Hay una gran variedad de artefactos en imágenes que se producen por la interacción entre los equipos y el paciente. Reconocerlos es importante, ya que pueden inducir informes erróneos o encubrir una patología. Por ello, una vez detectados, es necesario emplear técnicas para su eliminación.
Describimos los artefactos más frecuentes en tomografía computada y resonancia magnética.
A wide variety of artefacts are observed in diagnostic imaging. They are caused by the interaction between the equipment and the patients. To recognise them is important, because they can induce pitfalls in the reports or mask some disease. Once they have been detected, it is necessary to apply techniques in order to eliminate them.
A description is presented of the most common artefacts in computed tomography and magnetic resonance imaging
En el Diagnóstico por Imágenes, la obtención de estudios de calidad es indispensable para establecer un diagnóstico preciso, diferenciar y no omitir patologías, describir certeramente un hallazgo y realizar su seguimiento. Por ello, es imprescindible que la imagen sea de excelencia, sin errores que perjudiquen el análisis, almacenamiento y posterior reevaluación.
Los artefactos o artificios plantean un problema grave. Ocasionalmente, pueden alterar la interpretación de las imágenes, simulando una condición patológica (pitfalls), por lo que, en caso de presentarse, hay que repetir el estudio con los inconvenientes que esto conlleva (reputación de la institución, disconfort del paciente, espera del médico solicitante, riesgo de aparición de reacciones adversas, dudas diagnósticas, informe de patologías inexistentes, costos, etc.)1,2.
Un artefacto o artificio se define como una distorsión, adición o error en una imagen que no tiene correlato en el sujeto o región anatómica estudiada1–4. Como término, deriva de las palabras latinas artis (artificial) y actum (efecto), y refiere a un efecto artificial que altera la calidad y fidelidad de una imagen, pudiendo encubrir una patología o crear hallazgos falsos1,5,6.
En tomografía computada (TC) y resonancia magnética (RM), las distorsiones pueden ser numerosas. Dado que mencionar su totalidad excede los objetivos del artículo, describimos las más comunes en estos dos métodos.
Tomografía computadaLos artificios ocurren como resultado de la interacción entre el paciente y el tomógrafo. Se dividen según su origen (tabla 1)2, aunque, sea cual sea su naturaleza, se observan como rayas, anillos, ruido y bandas blancas y negras superpuestas2,7. En casos dudosos se recomienda repetir el corte.
Artefactos en TC2,3,5
| Movimientos del paciente |
| Presencia de cuerpos extraños/material médico |
| Errores en las medidas de atenuación de los rayos X |
| Endurecimiento del haz de rayos X cuando estos traspasan al paciente |
| Efecto de volumen parcial |
| Ruido (quantum mottle) |
| Mal funcionamiento de los detectores como consecuencia de errores de calibración o balanceo, efectos geométricos |
| Errores de espiral o “de remolino” |
| Factores ambientales |
Se producen por movimientos del paciente (respiración, latidos cardíacos, temblor, excitación, nerviosismo, deglución, peristaltismo, etc.)5,7 y suelen aparecer en los escaneos donde es necesario mantener la respiración, especialmente en los estudios de tórax2,8.
Se aprecian como bandas blancas y negras intercaladas, manchas o lunares negros, pérdida de la resolución, desdoblamiento de los contornos de las diferentes estructuras o distorsión de la anatomía2,3,5,9 (fig. 1).
Se soluciona tranquilizando al paciente y explicándole detalladamente la forma y duración del estudio, así como las acciones a realizar en caso de una mala técnica por movimiento. En casos de excitación, inestabilidad emocional o en la población pediátrica, también se pueden emplear mecanismos de inmovilización, contención o sedación. Aumentar la comodidad o utilizar métodos de barrido rápido, especialmente la tomografía computada multicorte (TCMC) que reduce la etapa de adquisición, disminuye el tiempo de apnea3,5,7.
Los movimientos rítmicos involuntarios (espasmos, tics, etc.) pueden ser atenuados si se emplea la sincronización cardíaca o respiratoria.
Penumbra geométrica, geometría de los rayos X por descuido o falta de linealidadUna inadecuada alineación de los rayos X (Rx) del tubo con los detectores puede generar una imagen borrosa con resolución espacial limitada2. Se manifiesta como una penumbra relacionada con la medida del foco, ya que a menor tamaño, se obtiene menor penumbra geométrica5.
