La cirugía es el tratamiento más efectivo para los pacientes portadores de quistes hidatídicos hepáticos (QHH). Actualmente no existe consenso si la cirugía abierta o laparoscópica es la mejor vía de tratamiento. El objetivo del presente estudio es describir la técnica quirúrgica y los resultados de la cirugía radical (periquistectomía) por vía laparoscópica.
Materiales y métodosEstudio de cohorte no concurrente. Se incluyeron a los pacientes portadores de QHH no complicados en los que se realizó periquistectomía radical laparoscópica entre los años 2007 y 2015 en el Hospital Clínico de la Pontificia Universidad Católica de Chile. Se consignaron variables demográficas, clínicas, características del QHH, morbimortalidad y recurrencia en el seguimiento.
ResultadosSe operaron 24 pacientes. La mediana de edad fue de 35 años (3-79). La mediana de tamaño del QHH fue de 8 cm (3-15). Las complicaciones postoperatorias se presentaron en 4 casos (16%); un paciente presentó una fístula biliar (4,1%). No hubo mortalidad en este estudio y la estadía hospitalaria fue de 3 días (2-25). La mediana de seguimiento fue de 57,5 meses (9-106); se observó un caso de recurrencia a nivel hepático que requirió otra cirugía.
ConclusionesEl tratamiento radical de los QHH no complicados por vía laparoscópica es factible y seguro; al compararlo con la literatura existente no se aprecian diferencias en la morbimortalidad ni recurrencia.
Surgery is the most effective treatment for patients with hepatic hydatid cysts (HHC). Currently there is no consensus whether open or laparoscopic surgery is the best treatment. The aim of this study is to describe the surgical technique and the results of laparoscopic radical surgery (pericystectomy).
Material and methodsNon-concurrent cohort study. We included patients with uncomplicated HHC in which it was performed a laparoscopic radical pericystectomy between 2007 and 2015 at the Clinical Hospital of the Pontificia Universidad Catolica de Chile. Demographic and clinical variables, HHC characteristics, morbi-mortality and recurrence at follow-up were recorded.
ResultsTwenty-four patients were operated. The median age was 35 years (3-79). The median HHC size was 8 centimeters (3-15). Postoperative complications occurred in 4 cases (16%); one patient had a biliary fistula (4.1%). There was no mortality in this study and the hospital stay was 3 days (2-25). Median follow-up was 57.5 months (9-106); a case of hepatic recurrence requiring another surgery was observed.
ConclusionsThe radical treatment of uncomplicated HHC by laparoscopic surgery is feasible and safe; when compared with existing literature there is no differences in morbi-mortality or recurrence.
La hidatidosis es una zoonosis causada por el estado larval de la tenia cestodo perteneciente al género Echinococcus1. Tiene una distribución geográfica variable; las áreas más afectadas son Sudamérica, África, Europa oriental, Mediterráneo, Australia y partes de Asia1. En Chile es una zoonosis endémica, especialmente en el sur de nuestro país2. La hidatidosis se considera una entidad clínica potencialmente mortal debido a sus implicancias médicas. La historia natural de la enfermedad incluye invasión de órganos o rotura de los quistes hidatídicos hepáticos (QHH), lo cual puede desencadenar un shock anafiláctico. El órgano más frecuentemente comprometido es el hígado. La mayoría de las infecciones primarias son por QHH simples, pero aproximadamente un 20 a 40% de los pacientes presentan múltiples quistes1. Habitualmente los pacientes permanecen asintomáticos por largos períodos de tiempo debido a su lento crecimiento. Los síntomas son desencadenados por la compresión de estructuras adyacentes; los más frecuentes son: dolor abdominal, náuseas y vómitos. La migración al tórax es poco frecuente pero puede desencadenar severas complicaciones pulmonares1,3.
