Demostrar la utilidad de la ecografía Doppler en la detección de la invasión vesical en el percretismo placentario.
Materiales y métodosSe evaluó por ecografía, desde noviembre de 2011 hasta mayo de 2013, a 21 pacientes de entre 20 y 44 años que tenían diagnóstico quirúrgico e histopatológico de acretismo placentario (AP).
Se consideró invasión vesical a la presencia de estructuras vasculares parietales en la evaluación Doppler color, mientras que se estableció como probable invasión a la presencia de otros hallazgos ecográficos sin señal Doppler.
ResultadosDe las 21 pacientes con acretismo placentario, 7 presentaron afectación vesical en el examen histopatológico: 5 tuvieron diagnóstico e informe ecográfico de invasión vesical (por la detección de estructuras vasculares en la evaluación Doppler color) y en las 2 restantes se planteó una probable afectación. De las 14 pacientes sin afectación vesical en el resultado histopatológico, hubo 7 con informes normales en la ecografía y 7 con resultados probables.
ConclusiónLa ecografía Doppler es un método muy útil para la detección de la invasión vesical en el percretismo placentario. Esta se observa con una vascularización parietal positiva en el Doppler color.
To demonstrate the usefulness of Doppler ultrasound in the detection of bladder invasion in cases of placenta percreta.
Materials and methodsTwenty-one patients, aged 20-44 years old, with surgery and histopathological diagnosis of placenta accreta were tested with ultrasound between November 2011 and May 2013.
We considered bladder invasion the presence of hypervascularity detected with Doppler ultrasound, and probable invasion the presence of signs in gray-scale ultrasound, without Doppler color.
ResultsFrom the 21 patients included in the study with placenta accreta, 7 had bladder invasion in the histopathological study. Out of these seven, five had been reported to have bladder invasion because of the presence of hypervascularity detected with Doppler ultrasound, and the 2 remaining were reported as probably affected. Regarding the other 14, 7 were reported as normal in the ultrasound, and 7 as probable.
ConclusionDoppler ultrasound is a very reliable method to detect bladder invasion in placenta percreta, seen as hipervascularity of the uterine-bladder interface in the Doppler color exam.
El acretismo placentario (AP) resulta de una placentación anormal caracterizada por la invasión de vellosidades trofoblásticas más allá de la decidua1. Se clasifica como placenta acreta vera a la fijación superficial de las vellosidades coriales al miometrio, como placenta increta a la invasión profunda de las vellosidades en el miometrio y como placenta percreta a la invasión vellositaria de todo el espesor del miometrio, con perforación de la serosa. Esta última es la menos frecuente, pero concentra la mayor morbimortalidad materna y perinatal debido a su difícil diagnóstico2.
Entre los principales factores de riesgo se incluyen las placentas previas y las cesáreas. Dado que el porcentaje de este tipo de cirugías en los últimos años es mayor, la prevalencia e incidencia de la entidad han ido en aumento1.
El diagnóstico de percretismo placentario prenatal es sumamente dificultoso. Sus pilares son la ecografía y el Doppler color, pero también pueden complementarse con resonancia magnética (RM), cistoscopia y marcadores bioquímicos2. Si el cuadro no se reconoce antes del momento del parto, puede ser una condición obstétrica devastadora, con riesgo de vida materno-fetal. En este sentido, resulta imprescindible el diagnóstico prenatal para facilitar un adecuado planeamiento y manejo multidisciplinario1,3.
El objetivo de nuestro trabajo consiste en demostrar la utilidad de la ecografía Doppler en la detección de la invasión vesical en el percretismo placentario.
Materiales y métodosEntre noviembre de 2011 y mayo de 2013, se evaluó por ecografía a 21 pacientes de entre 20 y 44 años con diagnóstico quirúrgico e histopatológico de acretismo placentario. Todas fueron examinadas durante el tercer trimestre de embarazo (gestaciones comprendidas entre las semanas 32 y 40) y en el 100% de los casos se realizó una ecografía vesical por vía suprapúbica con una adecuada repleción vesical, que se consideró suficiente cuando permitió la correcta visualización de la pared en toda su extensión.