Un correcto y periódico mantenimiento y calibración del tomógrafo o una colimación secundaria eficaz reducen el efecto5.
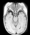
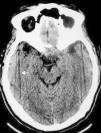
Artefacto de los blancos por alteración de los detectores o error de estabilidadOcurren por una alteración en la calibración y balance de los detectores2,3,7,8. Si estos no se encuentran intercalibrados o alineados, la proyección individual de cada anillo de datos es diferente, causando múltiples anillos concéntricos de intensidad variable (“rueda de carro”)2,3,5 (fig. 2). También aparecen cuando el haz de rayos no está centrado sobre los detectores5.
El mantenimiento y la calibración periódicos del equipo de TC evita su aparición2,3,5,7.
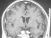
Endurecimiento del haz de rayosSe genera por la absorción preferencial de los fotones de baja energía del rayo en los tejidos. Este efecto es más pronunciado en áreas de gran atenuación (como el hueso)2,3,5,7 y sucede cuando, al atravesar el haz de rayos, las estructuras encuentran transiciones muy marcadas de espesor y densidad5.
En este caso, se aprecian líneas o bandas espiculadas e intercaladas, claras y oscuras, como una sombra debajo de las costillas o como un aumento de sombras espiculadas en el mediastino, la cintura escapular o la base del cráneo2,3,5,7 (figs. 3 y 4).
En los equipos actuales este error ha desaparecido casi por completo mediante el empleo de filtros metálicos en la salida del haz de rayos o la corrección matemática de la curva de atenuación real con la ideal de un sistema monocromático3,5,7.
El técnico puede aumentar el kilovoltaje (kV) en las zonas densas, aumentando la dosis de radiación recibida por el paciente. Para esto, se emplean opciones informáticas que modulan la cantidad de radiación en función de la forma y espesor del paciente.5
Algunos reportes mencionan que el gadolinio reduce el endurecimiento del rayo2.
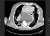
Cuerpos extraños e implementos médicos de alta densidadSe originan por elementos o instrumentos quirúrgicos compuestos por algún metal, como prótesis dentales, material de osteosíntesis, piercings, joyas, aparatos de vigilancia, cables, utensilios médicos, semillas de radioterapia, contrastes orales o endovenosos, y accesorios de ropa (botones, cierres, etc.)5,8,10. Aunque en menor medida, también puede generarse por el gas (p. ej. a nivel de la cámara gástrica).
Este artificio se reconoce porque el elemento de alta densidad genera un halo de falsa absorción en una o varias direcciones, como consecuencia de la variación abrupta de densidad5. Aparece como bandas o “rayos de sol”, forzando a los detectores a operar en una región de respuesta no lineal2,3 (figs. 5–7), o como líneas de transición hipo e hiperdensas centradas en las imágenes metálicas presentes en el corte estudiado5,7.
Para reducir la distorsión, se puede ubicar al material hiperdenso lo más cerca posible del centro del campo de medición y aumentar la angulación del gantry y el número de proyecciones, de forma de excluir el elemento metálico o minimizar los efectos del artificio3. También es posible realizar reconstrucciones algorítmicas con supresión metálica2,3,5,7,10.
Artefacto por entrada de flujoSe produce a nivel de las venas axilar o subclavia en las TC de tórax con contraste intravascular, como consecuencia del corto intervalo entre la administración del contraste endovenoso y el comienzo de la adquisición de los datos8. La distorsión de la imagen, con aumento de la densidad, impide la correcta valoración de la anatomía axilar (fig. 8), por lo que, para que el artificio desaparezca, hay que retrasar unos segundos el inicio del escaneo.
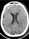
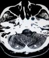
Volumen parcial promedioCuando los tejidos de diferente absorción ocupan el mismo voxel, la intensidad del píxel corresponde al promedio de las densidades de las estructuras del voxel2,5. Este error se produce cuando el haz de rayos atraviesa estructuras heterogéneas y de alta densidad, dispuestas de forma paralela al eje de giro del sistema.
Suele presentarse en la base del cráneo a nivel de los peñascos y en la protuberancia occipital interna (fig. 9).
Para minimizar este defecto, se utilizan cortes de espesor fino y se elige una sección de corte ubicada en el centro del objeto a evaluar2,3,5.
Factores ambientalesLa humedad o temperatura ambiente, así como el exceso de partículas de polvo dentro del ordenador, causan errores en el algoritmo de reconstrucción2. La colocación de un equipo de aire acondicionado y la higiene en la sala del tomógrafo y consola evitan la presencia de estas distorsiones.