Actualmente el diagnóstico de la hidatidosis se basa en una combinación de imágenes y serología. Los QHH pueden ser diagnosticados y evaluados con una ecografía abdominal, tomografía computada o resonancia magnética. La serología es utilizada para el diagnóstico primario y para el seguimiento posterior al tratamiento4,5. Los métodos más frecuentemente empleados para su detección son el ELISA y la hemaglutinación indirecta. La sensibilidad del ELISA varía entre el 60 y el 90% y la especificidad es de un 90% aproximadamente6. Se pueden realizar test confirmatorios usando antígenos específicos como la inmunoelectroforesis e inmunotransferencia7.
En los QHH la cirugía representa el pilar fundamental del tratamiento. Están descritas técnicas conservadoras y radicales; las técnicas conservadoras son: destechamiento, omentoplastía, capitonaje, cistectomía parcial y la PAIR (punción, aspiración, inyección y reaspiración). Estas técnicas son menos efectivas en cuanto a la incidencia de recurrencia comparadas con las técnicas radicales8. Dentro de las cirugías radicales están: la periquistectomía y la resección hepática; estas han evidenciado un mejor manejo de la cavidad residual y una disminución de las recurrencias9,10. En la última década ha existido una tendencia a una mayor utilización de la laparoscopía en el tratamiento de los QHH, sin embargo existe escasa evidencia disponible sobre las cirugías radicales realizadas mediante esta vía11,12. La mayoría de los trabajos disponibles se refieren a procedimientos laparoscópicos conservadores, en quistes pequeños (menores de 5 cm) y periféricos13.
El objetivo del presente estudio es describir la técnica quirúrgica de la periquistectomía radical laparoscópica para el tratamiento de los QHH, evaluar los resultados de esta vía y analizar el seguimiento de los pacientes.
Materiales y métodosSe realizó un estudio de cohorte no concurrente. Se incluyó a los pacientes sometidos a periquistectomía radical laparoscópica por QHH no complicados entre los años 2007 y 2015 en el Hospital Clínico de la Pontificia Universidad Católica de Chile.
Se excluyeron a los pacientes con un QHH complicado (absceso, colangitis, tránsito hepatotorácico, peritonitis), enfermos sometidos a cirugía de urgencia y pacientes sometidos a periquistectomía parciales y cirugías conservadoras.
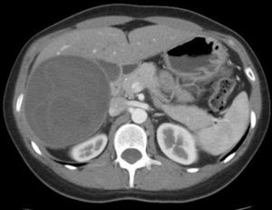
Todos los casos fueron diagnosticados en base a la historia clínica, examen físico, tomografía computada de abdomen (fig. 1) y test de ELISA. Para descartar hidatidosis pulmonar o un quiste en tránsito hepatotorácico se realizó una tomografía computada de tórax previo a la cirugía. Todos los pacientes fueron tratados con albendazol (10mg/kg/día) durante al menos 2 semanas previo a la cirugía y por 4 semanas en el postoperatorio.
Corte de tomografía computada que muestra a nivel hepático una gran lesión heterogénea de 10,5 por 9,3 cm de diámetro que comprometía los segmentos V y VI, con finas membranas internas compatible con un quiste hidatídico hepático. Dicho quiste estaba en íntimo contacto con la vena cava inferior.
El seguimiento incluyó controles médicos cada 15 días durante el primer mes con perfil hepático y examen clínico; luego cada 3 meses durante el primer año. Al cumplir un año desde la cirugía se realizó una tomografía computada o una ecografía de control. Tras el primer año solo se realizó examen clínico anual.
Se analizaron los registros clínicos de los pacientes consignando las variables: sexo, edad, localización, número y tamaño de los QHH diagnosticados por las técnicas imagenológicas. Los resultados de interés fueron: pérdida sanguínea estimada, tiempo operatorio, conversión a cirugía abierta, tipo de intervención (periquistectomía total o subtotal), complicaciones postoperatorias, estadía hospitalaria, reingresos, mortalidad operatoria y recurrencia.
Técnica quirúrgicaSe definió la periquistectomía total como la resección completa de la membrana periquística; periquistectomía subtotal a una resección mayor al 90% de la periquística y periquistectomía parcial a una resección menor al 90% de la periquística. Se utilizó una resección subtotal de la periquística en los casos en que esta membrana estuviera adherida a elementos vasculares mayores como venas suprahepáticas, porta o vena cava inferior, dejando una porción de periquística con el fin de evitar lesiones vasculares; pero siempre salvaguardando la eliminación completa de la cavidad residual. Se consideró como cirugía radical a la periquistectomía total y subtotal (≥ 90%) sin dejar cavidad residual.