Para el presente estudio se utilizaron diferentes ecógrafos (Toshiba Nemio, Philips HD7 y Sonosite Micromax) con un transductor convexo de 3,5MHz y otro lineal de 7,5MHz.
Los hallazgos fueron analizados en escala de grises (pérdida de la línea ecogénica vesicouterina, irregularidad y/o abombamiento de la pared vesical y formaciones vegetantes endovesicales), así como también en Doppler color (irregularidad de la pared vesical por estructuras serpiginosas con flujo positivo en la evaluación Doppler).
Las imágenes en el plano sagital fueron utilizadas para evaluar la profundidad del tejido placentario, su vascularización y relación con la pared vesical, mientras que el plano coronal fue usado para ver la extensión de la invasión.
Se clasificó como invasión vesical a la presencia de estructuras vasculares parietales en la evaluación Doppler color y como probable invasión vesical a la presencia de otros hallazgos ecográficos en escala de grises con señal Doppler negativa.
Todas las pacientes incluidas en nuestro estudio fueron a cesárea programada.
El diagnóstico final de invasión vesical fue realizado después de la cirugía con un examen histopatológico.
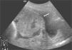
ResultadosDe nuestras 21 pacientes con AP, 7 (30%) presentaron afectación vesical en el examen histopatológico: 5 (71,5%) tuvieron diagnóstico e informe ecográfico de invasión vesical, debido a la existencia de estructuras vasculares en la pared vesical durante la evaluación Doppler color (figs. 1-4); y las 2 restantes (28,5%) evidenciaron una probable afectación, porque no hubo señal Doppler positiva, a pesar de que una tenía pérdida de la línea ecogénica vesicouterina y la otra, abombamiento de la pared vesical (figs. 5 y 6).
De las 14 pacientes (70%) sin afectación vesical en el resultado histopatológico, 7 tuvieron resultados normales en la ecografía, con indemnidad de la pared vesical (figs. 7 y 8), y 7 se clasificaron como probables, en tanto presentaron hallazgos solo en escala de grises (figs. 9 y 10).
Los hallazgos ecográficos observados en cada caso se detallan en la tabla 1, mientras que los resultados obtenidos, con y sin Doppler color, están descritos en la figura 11.
Hallazgos ecográficos en 21 casos de acretismo placentario
| Caso/ Edad | Gestaciones - abortos - partos - cesáreas | EG | Ubicación placentaria | Hallazgos ecográficos de invasión vesical (Doppler positivo) | Hallazgos ecográficos de probable invasión vesical (Doppler negativo) | Hallazgos histopatológicos |
| 1/33 | G8 A4 C3 | 37 | Oclusiva total | Sí | - | AP con invasión vesical |
| 2/32 | G6 A1 C4 | 35 | Oclusiva total | - | Sí | AP con invasión vesical |
| 3/39 | G8 A1 P5 C1 | 40 | Oclusiva total | Sí | - | AP con invasión vesical |
| 4/33 | G4 C3 | 35 | Oclusiva total | Sí | - | AP con invasión vesical |
| 5/44 | G14 A1 P9 C3 | 38 | Oclusiva total | - | Sí | AP con invasión vesical |
| 6/32 | G4 A1 C2 | 35 | Oclusiva total | Sí | - | AP con invasión vesical |
| 7/37 | G3 A1 C1 | 37 | Oclusiva parcial | Sí | - | AP con invasión vesical |
| 8/29 | G5 P4 | 34 | Oclusiva total | - | Sí | AP sin invasión vesical |
| 9/25 | G4 P2 C1 | 35 | Oclusiva total | - | Sí | AP sin invasión vesical |
| 10/28 | G6 P1 C4 | 37 | Oclusiva total | - | Sí | AP sin invasión vesical |