RuidoEs una falla del cálculo estadístico que genera rayas y líneas espiculadas dispuestas al azar, preferentemente en la dirección de mayor atenuación7. Al aumentar el ruido, los objetos con alta densidad (como el hueso) se manifiestan con bajo contraste, mientras que los tejidos blandos tienen una pobre visualización.
El ruido disminuye aumentando el miliamperaje o combinando la información de distintos escaneos, como el contraste de fases7.
Proyección incompletaAparece cuando una parte del paciente se encuentra fuera del área de interés, pero igualmente es escaneada. La computadora, al no tener suficientes datos para reconstruir esa región, genera artificios o bandas espiculadas. Sucede, por ejemplo, cuando se estudia el tórax o abdomen superior y el paciente no puede elevar los brazos3 (fig. 10). También puede constatarse cuando el haz de rayos atraviesa un objeto metálico.
Se atenúa evitando que otras partes del organismo se interpongan entre el gantry y el área de estudio, o bien realizando reformateos informáticos que supriman la región no deseada o la estructura metálica3,10.
Artificio de desborde de campo o salida de campoSe objetivan zonas o áreas hiperdensas en el borde o límite de la imagen. Estos artefactos se visualizan cuando la región a estudiar o el cuerpo del paciente salen o exceden el campo de medida5,7.
Se evitan adaptando el campo de medida al volumen corporal del paciente. En casos de obesidad puede ser difícil, pero en los nuevos equipos multicorte existen soluciones informáticas (algoritmos de reconstrucción) para solucionarlo5,7.
Efecto del haz cónicoCon el incremento de los números de cortes por rotación se requiere una mayor colimación, y el haz de rayos pasa de una configuración cónica a una en abanico (se expande), produciendo un artefacto similar al volumen parcial3.
Se origina en los equipos multicorte debido a la elevada conicidad del haz de rayos (multilíneas) y a la utilización de un paso de hélice elevado3,5. A mayor número de detectores, mayor será el artificio3.
Artefacto escalonadoSe produce en las imágenes multiplanares o 3D reformateadas, manifestándose en los bordes de la estructura estudiada como líneas superpuestas, semejantes a los peldaños de una escalera3,11.
Aparece en las imágenes que necesitan una gran colimación y una reconstrucción no solapada3 (figs. 11 y 12), y se puede eliminar virtualmente con cortes finos reformateados.
Se observa como tenues rayas escalonadas en reconstrucciones multiplanares y 3D en el plano sagital o coronal. Se genera por un excesivo grosor del corte, que origina una inhomogeneidad a lo largo del eje Z3,7 (fig. 13). Para reducirlo, se emplean algoritmos informáticos3,7.
Artefacto en molino de vientoEn los tomógrafos helicoidales la mesa de examen avanza continuamente, mientras el tubo de rayos rota alrededor del paciente. La fila de detectores pasa por el plano de interés, y la reconstrucción oscila entre las medidas de un solo detector y la interpolación de dos o más detectores. Si existe una gran diferencia de contraste entre estos, se crea una imagen distorsionada con forma de anillos concéntricos y espiculados, hipo e hiperdensos5,7 (fig. 14). Estos son más evidentes en los cortes finos.
Se reduce disminuyendo el paso de la hélice o empleando algoritmos informáticos3,5,7.
Resonancia magnéticaEn RM los artificios pueden deberse a una técnica deficiente o al malfuncionamiento del sistema1. Nos enfocamos en los que pueden simular entidades patológicas (tabla 2).
Artefactos en RM1,5
| De movimiento (ghosting) |
| De solapamiento (aliasing) |
| De truncamiento (truncation) |
| Cambio químico (chemical shift) |
| Susceptibilidad magnética (magnetic susceptibility) |
| Artefacto de repliegue (wrap arround) |
| Ángulo mágico |
| Técnicos |
Ocurren por movimientos de las estructuras durante la adquisición de las imágenes. Se los puede dividir en controlados (voluntarios) o fisiológicos (involuntarios) (tabla 3), y estos últimos, a su vez, se clasifican en rítmicos/periódicos (latidos cardíacos, pulso, respiración) o no rítmicos (al azar, por ej. peristaltismo intestinal)1,4,5,12.