En todos los pacientes se realizó la cirugía por vía laparoscópica. El neumoperitoneo se realizó mediante aguja de Veress. Se introdujo posteriormente una óptica de 0° mediante un trocar umbilical de 12mm para explorar la cavidad abdominal. El tamaño y ubicación de los trocares auxiliares obedeció a la localización de los QHH, siendo utilizados habitualmente cinco trocares. Se situaron gasas largas embebidas en solución salina hipertónica, que actúa como agente escolicida, alrededor del QHH. Se puncionó y aspiró el quiste con una aguja laparoscópica número 14, posteriormente se introdujo un agente escolicida (NaCl al 30%) por la misma aguja a la cavidad del quiste. Al momento de la punción se situó un segundo aspirador próximo al sitio de punción para evitar la dispersión del contenido del quiste. Se aspiró la solución salina hipertónica dentro del QHH tras 5 min de espera, realizándose posteriormente una amplia incisión para destechar el quiste y extraer su contenido (vesículas hijas), que fueron introducidos en una bolsa laparoscópica para su extracción. Se inspeccionó la cavidad residual para detectar comunicaciones con la vía biliar. Posteriormente se resecó la membrana periquística, separándola del parénquima hepático utilizando un bisturí ultrasónico o electrofulguración. Se realizó hemostasia mediante bipolar, clips o sutura intracorpórea. Se efectuó una colecistectomía laparoscópica con colangiografía intraoperatoria transcística en todos los pacientes con el fin de detectar comunicaciones biliares. En los casos en que se detectó comunicación cisto-biliar, esta se resolvió mediante clips o sutura intracorpórea. Se instalaron uno o dos drenajes en el lecho quirúrgico (fig. 2).
Etapas de la cirugía laparoscópica para el tratamiento de los quistes hidatídicos hepáticos. A) Colocación de gasas largas embebidas en solución fisiológica hipertónica alrededor del quiste, punción, aspiración y posterior inyección de agente escolicida. B) Tras destechar el quiste se reseca su contenido, membrana laminar y vesículas hijas. C) Disección y resección de la membrana periquística, separándola del parénquima hepático mediante bisturí ultrasónico. D) Exploración del lecho quirúrgico para detectar filtraciones biliares.
Se utilizó el software SPSS 22 (SPSS Inc., Chicago, IL). Para la descripción de variables continuas se utilizaron los estadígrafos mediana y rango. La descripción de variables cualitativas se realizó mediante frecuencias absolutas y porcentajes.
ResultadosSe operaron 24 pacientes, 15 de ellos (62,5%) fueron de sexo femenino, la mediana de edad fue de 35 años (3-79). La mediana del tamaño de los QHH fue de 8 cm (3-15). Veintitrés pacientes (95,8%) presentaban un quiste único. Todos los QHH se localizaron entre los segmentos II y VIII; en 9 pacientes (37,5%) comprometían los segmentos VI o VII. El resto de las variables preoperatorias se detallan en la tabla 1.
La cirugía más frecuentemente realizada fue la periquistectomía subtotal en 17 pacientes (70%); en los restantes 7 casos (30%) se realizó una periquistectomía total. La mediana de tiempo operatorio fue de 162,2 min (60-255), la de sangrado intraoperatorio fue de 113ml (10-500) y la de estadía hospitalaria fue de 3 días (2-25). No hubo pacientes que requirieran transfusión de hemoderivados. Se presentaron complicaciones en 4 pacientes (16,6%); tres de ellos desarrollaron una colección intraabdominal y uno presentó una filtración biliar. De los pacientes que presentaron una colección intraabdominal, todas estas fueron pequeñas (menores de 3cm), por lo que no fue necesario realizar drenaje percutáneo o una reoperación, resolviéndose con tratamiento médico. El paciente que presentó una filtración biliar, a pesar del drenaje instalado en la cirugía, evolucionó con fiebre, dolor abdominal y persistencia de colecciones por lo que requirió aseo quirúrgico con reposicionamiento del drenaje por vía laparoscópica en dos oportunidades.
