Varón de 94 años, fumador, consulta por dolor abdominal tipo cólico y enterorragia de un mes de evolución. Sin síndrome funcional anémico ni repercusión general.
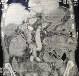
Al examen: lúcido y hemodinámica estable, anemia clínica. Abdomen: blando, depresible e indoloro, sin tumoraciones. TR: esfínter normotónico, no tumoraciones, materias sanguinolentas. Hb: 10,1 g/dl. Fibrocolonoscopia: lesión vegetante en ángulo derecho de colon, infranqueable al endoscopio. Biopsia: adenocarcinoma moderadamente diferenciado. Tomografía abdominal: intususcepción ileocólica en el ángulo derecho: clásica imagen de diana en corte transversal (fig. 1) e imagen en seudoriñón en corte longitudinal (figs. 2 y 3).
Debido al alto riesgo anestésico se realiza una derivación interna: íleo-transversa anastomosis latero-lateral. Seguimiento a 6 meses: transito digestivo normal. La intususcepción es una causa rara de obstrucción intestinal1, presente un 5% de los casos en los adultos2. La clínica es inespecífica, dada por: dolor abdominal, diarrea, náusea y vómitos. Según la localización se clasifican en: entérica, ileocólica (la mayoría), ileocecal o colónica. La etiología neoplásica —oficia como cabeza de invaginación— responsable de la intususcepción es infrecuente. El diagnóstico se realizó por el hallazgo tomográfico patognomónico, como es la imagen en «diana» en el corte transversal y de «salchicha o seudoriñón» en el corte longitudinal y anteroposterior3.
Responsabilidades éticasProtección de personas y animalesLos autores declaran que para esta investigación no se han realizado experimentos en seres humanos ni en animales.
Confidencialidad de los datosLos autores declaran que han seguido los protocolos de su centro de trabajo sobre la publicación de datos de pacientes.
Derecho a la privacidad y consentimiento informadoLos autores han obtenido el consentimiento informado de los pacientes y/o sujetos referidos en el artículo. Este documento obra en poder del autor de correspondencia.
Conflicto de interesesLos autores declaran no tener ningún conflicto de intereses.