Clasificación de movimientos5,12
| Tipo de movimientos | Descripción |
|---|---|
| No controlados | DegluciónMovimientos ocularesTemblor por disconfort-inquietudMovimientos por dolor |
| Fisiológicos | Movimientos respiratoriosLatidos cardíacosFlujo circulante (vascular, linfático, líquido cefalorraquídeo) |
Suelen distinguirse como imágenes borrosas de apariencia fantasmagórica, líneas sucesivas (como los latidos cardíacos) o manchas inespecíficas e irregulares1,13–15 (fig. 15).
Si estos artefactos no pueden ser completamente eliminados, sus efectos se controlan mediante manipulación técnica, seleccionando la frecuencia y dirección de la fase (p. ej. ante la duda sobre la existencia o no de una lesión que pudiese estar oscurecida por este artefacto, se puede modificar la frecuencia y dirección de fase para que el artificio aparezca en posición vertical)1,4.
Las secuencias con gradiente de eco (GRE) son más susceptibles a los artificios de flujo que las eco de espín (SE)14.
Los pulsos de presaturación son efectivos para reducir los artificios de movimientos1,5,12.
En cuanto a los artificios de pulsación vascular, estos pueden verse como ondas hiperintensas de pulsación en sentido vertical u horizontal, según la orientación del gradiente de eco (fig. 16). También es posible que se manifiesten con un flujo turbulento, viéndose como bandas o septos hipointensos intravasculares que simulan disecciones6. Ocasionalmente el flujo sanguíneo produce una señal hiperintensa intravascular por hiperflujo. Estos artefactos pueden reducirse con pulsos de saturación o mediante sincronización cardíaca4,14,15.
Dentro de los defectos fisiológicos, se puede mencionar el de pulsación del líquido cefalorraquídeo (LCR). Este se percibe hipointenso en las secuencias ponderadas en T2 e hiperintenso en FLAIR, y se origina por el movimiento constante del LCR que impide que su señal sea anulada. El fenómeno suele apreciarse en los ventrículos laterales y en el III y el IV6,16 (fig. 17). Para reducirlo, se llevan a cabo secuencias en tiempo de eco (TE) corto y se aplican pequeños volúmenes de voxel, aumentando la matriz o disminuyendo el espesor de corte16.
Las pulsaciones del LCR en el canal raquídeo pueden simular lesiones intradurales en los cortes axiales y sagitales (fig. 18). Modificando la posición de las secciones del bloque de imágenes o readquiriendo las imágenes con distintos parámetros de tiempo, estos artificios pueden llegar a suprimirse1,6,15,17.
En el caso de los movimientos oculares, es necesario solicitarle al paciente que cierre los ojos durante el estudio13; mientras que si está nervioso, hay que intentar tranquilizarlo explicándole cómo es el estudio, cuál es su duración y lo importante que es mantenerse quieto durante el procedimiento. Si es imprescindible, se pueden administrar fármacos relajantes4.
Los movimientos respiratorios se atenúan mediante sincronización respiratoria o sosteniendo la respiración (apnea)3,5,12,14 (fig. 19), mientras que los movimientos cardíacos se reducen sincronizando los latidos con la adquisición de imágenes o a través de la administración de fármacos1,3,5,12,13,18. El peristaltismo intestinal se disminuye con anticolinérgicos4.
Artefactos de solapamiento o envolvimientoAparecen cuando el campo de estudio no incluye todas las estructuras anatómicas presentes en la sección de corte de una imagen1,4,5,14,15. Así, la parte excluida queda incompleta en un extremo del corte y continúa en el borde opuesto1,4,12 (fig. 20). Se producen en la dirección de codificación de fase13,14.
El efecto “cebra” o tornasolado es un ejemplo de solapamiento, especialmente en el plano coronal de las imágenes 3D. Se genera por una interferencia en el solapamiento de las imágenes y se manifiesta con bandas blancas y negras intercaladas en el margen de la imagen4,13,14 (fig. 21). Estas se encuentran con mayor frecuencia en las secuencias GRE.13
Los artefactos de solapamiento pueden ser eliminados, incrementando el campo de visión (a expensas de una pérdida de resolución) o cambiando la dirección de fase1,4,5,12,15. Asimismo, es posible suprimirlos mediante pulsos de saturación o en imágenes 3D a través de un pulso de gradiente Z durante la radiofrecuencia1,4,12.
Artefacto de truncamiento, de Gibbs o pérdidaEl bloque de armado de las imágenes digitales es un espectro de componentes adquiridos en cada paso de codificación en fase1,13. Dado que es necesario un número infinito de componentes del espectro para reproducir detalles sin distorsiones y la cantidad es finita, la imagen reconstruida es una aproximación al detalle anatómico verdadero1.
