covid
Revista Chilena de Radiología Cefalea post contusional
Información de la revista
Vol. 21. Núm. 3.
Páginas 90 (Enero 2015)
Vol. 21. Núm. 3.
Páginas 90 (Enero 2015)
Open Access
Cefalea post contusional
Post traumatic headache
Visitas
2175
Pablo Avaria, Michael Hirsch
Departamento de Imágenes, Clínica Alemana de Temuco. Temuco - Chile. Facultad de Medicina Clínica Alemana, Universidad del Desarrollo. Chile
Este artículo ha recibido

Under a Creative Commons license
Información del artículo
Texto completo
Descargar PDF
Estadísticas
Figuras (2)
Texto completo
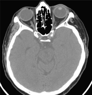
Historia clínica

Mujer de 74 años, que consultó al servicio de urgencia por cuadro de cefalea occipital, luego de contusión craneana. Se le solicita tomografía computada de cerebro sin contraste (Figuras 1 y 2).

Figura 1
Figura 2
¿Cuál es el diagnóstico?

Diagnóstico y resultado en la página 116.

Copyright © 2016. SOCHRADI. Publicado por Elsevier España, S.L.U.
Descargar PDF
Opciones de artículo
Herramientas