| 11/38 | G8 P4 C3 | 32 | Oclusiva parcial | - | Sí | AP sin invasión vesical |
| 12/40 | G9 A1 P6 C1 | 37 | Oclusiva total | - | Sí | AP sin invasión vesical |
| 13/42 | G5 - A1 - C3 | 37 | Oclusiva total | - | Sí | AP sin invasión vesical |
| 14/27 | G6 A1 C4 | 33 | Oclusiva parcial | - | Sí | AP sin invasión vesical |
| 15/31 | G5 A1 P2 C1 | 35 | Oclusiva total | - | - | AP sin invasión vesical |
| 16/40 | G4 A2 C1 | 36 | Oclusiva total | - | - | AP sin invasión vesical |
| 17/36 | G3 C2 | 36 | Oclusiva total | - | - | AP sin invasión vesical |
| 18/24 | G4 C3 | 35 | Oclusiva total | - | - | AP sin invasión vesical |
| 19/33 | G3 C2 | 33 | Marginal | - | - | AP sin invasión vesical |
| 20/37 | G8 A2 P5 | 37 | Oclusiva parcial | - | - | AP sin invasión vesical |
| 21/28 | G4 A1 C2 | 38 | Oclusiva total | - | - | AP sin invasión vesical |
G: gestaciones; A: abortos; P: partos, C: cesáreas; AP: acretismo placentario; EG: edad gestacional.
En relación con los factores de riesgo para AP, se observaron 16 casos con placenta previa oclusiva total, 4 con placenta previa oclusiva parcial y uno con placenta marginal. De las 7 pacientes con invasión vesical, 6 presentaron placenta oclusiva total y 1 placenta oclusiva parcial.
Con respecto al número de cesáreas previas, 19 pacientes habían tenido una o más, 1 refería dos legrados y 1 no presentaba antecedentes quirúrgicos. Las 7 pacientes con invasión vesical tenían antecedentes de cesárea.
Todas eran multíparas, con 3 o más embarazos. En el caso de las pacientes con invasión vesical, su cantidad de gestaciones se resume en la figura 12.
DiscusiónEl AP resulta de una placentación anormal caracterizada por la invasión de las vellosidades trofoblásticas más allá de la decidua. La decidua basal se encuentra total o parcialmente ausente ante el desarrollo imperfecto de la membrana fibrinoide de Nitabuch, que separa la decidua basal de la porción vellosa de la placenta4.
Actualmente, la incidencia del acretismo varía entre 1/540 y 1/93000 nacimientos2. Los factores de riesgo para su desarrollo incluyen instrumentación, cicatrices intrauterinas y antecedentes de cesáreas. Estos agentes, además, pueden estar asociados a daño o ausencia de la decidua basal, así como también a placenta previa, tabaquismo, endometritis, edad materna superior a los 35 años, gran multiparidad y abortos recurrentes5. La mayor contribución está dada por la combinación de cesáreas anteriores y placenta previa.
Nuestros resultados demostraron hallazgos coincidentes con la literatura en relación con los factores mencionados. Desde esta perspectiva, vale destacar que en los últimos 50 años la frecuencia de anomalías en la placentación aumentó 10 veces y que, según estadísticas de la Organización Mundial de la Salud (OMS), en nuestro medio más de un tercio de los nacimientos ocurren por cesárea (una proporción que aumenta en el ámbito de la medicina prepaga)4.
Según el grado de penetración, se reconocen 3 tipos de placentación anormal:
- •
Acreta: la placenta se encuentra adherida al miometrio sin invadirlo (78% de los casos).
- •
Increta: la placenta penetra la profundidad del miometrio (17% de los casos).
- •
Percreta: la placenta atraviesa el miometrio hasta la serosa, pudiendo invadir órganos vecinos (5% de los casos).