No se presentaron conversiones a cirugía abierta, anafilaxia perioperatoria, mortalidad ni rehospitalizaciones en el presente estudio.
Todos los pacientes fueron seguidos de forma ambulatoria por una mediana de tiempo de 57,5 meses (9-106). En el seguimiento se detectó recurrencia en un caso (4,1%). Esta paciente fue operada originalmente por un QHH de los segmentos IV y V de 8 cm de diámetro. Se realizó una periquistectomía total con un postoperatorio sin complicaciones. En sus controles ambulatorios habituales no se evidenció recidiva. Tras 6 años de su cirugía primaria la paciente se somete a estudio preoperatorio de cirugía bariátrica. Se realizó una tomografía computada que evidenció una recidiva del QHH de 6 cm de diámetro en el segmento IV. Se realizó una periquistectomía total laparoscópica más una gastrectomía en manga en el mismo procedimiento. Evolucionó con filtración de la manga gástrica, que se resolvió mediante un aseo laparoscópico más instalación de endoprótesis. En sus controles ambulatorios no ha evidenciado una nueva recidiva.
DiscusiónLa hidatidosis hepática es una condición prevalente en ciertas regiones del mundo como Chile. Pese a que se han propuesto distintas formas de tratamiento, la cirugía continúa siendo la terapia más efectiva. Dentro de los procedimientos quirúrgicos, la cirugía radical (periquistectomía o resección hepática) ha demostrado un mejor manejo de la cavidad residual y una disminución de las recurrencias9,10,14.
El primer caso de cirugía laparoscópica para el tratamiento de un QHH se publicó en 199215, pero debido al riesgo de dispersión del contenido del quiste y a la anafilaxia durante el procedimiento, esta técnica no se replicó de manera extensa a nivel mundial. Desde entonces se han publicado varios reportes que muestran resultados favorables con la laparoscopía en término de las complicaciones y el manejo del dolor postoperatorio; sin embargo la mayoría de estos estudios son en base a procedimientos laparoscópicos conservadores (destechamientos, quistectomías parciales, etc.)16. Tuxun et al. publicó una revisión de 914 casos comparando la cirugía abierta con la laparoscópica en el tratamiento de los QHH, reuniendo información procedente de 57 estudios. En esta publicación se concluye que la cirugía laparoscópica es factible y segura, con similares resultados a los obtenidos mediante cirugía abierta. Cabe señalar que un 75% de los casos de cirugía laparoscópica reportados en este trabajo corresponden a procedimientos conservadores, y solo un 10% fueron cirugías radicales17.
Los resultados del presente estudio muestran que la cirugía radical para el tratamiento de los QHH mediante vía laparoscópica es factible8, siendo la periquistectomía el tratamiento de elección. La laparoscopía permite una mejor visualización de las estructuras vasculares y biliares durante la cirugía, lo cual es especialmente útil cuando se sospecha una comunicación cisto-biliar. En nuestro centro se ha implementado la cirugía laparoscópica como el estándar de tratamiento debido a los promisorios resultados obtenidos hasta ahora, donde se demuestra una baja tasa de complicaciones, recurrencia y sin mortalidad operatoria.
Ramia et al. publicó una serie de 24 casos de QHH tratados por vía laparoscópica realizando una periquistectomía total, con complicaciones postoperatorias en un 16%, sin recurrencias y una mediana de seguimiento de 31 meses (2-86)18. En nuestro país un reporte de 8 casos publicado por Manterola et al. no encontró recurrencias o complicaciones mayores en pacientes tratados mediante resección radical laparoscópica19, cabe destacar que este estudio incluyó QHH de diámetro menor a 7 cm, localizados en los segmentos III, IV, V, VI y VIII. Recientemente Zaharie et al. publicó un estudio comparativo de cirugía abierta versus laparoscópica para el tratamiento de los QHH y no encontró diferencias en el desarrollo de complicaciones o recurrencia20. Otra investigación realizada por Yagcsi et al. comparó el tratamiento percutáneo con el abordaje abierto y laparoscópico. Los pacientes que fueron tratados de forma percutánea y aquellos sometidos a cirugía abierta exhibieron mayor incidencia de filtraciones biliares; en este último grupo además hubo una mayor frecuencia de recurrencia al compararlo con aquellos tratados mediante laparoscopía. A pesar de estos hallazgos, los autores recomiendan la cirugía laparoscópica solo para casos seleccionados debido al riesgo de diseminación y las dificultades propias de la manipulación del quiste12.
