment and post-surgery management of the patients, using the Knee Society Scale (KSS) to assess the functionality and stability of the affected knee.
Evidence level: IV.
El genu valgo, o genu valgum, se define como una alteración en el eje femorotibial (anatómico) más allá de los 6-8° de valgo fisiológicos, y se caracteriza por un desplazamiento del eje mecánico hacia el compartimento lateral, produciendo un desgaste precoz del mismo. En los primeros años de vida es considerado un proceso fisiológico, ya que en los pequeños se presenta un leve genu varo (o genu varum) y genu valgo cuando se inicia la marcha. El genu valgo aparece entre los 3 y 5años de edad; la alineación está presente a los 10años y se aproxima a la conformación del adulto; a los 14años la rodilla adquiere los ejes que conserva a lo largo de la vida1,2. Dentro de las posibles etiologías, se encuentran las idiopáticas, tumorales, degenerativas, congénitas, infecciosas, endocrinas, neurológicas, miopáticas, metabólicas y traumáticas3-5.
Cuando no ocurre la corrección según la evolución o cuando la magnitud de varo o de valgo excede, se habla de una deformidad angular, que traerá como consecuencia trastornos biomecánicas por incongruencia articular, pudiendo llevar a edades tempranas a artrosis de rodilla, provocando dolor, incapacidad funcional progresiva e invalidante, presentando así dificultad en la marcha. El 10% de los niños que presentan un genu valgo en la infancia y pasan a la adolescencia con la misma deformidad llegan a la edad adulta con un genu valgo patológico.
Radiológicamente, el ángulo tibio femoral medido en la radiografía anteroposterior (AP) es normal (de 4-7° para las niñas y de 5-9° para los varones), por lo que mediciones superiores se interpretan como genu valgum. Como estudio radiológico complementario en la vista AP se mide el ángulo entre la diáfisis femoral y sus cóndilos, el cual tiene un valor normal de 84°, así como el ángulo entre la diáfisis tibial y los platillos tibiales, que normalmente es de 87°. Las cifras por encima de estos valores también indican la presencia de genu valgum6-8.
En cuanto al tratamiento, una vez puesto en práctica el tratamiento conservador, el cual debe realizarse teniendo en cuenta la edad del niño, si el genu valgum persiste debe indicarse el tratamiento quirúrgico por medio de epifisiodesis o arresto epifisiario temporal de Blount, mediante la colocación de grapas a la edad de 11-12años, no debiendo realizarse antes por la posibilidad de recidiva. Una vez que ha cesado el crecimiento, evidenciado radiológicamente por el cierre de las placas de crecimiento, el proceder indicado es la osteotomía supracondílea del fémur, técnica que es más invasiva y, por tanto, con mayor tendencia a complicaciones. Esta puede ser de cuña cerrada, de cuña abierta, de V invertidas y realizadas por osteoclasia. La fijación de las osteotomías, por su parte, puede ser interna o externa, o incluso una combinación de ambas, presentando cada método ventajas y desventajas. Para realizar la osteotomía supracondílea se da gran valor al ángulo tibiofemoral medido en la radiografía AP, estando indicada cuando este se encuentra por encima de 15°9-12.
Las osteotomías varizantes son una alternativa en pacientes con genu valgo sintomáticos que padecen artrosis unicompartimental. De esta manera, el eje de carga es trasladado al compartimento medial sano, reduciendo los síntomas y retrasando o previniendo la necesidad de una artroplastia. Ya en el año 1973, Coventry propuso la osteotomía femoral distal cuando el eje femorotibial supera los 12° o cuando el plano de la articulación se desvía de la horizontal más de 10° (slope coronal de la tibia). En estos casos una osteotomía tibial resulta en un aumento de la inclinación superolateral de la articulación, generando inestabilidad y malos resultados13-16.
La osteotomía varizante de fémur distal se recomienda en pacientes jóvenes, sanos y activos, con artrosis unicompartimental asociada a genu valgo mayor de 12°. Dentro de las contraindicaciones, podemos nombrar el compromiso del compartimento medial, el déficit en la extensión, la inestabilidad o la patología inflamatoria, entre otras17. Al ser una patología poco frecuente, existe poca evidencia al respecto en la literatura, y el tratamiento ideal no está totalmente definido18,19.
El objetivo del siguiente trabajo es describir la técnica quirúrgica realizando osteotomía supracondílea usando la placa angulada de 95°, así como presentar los resultados clínicos y radiológicos de acuerdo a las escalas utilizadas, teniendo en cuenta la controversia en el tratamiento de esta patología, lo cual exige resultados cercanos a los óptimos.
Casos clínicosSe presentan dos casos clínicos en adolescentes de 14 y 17años. Describimos su historia clínica de manera individual y posteriormente tomaremos a uno de ellos para describir el tratamiento antes mencionado.