Mientras que, dependiendo de su extensión, se clasifica en6:
- •
Focal: cuando involucra sólo pequeñas áreas placentarias.
- •
Parcial: cuando uno o más cotiledones se ven involucrados.
- •
Total: cuando la superficie completa de la placenta se encuentra anormalmente adherida.
Nuestro estudio reveló la presencia de percretismo con afectación vesical en el 30% de los casos evaluados, en discordancia con las estadísticas de la literatura actual. Sin embargo, este resultado probablemente esté relacionado con las características de nuestro servicio, dado que forma parte de un hospital de derivación de acretismo placentario de la provincia de Buenos Aires.
Con respecto a la forma de presentación, no existe un síndrome clínico para el acretismo placentario. Gran parte de los casos son asintomáticos, por lo que el AP se debe sospechar siempre que existan factores de riesgo. La sintomatología depende fundamentalmente de las características de la placenta previa y de la invasión a otros órganos y sus complicaciones. La principal manifestación es la hemorragia, aunque esta puede suceder antes, durante o después del parto.
En casos de invasión vesical, la placenta percreta puede manifestarse con hematuria macroscópica (20% de los casos) o con microhematuria. Este último signo es el más común y debe generar sospecha y alertar al urólogo2. En nuestra casuística, ninguna de las 7 pacientes con afectación vesical presentó este hallazgo.
Además, es posible que la placenta percreta se evidencie como una retención placentaria en el parto o como complicaciones (por ejemplo, shock y coagulopatía por consumo).
La importancia de realizar el diagnóstico de AP antes del parto radica en la posibilidad de hacer una planificación multidisciplinaria con el objetivo de minimizar la potencial morbimortalidad materno-fetal.
La placenta percreta con invasión vesical reporta una tasa de mortalidad materna del 20% y una tasa de mortalidad perinatal del 30%, debido a lo difícil que resulta hacer el diagnóstico preparto7. Entre nuestras 7 pacientes con invasión vesical, no hubo ninguna muerte.
El diagnóstico generalmente se establece por ultrasonografía y, en ocasiones, se complementa con una RM8. Algunos autores han detectado en pacientes con acretismo concentraciones séricas elevadas de alfafetoproteína (AFP), que sugieren que la anormalidad en la interfase placenta-pared uterina podría causar la pérdida de esta proteína hacia la circulación materna. Por este motivo, en embarazadas la presencia de concentraciones elevadas de AFP y factores de riesgo debe generar sospecha de acretismo placentario9.
Para establecer el diagnóstico, debe haber más de un criterio ecográfico. Estos son:1,10
- •
Placenta previa
- •
Lagunas vasculares placentarias
- •
Patrones anormales de Doppler color
- •
Desaparición del espacio retroplacentario miometrial libre
- •
Afinamiento o desaparición de la capa miometrial
- •
Disrupción o irregularidad del plano de clivaje uterino-vesical
- •
Tejido placentario con efecto de masa (abombamiento)
- •
Irregularidad de la pared vesical
El útero se encuentra separado de la pared vesical por el plano de clivaje uterino-vesical, también llamado complejo uterino-vesical. Este se muestra como una banda lineal hiperecogénica lisa que representa la serosa uterina, el tejido graso y la pared vesical posterior1. En la evaluación en escala de grises la pared vesical se muestra fina, lisa y regular, mientras que con el Doppler color no hay detección de estructuras vasculares.
Es importante prestar especial atención al examen de la pared vesical, ya que, para hacer una correcta y clara evaluación y poder minimizar los errores, hay que contar con una adecuada repleción y fijar el transductor en diferentes ángulos de insonación.
