El liposarcoma es el tumor retroperitoneal más frecuente. Es una enfermedad de evolución silenciosa cuyo tratamiento es el manejo quirúrgico.
Caso clínicoMujer de 42 años de edad, sin antecedentes de importancia, quien acude con gran liposarcoma. Se procede a realizar cirugía R0 y nefrectomía derecha. El resultado de patología reporta lipoma mixoide.
ConclusionesLos liposarcomas son tumores los cuales tienen dificultades en el manejo debido a un índice alto de irresecabilidad, patrón de recurrencia elevado, ineficacia en el empleo de tratamientos adyuvantes que impacten en la sobrevida y el control local.
The liposarcoma is the most common retroperitoneal tumor. It is a silent disease evolution whose treatment is surgical management.
Case report42 years old female with no history of importance who comes with great liposarcoma, we proceed to perform R0 surgery and right nephrectomy, the result of pathology reports myxoid lipoma.
ConclusionsLiposarcomas are tumors which have difficulties in handling due to a high rate of unresectable, high recurrence pattern, inefficiency in the use of adjuvant therapies that impact on survival and local control.
En México, los tumores de tejidos blandos representan el 1,5% de todos los casos con una distribución variable como es la siguiente: 50% extremidades, 15% tronco, 15% retroperitoneo, 14% víscera y 11% otras localizaciones1.
Los tumores retroperitoneales son un grupo heterogéneo de neoplasias, 85% de los cuales son malignos2. Dentro de los sarcomas de partes blandas, el liposarcoma representa un 7 a 28% y, aunque globalmente solo supone el 0,1% de todas las neoplasias del organismo, es considerado el tumor retroperitoneal más frecuente, puesto que el linfoma como enfermedad generalizada no se considera propio del retroperitoneo en sentido estricto3. Es una enfermedad de evolución silenciosa cuyo tratamiento es el manejo quirúrgico.
Caso clínicoSe trata de una paciente de género femenino, de 42 años de edad, la cual no cuenta con antecedentes heredofamiliares. Niega enfermedades cronicodegenerativas así como cirugías previas. Menciona iniciar padecimiento actual 4 meses previo a su ingreso, con distensión abdominal y dolor abdominal tipo cólico, intermitente, de intensidad leve. Menciona que en los 2 últimos meses presentó un aumento del diámetro abdominal, sospechando que estuviera embarazada. Se realiza ultrasonido en el cual se descarta embarazo y se envía a la consulta externa de cirugía oncológica para valoración.
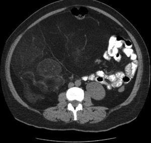
Se procede a realizar tomografía axial computarizada observándose tumor heterogéneo dependiente de retroperitoneo, el cual abarcaba más de la mitad de la cavidad abdominal (figs. 1 y 2) y era compatible con un liposarcoma. Debido a esto se programa a la paciente para tiempo quirúrgico y se realiza cirugía R0 (cirugía sin tumor macroscópico residual), realizando exéresis del liposarcoma (fig. 3), el cual se encontraba adherido al riñón derecho, por lo cual se reseca en bloque el tumor realizando nefrectomía derecha (figs. 4 y 5).
La paciente presentó evolución postquirúrgica inmediata favorable, egresando el cuarto día de ser postoperada. El resultado de patología reportó un liposarcoma mixoide. Sin embargo, a 6 meses de la cirugía, la paciente presentó recidiva del tumor casi en su totalidad, abarcando gran parte de la cavidad abdominal.
DiscusiónUn tercio de los tumores malignos localizados en el retroperitoneo son sarcomas, y aproximadamente 15% son sarcomas de tejido blando4. El liposarcoma es un tumor maligno de origen mesodérmico derivado del tejido adiposo. Presenta unas características propias en relación con su localización profunda y su crecimiento lento y expansivo, alcanzando diámetros medios de 10 a 15cm, con compromiso de los órganos vecinos hasta en un 80% de los casos5.
Los sarcomas retroperitoneales tienen diferente evolución clínica dependiendo de su subtipo histológico y grado. Los liposarcomas se dividen en 5 subtipos histopatológicos: bien diferenciados, mal diferenciados, mixoide, pleomorfo y mixtos6.