Caso #1Paciente femenino de 14años de edad, sin antecedentes patológicos de importancia. Refiere que hace 2años tuvo un trauma en la rodilla derecha, luego del cual la rodilla se fue desviando hacia afuera progresivamente, por lo que actualmente consulta por dolor, bloqueo en rodilla derecha y cojera para la marcha. Se solicitan estudios radiológicos con la finalidad de descartar alguna lesión osea (fig. 1).
Por el bloqueo que presentaba la paciente en la rodilla se solicitó resonancia magnética en la rodilla afecta, que no reportó lesión ni en meniscos ni en ligamentos (fig. 2). Se complementa con estudios de imagen por la discrepancia en la longitud de las extremidades inferiores, que aparentemente es de 2cm, por lo que se solicitó telemetría radiográfica de miembros inferiores para determinar la discrepancia exacta (fig. 3).
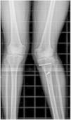
Paciente masculino 17años de edad que refiere que hace 4años, mientras realizaba actividad deportiva (fútbol), sufrió traumatismo sobre su rodilla izquierda, presentando fractura a nivel de la meseta tibial, por lo que le realizaron osteosíntesis con tornillos. Actualmente consulta por deformidad en valgo de la rodilla izquierda, acortamiento y rotación interna de la extremidad durante la marcha. Se realizan estudios radiográficos para valorar el estado de partes óseas (fig. 4); así mismo, se solicita telemetría de miembros inferiores para valorar el acortamiento de la extremidad afecta (fig. 5).
Una vez confirmado el diagnóstico, planificamos a nuestros pacientes para realizar osteotomía supracondílea femoral usando placa angulada de 95°, por lo que a continuación detallamos la técnica quirúrgica.
Técnica quirúrgicaMediante posición dorsal y abordaje lateral en la rodilla afecta, se llega al periostio, el cual se desperiostiza. Bajo guía de intensificador de imágenes se pasa clavo de Steiman de 3,0 de lateral a medial, pasando desde el cóndilo lateral en un ángulo de 95°, y otro clavo de Steiman a nivel supracondíleo, de manera transversal. Acto seguido se realiza osteotomía con cierre oscilante a este nivel, realizando la apertura de la misma. Se coloca placa condilar respectiva y, previa fijación de la misma, se mide el eje de la extremidad, dejando el mismo en 8° de valgo usando la torre de compresión axial de la AO (fig. 6), luego de lo cual se fija con los respectivos tornillos.
Después del procedimiento quirúrgico se manejó el postoperatorio acorde a lo normal, sin complicaciones.
ResultadosLos pacientes acuden a control a los 7 y 15días, respectivamente, refiriendo mejoría del dolor en el sitio quirúrgico, luego de lo cual se autoriza la carga de manera progresiva en los controles subsiguientes.
Al momento del último seguimiento presentan mejoría clínica evidente, con leve dolor en la rodilla afecta, deambulan con carga total, sin cojera a la marcha; además visualizamos radiografía de control, la cual nos muestra estabilidad del implante y osteotomía en consolidación acorde al tiempo de evolución respectivo (fig. 7).
Se usó la escala Knee Society Score (KSS), en la cual se valoraron la funcionalidad y la estabilidad de la rodilla, logrando ambos pacientes puntajes de 95/100 (tabla 1)20.
Escala KSS
| Parámetro | Promedio ± DE | Rango |
|---|---|---|
| Puntaje de rodilla (100 puntos) | 80,6 ± 14,2 | 35-97 |
| Dolor (50 puntos) | 47,4 ± 7,7 | 20-50 |
| Movilidad (25 puntos) | 19,0 ± 4,6 | 8-25 |
| Estabilidad (25 puntos) | 21,0 ± 6,8 | 0-25 |
| Deducciones | 6,8 ± 7,2 | 0-24 |
| Puntaje de función (100 puntos) | 67,4 ± 24,9 | 0-100 |
| Marcha (50 puntos) | 36,2 ± 15,3 | 10-50 |
| Escaleras (50 puntos) | 33,3 ± 10,6 | 0-50 |
| Deducciones | 2,1 ± 3,0 | 0-10 |
Bajo las escalas usadas para la valoración, podemos decir que nuestros pacientes tuvieron puntajes próximos a la normalidad, con mejoría progresiva de la sintomatología, retomando sus actividades diarias.
DiscusiónSe han realizado estudios y reportes sobre el tratamiento y el manejo posterior del genu valgo postraumático en pacientes jóvenes, y la mayoría concuerda que no es una lesión frecuente, por lo que solo se describen secuencias de casos con seguimiento y valoraciones posteriores.
Díaz et al. presentaron en 2001 el caso de un paciente masculino de 15años de edad con un valgo de 16° y acortamiento de 3cm, al cual realizan abordaje interno de metáfisis distal con osteotomía en cuña de base interna y sujeción con dos grapas de Blount, corrigiendo a 7° de valgo y acortamiento de 1cm, con un seguimiento de 24meses donde no presentó complicación alguna21.