Diagnosticar la placenta acreta es mucho más fácil que dar el siguiente paso y determinar que el trofoblasto ha crecido más allá de la pared uterina hacia otras estructuras. Si bien sería ideal identificar el percretismo con certeza, nadie hasta ahora ha podido hacerlo de forma confiable11. Desafortunadamente, la interrupción de la línea ecogénica vesicouterina y el abombamiento no son signos específicos de la placenta percreta con invasión vesical, así como tampoco resultan siempre predictores. En la experiencia de Comstock11, de tres pacientes con este signo positivo, dos tuvieron placenta percreta y el otro fue un simple acretismo. A su vez, Kirkinen et al.12 han demostrado hallazgos similares, al igual que nuestro estudio.
Con respecto a la afectación vesical, esta debe tenerse en cuenta ante la presencia de una irregularidad de la pared vesical causada no sólo por la invasión de tejido placentario, sino también por la existencia de numerosas estructuras vasculares asociadas1.
Comstock11 menciona un problema en las pacientes con cesárea previa: ellas habitualmente desarrollan una vascularización mayor en el espacio entre el miometrio y la vejiga, probablemente por la retracción de la vejiga antes de la incisión uterina, que expone la zona a los componentes de la sangre. Por ello, es importante diferenciar entre el abombamiento debido al aumento de los vasos preexistentes y la real neovascularización que proviene de la placenta a través del miometrio.
En los casos de percretismo, el estudio con Doppler para la evaluación de la vascularización de la interfase serosa-vesical muestra una apariencia hipervascular extensa con vasos anárquicos confluentes densos, que ocasionalmente protruyen en el lumen vesical13.
En nuestra experiencia, de las 7 pacientes con diagnóstico histopatológico de percretismo placentario e invasión vesical, 5 (71,5%) presentaron hallazgos positivos en el Doppler color.
La sensibilidad y especificidad de la ecografía en escala de grises para el diagnóstico de acretismo varían según diversos autores, pero se estima una sensibilidad aproximada del 77-87% y una especificidad del 96-98%8. El uso del Doppler incrementa la sensibilidad del diagnóstico, alcanzando –según Lerner et al.14– el 100% de sensibilidad y el 94% de especificidad. Por su parte, Levine15 ha reportado en las imágenes Doppler una sensibilidad del 86% y una especificidad del 92%, mientras que The American College of Obstetricians and Gynecologists8 no ha observado cambios significativos de los porcentajes con el uso del Doppler color. En nuestro caso, obtuvimos una sensibilidad con el Doppler color del 77% y una especificidad del 100%.
La efectividad diagnóstica de la ecografía permite limitar el uso de la RM (cuyo valor diagnóstico es aún objeto de debate), así como también la administración de gadolinio en la etapa prenatal8,13,16. Además, constituye un método sencillo, de bajo costo, reproducible, incruento y accesible, convirtiéndose en el estudio ideal para la paciente con sospecha de acretismo.
Nuestra experiencia, en concordancia con la de otros autores11,13,17, permite sugerir que el diagnóstico de invasión vesical puede hacerse a través de una combinación de hallazgos ecográficos en escala de grises y Doppler color. Sin embargo, en base a los resultados obtenidos, el estudio Doppler color cobra mayor relevancia, en tanto permitió demostrar 5 de los 7 casos afectados y descartar 14 pacientes sin invasión vesical.
ConclusiónEl acretismo-percretismo placentario es una complicación obstétrica potencialmente catastrófica para la madre, que en la actualidad está adquiriendo características de epidemia. Representa una de las principales causas de histerectomía puerperal y morbimortalidad materno-fetal.
Su diagnóstico se basa en dos pilares fundamentales: tener una alta sospecha de la enfermedad ante la presencia de factores de riesgo y contar con hallazgos ecográficos, tanto en escala de grises como en Doppler color (debido a que su especificidad es alta).
La ecografía Doppler permite el diagnóstico de la invasión vesical en el percretismo placentario. Esta se observa como una vascularización parietal positiva en el Doppler color.
Conflicto de interesesLos autores declaran no tener ningún conflicto de interés, excepto la Dra. Mariano que declara como posible conflicto ser revisora junior de la Revista Argentina de Radiología.