Estos estudios han demostrado algunos beneficios del abordaje laparoscópico, sin embargo la cantidad de investigaciones es insuficiente para recomendar esta vía sobre la cirugía abierta. Además la mayor parte de la evidencia disponible se basa en procedimientos laparoscópicos conservadores en vez de cirugías radicales.
Existen escasos reportes de lesiones vasculares durante la cirugía laparoscópica de los QHH, sin embargo la evidencia no muestra que estas lesiones sean de un riesgo elevado; de hecho en series recientes no han sido reportadas3,8,17. Se debe tener precaución en los casos en que el QHH se localiza adyacente a estructuras vasculares mayores, es por ello que en esta serie se dejaron pequeñas porciones de la membrana periquística adherida a grandes vasos con el fin de evitar lesiones vasculares. Esta conducta no alteró los resultados de la cirugía ni la recurrencia posterior.
Un estudio publicado recientemente, que revisó todos los casos de QHH tratados mediante laparoscopía entre los años 1992 y 2013 mostró que la incidencia de anafilaxia y diseminación eran menores al 1%17. Además no se han reportado casos de mortalidad relacionada con estas complicaciones. En la presente serie no hubo ningún caso de anafilaxia. La utilización de gasas embebidas en solución salina hipertónica, la inyección intraquística de un agente escolicida, la aspiración laparoscópica y la administración de albendazol perioperatorio podrían minimizar el riesgo de diseminación y sus complicaciones asociadas.
Inicialmente las contraindicaciones para la cirugía laparoscópica incluían: quistes mayores a 10 cm de diámetro, quistes múltiples o intraparenquimatosos, quistes complicados con comunicación biliar y proximidad a estructuras vasculares mayores. En base a los resultados obtenidos, estimamos que el tamaño y localización de los QHH no deben constituir una contraindicación absoluta para la vía laparoscópica. En general se acepta que esta vía tiende a ser más difícil cuando los quistes se localizan en los segmentos hepáticos centrales o posteriores y en casos de QHH mayores de 10 cm de diámetro20. En el presente estudio la mediana del tamaño de los QHH fue de 8 cm (3-15), lo cual es de mayor tamaño respecto a reportes previos12,18,19. Actualmente existirían pocas contraindicaciones absolutas al tratamiento laparoscópico, dentro de estas se encontrarían los pacientes con QHH complicados o con sospecha de tránsito hepatotorácico.
A pesar de las limitaciones y sesgos del presente estudio: el carácter observacional retrospectivo y la cantidad relativamente baja de pacientes analizados; los resultados muestran que la cirugía radical laparoscópica es segura y factible de realizar para el tratamiento de los QHH no complicados, en centros de experiencia, independiente del tamaño y segmento hepático comprometido. Pese a constituir una técnica quirúrgica compleja, la morbilidad postoperatoria es baja, con una mínima tasa de recurrencia.
Responsabilidades éticasProtección de personas y animalesLos autores declaran que para esta investigación no se han realizado experimentos en seres humanos ni en animales.
Confidencialidad de los datosLos autores declaran que han seguido los protocolos de su centro de trabajo sobre la publicación de datos de pacientes.
Derecho a la privacidad y consentimiento informadoLos autores han obtenido el consentimiento informado de los pacientes y/o sujetos referidos en el artículo. Este documento obra en poder del autor de correspondencia.
Conflicto de interesesLos autores declaran no tener ningún conflicto de intereses.