La diferencia entre la imagen original y la reconstrucción corresponde al error de truncamiento1,4,13. Este se aprecia como bandas intercaladas hiper e hipointensas, paralelas a los bordes, con bruscos cambios de intensidad4,6,14,15,17.
El artificio de Gibbs a menudo funciona como sinónimo del de truncamiento. Consiste en la falta de convergencia de la integral de Fourier como punto de discontinuidad de una función y ocurre en la dirección de fase1,6,14. En este caso, se observan anillos en la proximidad de una discontinuidad (p. ej. en la interfase cerebro/cráneo)1,4,13,15 (fig. 22), por lo que el artificio solo se elimina al remover la discontinuidad de la función. Para ello, se emplean filtros que nivelan o alisan la imagen, incrementando la matriz y extendiendo el tiempo de escaneo1,13.
En la médula espinal se producen errores de truncamiento por el cambio brusco de tejido en la interfase médula espinal/LCR17.
Este tipo de artefacto puede simular siringomielia en la columna cervical y desgarros meniscales en las rodillas1,4,6,13,17 (fig. 23). Se corrige aumentando el tamaño de la matriz o el tiempo de adquisición, o bien con filtros de reconstrucción4,6,15.
Artefactos de desplazamiento químicoSon cambios de señal producidos por las distintas frecuencias de precesión de los protones de los diferentes tejidos adyacentes1,19. Expuestos a un mismo campo magnético, los protones precesan a una menor tasa en lípidos que en agua1. Suelen ser más evidentes cuando se utiliza una banda estrecha, como en las secuencias con TE largo, GRE o difusión (DWI)1,4,6,14,19.
Se manifiestan en sentido de la codificación de frecuencia por la aparición de bandas hiper-hipointensas en una interfase agua-grasa o por la presencia de elementos ferromagnéticos1,4,6,12,15,18,19.
El cambio químico se encuentra con mayor asiduidad en la base del cráneo, rodeando los riñones, vejiga y órbitas, o puede simular esclerosis a nivel de los platillos terminales de los cuerpos vertebrales1,4,6,13,19 (fig. 24).
Este efecto constituye la base de la secuencia fuera de fase y de la espectroscopia por RM1,19. La secuencia fuera de fase nos permite medir el decaimiento de la intensidad de señal en los tejidos con contenido rico en lípidos y es importante para la valoración de la infiltración grasa en un órgano, especialmente en el hígado y las glándulas adrenales19. Además, sirve para delimitar estructuras rodeadas de tejido graso19.
Este artefacto puede disminuirse a través de secuencias de supresión grasa (fat-sat) o de recuperación de inversión atenuada de flujo (FLAIR), dado que estas eliminan la señal de tejido graso o, mediante el aumento de la pendiente del gradiente de lectura, aumentan el ancho de la banda pasante4,6,15.
Al igual que los artefactos de truncamiento, los de desplazamiento químico pueden movilizarse en otra posición en la imagen, cambiando la dirección de la codificación de fase y frecuencia1,15,19.
Artificios de susceptibilidad magnéticaGeneran una deformidad local del campo magnético, causando un error en el registro espacial1. La susceptibilidad magnética describe el grado de magnetización de una materia expuesta a un campo magnético. Las sustancias con susceptibilidad positiva son llamadas paramagnéticas (gadolinio, titanio o platino) y aquellas con susceptibilidad negativa se denominan diamagnéticas (agua)1,4,5,14,15. Las de fuerte susceptibilidad magnética positiva se clasifican como superparamagnéticas.
El aire y el vacío no tienen susceptibilidad magnética, a diferencia de algunos materiales ferromagnéticos, como el acero, el cobalto o el níquel.4
Este artefacto se produce entre sustancias con diferentes rangos de susceptibilidad en las secuencias GRE, como aire/tejidos blandos o hueso/tejidos blandos, y se utilizan con fines diagnósticos para evidenciar secuelas hemorrágicas (interfase hemoglobina/tejido). Son más evidentes en los tejidos vecinos a los senos paranasales, región selar o alrededor de las asas intestinales con contenido aéreo1,4,5,14,15.