Aunque los sarcomas retroperitoneales se pueden presentar a cualquier edad, el pico de incidencia es en la sexta década de la vida, y la incidencia es casi igual en hombres y mujeres, con un ligero predominio hacia los hombres7. La imagen clínica de los tumores retroperitoneales es insidiosa e inespecífica. Dolor abdominal difuso se reporta en el 40-60% de los casos. Otros síntomas incluyen enfermedad neurológica por extensión o compresión directa en aproximadamente el 30%, así como síntomas generales que incluyen pérdida de peso, saciedad temprana, náusea, vómito, varices en extremidades inferiores y, menos frecuente, edema en aproximadamente el 10% de los casos8. La presencia de edema de muslos o varicocele indica obstrucción venosa o linfática9. Los pacientes que tienen síntomas por largos periodos de tiempo sin un diagnostico tienen peor pronóstico y una sobrevida libre de recurrencia menor10.
El protocolo de estudio para pacientes con tumores retroperitoneales incluye rayos X de tórax, ultrasonido, tomografía axial computarizada, resonancia magnética y urografía excretora11. La tomografía computarizada de abdomen es el mejor método inicial para evaluar el potencial de resecabilidad del tumor; establece el origen retroperitoneal del tumor, el grado de necrosis, la función renal bilateral y la extensión de la enfermedad. La resonancia magnética tiene la ventaja de evaluar estos tumores en relación con estructuras vasculares y hacer una reconstrucción del tumor en los planos sagital, coronal y transaxial12.
En general, no es recomendable realizar biopsias percutáneas de la tumoración, únicamente en el caso de sospecha que la masa retroperitoneal sea un linfoma. El diagnóstico histológico suele establecerse mediante estudio histológico transoperatorio o hasta el estudio definitivo de la pieza quirúrgica13. En los sarcomas retroperitoneales, la resección parcial no ofrece ventaja en comparación a la no resección respecto a la supervivencia, excepto en pacientes con liposarcomas, particularmente en liposarcomas bien diferenciados14. Una resección quirúrgica total amplia es el pilar del tratamiento para el sarcoma retroperitoneal15. Los resultados de la cirugía son ligeramente inferiores a aquellos sarcomas de extremidades debido al gran tamaño en el momento de la presentación y a la dificultad resecando el tumor, debido a su localización anatómica. Tratamientos adyuvantes y neoadyuvantes con quimioterapia o radioterapia tampoco han mostrado ningún beneficio consistente. En tumores que han sido resecados adecuadamente, el resultado final depende del grado del tumor7. Los pacientes con tumores de bajo grado tienen una supervivencia media de 149 meses comparado con solamente 33 meses para tumores de alto grado16.
La recurrencia local es la principal causa de muerte17. El índice de recurrencia local a 5 años se encuentra en promedio en el 46%18. Si bien la recurrencia disminuye la supervivencia, una resección adecuada está asociada con una supervivencia mejorada, y aun así la cirugía se prefiere para una enfermedad recurrente19.
ConclusionesLos liposarcomas son tumores los cuales tienen dificultades en el manejo debido a un índice alto de irresecabilidad, patrón de recurrencia elevado, ineficacia en el empleo de tratamientos adyuvantes que impacten en la sobrevida y el control local. El grado del tumor y la resección completa son variables pronósticas importantes. El manejo quirúrgico continúa siendo el pilar del tratamiento.
Responsabilidades éticasProtección de personas y animalesLos autores declaran que para esta investigación no se han realizado experimentos en seres humanos ni en animales.
Confidencialidad de los datosLos autores declaran que han seguido los protocolos de su centro de trabajo sobre la publicación de datos de pacientes.
Derecho a la privacidad y consentimiento informadoLos autores han obtenido el consentimiento informado de los pacientes y/o sujetos referidos en el artículo. Este documento obra en poder del autor de correspondencia.
Conflicto de interesesTodos los autores declaramos que no hay ningún tipo de conflicto de interés.






