La hernia de Morgagni (HM) es una anomalía rara que constituye el 2-5% de las todas las hernias diafragmáticas, siendo rara su evolución hasta la edad adulta.
Caso clínicoPaciente masculino de 34 años que padece durante 3 años cuadros de mareos, diaforesis y disnea de leve a intermitente. En examen físico se ausculta hemitórax derecho hipoventilado. Se le realiza telerradiografía de tórax y tomografía axial computada (TAC), realizando diagnóstico de HM. Se repara quirúrgicamente mediante abordaje laparoscópico exitoso.
DiscusiónLa HM corresponde a un defecto congénito de la cara anteromedial del diafragma, cuya presentación es infrecuente en el adulto. Comprende menos del 5% de las hernias diafragmáticas congénitas.
ConclusiónEste reporte de caso confirma el concepto de la literatura sobre las ventajas conocidas del tratamiento laparoscópico de esta rara patología.
Morgagni hernia (MH) is a rare anomaly that constitutes 2-5% of all diaphragmatic hernias, the evolution until adult life is rare.
Clinical case34 year old patient who referred 3 years with mild effort dyspnea. During physical exploration right hemithorax was found with hypoventilated. Chest x-ray showed right diaphragmatic herniation. Computer tomography (CT) diagnosed Morgagni herniation. The patient was programmed for laparoscopic repair with double layer mesh and it was fixated with tackers.
DiscussionMorgagni herniation corresponds to a genetical defect in the anteromedial diaphragm, this presentation is rare in adults. It represents 5% of congenital hernias.
ConclusionLaparoscopic repair takes much less time to operate, faster recovery time and less postsurgical pain with short hospital stay.
La hernia de Morgagni (HM) es una anomalía rara que constituye el 2-5% de todas las hernias diafragmáticas1. El abordaje terapéutico puede ser laparoscópico o por toracotomía. Existen pocos reportes sobre el abordaje laparoscópico. La sintomatología puede variar, la cual incluye dolor precordial, abdominal, obstrucción, disfagia, y raramente reflujo gastroesofágico o sangrado2. El objetivo de este reporte es describir la factibilidad en la técnica de reparación, con buenos resultados asociados a las ventajas de las técnicas de mínima invasión.
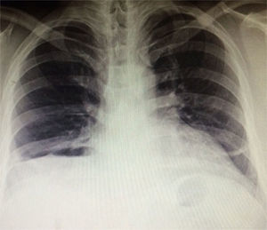
Caso clínicoSe presenta el caso de un paciente masculino de 34 años de edad sin antecedentes médicos de importancia. Su enfermedad comienza hace 3 años con mareos, diaforesis, disnea leve intermitente y recientemente arritmia cardíaca. En examen físico presenta hipoventilación y matidez en base pulmonar derecha, así como dolor leve al comprimir el epigastrio. Se realizan exámenes complementarios con: a) radiografía de tórax compatible con hernia diafragmática derecha (fig. 1); b) trago con contraste hidrosoluble (fig. 2) con ascenso al tórax de colon y estómago con rotación mesentérico axial, y c) TAC (figs. 3 y 4) que confirma HM (fig. 5).
Se lleva a cabo abordaje laparoscópico con defecto de 10×10cm y contenido herniario de epiplón, estómago, colon y lóbulo izquierdo del hígado. Se reduce sin complicaciones y se repara con malla de doble capa fija con tackers. La radiografía de control resulta satisfactoria y el paciente egresa sin complicaciones el 2.o día postoperatorio.
DiscusiónLa HM corresponde a un defecto congénito de la cara anteromedial del diafragma, cuya presentación es infrecuente en el adulto3. En la edad pediátrica, comúnmente se presenta con cuadros repetitivos de infecciones respiratorias y se asocia frecuentemente a anomalías cardíacas congénitas o síndrome de Down4. Es raro su reporte en adultos. Actualmente, es aceptado en esta institución su manejo laparoscópico con tiempos quirúrgicos aceptables y bajo riesgo para el paciente.
ConclusiónLa HM es rara y mucho menos frecuente en adultos. Se ha comprobado que la reparación mediante abordaje laparoscópico conlleva un tiempo quirúrgico mucho menor5, una recuperación más pronta con menos dolor posquirúrgico y una estancia hospitalaria corta.
Responsabilidades éticasProtección de personas y animalesLos autores declaran que para esta investigación no se han realizado experimentos en seres humanos ni en animales.
Confidencialidad de los datosLos autores declaran que en este artículo no aparecen datos de pacientes.
Derecho a la privacidad y consentimiento informadoLos autores declaran que en este artículo no aparecen datos de pacientes.
Conflicto de interesesLos autores declaran no tener ningún conflicto de intereses.