García et al. presentaron en 2011 el caso de un paciente masculino de 15años de edad, con antecedente traumático 2años antes, con un valgo de 19° y acortamiento de 2cm, al cual realizan tratamiento quirúrgico a base de osteotomía de cuña abierta, teniendo en cuenta no solo el valgus de rodilla, sino también el acortamiento. Se realizó osteotomía, la cual se fijó con lámina condílea. Se colocó férula larga de yeso y se indicaron ejercicios isométricos del cuádriceps desde el primer día, donde se corrigió a 8° de valgo y acortamiento de 0,4cm, con un seguimiento de 16meses, período en que no presentó complicación alguna22.
En una serie de casos en el año 2013, Fan et al. presentaron 28 pacientes jóvenes (17 hombres y 11 mujeres, de 8 a 14años de edad, con una edad media de 11,9años) tratados con la distracción del callo, que tenía una deformidad en valgo de la rodilla, junto con acortamiento de la pierna. Tres tenían valgo bilateral total de la rodilla, con un total de 31 rodillas. Antes de la operación las extremidades presentaban acortamiento de 3 a 7cm (media 4,1cm). La deformidad en valgo variaba entre 13 y 16°. Los 28 pacientes fueron seguidos durante 35 a 84 (media: 62) meses. La longitud medida varió 2cm aproximadamente, corrigiendo el valgo entre 5 y 7°. Los pacientes obtuvieron la longitud normal de las extremidades, y se corrigió la grave deformidad en valgo de la rodilla23.
En estos estudios se demuestra la variedad de tratamiento para la corrección de la deformidad en valgo, donde vemos que en todos los tipos de tratamiento se obtuvieron resultados favorables y mejoría en la funcionalidad y en la estabilidad en la rodilla afecta. De igual manera, en nuestro estudio, haciendo un comparativo en relación con los antes citados, se obtuvieron resultados favorables en 18meses, lo que da a notar el rango de tiempo estimado para visualizar resultados favorables de acuerdo a lo reportado en las diferentes publicaciones.
El genu valgum fisiológico y los de carácter idiopático constituyen los más frecuentes en las consultas de ortopedia pediátrica, mientras que el resto, producido por otras causas, es en realidad poco frecuente. Cuando la deformidad es producida por una acción traumática, esta suele ser de considerable intensidad, capaz de producir lesiones óseas visibles en las radiografías, como fracturas, epifisiólisis o luxaciones.
La valoración de un paciente que presente deformidad en valgo de rodillas debe hacerse tanto clínica como radiológicamente. Radiológicamente deben realizarse mediciones de diferentes ángulos, pero el más importante es el ángulo femorotibial medido en la radiografía AP, ya que este ángulo es el que se suele tener en cuenta para decidir la conducta terapéutica que se va a seguir; valores superiores a los citados se consideran anormales. Es importante, además, realizar una medición clínica de ambos miembros para determinar si existe discrepancia de longitud. En caso de existir, esta debe corroborarse mediante la realización de telemetría radiológica de miembros inferiores, el cual nos informará más exactamente de la longitud de cada miembro.
El tratamiento del genu valgum debe enfocarse, ante todo, atendiendo a la edad del niño, de manera que si el niño presenta potencial de crecimiento suficiente con apertura de las placas de crecimiento, el proceder indicado es el arresto epifisario mediante epifisiodesis temporal de Blount, deteniéndose el crecimiento de manera temporal de las placas de crecimiento proximal de la tibia y distal del fémur en su parte interna mediante la colocación de grapas, las cuales se retiran una vez corregida la deformidad; se trata de una intervención quirúrgica de poca complejidad técnica con la cual se obtienen buenos resultados.
En caso de que se haya producido el cierre de las placas de crecimiento, se hace necesario realizar osteotomías correctoras. Cuando el ángulo tibiofemoral es de 15° o más, hay indicación de osteotomía. La elección del tipo de osteotomía depende de las características individuales de cada paciente, es decir, que cuando existe acortamiento del miembro afectado, en caso de ser unilateral, debe hacerse osteotomía de cuña abierta para alargar el miembro.
Las indicaciones de cuándo y cómo intervenir esta patología aún hoy no están correctamente establecidas, y se observa una disparidad de resultados incluso en el mismo paciente. Esta dificultad nos la encontramos en la bibliografía revisada.
A pesar de lo difícil que resulta, cuando los pacientes son correctamente seleccionados y corregidos llegan a retrasar significativamente la gonartrosis a la que iban encaminados sin remisión, con el agravante de la juventud de estos.
Dentro de las limitaciones de nuestro trabajo podemos nombrar el carácter retrospectivo del mismo, el número bajo de pacientes, la técnica utilizada y la variedad de procedimientos asociados descritos en la literatura.
Se logró corregir la mala alineación en valgo que presentaban los pacientes, con buenos escores funcionales y baja tasa de complicaciones, ubicando la osteotomía de fémur para genu valgo como una alternativa válida en casos bien seleccionados.
Nivel de evidenciaNivel de evidencia IV.
Conflicto de interesesNinguno de los autores presenta algún conflicto de intereses.










