Mujer de 80 años con antecedentes de poliartrosis, fractura del cuello del húmero y osteoporosis. Presentó hace 7 meses dolor dorsal irradiado en cinturón sin traumatismo previo.
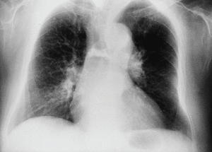
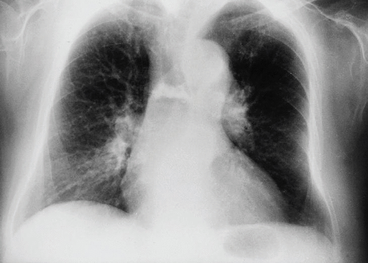
En la radiografía posteroanterior y lateral de tórax observamos como hallazgo más significativo una disminución de la altura y aumento de densidad de un cuerpo vertebral dorsal medio.
COMENTARIO
Ante una imagen de vértebra densa debemos plantearnos los siguientes diagnósticos:
1. Metástasis vertebral: pueden dar metástasis osteoblásticas el carcinoma radiado de mama, carcinoma de próstata y pulmón, linfomas y algunos tumores neurogénicos. Se descarta por ausencia de historia de tumor primario.
2. Aplastamiento vertebral con callo de fractura: la paciente no tiene antecedentes de traumatismos previos.
3. Enfermedad de Paget: en la fase esclerótica el hueso aumenta de tamaño y densidad de manera uniforme. La paciente no presenta datos analíticos compatibles con esta enfermedad (hipercalcemia, aumento de fosfatasa alcalina e hidroxiprolina, etc.).
4. Linfoma óseo: representa el 7% de los tumores óseos malignos. El 66% de éstos son monostóticos y se manifiestan como dolor refractario al tratamiento farmacológico, inflamación, compresión neurológica y/o fracturas patológicas1. Aunque en la mayoría de los casos se visualiza como una lesión única osteolítica en un 4,3% se puede presentar como una imagen esclerótica2. En esta paciente el dolor cede con analgésicos y los datos analíticos no son sugestivos.
Fig. 1.
Fig. 2.
5. Síndrome SAPHO: cuadro poco frecuente que engloba sinovitis, acné, pustulosis, hiperostosis y osteítis, y que suele afectar con mayor frecuencia a la pared torácica anterior, así como a nivel axial y periférico3. Se descarta por no cumplir los criterios.
6. Vertebroplastia: aumento de densidad uniforme del cuerpo vertebral con aplastamiento del mismo.
En esta paciente, coincidiendo con el dolor, se realiza radiografía dorsal donde se aprecia aplastamiento D5-D8. Posteriormente en la resonancia magnética se demuestra fractura y aplastamiento reciente de D7 en probable relación con la osteoporosis que presenta. Se le realizó una vertebroplastia mejorando clínicamente en el plazo de varios días.
La vertebroplastia es una técnica introducida en la segunda mitad de la década de los ochenta y que consiste en la inyección percutánea de polimetil-metacrilato (PMMA) en el cuerpo vertebral. Está indicada en el tratamiento del dolor, ya sea en fracturas por aplastamiento en el seno de una osteoporosis, lesiones osteolíticas metastásicas (incluyendo el mieloma) o hemangiomas vertebrales, que no ceden con el tratamiento analgésico y/o radioterapia o cuando exista riesgo de inestabilidad articular4.
En la actualidad existe una nueva técnica (la cifoplastia) que permite, a diferencia de la vertebroplastia, mejorar el plano sagital alterado por el acuñamiento o compresión del cuerpo vertebral5.