Los artificios por susceptibilidad magnética generan áreas de vacío de señal, característicos cuando se estudia una región anatómica con un elemento metálico, como implantes dentales, brackets, clips, coils, stents o elementos ortopédicos1,5,15 (fig. 25). Estos objetos pueden causar artificios hipointensos que distorsionan localmente el campo magnético4,12 y dependen del tipo de metal, tamaño, forma y orientación en relación con el campo6. También pueden apreciarse a nivel de las órbitas con algunos cosméticos o maquillajes, así como con ciertos tatuajes corporales o piercings.
RM de columna lumbar, corte axial, en ponderación T1: (a) se observan elementos metálicos de osteosíntesis (tornillos) que distorsionan la imagen por artefacto de susceptibilidad magnética (flechas). (b) RM de macizo craneofacial, corte coronal, en ponderación T2: los brackets generan vacío de señal, alterando la normal visualización (asterisco).
La susceptibilidad magnética es mayor en secuencias con supresión grasa, ya que son muy sensibles a la deshomogeneización del campo magnético1,5. También aparecen distorsiones en secuencias con TE largo porque las pequeñas diferencias en la frecuencia de precesión tienen más tiempo para producir un error de fase1,4,15.
Este artificio puede verse en el estudio de la columna vertebral por la interfase hueso-LCR en las secuencias GRE, originando el efecto de florecimiento (donde el hueso parece engrosado y genera estrechez del conducto raquídeo o de los neuroforámenes). Con las secuencias ponderadas en T1 este error desaparece1,5.
También ocurre en la DWI en la transición entre los peñascos y el cerebro (fig. 26).
Este artefacto se limita cuando el paciente se quita el objeto metálico y se emplean secuencias eco de espín. Hay que evitar las secuencias con supresión grasa o utilizar las eco de espín reorientadas 180°1,4,5,12,14.
Ángulo mágicoSe origina cuando las estructuras anatómicas formadas por fibras paralelas (tendones o ligamentos) describen un ángulo de 55° en relación con el eje B0. Se evidencian hiperintensas en las secuencias con TE corto5,13,15, y producen una imagen que aparenta una lesión en el tejido blando evaluado (meniscos, ligamento, cartílago o tendón).
Este artefacto suele presentarse en el tendón distal del músculo supraespinoso del hombro (fig. 27) y es atenuado reposicionando al paciente e incrementando el TE de la secuencia15.
RM de hombro, cortes coronales (a) en ponderación T2 (a) y (b) STIR: el artificio en ángulo mágico se distingue en la secuencia ponderada en T2, aparentando un desgarro completo del tendón distal del músculo supraespinoso (asterisco), mientras que en la secuencia STIR se evidencia indemnidad del tendón (flechas).
Se produce cuando un objeto se interpone en el campo de radiofrecuencia. Las causas pueden ser múltiples: una lámpara titilando en la sala del resonador, una puerta mal cerrada, aparatos electrónicos próximos al resonador, electricidad estática, etc.4,15 (fig. 28).
Se manifiesta con distorsiones lineales alternantes, hipo e hiperintensas en la dirección de fase, preferentemente en el tobillo, el manguito rotador del hombro, los meniscos de la rodilla y el cartílago articular4,15.
Para eliminarlo, hay que detectar la fuente que perturba la radiofrecuencia. Por ejemplo, evitar la formación de humedad, utilizar equipamiento compatible con la sala del resonador o eliminar electricidad estática.
Artificios tecnológicosOcurren cuando hay una falla en los sistemas electrónicos, las bobinas, el equipamiento, la jaula de Faraday, etc., con artificios geométricos sobre la imagen.
Las recalibraciones periódicas del sistema o la reparación por parte del servicio técnico del fabricante pueden solucionar esta alteración5.
ConclusiónExisten numerosos artificios y artefactos en TC y RM. Estos deben ser reconocidos para evitar una interpretación errónea de las imágenes, ya que pueden simular patologías inexistentes o encubrir lesiones verdaderas. Conocer los diferentes tipos, sus causas y las formas de evitarlos es importante para establecer un diagnóstico preciso.
Confidencialidad de los datosLos autores declaran que han seguido los protocolos de su centro de trabajo sobre la publicación de datos de pacientes y que todos los pacientes incluidos en el estudio han recibido información suficiente y han dado su consentimiento informado por escrito.
Conflicto de interesesLos autores declaran no tener ningún conflicto de intereses, excepto el ingeniero Siviero que declara que trabaja en la empresa Griensu S.A. como posible conflicto de interés.

































